横波弹性成像评估原发性肾病综合征患儿肾脏。

IF 4.5 2区 医学 Q1 RADIOLOGY, NUCLEAR MEDICINE & MEDICAL IMAGING
Jianhuan Yang, Fangfang Yu, Dexuan Wang, Maosheng Xu, Hongxia Luo
{"title":"横波弹性成像评估原发性肾病综合征患儿肾脏。","authors":"Jianhuan Yang, Fangfang Yu, Dexuan Wang, Maosheng Xu, Hongxia Luo","doi":"10.1186/s13244-025-02070-x","DOIUrl":null,"url":null,"abstract":"<p><strong>Objective: </strong>Primary nephrotic syndrome (PNS) is a prevalent kidney disorder in pediatric patients, characterized by significant proteinuria, hypoalbuminemia, and edema, which poses serious health risks and economic burdens due to frequent relapses and hospitalizations. This study aims to explore the utility of shear wave elastography (SWE) as a novel, non-invasive biomarker for assessing renal health in this population.</p><p><strong>Materials and methods: </strong>We used a cross-sectional design involving 76 pediatric patients with PNS and a control group, and measured renal stiffness through SWE The clinical characteristics of the nephrotic group were collected, including age, sex, disease duration, clinical type, 24-h urine protein, plasma albumin, and the relationship with 2D-SWE value was analyzed.</p><p><strong>Results: </strong>Our results demonstrated a significant difference in renal elasticity, with the nephrotic syndrome group exhibiting a mean shear wave velocity (YM) of 22.36 ± 8.53 kPa compared to 17.51 ± 4.09 kPa in controls (p < 0.05). Furthermore, the area under the ROC curve for SWE was 0.67, indicating moderate predictive capability for renal damage. Notably, there were no significant differences in YM values across various clinical classifications of nephrotic syndrome, suggesting a uniform renal damage assessment irrespective of clinical type. Additionally, renal elasticity did not significantly vary regardless of whether the patient's proteinuria had improved. (p = 0.464), indicating SWE's potential as an independent biomarker.</p><p><strong>Conclusions: </strong>Our findings highlight the promise of SWE in enhancing diagnostic accuracy and prognostic evaluation in pediatric nephrotic syndrome.</p><p><strong>Critical relevance statement: </strong>Shear wave elastography is a valuable noninvasive method for assessing renal elasticity in children with primary nephrotic syndrome.</p><p><strong>Key points: </strong>Shear wave elastography (SWE) can be used to evaluate the elasticity of renal tissue. SWE values were higher in children with PNS than in the control group. SWE is a valuable non-invasive method for assessing renal elasticity in children with PNS.</p>","PeriodicalId":13639,"journal":{"name":"Insights into Imaging","volume":"16 1","pages":"183"},"PeriodicalIF":4.5000,"publicationDate":"2025-08-23","publicationTypes":"Journal Article","fieldsOfStudy":null,"isOpenAccess":false,"openAccessPdf":"https://www.ncbi.nlm.nih.gov/pmc/articles/PMC12374920/pdf/","citationCount":"0","resultStr":"{\"title\":\"Shear wave elastography for assessing kidneys in pediatric patients with primary nephrotic syndrome.\",\"authors\":\"Jianhuan Yang, Fangfang Yu, Dexuan Wang, Maosheng Xu, Hongxia Luo\",\"doi\":\"10.1186/s13244-025-02070-x\",\"DOIUrl\":null,\"url\":null,\"abstract\":\"<p><strong>Objective: </strong>Primary nephrotic syndrome (PNS) is a prevalent kidney disorder in pediatric patients, characterized by significant proteinuria, hypoalbuminemia, and edema, which poses serious health risks and economic burdens due to frequent relapses and hospitalizations. This study aims to explore the utility of shear wave elastography (SWE) as a novel, non-invasive biomarker for assessing renal health in this population.</p><p><strong>Materials and methods: </strong>We used a cross-sectional design involving 76 pediatric patients with PNS and a control group, and measured renal stiffness through SWE The clinical characteristics of the nephrotic group were collected, including age, sex, disease duration, clinical type, 24-h urine protein, plasma albumin, and the relationship with 2D-SWE value was analyzed.</p><p><strong>Results: </strong>Our results demonstrated a significant difference in renal elasticity, with the nephrotic syndrome group exhibiting a mean shear wave velocity (YM) of 22.36 ± 8.53 kPa compared to 17.51 ± 4.09 kPa in controls (p < 0.05). Furthermore, the area under the ROC curve for SWE was 0.67, indicating moderate predictive capability for renal damage. Notably, there were no significant differences in YM values across various clinical classifications of nephrotic syndrome, suggesting a uniform renal damage assessment irrespective of clinical type. Additionally, renal elasticity did not significantly vary regardless of whether the patient's proteinuria had improved. (p = 0.464), indicating SWE's potential as an independent biomarker.</p><p><strong>Conclusions: </strong>Our findings highlight the promise of SWE in enhancing diagnostic accuracy and prognostic evaluation in pediatric nephrotic syndrome.</p><p><strong>Critical relevance statement: </strong>Shear wave elastography is a valuable noninvasive method for assessing renal elasticity in children with primary nephrotic syndrome.</p><p><strong>Key points: </strong>Shear wave elastography (SWE) can be used to evaluate the elasticity of renal tissue. SWE values were higher in children with PNS than in the control group. SWE is a valuable non-invasive method for assessing renal elasticity in children with PNS.</p>\",\"PeriodicalId\":13639,\"journal\":{\"name\":\"Insights into Imaging\",\"volume\":\"16 1\",\"pages\":\"183\"},\"PeriodicalIF\":4.5000,\"publicationDate\":\"2025-08-23\",\"publicationTypes\":\"Journal Article\",\"fieldsOfStudy\":null,\"isOpenAccess\":false,\"openAccessPdf\":\"https://www.ncbi.nlm.nih.gov/pmc/articles/PMC12374920/pdf/\",\"citationCount\":\"0\",\"resultStr\":null,\"platform\":\"Semanticscholar\",\"paperid\":null,\"PeriodicalName\":\"Insights into Imaging\",\"FirstCategoryId\":\"3\",\"ListUrlMain\":\"https://doi.org/10.1186/s13244-025-02070-x\",\"RegionNum\":2,\"RegionCategory\":\"医学\",\"ArticlePicture\":[],\"TitleCN\":null,\"AbstractTextCN\":null,\"PMCID\":null,\"EPubDate\":\"\",\"PubModel\":\"\",\"JCR\":\"Q1\",\"JCRName\":\"RADIOLOGY, NUCLEAR MEDICINE & MEDICAL IMAGING\",\"Score\":null,\"Total\":0}","platform":"Semanticscholar","paperid":null,"PeriodicalName":"Insights into Imaging","FirstCategoryId":"3","ListUrlMain":"https://doi.org/10.1186/s13244-025-02070-x","RegionNum":2,"RegionCategory":"医学","ArticlePicture":[],"TitleCN":null,"AbstractTextCN":null,"PMCID":null,"EPubDate":"","PubModel":"","JCR":"Q1","JCRName":"RADIOLOGY, NUCLEAR MEDICINE & MEDICAL IMAGING","Score":null,"Total":0}
引用次数: 0

摘要

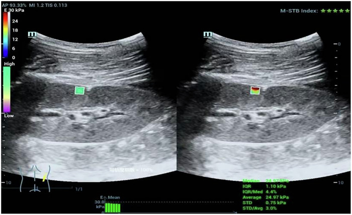
目的:原发性肾病综合征(Primary nephrotic syndrome, PNS)是一种常见于儿科患者的肾脏疾病,以显著的蛋白尿、低白蛋白血症和水肿为特征,由于频繁复发和住院,给患者带来了严重的健康风险和经济负担。本研究旨在探索横波弹性成像(SWE)作为一种新型的、无创的生物标志物,用于评估这一人群的肾脏健康状况。材料与方法:我们采用横断面设计,包括76例小儿PNS患者和对照组,通过SWE测量肾脏硬度,收集肾病组的临床特征,包括年龄、性别、病程、临床类型、24小时尿蛋白、血浆白蛋白,并分析其与2D-SWE值的关系。结果:我们的研究结果显示肾脏弹性有显著差异,肾病综合征组的平均横波速度(YM)为22.36±8.53 kPa,而对照组为17.51±4.09 kPa (p结论:我们的研究结果强调了SWE在提高儿科肾病综合征的诊断准确性和预后评估方面的前景。关键相关性声明:横波弹性成像是评估原发性肾病综合征儿童肾脏弹性的一种有价值的无创方法。重点:横波弹性成像(SWE)可用于评估肾组织的弹性。PNS患儿的SWE值高于对照组。SWE是评估PNS患儿肾脏弹性的一种有价值的无创方法。
本文章由计算机程序翻译,如有差异,请以英文原文为准。

Shear wave elastography for assessing kidneys in pediatric patients with primary nephrotic syndrome.

Shear wave elastography for assessing kidneys in pediatric patients with primary nephrotic syndrome.

Shear wave elastography for assessing kidneys in pediatric patients with primary nephrotic syndrome.

Shear wave elastography for assessing kidneys in pediatric patients with primary nephrotic syndrome.

Objective: Primary nephrotic syndrome (PNS) is a prevalent kidney disorder in pediatric patients, characterized by significant proteinuria, hypoalbuminemia, and edema, which poses serious health risks and economic burdens due to frequent relapses and hospitalizations. This study aims to explore the utility of shear wave elastography (SWE) as a novel, non-invasive biomarker for assessing renal health in this population.

Materials and methods: We used a cross-sectional design involving 76 pediatric patients with PNS and a control group, and measured renal stiffness through SWE The clinical characteristics of the nephrotic group were collected, including age, sex, disease duration, clinical type, 24-h urine protein, plasma albumin, and the relationship with 2D-SWE value was analyzed.

Results: Our results demonstrated a significant difference in renal elasticity, with the nephrotic syndrome group exhibiting a mean shear wave velocity (YM) of 22.36 ± 8.53 kPa compared to 17.51 ± 4.09 kPa in controls (p < 0.05). Furthermore, the area under the ROC curve for SWE was 0.67, indicating moderate predictive capability for renal damage. Notably, there were no significant differences in YM values across various clinical classifications of nephrotic syndrome, suggesting a uniform renal damage assessment irrespective of clinical type. Additionally, renal elasticity did not significantly vary regardless of whether the patient's proteinuria had improved. (p = 0.464), indicating SWE's potential as an independent biomarker.

Conclusions: Our findings highlight the promise of SWE in enhancing diagnostic accuracy and prognostic evaluation in pediatric nephrotic syndrome.

Critical relevance statement: Shear wave elastography is a valuable noninvasive method for assessing renal elasticity in children with primary nephrotic syndrome.

Key points: Shear wave elastography (SWE) can be used to evaluate the elasticity of renal tissue. SWE values were higher in children with PNS than in the control group. SWE is a valuable non-invasive method for assessing renal elasticity in children with PNS.

求助全文
通过发布文献求助,成功后即可免费获取论文全文。 去求助
来源期刊
Insights into Imaging
Insights into Imaging Medicine-Radiology, Nuclear Medicine and Imaging
CiteScore
7.30
自引率
4.30%
发文量
182
审稿时长
13 weeks
期刊介绍: Insights into Imaging (I³) is a peer-reviewed open access journal published under the brand SpringerOpen. All content published in the journal is freely available online to anyone, anywhere! I³ continuously updates scientific knowledge and progress in best-practice standards in radiology through the publication of original articles and state-of-the-art reviews and opinions, along with recommendations and statements from the leading radiological societies in Europe. Founded by the European Society of Radiology (ESR), I³ creates a platform for educational material, guidelines and recommendations, and a forum for topics of controversy. A balanced combination of review articles, original papers, short communications from European radiological congresses and information on society matters makes I³ an indispensable source for current information in this field. I³ is owned by the ESR, however authors retain copyright to their article according to the Creative Commons Attribution License (see Copyright and License Agreement). All articles can be read, redistributed and reused for free, as long as the author of the original work is cited properly. The open access fees (article-processing charges) for this journal are kindly sponsored by ESR for all Members. The journal went open access in 2012, which means that all articles published since then are freely available online.
×
引用
GB/T 7714-2015
复制
MLA
复制
APA
复制
导出至
BibTeX EndNote RefMan NoteFirst NoteExpress
×
提示
您的信息不完整,为了账户安全,请先补充。
现在去补充
×
提示
您因"违规操作"
具体请查看互助需知
我知道了
×
提示
确定
请完成安全验证×
copy
已复制链接
快去分享给好友吧!
我知道了
右上角分享
点击右上角分享
0
联系我们:info@booksci.cn Book学术提供免费学术资源搜索服务,方便国内外学者检索中英文文献。致力于提供最便捷和优质的服务体验。 Copyright © 2023 布克学术 All rights reserved.
京ICP备2023020795号-1
ghs 京公网安备 11010802042870号
Book学术文献互助
Book学术文献互助群
群 号:604180095
Book学术官方微信