人工智能驱动的体成分监测及其在接受镥-177 PSMA放射配体治疗的mCRPC中的预后作用:来自回顾性单中心分析的见解

IF 3.1 3区 医学 Q1 RADIOLOGY, NUCLEAR MEDICINE & MEDICAL IMAGING
Tristan Ruhwedel, Julian Rogasch, Markus Galler, Imke Schatka, Christoph Wetz, Christian Furth, Nadine Biernath, Maria De Santis, Seyd Shnayien, Johannes Kolck, Dominik Geisel, Holger Amthauer, Nick Lasse Beetz
{"title":"人工智能驱动的体成分监测及其在接受镥-177 PSMA放射配体治疗的mCRPC中的预后作用:来自回顾性单中心分析的见解","authors":"Tristan Ruhwedel, Julian Rogasch, Markus Galler, Imke Schatka, Christoph Wetz, Christian Furth, Nadine Biernath, Maria De Santis, Seyd Shnayien, Johannes Kolck, Dominik Geisel, Holger Amthauer, Nick Lasse Beetz","doi":"10.1186/s13550-025-01312-9","DOIUrl":null,"url":null,"abstract":"<p><strong>Background: </strong>Body composition (BC) analysis is performed to quantify the relative amounts of different body tissues as a measure of physical fitness and tumor cachexia. We hypothesized that relative changes in body composition (BC) parameters, assessed by an artificial intelligence-based, PACS-integrated software, between baseline imaging before the start of radioligand therapy (RLT) and interim staging after two RLT cycles could predict overall survival (OS) in patients with metastatic castration-resistant prostate cancer.</p><p><strong>Methods: </strong>We conducted a single-center, retrospective analysis of 92 patients with mCRPC undergoing [<sup>177</sup>Lu]Lu-PSMA RLT between September 2015 and December 2023. All patients had [<sup>68</sup> Ga]Ga-PSMA-11 PET/CT at baseline (≤ 6 weeks before the first RLT cycle) and at interim staging (6-8 weeks after the second RLT cycle) allowing for longitudinal BC assessment.</p><p><strong>Results: </strong>During follow-up, 78 patients (85%) died. Median OS was 16.3 months. Median follow-up time in survivors was 25.6 months. The 1 year mortality rate was 32.6% (95%CI 23.0-42.2%) and the 5 year mortality rate was 92.9% (95%CI 85.8-100.0%). In multivariable regression, relative change in visceral adipose tissue (VAT) (HR: 0.26; p = 0.006), previous chemotherapy of any type (HR: 2.4; p = 0.003), the presence of liver metastases (HR: 2.4; p = 0.018) and a higher baseline De Ritis ratio (HR: 1.4; p < 0.001) remained independent predictors of OS. Patients with a higher decrease in VAT (< -20%) had a median OS of 10.2 months versus 18.5 months in patients with a lower VAT decrease or VAT increase (≥ -20%) (log-rank test: p = 0.008). In a separate Cox model, the change in VAT predicted OS (p = 0.005) independent of the best PSA response after 1-2 RLT cycles (p = 0.09), and there was no interaction between the two (p = 0.09).</p><p><strong>Conclusions: </strong>PACS-Integrated, AI-based BC monitoring detects relative changes in the VAT, Which was an independent predictor of shorter OS in our population of patients undergoing RLT.</p>","PeriodicalId":11611,"journal":{"name":"EJNMMI Research","volume":"15 1","pages":"112"},"PeriodicalIF":3.1000,"publicationDate":"2025-08-28","publicationTypes":"Journal Article","fieldsOfStudy":null,"isOpenAccess":false,"openAccessPdf":"https://www.ncbi.nlm.nih.gov/pmc/articles/PMC12394111/pdf/","citationCount":"0","resultStr":"{\"title\":\"AI-driven body composition monitoring and its prognostic role in mCRPC undergoing lutetium-177 PSMA radioligand therapy: insights from a retrospective single-center analysis.\",\"authors\":\"Tristan Ruhwedel, Julian Rogasch, Markus Galler, Imke Schatka, Christoph Wetz, Christian Furth, Nadine Biernath, Maria De Santis, Seyd Shnayien, Johannes Kolck, Dominik Geisel, Holger Amthauer, Nick Lasse Beetz\",\"doi\":\"10.1186/s13550-025-01312-9\",\"DOIUrl\":null,\"url\":null,\"abstract\":\"<p><strong>Background: </strong>Body composition (BC) analysis is performed to quantify the relative amounts of different body tissues as a measure of physical fitness and tumor cachexia. We hypothesized that relative changes in body composition (BC) parameters, assessed by an artificial intelligence-based, PACS-integrated software, between baseline imaging before the start of radioligand therapy (RLT) and interim staging after two RLT cycles could predict overall survival (OS) in patients with metastatic castration-resistant prostate cancer.</p><p><strong>Methods: </strong>We conducted a single-center, retrospective analysis of 92 patients with mCRPC undergoing [<sup>177</sup>Lu]Lu-PSMA RLT between September 2015 and December 2023. All patients had [<sup>68</sup> Ga]Ga-PSMA-11 PET/CT at baseline (≤ 6 weeks before the first RLT cycle) and at interim staging (6-8 weeks after the second RLT cycle) allowing for longitudinal BC assessment.</p><p><strong>Results: </strong>During follow-up, 78 patients (85%) died. Median OS was 16.3 months. Median follow-up time in survivors was 25.6 months. The 1 year mortality rate was 32.6% (95%CI 23.0-42.2%) and the 5 year mortality rate was 92.9% (95%CI 85.8-100.0%). In multivariable regression, relative change in visceral adipose tissue (VAT) (HR: 0.26; p = 0.006), previous chemotherapy of any type (HR: 2.4; p = 0.003), the presence of liver metastases (HR: 2.4; p = 0.018) and a higher baseline De Ritis ratio (HR: 1.4; p < 0.001) remained independent predictors of OS. Patients with a higher decrease in VAT (< -20%) had a median OS of 10.2 months versus 18.5 months in patients with a lower VAT decrease or VAT increase (≥ -20%) (log-rank test: p = 0.008). In a separate Cox model, the change in VAT predicted OS (p = 0.005) independent of the best PSA response after 1-2 RLT cycles (p = 0.09), and there was no interaction between the two (p = 0.09).</p><p><strong>Conclusions: </strong>PACS-Integrated, AI-based BC monitoring detects relative changes in the VAT, Which was an independent predictor of shorter OS in our population of patients undergoing RLT.</p>\",\"PeriodicalId\":11611,\"journal\":{\"name\":\"EJNMMI Research\",\"volume\":\"15 1\",\"pages\":\"112\"},\"PeriodicalIF\":3.1000,\"publicationDate\":\"2025-08-28\",\"publicationTypes\":\"Journal Article\",\"fieldsOfStudy\":null,\"isOpenAccess\":false,\"openAccessPdf\":\"https://www.ncbi.nlm.nih.gov/pmc/articles/PMC12394111/pdf/\",\"citationCount\":\"0\",\"resultStr\":null,\"platform\":\"Semanticscholar\",\"paperid\":null,\"PeriodicalName\":\"EJNMMI Research\",\"FirstCategoryId\":\"3\",\"ListUrlMain\":\"https://doi.org/10.1186/s13550-025-01312-9\",\"RegionNum\":3,\"RegionCategory\":\"医学\",\"ArticlePicture\":[],\"TitleCN\":null,\"AbstractTextCN\":null,\"PMCID\":null,\"EPubDate\":\"\",\"PubModel\":\"\",\"JCR\":\"Q1\",\"JCRName\":\"RADIOLOGY, NUCLEAR MEDICINE & MEDICAL IMAGING\",\"Score\":null,\"Total\":0}","platform":"Semanticscholar","paperid":null,"PeriodicalName":"EJNMMI Research","FirstCategoryId":"3","ListUrlMain":"https://doi.org/10.1186/s13550-025-01312-9","RegionNum":3,"RegionCategory":"医学","ArticlePicture":[],"TitleCN":null,"AbstractTextCN":null,"PMCID":null,"EPubDate":"","PubModel":"","JCR":"Q1","JCRName":"RADIOLOGY, NUCLEAR MEDICINE & MEDICAL IMAGING","Score":null,"Total":0}
引用次数: 0

摘要

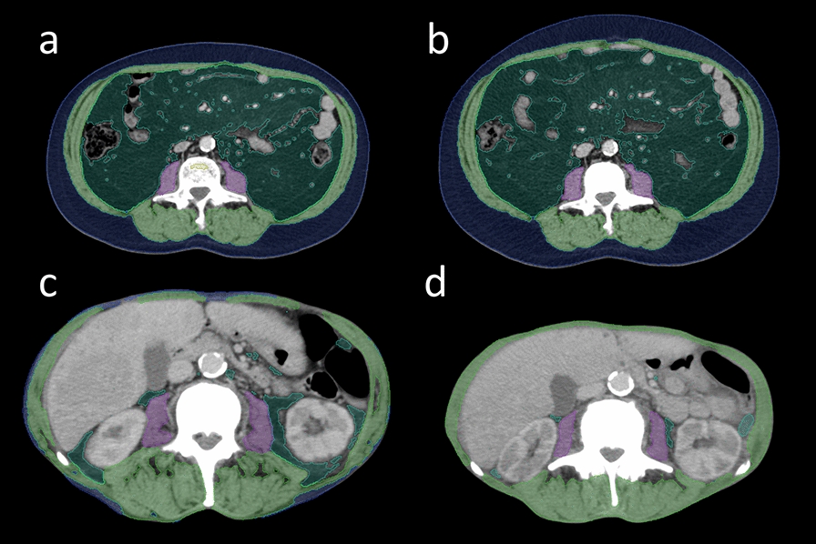
背景:进行体组成(BC)分析,以量化不同身体组织的相对数量,作为身体健康和肿瘤恶病质的衡量标准。我们假设,在放射配体治疗(RLT)开始前的基线成像和两个RLT周期后的中期分期之间,基于人工智能的pacs集成软件评估的体成分(BC)参数的相对变化可以预测转移性去势抵抗性前列腺癌患者的总生存期(OS)。方法:我们对2015年9月至2023年12月期间接受[177Lu]Lu-PSMA RLT治疗的92例mCRPC患者进行了单中心回顾性分析。所有患者在基线(第一个RLT周期前≤6周)和中期分期(第二个RLT周期后6-8周)进行了[68 Ga]Ga- psma -11 PET/CT检查,以便进行纵向BC评估。结果:随访期间死亡78例(85%)。中位OS为16.3个月。幸存者的中位随访时间为25.6个月。1年死亡率为32.6% (95%CI 23.0 ~ 42.2%), 5年死亡率为92.9% (95%CI 85.8 ~ 100.0%)。在多变量回归中,内脏脂肪组织(VAT)的相对变化(HR: 0.26, p = 0.006)、既往任何类型的化疗(HR: 2.4, p = 0.003)、肝转移的存在(HR: 2.4, p = 0.018)和较高的基线De - Ritis比率(HR: 1.4; p)得出结论:pacs集成、基于人工智能的BC监测检测到VAT的相对变化,这是我们接受RLT患者中较短生存期的独立预测因子。
本文章由计算机程序翻译,如有差异,请以英文原文为准。

AI-driven body composition monitoring and its prognostic role in mCRPC undergoing lutetium-177 PSMA radioligand therapy: insights from a retrospective single-center analysis.

AI-driven body composition monitoring and its prognostic role in mCRPC undergoing lutetium-177 PSMA radioligand therapy: insights from a retrospective single-center analysis.

AI-driven body composition monitoring and its prognostic role in mCRPC undergoing lutetium-177 PSMA radioligand therapy: insights from a retrospective single-center analysis.

AI-driven body composition monitoring and its prognostic role in mCRPC undergoing lutetium-177 PSMA radioligand therapy: insights from a retrospective single-center analysis.

Background: Body composition (BC) analysis is performed to quantify the relative amounts of different body tissues as a measure of physical fitness and tumor cachexia. We hypothesized that relative changes in body composition (BC) parameters, assessed by an artificial intelligence-based, PACS-integrated software, between baseline imaging before the start of radioligand therapy (RLT) and interim staging after two RLT cycles could predict overall survival (OS) in patients with metastatic castration-resistant prostate cancer.

Methods: We conducted a single-center, retrospective analysis of 92 patients with mCRPC undergoing [177Lu]Lu-PSMA RLT between September 2015 and December 2023. All patients had [68 Ga]Ga-PSMA-11 PET/CT at baseline (≤ 6 weeks before the first RLT cycle) and at interim staging (6-8 weeks after the second RLT cycle) allowing for longitudinal BC assessment.

Results: During follow-up, 78 patients (85%) died. Median OS was 16.3 months. Median follow-up time in survivors was 25.6 months. The 1 year mortality rate was 32.6% (95%CI 23.0-42.2%) and the 5 year mortality rate was 92.9% (95%CI 85.8-100.0%). In multivariable regression, relative change in visceral adipose tissue (VAT) (HR: 0.26; p = 0.006), previous chemotherapy of any type (HR: 2.4; p = 0.003), the presence of liver metastases (HR: 2.4; p = 0.018) and a higher baseline De Ritis ratio (HR: 1.4; p < 0.001) remained independent predictors of OS. Patients with a higher decrease in VAT (< -20%) had a median OS of 10.2 months versus 18.5 months in patients with a lower VAT decrease or VAT increase (≥ -20%) (log-rank test: p = 0.008). In a separate Cox model, the change in VAT predicted OS (p = 0.005) independent of the best PSA response after 1-2 RLT cycles (p = 0.09), and there was no interaction between the two (p = 0.09).

Conclusions: PACS-Integrated, AI-based BC monitoring detects relative changes in the VAT, Which was an independent predictor of shorter OS in our population of patients undergoing RLT.

求助全文
通过发布文献求助,成功后即可免费获取论文全文。 去求助
来源期刊
EJNMMI Research
EJNMMI Research RADIOLOGY, NUCLEAR MEDICINE & MEDICAL IMAGING&nb-
CiteScore
5.90
自引率
3.10%
发文量
72
审稿时长
13 weeks
期刊介绍: EJNMMI Research publishes new basic, translational and clinical research in the field of nuclear medicine and molecular imaging. Regular features include original research articles, rapid communication of preliminary data on innovative research, interesting case reports, editorials, and letters to the editor. Educational articles on basic sciences, fundamental aspects and controversy related to pre-clinical and clinical research or ethical aspects of research are also welcome. Timely reviews provide updates on current applications, issues in imaging research and translational aspects of nuclear medicine and molecular imaging technologies. The main emphasis is placed on the development of targeted imaging with radiopharmaceuticals within the broader context of molecular probes to enhance understanding and characterisation of the complex biological processes underlying disease and to develop, test and guide new treatment modalities, including radionuclide therapy.
×
引用
GB/T 7714-2015
复制
MLA
复制
APA
复制
导出至
BibTeX EndNote RefMan NoteFirst NoteExpress
×
提示
您的信息不完整,为了账户安全,请先补充。
现在去补充
×
提示
您因"违规操作"
具体请查看互助需知
我知道了
×
提示
确定
请完成安全验证×
copy
已复制链接
快去分享给好友吧!
我知道了
右上角分享
点击右上角分享
0
联系我们:info@booksci.cn Book学术提供免费学术资源搜索服务,方便国内外学者检索中英文文献。致力于提供最便捷和优质的服务体验。 Copyright © 2023 布克学术 All rights reserved.
京ICP备2023020795号-1
ghs 京公网安备 11010802042870号
Book学术文献互助
Book学术文献互助群
群 号:604180095
Book学术官方微信