急性白血病的诊断挑战:从牙痛到灾难性脑出血。

IF 1.2 Q4 HEMATOLOGY
Anatoli Pinchuk, Stefan P Roch, Christian Mawrin, Daniel Behme, Klaus-Peter Stein, Belal Neyazi, Martin Mikusko, Ibrahim Erol Sandalcioglu, Ali Rashidi
{"title":"急性白血病的诊断挑战:从牙痛到灾难性脑出血。","authors":"Anatoli Pinchuk, Stefan P Roch, Christian Mawrin, Daniel Behme, Klaus-Peter Stein, Belal Neyazi, Martin Mikusko, Ibrahim Erol Sandalcioglu, Ali Rashidi","doi":"10.3390/hematolrep17040036","DOIUrl":null,"url":null,"abstract":"<p><p><b>Background and Clinical significance</b>: Acute leukemias are neoplasms of the hematopoietic system that are caused by the extensive proliferation of immature precursor cells ('blasts'), mainly in the bone marrow. They frequently manifest with vague and non-specific clinical symptoms, making early diagnosis particularly challenging. <b>Case Presentation</b>: This case report describes the clinical course of a female patient who initially sought dental care due to a persistent toothache-an atypical and misleading symptom. Subsequent investigations revealed a diagnosis of acute leukemia. Although the malignancy was identified promptly and the appropriate therapeutic measures were initiated, the disease progressed with alarming rapidity. The patient ultimately developed a massive intracerebral hemorrhage-a devastating complication likely related to leukemia-associated coagulopathy. Despite emergent neurosurgical intervention, the hemorrhage proved fatal. <b>Conclusions</b>: This case highlights the critical need for heightened clinical suspicion in the presence of unusual symptoms and illustrates the complex interplay between hematologic malignancies and coagulopathic complications.</p>","PeriodicalId":12829,"journal":{"name":"Hematology Reports","volume":"17 4","pages":""},"PeriodicalIF":1.2000,"publicationDate":"2025-07-23","publicationTypes":"Journal Article","fieldsOfStudy":null,"isOpenAccess":false,"openAccessPdf":"https://www.ncbi.nlm.nih.gov/pmc/articles/PMC12385712/pdf/","citationCount":"0","resultStr":"{\"title\":\"Diagnostic Challenges in Acute Leukemia: From Dental Pain to Catastrophic Intracerebral Hemorrhage.\",\"authors\":\"Anatoli Pinchuk, Stefan P Roch, Christian Mawrin, Daniel Behme, Klaus-Peter Stein, Belal Neyazi, Martin Mikusko, Ibrahim Erol Sandalcioglu, Ali Rashidi\",\"doi\":\"10.3390/hematolrep17040036\",\"DOIUrl\":null,\"url\":null,\"abstract\":\"<p><p><b>Background and Clinical significance</b>: Acute leukemias are neoplasms of the hematopoietic system that are caused by the extensive proliferation of immature precursor cells ('blasts'), mainly in the bone marrow. They frequently manifest with vague and non-specific clinical symptoms, making early diagnosis particularly challenging. <b>Case Presentation</b>: This case report describes the clinical course of a female patient who initially sought dental care due to a persistent toothache-an atypical and misleading symptom. Subsequent investigations revealed a diagnosis of acute leukemia. Although the malignancy was identified promptly and the appropriate therapeutic measures were initiated, the disease progressed with alarming rapidity. The patient ultimately developed a massive intracerebral hemorrhage-a devastating complication likely related to leukemia-associated coagulopathy. Despite emergent neurosurgical intervention, the hemorrhage proved fatal. <b>Conclusions</b>: This case highlights the critical need for heightened clinical suspicion in the presence of unusual symptoms and illustrates the complex interplay between hematologic malignancies and coagulopathic complications.</p>\",\"PeriodicalId\":12829,\"journal\":{\"name\":\"Hematology Reports\",\"volume\":\"17 4\",\"pages\":\"\"},\"PeriodicalIF\":1.2000,\"publicationDate\":\"2025-07-23\",\"publicationTypes\":\"Journal Article\",\"fieldsOfStudy\":null,\"isOpenAccess\":false,\"openAccessPdf\":\"https://www.ncbi.nlm.nih.gov/pmc/articles/PMC12385712/pdf/\",\"citationCount\":\"0\",\"resultStr\":null,\"platform\":\"Semanticscholar\",\"paperid\":null,\"PeriodicalName\":\"Hematology Reports\",\"FirstCategoryId\":\"1085\",\"ListUrlMain\":\"https://doi.org/10.3390/hematolrep17040036\",\"RegionNum\":0,\"RegionCategory\":null,\"ArticlePicture\":[],\"TitleCN\":null,\"AbstractTextCN\":null,\"PMCID\":null,\"EPubDate\":\"\",\"PubModel\":\"\",\"JCR\":\"Q4\",\"JCRName\":\"HEMATOLOGY\",\"Score\":null,\"Total\":0}","platform":"Semanticscholar","paperid":null,"PeriodicalName":"Hematology Reports","FirstCategoryId":"1085","ListUrlMain":"https://doi.org/10.3390/hematolrep17040036","RegionNum":0,"RegionCategory":null,"ArticlePicture":[],"TitleCN":null,"AbstractTextCN":null,"PMCID":null,"EPubDate":"","PubModel":"","JCR":"Q4","JCRName":"HEMATOLOGY","Score":null,"Total":0}
引用次数: 0

摘要

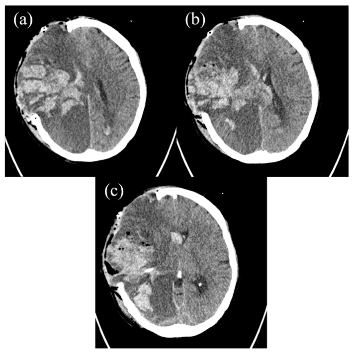
背景和临床意义:急性白血病是由未成熟前体细胞(“母细胞”)广泛增殖引起的造血系统肿瘤,主要发生在骨髓中。它们通常表现为模糊和非特异性的临床症状,使早期诊断特别具有挑战性。病例介绍:本病例报告描述了一位女性患者的临床过程,她最初因持续的牙痛而寻求牙科护理,这是一种非典型和误导性的症状。随后的检查显示诊断为急性白血病。虽然恶性肿瘤被及时发现并采取了适当的治疗措施,但疾病的发展速度惊人。患者最终出现了大量脑出血,这是一种可能与白血病相关凝血功能障碍有关的毁灭性并发症。尽管紧急的神经外科手术介入,出血证明是致命的。结论:该病例强调了在出现异常症状时提高临床怀疑的必要性,并说明了血液恶性肿瘤和凝血并发症之间复杂的相互作用。
本文章由计算机程序翻译,如有差异,请以英文原文为准。

Diagnostic Challenges in Acute Leukemia: From Dental Pain to Catastrophic Intracerebral Hemorrhage.

Diagnostic Challenges in Acute Leukemia: From Dental Pain to Catastrophic Intracerebral Hemorrhage.

Diagnostic Challenges in Acute Leukemia: From Dental Pain to Catastrophic Intracerebral Hemorrhage.

Diagnostic Challenges in Acute Leukemia: From Dental Pain to Catastrophic Intracerebral Hemorrhage.

Background and Clinical significance: Acute leukemias are neoplasms of the hematopoietic system that are caused by the extensive proliferation of immature precursor cells ('blasts'), mainly in the bone marrow. They frequently manifest with vague and non-specific clinical symptoms, making early diagnosis particularly challenging. Case Presentation: This case report describes the clinical course of a female patient who initially sought dental care due to a persistent toothache-an atypical and misleading symptom. Subsequent investigations revealed a diagnosis of acute leukemia. Although the malignancy was identified promptly and the appropriate therapeutic measures were initiated, the disease progressed with alarming rapidity. The patient ultimately developed a massive intracerebral hemorrhage-a devastating complication likely related to leukemia-associated coagulopathy. Despite emergent neurosurgical intervention, the hemorrhage proved fatal. Conclusions: This case highlights the critical need for heightened clinical suspicion in the presence of unusual symptoms and illustrates the complex interplay between hematologic malignancies and coagulopathic complications.

求助全文
通过发布文献求助,成功后即可免费获取论文全文。 去求助
来源期刊
Hematology Reports
Hematology Reports HEMATOLOGY-
CiteScore
0.90
自引率
0.00%
发文量
47
审稿时长
10 weeks
×
引用
GB/T 7714-2015
复制
MLA
复制
APA
复制
导出至
BibTeX EndNote RefMan NoteFirst NoteExpress
×
提示
您的信息不完整,为了账户安全,请先补充。
现在去补充
×
提示
您因"违规操作"
具体请查看互助需知
我知道了
×
提示
确定
请完成安全验证×
copy
已复制链接
快去分享给好友吧!
我知道了
右上角分享
点击右上角分享
0
联系我们:info@booksci.cn Book学术提供免费学术资源搜索服务,方便国内外学者检索中英文文献。致力于提供最便捷和优质的服务体验。 Copyright © 2023 布克学术 All rights reserved.
京ICP备2023020795号-1
ghs 京公网安备 11010802042870号
Book学术文献互助
Book学术文献互助群
群 号:604180095
Book学术官方微信