深入了解当地的草和杂草花粉致敏在曼谷,泰国:IgE反应模式,交叉反应,和假定的过敏原。

IF 3 3区 医学 Q2 ALLERGY
Journal of Asthma and Allergy Pub Date : 2025-08-21 eCollection Date: 2025-01-01 DOI:10.2147/JAA.S533633
Sirirat Aud-In, Yotin Juprasong, Pongsakorn Tantilipikorn, Wisuwat Songnuan
{"title":"深入了解当地的草和杂草花粉致敏在曼谷,泰国:IgE反应模式,交叉反应,和假定的过敏原。","authors":"Sirirat Aud-In, Yotin Juprasong, Pongsakorn Tantilipikorn, Wisuwat Songnuan","doi":"10.2147/JAA.S533633","DOIUrl":null,"url":null,"abstract":"<p><strong>Background: </strong>Allergic rhinitis (AR) triggered by pollen is a growing global public health concern. This study aimed to: 1) analyze IgE reactivity to grass and weed pollen in Thai AR patients; 2) assess the prevalence and intensity of IgE-reactive protein bands; and 3) investigate cross-reactivity among pollen species.</p><p><strong>Methods: </strong>Sera were collected from Thai adult AR patients in Bangkok, Thailand, and skin prick test (SPT) data were obtained. ELISA assessed IgE reactivity to pollen extracts from four grasses (Bermuda grass, para grass, Johnson grass, Manila grass) and two weeds (nutsedge, careless weed) using 119 patient sera. Immunoblot identified IgE-reactive protein bands using 65 patient sera with positive SPT. Cross-reactivity was confirmed by immunoblot and ELISA inhibition assays.</p><p><strong>Results: </strong>Johnson grass showed the highest ELISA optical density (OD) values. Significant positive correlations <i>(r<sub>s</sub></i> = 0.740 to 0.935, <i>p</i> < 0.0001) in IgE reactivity were observed among pollen species, with stronger correlations among grasses. Immunoblot identified 30 kDa and 63 kDa proteins as major IgE-reactive proteins in grasses, and 25 kDa and 75 kDa proteins in nutsedge. Strong positive correlations were found within grass species for number of bands, ELISA OD, and SPT wheal size. A positive correlation existed between ELISA and SPT results <i>(r<sub>s</sub></i> = 0.27, <i>p</i> = 0.030). Inhibition assays confirmed cross-reactivity among grass and weed species.</p><p><strong>Conclusion: </strong>This study highlights variability in pollen sensitization, cross-reactivity, and potential novel allergens in Thai AR patients. These findings are crucial for enhancing pollen allergy understanding and improving diagnostic and treatment, particularly in tropical/subtropical regions.</p>","PeriodicalId":15079,"journal":{"name":"Journal of Asthma and Allergy","volume":"18 ","pages":"1193-1210"},"PeriodicalIF":3.0000,"publicationDate":"2025-08-21","publicationTypes":"Journal Article","fieldsOfStudy":null,"isOpenAccess":false,"openAccessPdf":"https://www.ncbi.nlm.nih.gov/pmc/articles/PMC12377386/pdf/","citationCount":"0","resultStr":"{\"title\":\"Insights into Local Grass and Weed Pollen Sensitization in Bangkok, Thailand: IgE Reactivity Patterns, Cross-Reactivity, and Putative Allergens.\",\"authors\":\"Sirirat Aud-In, Yotin Juprasong, Pongsakorn Tantilipikorn, Wisuwat Songnuan\",\"doi\":\"10.2147/JAA.S533633\",\"DOIUrl\":null,\"url\":null,\"abstract\":\"<p><strong>Background: </strong>Allergic rhinitis (AR) triggered by pollen is a growing global public health concern. This study aimed to: 1) analyze IgE reactivity to grass and weed pollen in Thai AR patients; 2) assess the prevalence and intensity of IgE-reactive protein bands; and 3) investigate cross-reactivity among pollen species.</p><p><strong>Methods: </strong>Sera were collected from Thai adult AR patients in Bangkok, Thailand, and skin prick test (SPT) data were obtained. ELISA assessed IgE reactivity to pollen extracts from four grasses (Bermuda grass, para grass, Johnson grass, Manila grass) and two weeds (nutsedge, careless weed) using 119 patient sera. Immunoblot identified IgE-reactive protein bands using 65 patient sera with positive SPT. Cross-reactivity was confirmed by immunoblot and ELISA inhibition assays.</p><p><strong>Results: </strong>Johnson grass showed the highest ELISA optical density (OD) values. Significant positive correlations <i>(r<sub>s</sub></i> = 0.740 to 0.935, <i>p</i> < 0.0001) in IgE reactivity were observed among pollen species, with stronger correlations among grasses. Immunoblot identified 30 kDa and 63 kDa proteins as major IgE-reactive proteins in grasses, and 25 kDa and 75 kDa proteins in nutsedge. Strong positive correlations were found within grass species for number of bands, ELISA OD, and SPT wheal size. A positive correlation existed between ELISA and SPT results <i>(r<sub>s</sub></i> = 0.27, <i>p</i> = 0.030). Inhibition assays confirmed cross-reactivity among grass and weed species.</p><p><strong>Conclusion: </strong>This study highlights variability in pollen sensitization, cross-reactivity, and potential novel allergens in Thai AR patients. These findings are crucial for enhancing pollen allergy understanding and improving diagnostic and treatment, particularly in tropical/subtropical regions.</p>\",\"PeriodicalId\":15079,\"journal\":{\"name\":\"Journal of Asthma and Allergy\",\"volume\":\"18 \",\"pages\":\"1193-1210\"},\"PeriodicalIF\":3.0000,\"publicationDate\":\"2025-08-21\",\"publicationTypes\":\"Journal Article\",\"fieldsOfStudy\":null,\"isOpenAccess\":false,\"openAccessPdf\":\"https://www.ncbi.nlm.nih.gov/pmc/articles/PMC12377386/pdf/\",\"citationCount\":\"0\",\"resultStr\":null,\"platform\":\"Semanticscholar\",\"paperid\":null,\"PeriodicalName\":\"Journal of Asthma and Allergy\",\"FirstCategoryId\":\"3\",\"ListUrlMain\":\"https://doi.org/10.2147/JAA.S533633\",\"RegionNum\":3,\"RegionCategory\":\"医学\",\"ArticlePicture\":[],\"TitleCN\":null,\"AbstractTextCN\":null,\"PMCID\":null,\"EPubDate\":\"2025/1/1 0:00:00\",\"PubModel\":\"eCollection\",\"JCR\":\"Q2\",\"JCRName\":\"ALLERGY\",\"Score\":null,\"Total\":0}","platform":"Semanticscholar","paperid":null,"PeriodicalName":"Journal of Asthma and Allergy","FirstCategoryId":"3","ListUrlMain":"https://doi.org/10.2147/JAA.S533633","RegionNum":3,"RegionCategory":"医学","ArticlePicture":[],"TitleCN":null,"AbstractTextCN":null,"PMCID":null,"EPubDate":"2025/1/1 0:00:00","PubModel":"eCollection","JCR":"Q2","JCRName":"ALLERGY","Score":null,"Total":0}
引用次数: 0

摘要

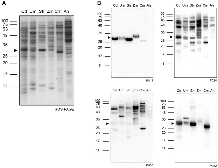
背景:花粉引发的变应性鼻炎(AR)是一个日益受到全球公共卫生关注的问题。本研究旨在:1)分析泰国AR患者对草和杂草花粉的IgE反应性;2)评估ige反应蛋白条带的流行程度和强度;3)研究花粉种间的交叉反应性。方法:采集泰国曼谷成人AR患者血清,获取皮肤点刺试验(SPT)数据。ELISA检测了四种草(百慕大草、帕拉草、约翰逊草、马尼拉草)和两种草(豆蔻草、草草)花粉提取物的IgE反应性,使用119例患者血清。免疫印迹法鉴定了65例SPT阳性患者血清中的ige反应蛋白条带。免疫印迹和酶联免疫吸附试验证实了交叉反应性。结果:江蓠的ELISA光密度(OD)值最高。不同花粉种间IgE反应性呈显著正相关(rs = 0.740 ~ 0.935, p < 0.0001),禾草间相关性更强。免疫印迹鉴定,30 kDa和63 kDa蛋白是禾本科植物中主要的ige反应蛋白,25 kDa和75 kDa蛋白是豆科植物中主要的ige反应蛋白。条带数、ELISA OD和SPT轮大小在禾草种间呈显著正相关。ELISA与SPT结果呈正相关(rs = 0.27, p = 0.030)。抑制试验证实了草和杂草种间的交叉反应性。结论:本研究强调了泰国AR患者花粉致敏性、交叉反应性和潜在新过敏原的变异性。这些发现对于提高花粉过敏的认识和改善诊断和治疗至关重要,特别是在热带/亚热带地区。
本文章由计算机程序翻译,如有差异,请以英文原文为准。

Insights into Local Grass and Weed Pollen Sensitization in Bangkok, Thailand: IgE Reactivity Patterns, Cross-Reactivity, and Putative Allergens.

Insights into Local Grass and Weed Pollen Sensitization in Bangkok, Thailand: IgE Reactivity Patterns, Cross-Reactivity, and Putative Allergens.

Insights into Local Grass and Weed Pollen Sensitization in Bangkok, Thailand: IgE Reactivity Patterns, Cross-Reactivity, and Putative Allergens.

Insights into Local Grass and Weed Pollen Sensitization in Bangkok, Thailand: IgE Reactivity Patterns, Cross-Reactivity, and Putative Allergens.

Background: Allergic rhinitis (AR) triggered by pollen is a growing global public health concern. This study aimed to: 1) analyze IgE reactivity to grass and weed pollen in Thai AR patients; 2) assess the prevalence and intensity of IgE-reactive protein bands; and 3) investigate cross-reactivity among pollen species.

Methods: Sera were collected from Thai adult AR patients in Bangkok, Thailand, and skin prick test (SPT) data were obtained. ELISA assessed IgE reactivity to pollen extracts from four grasses (Bermuda grass, para grass, Johnson grass, Manila grass) and two weeds (nutsedge, careless weed) using 119 patient sera. Immunoblot identified IgE-reactive protein bands using 65 patient sera with positive SPT. Cross-reactivity was confirmed by immunoblot and ELISA inhibition assays.

Results: Johnson grass showed the highest ELISA optical density (OD) values. Significant positive correlations (rs = 0.740 to 0.935, p < 0.0001) in IgE reactivity were observed among pollen species, with stronger correlations among grasses. Immunoblot identified 30 kDa and 63 kDa proteins as major IgE-reactive proteins in grasses, and 25 kDa and 75 kDa proteins in nutsedge. Strong positive correlations were found within grass species for number of bands, ELISA OD, and SPT wheal size. A positive correlation existed between ELISA and SPT results (rs = 0.27, p = 0.030). Inhibition assays confirmed cross-reactivity among grass and weed species.

Conclusion: This study highlights variability in pollen sensitization, cross-reactivity, and potential novel allergens in Thai AR patients. These findings are crucial for enhancing pollen allergy understanding and improving diagnostic and treatment, particularly in tropical/subtropical regions.

求助全文
通过发布文献求助,成功后即可免费获取论文全文。 去求助
来源期刊
Journal of Asthma and Allergy
Journal of Asthma and Allergy Medicine-Immunology and Allergy
CiteScore
5.30
自引率
6.20%
发文量
185
审稿时长
16 weeks
期刊介绍: An international, peer-reviewed journal publishing original research, reports, editorials and commentaries on the following topics: Asthma; Pulmonary physiology; Asthma related clinical health; Clinical immunology and the immunological basis of disease; Pharmacological interventions and new therapies. Although the main focus of the journal will be to publish research and clinical results in humans, preclinical, animal and in vitro studies will be published where they shed light on disease processes and potential new therapies.
×
引用
GB/T 7714-2015
复制
MLA
复制
APA
复制
导出至
BibTeX EndNote RefMan NoteFirst NoteExpress
×
提示
您的信息不完整,为了账户安全,请先补充。
现在去补充
×
提示
您因"违规操作"
具体请查看互助需知
我知道了
×
提示
确定
请完成安全验证×
copy
已复制链接
快去分享给好友吧!
我知道了
右上角分享
点击右上角分享
0
联系我们:info@booksci.cn Book学术提供免费学术资源搜索服务,方便国内外学者检索中英文文献。致力于提供最便捷和优质的服务体验。 Copyright © 2023 布克学术 All rights reserved.
京ICP备2023020795号-1
ghs 京公网安备 11010802042870号
Book学术文献互助
Book学术文献互助群
群 号:604180095
Book学术官方微信