慢性肾病肾线粒体功能障碍成像:[99mTc]Tc-MIBI SPECT/CT的重新定位作用

IF 3.1 3区 医学 Q1 RADIOLOGY, NUCLEAR MEDICINE & MEDICAL IMAGING
Soo Bin Park, Chae Hong Lim, So-Young Jin, Yon Hee Kim, Haekyung Lee, Hyoungnae Kim, Hyunjin Noh, Jin Seok Jeon, Soon Hyo Kwon
{"title":"慢性肾病肾线粒体功能障碍成像:[99mTc]Tc-MIBI SPECT/CT的重新定位作用","authors":"Soo Bin Park, Chae Hong Lim, So-Young Jin, Yon Hee Kim, Haekyung Lee, Hyoungnae Kim, Hyunjin Noh, Jin Seok Jeon, Soon Hyo Kwon","doi":"10.1186/s13550-025-01306-7","DOIUrl":null,"url":null,"abstract":"<p><strong>Background: </strong>[<sup>99m</sup>Tc]Tc-MIBI is a conventional myocardial perfusion radiotracer, and is predominantly taken up by mitochondria in a manner dependent on mitochondrial membrane potential. This study aimed to repurpose [<sup>99m</sup>Tc]Tc-MIBI for functional renal imaging to evaluate mitochondrial dysfunction in chronic kidney disease (CKD).</p><p><strong>Results: </strong>A total of 11 patients with newly diagnosed CKD and 27 matched healthy volunteers underwent [99mTc]Tc-MIBI dynamic renal scans and SPECT/CT. Quantitative analyses of the left kidneys assessed time-activity curves, percentage of renal uptake, and standardized uptake values (SUV). Renal mitochondrial content in CKD patients was evaluated using immunohistochemistry of kidney biopsy samples. CKD patients had comparable eGFR to healthy volunteers but exhibited significantly lower renal [<sup>99m</sup>Tc]Tc-MIBI uptake percentage on dynamic scan and decreased SUV on SPECT/CT. A positive correlation was observed between mean SUV and renal mitochondrial content in CKD patients. Mean SUV was identified as an independent predictor of CKD (odds ratio 0.2, P = 0.037), demonstrating high diagnostic accuracy (AUC = 0.886), whereas conventional biomarkers had limited predictive value.</p><p><strong>Conclusions: </strong>[<sup>99m</sup>Tc]Tc-MIBI kidney SPECT/CT effectively detected renal mitochondrial dysfunction in patients with CKD, suggests its potential as a noninvasive imaging biomarker. SUV may serve as a quantitative parameter for assessing renal mitochondrial dysfunction.</p>","PeriodicalId":11611,"journal":{"name":"EJNMMI Research","volume":"15 1","pages":"115"},"PeriodicalIF":3.1000,"publicationDate":"2025-09-02","publicationTypes":"Journal Article","fieldsOfStudy":null,"isOpenAccess":false,"openAccessPdf":"https://www.ncbi.nlm.nih.gov/pmc/articles/PMC12405237/pdf/","citationCount":"0","resultStr":"{\"title\":\"Imaging renal mitochondrial dysfunction in chronic kidney disease: a repurposed role for [<sup>99m</sup>Tc]Tc-MIBI SPECT/CT.\",\"authors\":\"Soo Bin Park, Chae Hong Lim, So-Young Jin, Yon Hee Kim, Haekyung Lee, Hyoungnae Kim, Hyunjin Noh, Jin Seok Jeon, Soon Hyo Kwon\",\"doi\":\"10.1186/s13550-025-01306-7\",\"DOIUrl\":null,\"url\":null,\"abstract\":\"<p><strong>Background: </strong>[<sup>99m</sup>Tc]Tc-MIBI is a conventional myocardial perfusion radiotracer, and is predominantly taken up by mitochondria in a manner dependent on mitochondrial membrane potential. This study aimed to repurpose [<sup>99m</sup>Tc]Tc-MIBI for functional renal imaging to evaluate mitochondrial dysfunction in chronic kidney disease (CKD).</p><p><strong>Results: </strong>A total of 11 patients with newly diagnosed CKD and 27 matched healthy volunteers underwent [99mTc]Tc-MIBI dynamic renal scans and SPECT/CT. Quantitative analyses of the left kidneys assessed time-activity curves, percentage of renal uptake, and standardized uptake values (SUV). Renal mitochondrial content in CKD patients was evaluated using immunohistochemistry of kidney biopsy samples. CKD patients had comparable eGFR to healthy volunteers but exhibited significantly lower renal [<sup>99m</sup>Tc]Tc-MIBI uptake percentage on dynamic scan and decreased SUV on SPECT/CT. A positive correlation was observed between mean SUV and renal mitochondrial content in CKD patients. Mean SUV was identified as an independent predictor of CKD (odds ratio 0.2, P = 0.037), demonstrating high diagnostic accuracy (AUC = 0.886), whereas conventional biomarkers had limited predictive value.</p><p><strong>Conclusions: </strong>[<sup>99m</sup>Tc]Tc-MIBI kidney SPECT/CT effectively detected renal mitochondrial dysfunction in patients with CKD, suggests its potential as a noninvasive imaging biomarker. SUV may serve as a quantitative parameter for assessing renal mitochondrial dysfunction.</p>\",\"PeriodicalId\":11611,\"journal\":{\"name\":\"EJNMMI Research\",\"volume\":\"15 1\",\"pages\":\"115\"},\"PeriodicalIF\":3.1000,\"publicationDate\":\"2025-09-02\",\"publicationTypes\":\"Journal Article\",\"fieldsOfStudy\":null,\"isOpenAccess\":false,\"openAccessPdf\":\"https://www.ncbi.nlm.nih.gov/pmc/articles/PMC12405237/pdf/\",\"citationCount\":\"0\",\"resultStr\":null,\"platform\":\"Semanticscholar\",\"paperid\":null,\"PeriodicalName\":\"EJNMMI Research\",\"FirstCategoryId\":\"3\",\"ListUrlMain\":\"https://doi.org/10.1186/s13550-025-01306-7\",\"RegionNum\":3,\"RegionCategory\":\"医学\",\"ArticlePicture\":[],\"TitleCN\":null,\"AbstractTextCN\":null,\"PMCID\":null,\"EPubDate\":\"\",\"PubModel\":\"\",\"JCR\":\"Q1\",\"JCRName\":\"RADIOLOGY, NUCLEAR MEDICINE & MEDICAL IMAGING\",\"Score\":null,\"Total\":0}","platform":"Semanticscholar","paperid":null,"PeriodicalName":"EJNMMI Research","FirstCategoryId":"3","ListUrlMain":"https://doi.org/10.1186/s13550-025-01306-7","RegionNum":3,"RegionCategory":"医学","ArticlePicture":[],"TitleCN":null,"AbstractTextCN":null,"PMCID":null,"EPubDate":"","PubModel":"","JCR":"Q1","JCRName":"RADIOLOGY, NUCLEAR MEDICINE & MEDICAL IMAGING","Score":null,"Total":0}
引用次数: 0

摘要

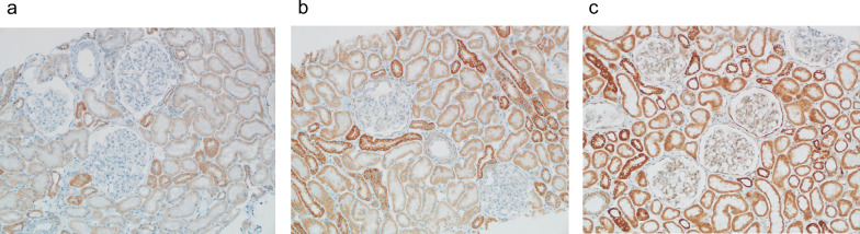
背景:[99mTc]Tc-MIBI是一种传统的心肌灌注放射性示踪剂,主要由线粒体以依赖于线粒体膜电位的方式吸收。本研究旨在将[99mTc]Tc-MIBI用于功能性肾脏成像,以评估慢性肾脏疾病(CKD)的线粒体功能障碍。结果:共有11名新诊断的CKD患者和27名匹配的健康志愿者接受了[99mTc]Tc-MIBI动态肾脏扫描和SPECT/CT。定量分析左肾评估时间-活动曲线、肾摄取百分比和标准化摄取值(SUV)。采用肾活检样本的免疫组织化学方法评估CKD患者肾脏线粒体含量。CKD患者的eGFR与健康志愿者相当,但动态扫描显示肾脏[99mTc]Tc-MIBI摄取百分比明显降低,SPECT/CT显示SUV减少。CKD患者的平均SUV与肾脏线粒体含量呈正相关。平均SUV被确定为CKD的独立预测因子(优势比0.2,P = 0.037),显示出较高的诊断准确性(AUC = 0.886),而传统生物标志物的预测价值有限。结论:[99mTc]Tc-MIBI肾脏SPECT/CT可有效检测CKD患者肾脏线粒体功能障碍,提示其作为无创成像生物标志物的潜力。SUV可作为评价肾线粒体功能障碍的定量参数。
本文章由计算机程序翻译,如有差异,请以英文原文为准。

Imaging renal mitochondrial dysfunction in chronic kidney disease: a repurposed role for [<sup>99m</sup>Tc]Tc-MIBI SPECT/CT.

Imaging renal mitochondrial dysfunction in chronic kidney disease: a repurposed role for [<sup>99m</sup>Tc]Tc-MIBI SPECT/CT.

Imaging renal mitochondrial dysfunction in chronic kidney disease: a repurposed role for [<sup>99m</sup>Tc]Tc-MIBI SPECT/CT.

Imaging renal mitochondrial dysfunction in chronic kidney disease: a repurposed role for [99mTc]Tc-MIBI SPECT/CT.

Background: [99mTc]Tc-MIBI is a conventional myocardial perfusion radiotracer, and is predominantly taken up by mitochondria in a manner dependent on mitochondrial membrane potential. This study aimed to repurpose [99mTc]Tc-MIBI for functional renal imaging to evaluate mitochondrial dysfunction in chronic kidney disease (CKD).

Results: A total of 11 patients with newly diagnosed CKD and 27 matched healthy volunteers underwent [99mTc]Tc-MIBI dynamic renal scans and SPECT/CT. Quantitative analyses of the left kidneys assessed time-activity curves, percentage of renal uptake, and standardized uptake values (SUV). Renal mitochondrial content in CKD patients was evaluated using immunohistochemistry of kidney biopsy samples. CKD patients had comparable eGFR to healthy volunteers but exhibited significantly lower renal [99mTc]Tc-MIBI uptake percentage on dynamic scan and decreased SUV on SPECT/CT. A positive correlation was observed between mean SUV and renal mitochondrial content in CKD patients. Mean SUV was identified as an independent predictor of CKD (odds ratio 0.2, P = 0.037), demonstrating high diagnostic accuracy (AUC = 0.886), whereas conventional biomarkers had limited predictive value.

Conclusions: [99mTc]Tc-MIBI kidney SPECT/CT effectively detected renal mitochondrial dysfunction in patients with CKD, suggests its potential as a noninvasive imaging biomarker. SUV may serve as a quantitative parameter for assessing renal mitochondrial dysfunction.

求助全文
通过发布文献求助,成功后即可免费获取论文全文。 去求助
来源期刊
EJNMMI Research
EJNMMI Research RADIOLOGY, NUCLEAR MEDICINE & MEDICAL IMAGING&nb-
CiteScore
5.90
自引率
3.10%
发文量
72
审稿时长
13 weeks
期刊介绍: EJNMMI Research publishes new basic, translational and clinical research in the field of nuclear medicine and molecular imaging. Regular features include original research articles, rapid communication of preliminary data on innovative research, interesting case reports, editorials, and letters to the editor. Educational articles on basic sciences, fundamental aspects and controversy related to pre-clinical and clinical research or ethical aspects of research are also welcome. Timely reviews provide updates on current applications, issues in imaging research and translational aspects of nuclear medicine and molecular imaging technologies. The main emphasis is placed on the development of targeted imaging with radiopharmaceuticals within the broader context of molecular probes to enhance understanding and characterisation of the complex biological processes underlying disease and to develop, test and guide new treatment modalities, including radionuclide therapy.
×
引用
GB/T 7714-2015
复制
MLA
复制
APA
复制
导出至
BibTeX EndNote RefMan NoteFirst NoteExpress
×
提示
您的信息不完整,为了账户安全,请先补充。
现在去补充
×
提示
您因"违规操作"
具体请查看互助需知
我知道了
×
提示
确定
请完成安全验证×
copy
已复制链接
快去分享给好友吧!
我知道了
右上角分享
点击右上角分享
0
联系我们:info@booksci.cn Book学术提供免费学术资源搜索服务,方便国内外学者检索中英文文献。致力于提供最便捷和优质的服务体验。 Copyright © 2023 布克学术 All rights reserved.
京ICP备2023020795号-1
ghs 京公网安备 11010802042870号
Book学术文献互助
Book学术文献互助群
群 号:604180095
Book学术官方微信