我是怎么做的:中腔静脉分流术:胰十二指肠切除术中静脉重建的安全紧急选择。

IF 1.8 3区 医学 Q2 SURGERY
Ruili Wei, Jia Huang, Yingjixing Luo, Ruyi Liu, Yue Qiu, Li Xu, Hanchun Huang, Wenying Zhou, Yongliang Sun, Zhiying Yang
{"title":"我是怎么做的:中腔静脉分流术:胰十二指肠切除术中静脉重建的安全紧急选择。","authors":"Ruili Wei, Jia Huang, Yingjixing Luo, Ruyi Liu, Yue Qiu, Li Xu, Hanchun Huang, Wenying Zhou, Yongliang Sun, Zhiying Yang","doi":"10.1007/s00423-025-03826-1","DOIUrl":null,"url":null,"abstract":"<p><strong>Purpose: </strong>In pancreaticoduodenectomy, extensive involvement of the superior mesenteric vein (SMV) often complicates venous reconstruction, especially when artificial grafts are unavailable. In such cases, meso-caval shunt (MCS) emerges as a solution. This study aimed to evaluate the safety and efficacy of permanent MCS as both an emergency procedure and a planned surgical strategy.</p><p><strong>Methods: </strong>We retrospectively analyzed 8 consecutive patients undergoing pancreaticoduodenectomy with permanent MCS between July 2019 and January 2025 at our institution. Clinicopathological characteristics were identified using electronic medical records, and the same surgeon performed all surgeries.</p><p><strong>Results: </strong>The study included seven cases of pancreatic cancer and one ampullary carcinoma (6 male, 2 females; age 54-71 years). The mean operative duration was 510 min with 767 ml blood loss. All patients achieved R0 resection with minor complications (Clavien-Dindo grade I/II), no mortality, and preserved portal perfusion. Meso-caval shunt patency was confirmed postoperatively without hepatic dysfunction. Median survival reached 21 months.</p><p><strong>Conclusion: </strong>Permanent MCS is a reliable elective option for venous reconstruction in pancreaticoduodenectomy, especially when graft-based solutions are not available. Its success in achieving R0 resection while maintaining portal hemodynamics suggests its utility in complex pancreatic resections.</p>","PeriodicalId":17983,"journal":{"name":"Langenbeck's Archives of Surgery","volume":"410 1","pages":"250"},"PeriodicalIF":1.8000,"publicationDate":"2025-08-25","publicationTypes":"Journal Article","fieldsOfStudy":null,"isOpenAccess":false,"openAccessPdf":"https://www.ncbi.nlm.nih.gov/pmc/articles/PMC12378511/pdf/","citationCount":"0","resultStr":"{\"title\":\"How-I-do-it: meso-caval shunt: a safe emergency option for venous reconstruction in pancreaticoduodenectomy.\",\"authors\":\"Ruili Wei, Jia Huang, Yingjixing Luo, Ruyi Liu, Yue Qiu, Li Xu, Hanchun Huang, Wenying Zhou, Yongliang Sun, Zhiying Yang\",\"doi\":\"10.1007/s00423-025-03826-1\",\"DOIUrl\":null,\"url\":null,\"abstract\":\"<p><strong>Purpose: </strong>In pancreaticoduodenectomy, extensive involvement of the superior mesenteric vein (SMV) often complicates venous reconstruction, especially when artificial grafts are unavailable. In such cases, meso-caval shunt (MCS) emerges as a solution. This study aimed to evaluate the safety and efficacy of permanent MCS as both an emergency procedure and a planned surgical strategy.</p><p><strong>Methods: </strong>We retrospectively analyzed 8 consecutive patients undergoing pancreaticoduodenectomy with permanent MCS between July 2019 and January 2025 at our institution. Clinicopathological characteristics were identified using electronic medical records, and the same surgeon performed all surgeries.</p><p><strong>Results: </strong>The study included seven cases of pancreatic cancer and one ampullary carcinoma (6 male, 2 females; age 54-71 years). The mean operative duration was 510 min with 767 ml blood loss. All patients achieved R0 resection with minor complications (Clavien-Dindo grade I/II), no mortality, and preserved portal perfusion. Meso-caval shunt patency was confirmed postoperatively without hepatic dysfunction. Median survival reached 21 months.</p><p><strong>Conclusion: </strong>Permanent MCS is a reliable elective option for venous reconstruction in pancreaticoduodenectomy, especially when graft-based solutions are not available. Its success in achieving R0 resection while maintaining portal hemodynamics suggests its utility in complex pancreatic resections.</p>\",\"PeriodicalId\":17983,\"journal\":{\"name\":\"Langenbeck's Archives of Surgery\",\"volume\":\"410 1\",\"pages\":\"250\"},\"PeriodicalIF\":1.8000,\"publicationDate\":\"2025-08-25\",\"publicationTypes\":\"Journal Article\",\"fieldsOfStudy\":null,\"isOpenAccess\":false,\"openAccessPdf\":\"https://www.ncbi.nlm.nih.gov/pmc/articles/PMC12378511/pdf/\",\"citationCount\":\"0\",\"resultStr\":null,\"platform\":\"Semanticscholar\",\"paperid\":null,\"PeriodicalName\":\"Langenbeck's Archives of Surgery\",\"FirstCategoryId\":\"3\",\"ListUrlMain\":\"https://doi.org/10.1007/s00423-025-03826-1\",\"RegionNum\":3,\"RegionCategory\":\"医学\",\"ArticlePicture\":[],\"TitleCN\":null,\"AbstractTextCN\":null,\"PMCID\":null,\"EPubDate\":\"\",\"PubModel\":\"\",\"JCR\":\"Q2\",\"JCRName\":\"SURGERY\",\"Score\":null,\"Total\":0}","platform":"Semanticscholar","paperid":null,"PeriodicalName":"Langenbeck's Archives of Surgery","FirstCategoryId":"3","ListUrlMain":"https://doi.org/10.1007/s00423-025-03826-1","RegionNum":3,"RegionCategory":"医学","ArticlePicture":[],"TitleCN":null,"AbstractTextCN":null,"PMCID":null,"EPubDate":"","PubModel":"","JCR":"Q2","JCRName":"SURGERY","Score":null,"Total":0}
引用次数: 0

摘要

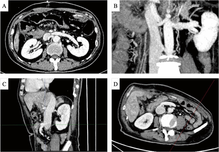
目的:在胰十二指肠切除术中,肠系膜上静脉(SMV)的广泛受累常常使静脉重建复杂化,特别是当无法获得人工移植物时。在这种情况下,中腔静脉分流术(MCS)成为一种解决方案。本研究旨在评估永久性MCS作为紧急手术和计划手术策略的安全性和有效性。方法:回顾性分析2019年7月至2025年1月在我院连续行胰十二指肠切除术合并永久性MCS的8例患者。使用电子病历确定临床病理特征,并由同一位外科医生进行所有手术。结果:胰腺癌7例,壶腹癌1例(男6例,女2例,年龄54 ~ 71岁)。平均手术时间510 min,出血量767 ml。所有患者均获得R0切除,并发症轻微(Clavien-Dindo分级I/II),无死亡,并保留门静脉灌注。术后证实腔内分流通畅,无肝功能障碍。中位生存期为21个月。结论:永久性MCS是胰十二指肠切除术中静脉重建的可靠选择,特别是在没有移植物的情况下。它在维持门静脉血流动力学的同时成功地实现了R0切除,这表明它在复杂的胰腺切除术中的实用性。
本文章由计算机程序翻译,如有差异,请以英文原文为准。

How-I-do-it: meso-caval shunt: a safe emergency option for venous reconstruction in pancreaticoduodenectomy.

How-I-do-it: meso-caval shunt: a safe emergency option for venous reconstruction in pancreaticoduodenectomy.

How-I-do-it: meso-caval shunt: a safe emergency option for venous reconstruction in pancreaticoduodenectomy.

How-I-do-it: meso-caval shunt: a safe emergency option for venous reconstruction in pancreaticoduodenectomy.

Purpose: In pancreaticoduodenectomy, extensive involvement of the superior mesenteric vein (SMV) often complicates venous reconstruction, especially when artificial grafts are unavailable. In such cases, meso-caval shunt (MCS) emerges as a solution. This study aimed to evaluate the safety and efficacy of permanent MCS as both an emergency procedure and a planned surgical strategy.

Methods: We retrospectively analyzed 8 consecutive patients undergoing pancreaticoduodenectomy with permanent MCS between July 2019 and January 2025 at our institution. Clinicopathological characteristics were identified using electronic medical records, and the same surgeon performed all surgeries.

Results: The study included seven cases of pancreatic cancer and one ampullary carcinoma (6 male, 2 females; age 54-71 years). The mean operative duration was 510 min with 767 ml blood loss. All patients achieved R0 resection with minor complications (Clavien-Dindo grade I/II), no mortality, and preserved portal perfusion. Meso-caval shunt patency was confirmed postoperatively without hepatic dysfunction. Median survival reached 21 months.

Conclusion: Permanent MCS is a reliable elective option for venous reconstruction in pancreaticoduodenectomy, especially when graft-based solutions are not available. Its success in achieving R0 resection while maintaining portal hemodynamics suggests its utility in complex pancreatic resections.

求助全文
通过发布文献求助,成功后即可免费获取论文全文。 去求助
来源期刊
CiteScore
3.30
自引率
8.70%
发文量
342
审稿时长
4-8 weeks
期刊介绍: Langenbeck''s Archives of Surgery aims to publish the best results in the field of clinical surgery and basic surgical research. The main focus is on providing the highest level of clinical research and clinically relevant basic research. The journal, published exclusively in English, will provide an international discussion forum for the controlled results of clinical surgery. The majority of published contributions will be original articles reporting on clinical data from general and visceral surgery, while endocrine surgery will also be covered. Papers on basic surgical principles from the fields of traumatology, vascular and thoracic surgery are also welcome. Evidence-based medicine is an important criterion for the acceptance of papers.
×
引用
GB/T 7714-2015
复制
MLA
复制
APA
复制
导出至
BibTeX EndNote RefMan NoteFirst NoteExpress
×
提示
您的信息不完整,为了账户安全,请先补充。
现在去补充
×
提示
您因"违规操作"
具体请查看互助需知
我知道了
×
提示
确定
请完成安全验证×
copy
已复制链接
快去分享给好友吧!
我知道了
右上角分享
点击右上角分享
0
联系我们:info@booksci.cn Book学术提供免费学术资源搜索服务,方便国内外学者检索中英文文献。致力于提供最便捷和优质的服务体验。 Copyright © 2023 布克学术 All rights reserved.
京ICP备2023020795号-1
ghs 京公网安备 11010802042870号
Book学术文献互助
Book学术文献互助群
群 号:604180095
Book学术官方微信