隐蔽性外伤性气胸单肺通气避免预防性胸管麻醉处理1例。

IF 1 Q3 ANESTHESIOLOGY
Kazuyasu Aoki, Taku Mayahara, Tomohiro Katayama, Yuya Hirai, Masao Uchihashi, Ryosuke Fukuoka
{"title":"隐蔽性外伤性气胸单肺通气避免预防性胸管麻醉处理1例。","authors":"Kazuyasu Aoki, Taku Mayahara, Tomohiro Katayama, Yuya Hirai, Masao Uchihashi, Ryosuke Fukuoka","doi":"10.1186/s40981-025-00812-w","DOIUrl":null,"url":null,"abstract":"<p><strong>Background: </strong>Guidelines recommend prophylactic chest tube placement in patients with traumatic pneumothorax who require positive pressure ventilation to prevent tension pneumothorax. However, chest tube insertion is not without complications, and avoiding it when safely possible is desirable.</p><p><strong>Case presentation: </strong>A man in his 50 s with a left clavicle fracture and mild left-sided occult pneumothorax on computed tomography was scheduled for surgery under general anesthesia. Conservative management was chosen given the absence of respiratory symptoms and stable imaging. To minimize the risk of pneumothorax progression during positive pressure ventilation, one-lung ventilation was employed to avoid ventilating the affected lung. Surgery proceeded uneventfully, with transient hypoxemia that was managed by increasing FiO<sub>2</sub> to 100%. Postoperative imaging confirmed re-expansion of the left lung and no pneumothorax progression. The patient was discharged in good condition.</p><p><strong>Conclusions: </strong>General anesthesia was safely managed without prophylactic chest tube placement by employing one-lung ventilation in a patient with occult traumatic pneumothorax.</p>","PeriodicalId":14635,"journal":{"name":"JA Clinical Reports","volume":"11 1","pages":"47"},"PeriodicalIF":1.0000,"publicationDate":"2025-08-29","publicationTypes":"Journal Article","fieldsOfStudy":null,"isOpenAccess":false,"openAccessPdf":"https://www.ncbi.nlm.nih.gov/pmc/articles/PMC12397462/pdf/","citationCount":"0","resultStr":"{\"title\":\"Anesthetic management of occult traumatic pneumothorax with one-lung ventilation avoiding prophylactic chest tube: a case report.\",\"authors\":\"Kazuyasu Aoki, Taku Mayahara, Tomohiro Katayama, Yuya Hirai, Masao Uchihashi, Ryosuke Fukuoka\",\"doi\":\"10.1186/s40981-025-00812-w\",\"DOIUrl\":null,\"url\":null,\"abstract\":\"<p><strong>Background: </strong>Guidelines recommend prophylactic chest tube placement in patients with traumatic pneumothorax who require positive pressure ventilation to prevent tension pneumothorax. However, chest tube insertion is not without complications, and avoiding it when safely possible is desirable.</p><p><strong>Case presentation: </strong>A man in his 50 s with a left clavicle fracture and mild left-sided occult pneumothorax on computed tomography was scheduled for surgery under general anesthesia. Conservative management was chosen given the absence of respiratory symptoms and stable imaging. To minimize the risk of pneumothorax progression during positive pressure ventilation, one-lung ventilation was employed to avoid ventilating the affected lung. Surgery proceeded uneventfully, with transient hypoxemia that was managed by increasing FiO<sub>2</sub> to 100%. Postoperative imaging confirmed re-expansion of the left lung and no pneumothorax progression. The patient was discharged in good condition.</p><p><strong>Conclusions: </strong>General anesthesia was safely managed without prophylactic chest tube placement by employing one-lung ventilation in a patient with occult traumatic pneumothorax.</p>\",\"PeriodicalId\":14635,\"journal\":{\"name\":\"JA Clinical Reports\",\"volume\":\"11 1\",\"pages\":\"47\"},\"PeriodicalIF\":1.0000,\"publicationDate\":\"2025-08-29\",\"publicationTypes\":\"Journal Article\",\"fieldsOfStudy\":null,\"isOpenAccess\":false,\"openAccessPdf\":\"https://www.ncbi.nlm.nih.gov/pmc/articles/PMC12397462/pdf/\",\"citationCount\":\"0\",\"resultStr\":null,\"platform\":\"Semanticscholar\",\"paperid\":null,\"PeriodicalName\":\"JA Clinical Reports\",\"FirstCategoryId\":\"1085\",\"ListUrlMain\":\"https://doi.org/10.1186/s40981-025-00812-w\",\"RegionNum\":0,\"RegionCategory\":null,\"ArticlePicture\":[],\"TitleCN\":null,\"AbstractTextCN\":null,\"PMCID\":null,\"EPubDate\":\"\",\"PubModel\":\"\",\"JCR\":\"Q3\",\"JCRName\":\"ANESTHESIOLOGY\",\"Score\":null,\"Total\":0}","platform":"Semanticscholar","paperid":null,"PeriodicalName":"JA Clinical Reports","FirstCategoryId":"1085","ListUrlMain":"https://doi.org/10.1186/s40981-025-00812-w","RegionNum":0,"RegionCategory":null,"ArticlePicture":[],"TitleCN":null,"AbstractTextCN":null,"PMCID":null,"EPubDate":"","PubModel":"","JCR":"Q3","JCRName":"ANESTHESIOLOGY","Score":null,"Total":0}
引用次数: 0

摘要

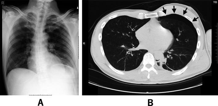
背景:指南建议需要正压通气的外伤性气胸患者预防性放置胸管以防止紧张性气胸。然而,胸管插入并非没有并发症,在安全的情况下避免它是可取的。病例介绍:一名50多岁男性,左侧锁骨骨折,ct显示为轻度左侧隐蔽性气胸,计划在全身麻醉下进行手术。考虑到患者无呼吸道症状且影像学稳定,选择保守治疗。为了减少正压通气期间气胸进展的风险,采用单肺通气避免对受影响的肺进行通气。手术顺利进行,短暂性低氧血症通过将FiO2增加到100%得到控制。术后影像学证实左肺再次扩张,无气胸进展。病人出院时情况良好。结论:1例隐蔽性外伤性气胸患者采用单肺通气,全麻安全,无需预防性置胸管。
本文章由计算机程序翻译,如有差异,请以英文原文为准。

Anesthetic management of occult traumatic pneumothorax with one-lung ventilation avoiding prophylactic chest tube: a case report.

Anesthetic management of occult traumatic pneumothorax with one-lung ventilation avoiding prophylactic chest tube: a case report.

Anesthetic management of occult traumatic pneumothorax with one-lung ventilation avoiding prophylactic chest tube: a case report.

Anesthetic management of occult traumatic pneumothorax with one-lung ventilation avoiding prophylactic chest tube: a case report.

Background: Guidelines recommend prophylactic chest tube placement in patients with traumatic pneumothorax who require positive pressure ventilation to prevent tension pneumothorax. However, chest tube insertion is not without complications, and avoiding it when safely possible is desirable.

Case presentation: A man in his 50 s with a left clavicle fracture and mild left-sided occult pneumothorax on computed tomography was scheduled for surgery under general anesthesia. Conservative management was chosen given the absence of respiratory symptoms and stable imaging. To minimize the risk of pneumothorax progression during positive pressure ventilation, one-lung ventilation was employed to avoid ventilating the affected lung. Surgery proceeded uneventfully, with transient hypoxemia that was managed by increasing FiO2 to 100%. Postoperative imaging confirmed re-expansion of the left lung and no pneumothorax progression. The patient was discharged in good condition.

Conclusions: General anesthesia was safely managed without prophylactic chest tube placement by employing one-lung ventilation in a patient with occult traumatic pneumothorax.

求助全文
通过发布文献求助,成功后即可免费获取论文全文。 去求助
来源期刊
JA Clinical Reports
JA Clinical Reports ANESTHESIOLOGY-
CiteScore
1.30
自引率
0.00%
发文量
90
审稿时长
9 weeks
期刊介绍: JA Clinical Reports is a companion journal to the Journal of Anesthesia (JA), the official journal of the Japanese Society of Anesthesiologists (JSA). This journal is an open access, peer-reviewed, online journal related to clinical anesthesia practices such as anesthesia management, pain management and intensive care. Case reports are very important articles from the viewpoint of education and the cultivation of scientific thinking in the field of anesthesia. However, submissions of anesthesia research and clinical reports from Japan are notably decreasing in major anesthesia journals. Therefore, the JSA has decided to launch a new journal, JA Clinical Reports, to encourage JSA members, particularly junior Japanese anesthesiologists, to publish papers in English language.
×
引用
GB/T 7714-2015
复制
MLA
复制
APA
复制
导出至
BibTeX EndNote RefMan NoteFirst NoteExpress
×
提示
您的信息不完整,为了账户安全,请先补充。
现在去补充
×
提示
您因"违规操作"
具体请查看互助需知
我知道了
×
提示
确定
请完成安全验证×
copy
已复制链接
快去分享给好友吧!
我知道了
右上角分享
点击右上角分享
0
联系我们:info@booksci.cn Book学术提供免费学术资源搜索服务,方便国内外学者检索中英文文献。致力于提供最便捷和优质的服务体验。 Copyright © 2023 布克学术 All rights reserved.
京ICP备2023020795号-1
ghs 京公网安备 11010802042870号
Book学术文献互助
Book学术文献互助群
群 号:604180095
Book学术官方微信