一滴血引路。

IF 1.2 Q4 HEMATOLOGY
Theodora A M Claushuis, Marielle J Wondergem, Henriette B Beverloo, Marise R Heerma van Voss, Remco J Molenaar, Maud Zwolsman, Fleur M van der Valk, Hans L Mooij, Lianne Koens, Sanne H Tonino
{"title":"一滴血引路。","authors":"Theodora A M Claushuis, Marielle J Wondergem, Henriette B Beverloo, Marise R Heerma van Voss, Remco J Molenaar, Maud Zwolsman, Fleur M van der Valk, Hans L Mooij, Lianne Koens, Sanne H Tonino","doi":"10.3390/hematolrep17040040","DOIUrl":null,"url":null,"abstract":"<p><p><b>Background and Significances:</b> In patients with Epstein-Barr virus-driven hemophagocytic lymphohistiocytosis (EBV-HLH), identifying the underlying cause poses a significant diagnostic challenge. HLH may precede overt disease, and early directed treatment for HLH can obscure histopathological findings. A liquid biopsy enables the detection of tumor-derived DNA from various sources, including cell-free DNA, circulating tumor cells, extracellular vesicles, and tumor-educated platelets, and might aid in this setting. <b>Case Presentation:</b> This case presents a young patient with EBV-HLH, in which genomic analysis of tumor-derived DNA from circulating tumor cells led to the diagnosis of an EBV-positive NK/T-cell lymphoma-where conventional tissue biopsies had failed. <b>Conclusions:</b> This report underscores the potential of the liquid biopsy as a valuable diagnostic tool in complex cases of EBV-HLH.</p>","PeriodicalId":12829,"journal":{"name":"Hematology Reports","volume":"17 4","pages":""},"PeriodicalIF":1.2000,"publicationDate":"2025-08-05","publicationTypes":"Journal Article","fieldsOfStudy":null,"isOpenAccess":false,"openAccessPdf":"https://www.ncbi.nlm.nih.gov/pmc/articles/PMC12386260/pdf/","citationCount":"0","resultStr":"{\"title\":\"A Drop of Blood to Lead the Way.\",\"authors\":\"Theodora A M Claushuis, Marielle J Wondergem, Henriette B Beverloo, Marise R Heerma van Voss, Remco J Molenaar, Maud Zwolsman, Fleur M van der Valk, Hans L Mooij, Lianne Koens, Sanne H Tonino\",\"doi\":\"10.3390/hematolrep17040040\",\"DOIUrl\":null,\"url\":null,\"abstract\":\"<p><p><b>Background and Significances:</b> In patients with Epstein-Barr virus-driven hemophagocytic lymphohistiocytosis (EBV-HLH), identifying the underlying cause poses a significant diagnostic challenge. HLH may precede overt disease, and early directed treatment for HLH can obscure histopathological findings. A liquid biopsy enables the detection of tumor-derived DNA from various sources, including cell-free DNA, circulating tumor cells, extracellular vesicles, and tumor-educated platelets, and might aid in this setting. <b>Case Presentation:</b> This case presents a young patient with EBV-HLH, in which genomic analysis of tumor-derived DNA from circulating tumor cells led to the diagnosis of an EBV-positive NK/T-cell lymphoma-where conventional tissue biopsies had failed. <b>Conclusions:</b> This report underscores the potential of the liquid biopsy as a valuable diagnostic tool in complex cases of EBV-HLH.</p>\",\"PeriodicalId\":12829,\"journal\":{\"name\":\"Hematology Reports\",\"volume\":\"17 4\",\"pages\":\"\"},\"PeriodicalIF\":1.2000,\"publicationDate\":\"2025-08-05\",\"publicationTypes\":\"Journal Article\",\"fieldsOfStudy\":null,\"isOpenAccess\":false,\"openAccessPdf\":\"https://www.ncbi.nlm.nih.gov/pmc/articles/PMC12386260/pdf/\",\"citationCount\":\"0\",\"resultStr\":null,\"platform\":\"Semanticscholar\",\"paperid\":null,\"PeriodicalName\":\"Hematology Reports\",\"FirstCategoryId\":\"1085\",\"ListUrlMain\":\"https://doi.org/10.3390/hematolrep17040040\",\"RegionNum\":0,\"RegionCategory\":null,\"ArticlePicture\":[],\"TitleCN\":null,\"AbstractTextCN\":null,\"PMCID\":null,\"EPubDate\":\"\",\"PubModel\":\"\",\"JCR\":\"Q4\",\"JCRName\":\"HEMATOLOGY\",\"Score\":null,\"Total\":0}","platform":"Semanticscholar","paperid":null,"PeriodicalName":"Hematology Reports","FirstCategoryId":"1085","ListUrlMain":"https://doi.org/10.3390/hematolrep17040040","RegionNum":0,"RegionCategory":null,"ArticlePicture":[],"TitleCN":null,"AbstractTextCN":null,"PMCID":null,"EPubDate":"","PubModel":"","JCR":"Q4","JCRName":"HEMATOLOGY","Score":null,"Total":0}
引用次数: 0

摘要

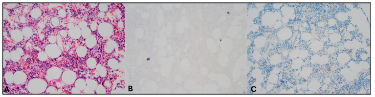
背景和意义:在爱泼斯坦-巴尔病毒驱动的噬血细胞淋巴组织细胞增多症(EBV-HLH)患者中,确定潜在的病因是一个重大的诊断挑战。HLH可能先于显性疾病,而早期针对HLH的定向治疗可能会掩盖组织病理学结果。液体活检可以检测各种来源的肿瘤来源DNA,包括无细胞DNA、循环肿瘤细胞、细胞外囊泡和肿瘤诱导的血小板,可能有助于这种情况的发生。病例介绍:该病例报告了一名年轻的EBV-HLH患者,对循环肿瘤细胞中肿瘤来源的DNA进行基因组分析,诊断为ebv阳性NK/ t细胞淋巴瘤,常规组织活检失败。结论:本报告强调了液体活检作为EBV-HLH复杂病例有价值的诊断工具的潜力。
本文章由计算机程序翻译,如有差异,请以英文原文为准。

A Drop of Blood to Lead the Way.

A Drop of Blood to Lead the Way.

A Drop of Blood to Lead the Way.

A Drop of Blood to Lead the Way.

Background and Significances: In patients with Epstein-Barr virus-driven hemophagocytic lymphohistiocytosis (EBV-HLH), identifying the underlying cause poses a significant diagnostic challenge. HLH may precede overt disease, and early directed treatment for HLH can obscure histopathological findings. A liquid biopsy enables the detection of tumor-derived DNA from various sources, including cell-free DNA, circulating tumor cells, extracellular vesicles, and tumor-educated platelets, and might aid in this setting. Case Presentation: This case presents a young patient with EBV-HLH, in which genomic analysis of tumor-derived DNA from circulating tumor cells led to the diagnosis of an EBV-positive NK/T-cell lymphoma-where conventional tissue biopsies had failed. Conclusions: This report underscores the potential of the liquid biopsy as a valuable diagnostic tool in complex cases of EBV-HLH.

求助全文
通过发布文献求助,成功后即可免费获取论文全文。 去求助
来源期刊
Hematology Reports
Hematology Reports HEMATOLOGY-
CiteScore
0.90
自引率
0.00%
发文量
47
审稿时长
10 weeks
×
引用
GB/T 7714-2015
复制
MLA
复制
APA
复制
导出至
BibTeX EndNote RefMan NoteFirst NoteExpress
×
提示
您的信息不完整,为了账户安全,请先补充。
现在去补充
×
提示
您因"违规操作"
具体请查看互助需知
我知道了
×
提示
确定
请完成安全验证×
copy
已复制链接
快去分享给好友吧!
我知道了
右上角分享
点击右上角分享
0
联系我们:info@booksci.cn Book学术提供免费学术资源搜索服务,方便国内外学者检索中英文文献。致力于提供最便捷和优质的服务体验。 Copyright © 2023 布克学术 All rights reserved.
京ICP备2023020795号-1
ghs 京公网安备 11010802042870号
Book学术文献互助
Book学术文献互助群
群 号:604180095
Book学术官方微信