主动脉夹层的延迟诊断:胸片上被忽视的线索。

IF 2 Q2 EMERGENCY MEDICINE
Yao Chen, Wenjin Wang, Lian Lin, Zhankai Tang
{"title":"主动脉夹层的延迟诊断:胸片上被忽视的线索。","authors":"Yao Chen, Wenjin Wang, Lian Lin, Zhankai Tang","doi":"10.1186/s12245-025-00971-8","DOIUrl":null,"url":null,"abstract":"<p><strong>Background: </strong>Acute aortic dissection (AD) is a life-threatening vascular emergency requiring immediate intervention, with mortality rates increasing by 1-2% per hour post-onset. The pathophysiology involves an intimal tear that permits blood to enter the medial layer, forming a false lumen that may expand and compromise branch vessels and end-organ perfusion. Current guidelines from the European Society of Cardiology (ESC), American College of Cardiology (ACC), and American Heart Association (AHA) highlight the necessity of risk stratification based on clinical features (e.g., tearing pain, pulse deficits), predisposing factors (e.g., hypertension), and D-dimer levels, followed by confirmatory imaging with transthoracic echocardiography (TTE) or computed tomography angiography (CTA). Despite advancements in imaging, chest radiography (CXR) remains underutilized; however, key findings-such as mediastinal widening (≥ 5 cm at the aortic knob), abnormal aortic contour, and displaced intimal calcifications-can offer critical diagnostic information.</p><p><strong>Case report: </strong>A young male patient presented with acute chest pain following strenuous exertion. Initial outpatient evaluation, including complete blood count (CBC), liver function tests (LFTs), renal function tests (RFTs), cardiac enzymes, and chest X-ray (CXR), yielded nondiagnostic results, leading to his discharge with analgesics. Three days later, during a national holiday when outpatient clinics were closed, the patient returned to the emergency department (ED) with persistent chest pain. A meticulous review of the initial CXR by the emergency physician revealed mediastinal widening (measuring 8.5 cm) and an abnormal contour of the aorta. Subsequent emergency computed tomography angiography (CTA) confirmed the diagnosis of a Stanford type B aortic dissection.</p><p><strong>Conclusions: </strong>This case underscores two critical learning points: (1) the diagnostic pitfalls associated with atypical early presentations of aortic dissection, and (2) the often underappreciated value of meticulous interpretation of chest X-rays in the evaluation of acute chest pain, particularly when initial studies yield unremarkable results. The three-day diagnostic delay emphasizes the necessity of maintaining a high index of suspicion for aortic dissection, even in young patients lacking classic risk factors.</p>","PeriodicalId":13967,"journal":{"name":"International Journal of Emergency Medicine","volume":"18 1","pages":"158"},"PeriodicalIF":2.0000,"publicationDate":"2025-08-27","publicationTypes":"Journal Article","fieldsOfStudy":null,"isOpenAccess":false,"openAccessPdf":"https://www.ncbi.nlm.nih.gov/pmc/articles/PMC12382138/pdf/","citationCount":"0","resultStr":"{\"title\":\"Delayed diagnosis of aortic dissection: the overlooked clues on chest X-ray.\",\"authors\":\"Yao Chen, Wenjin Wang, Lian Lin, Zhankai Tang\",\"doi\":\"10.1186/s12245-025-00971-8\",\"DOIUrl\":null,\"url\":null,\"abstract\":\"<p><strong>Background: </strong>Acute aortic dissection (AD) is a life-threatening vascular emergency requiring immediate intervention, with mortality rates increasing by 1-2% per hour post-onset. The pathophysiology involves an intimal tear that permits blood to enter the medial layer, forming a false lumen that may expand and compromise branch vessels and end-organ perfusion. Current guidelines from the European Society of Cardiology (ESC), American College of Cardiology (ACC), and American Heart Association (AHA) highlight the necessity of risk stratification based on clinical features (e.g., tearing pain, pulse deficits), predisposing factors (e.g., hypertension), and D-dimer levels, followed by confirmatory imaging with transthoracic echocardiography (TTE) or computed tomography angiography (CTA). Despite advancements in imaging, chest radiography (CXR) remains underutilized; however, key findings-such as mediastinal widening (≥ 5 cm at the aortic knob), abnormal aortic contour, and displaced intimal calcifications-can offer critical diagnostic information.</p><p><strong>Case report: </strong>A young male patient presented with acute chest pain following strenuous exertion. Initial outpatient evaluation, including complete blood count (CBC), liver function tests (LFTs), renal function tests (RFTs), cardiac enzymes, and chest X-ray (CXR), yielded nondiagnostic results, leading to his discharge with analgesics. Three days later, during a national holiday when outpatient clinics were closed, the patient returned to the emergency department (ED) with persistent chest pain. A meticulous review of the initial CXR by the emergency physician revealed mediastinal widening (measuring 8.5 cm) and an abnormal contour of the aorta. Subsequent emergency computed tomography angiography (CTA) confirmed the diagnosis of a Stanford type B aortic dissection.</p><p><strong>Conclusions: </strong>This case underscores two critical learning points: (1) the diagnostic pitfalls associated with atypical early presentations of aortic dissection, and (2) the often underappreciated value of meticulous interpretation of chest X-rays in the evaluation of acute chest pain, particularly when initial studies yield unremarkable results. The three-day diagnostic delay emphasizes the necessity of maintaining a high index of suspicion for aortic dissection, even in young patients lacking classic risk factors.</p>\",\"PeriodicalId\":13967,\"journal\":{\"name\":\"International Journal of Emergency Medicine\",\"volume\":\"18 1\",\"pages\":\"158\"},\"PeriodicalIF\":2.0000,\"publicationDate\":\"2025-08-27\",\"publicationTypes\":\"Journal Article\",\"fieldsOfStudy\":null,\"isOpenAccess\":false,\"openAccessPdf\":\"https://www.ncbi.nlm.nih.gov/pmc/articles/PMC12382138/pdf/\",\"citationCount\":\"0\",\"resultStr\":null,\"platform\":\"Semanticscholar\",\"paperid\":null,\"PeriodicalName\":\"International Journal of Emergency Medicine\",\"FirstCategoryId\":\"1085\",\"ListUrlMain\":\"https://doi.org/10.1186/s12245-025-00971-8\",\"RegionNum\":0,\"RegionCategory\":null,\"ArticlePicture\":[],\"TitleCN\":null,\"AbstractTextCN\":null,\"PMCID\":null,\"EPubDate\":\"\",\"PubModel\":\"\",\"JCR\":\"Q2\",\"JCRName\":\"EMERGENCY MEDICINE\",\"Score\":null,\"Total\":0}","platform":"Semanticscholar","paperid":null,"PeriodicalName":"International Journal of Emergency Medicine","FirstCategoryId":"1085","ListUrlMain":"https://doi.org/10.1186/s12245-025-00971-8","RegionNum":0,"RegionCategory":null,"ArticlePicture":[],"TitleCN":null,"AbstractTextCN":null,"PMCID":null,"EPubDate":"","PubModel":"","JCR":"Q2","JCRName":"EMERGENCY MEDICINE","Score":null,"Total":0}
引用次数: 0

摘要

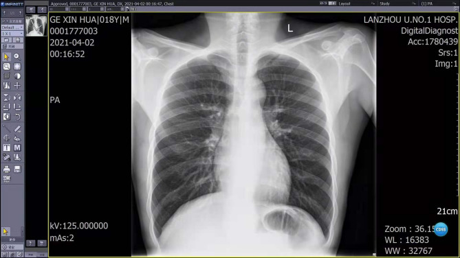
背景:急性主动脉夹层(AD)是一种危及生命的血管急症,需要立即干预,发病后每小时死亡率增加1-2%。病理生理包括内膜撕裂,允许血液进入内层,形成假腔,可能扩张并损害分支血管和终末器官灌注。目前来自欧洲心脏病学会(ESC)、美国心脏病学会(ACC)和美国心脏协会(AHA)的指南强调了基于临床特征(如撕裂痛、脉搏不足)、易感因素(如高血压)和d -二聚体水平进行风险分层的必要性,随后采用经胸超声心动图(TTE)或计算机断层血管造影(CTA)进行确认性成像。尽管成像技术取得了进步,但胸部x线摄影(CXR)仍未得到充分利用;然而,关键的发现,如纵隔增宽(主动脉结节处≥5cm)、主动脉轮廓异常和内膜钙化移位,可以提供关键的诊断信息。病例报告:一名年轻男性患者在剧烈运动后出现急性胸痛。最初的门诊评估,包括全血计数(CBC)、肝功能检查(LFTs)、肾功能检查(RFTs)、心酶检查和胸部x光检查(CXR),均未得出诊断结果,导致患者使用止痛药出院。三天后,在一个法定假日期间,门诊诊所关闭,患者因持续的胸痛回到急诊室(ED)。急诊医生仔细检查了最初的x光检查,发现纵隔增宽(8.5 cm)和主动脉轮廓异常。随后的紧急计算机断层血管造影(CTA)证实了斯坦福B型主动脉夹层的诊断。结论:该病例强调了两个重要的学习要点:(1)与主动脉夹层非典型早期表现相关的诊断缺陷;(2)在评估急性胸痛时,尤其是在初步研究结果不显著的情况下,仔细解释胸部x光片的价值往往被低估。三天的诊断延迟强调了对主动脉夹层保持高度怀疑的必要性,即使是对缺乏典型危险因素的年轻患者也是如此。
本文章由计算机程序翻译,如有差异,请以英文原文为准。

Delayed diagnosis of aortic dissection: the overlooked clues on chest X-ray.

Delayed diagnosis of aortic dissection: the overlooked clues on chest X-ray.

Delayed diagnosis of aortic dissection: the overlooked clues on chest X-ray.

Delayed diagnosis of aortic dissection: the overlooked clues on chest X-ray.

Background: Acute aortic dissection (AD) is a life-threatening vascular emergency requiring immediate intervention, with mortality rates increasing by 1-2% per hour post-onset. The pathophysiology involves an intimal tear that permits blood to enter the medial layer, forming a false lumen that may expand and compromise branch vessels and end-organ perfusion. Current guidelines from the European Society of Cardiology (ESC), American College of Cardiology (ACC), and American Heart Association (AHA) highlight the necessity of risk stratification based on clinical features (e.g., tearing pain, pulse deficits), predisposing factors (e.g., hypertension), and D-dimer levels, followed by confirmatory imaging with transthoracic echocardiography (TTE) or computed tomography angiography (CTA). Despite advancements in imaging, chest radiography (CXR) remains underutilized; however, key findings-such as mediastinal widening (≥ 5 cm at the aortic knob), abnormal aortic contour, and displaced intimal calcifications-can offer critical diagnostic information.

Case report: A young male patient presented with acute chest pain following strenuous exertion. Initial outpatient evaluation, including complete blood count (CBC), liver function tests (LFTs), renal function tests (RFTs), cardiac enzymes, and chest X-ray (CXR), yielded nondiagnostic results, leading to his discharge with analgesics. Three days later, during a national holiday when outpatient clinics were closed, the patient returned to the emergency department (ED) with persistent chest pain. A meticulous review of the initial CXR by the emergency physician revealed mediastinal widening (measuring 8.5 cm) and an abnormal contour of the aorta. Subsequent emergency computed tomography angiography (CTA) confirmed the diagnosis of a Stanford type B aortic dissection.

Conclusions: This case underscores two critical learning points: (1) the diagnostic pitfalls associated with atypical early presentations of aortic dissection, and (2) the often underappreciated value of meticulous interpretation of chest X-rays in the evaluation of acute chest pain, particularly when initial studies yield unremarkable results. The three-day diagnostic delay emphasizes the necessity of maintaining a high index of suspicion for aortic dissection, even in young patients lacking classic risk factors.

求助全文
通过发布文献求助,成功后即可免费获取论文全文。 去求助
来源期刊
CiteScore
4.60
自引率
0.00%
发文量
63
审稿时长
13 weeks
期刊介绍: The aim of the journal is to bring to light the various clinical advancements and research developments attained over the world and thus help the specialty forge ahead. It is directed towards physicians and medical personnel undergoing training or working within the field of Emergency Medicine. Medical students who are interested in pursuing a career in Emergency Medicine will also benefit from the journal. This is particularly useful for trainees in countries where the specialty is still in its infancy. Disciplines covered will include interesting clinical cases, the latest evidence-based practice and research developments in Emergency medicine including emergency pediatrics.
×
引用
GB/T 7714-2015
复制
MLA
复制
APA
复制
导出至
BibTeX EndNote RefMan NoteFirst NoteExpress
×
提示
您的信息不完整,为了账户安全,请先补充。
现在去补充
×
提示
您因"违规操作"
具体请查看互助需知
我知道了
×
提示
确定
请完成安全验证×
copy
已复制链接
快去分享给好友吧!
我知道了
右上角分享
点击右上角分享
0
联系我们:info@booksci.cn Book学术提供免费学术资源搜索服务,方便国内外学者检索中英文文献。致力于提供最便捷和优质的服务体验。 Copyright © 2023 布克学术 All rights reserved.
京ICP备2023020795号-1
ghs 京公网安备 11010802042870号
Book学术文献互助
Book学术文献互助群
群 号:604180095
Book学术官方微信