优化Y-90微球放射栓塞的剂量学:gpu加速蒙特卡罗模拟与常规方法的高容量设置。

IF 3.2 2区 医学 Q2 RADIOLOGY, NUCLEAR MEDICINE & MEDICAL IMAGING
Liu Hongming, Liang Ziwei, Hu Ziyi, Qu Shuiyin, Hu Ankang, Yan ShuChang, Wu Zhen, Zhang Hui, Li Junli, Qiu Rui
{"title":"优化Y-90微球放射栓塞的剂量学:gpu加速蒙特卡罗模拟与常规方法的高容量设置。","authors":"Liu Hongming, Liang Ziwei, Hu Ziyi, Qu Shuiyin, Hu Ankang, Yan ShuChang, Wu Zhen, Zhang Hui, Li Junli, Qiu Rui","doi":"10.1186/s40658-025-00794-9","DOIUrl":null,"url":null,"abstract":"<p><strong>Background: </strong>Yttrium-90 (<sup>90</sup>Y) microsphere radioembolization has shown unique advantages in treating both primary and metastatic liver cancer and was introduced into China in 2022. Despite the development of various dosimetric models-ranging from empirical to voxel-based approaches-practical implementation remains challenging. With over 370,000 new liver cancer cases annually and limited access to certified <sup>90</sup>Y treatment centers, Chinese interventional oncology departments face increasing pressure to balance dosimetric accuracy with clinical efficiency. This study aims to develop a GPU-based fast Monte Carlo project for accurate voxel-level dose calculation and to evaluate its performance alongside existing dosimetric strategies, with the goal of supporting optimized clinical workflows in high-volume settings.</p><p><strong>Methods: </strong>A fast Monte Carlo simulation algorithm was developed using Graphics Processing Unit (GPU) acceleration and applied retrospectively to eight patients diagnosed with hepatocellular carcinoma or metastatic colorectal cancer. The dosimetric performance of the GPU-based approach was compared against direct Monte Carlo (MC) simulations, the Medical Internal Radiation Dose (MIRD) formalism, the Voxel S-value (VSV) method, and the Local Energy Deposition (LED) model. Voxel- and organ-level dose accuracy were quantified using metrics such as Mean Absolute Relative Error (MARE), Relative Standard Deviation (RSD), and D95 in dose volume histogram. Statistical comparisons were conducted using Shapiro-Wilk normality tests and repeated measures ANOVA to assess inter-method differences.</p><p><strong>Results: </strong>The GPU-based Monte Carlo code demonstrated high accuracy and computational efficiency. Using direct MC simulation as the reference, the GPU-based approach yielded the lowest voxel-level variability, with median RSDs in high-activity transverse regions reaching - 1.13%, indicating superior consistency. Corresponding MARE were 4.53% for the GPU method, compared to 6.71% for VSV and 49.36% for LED, confirming its dosimetric reliability. At the organ level, the GPU-based method achieved RSDs of 0.35% ± 0.80% (tumor), -0.45% ± 0.76% (liver), 1.41% ± 4.45% (lung), and - 1.43% ± 1.23% (spleen), significantly outperforming alternative models. Notably, VSV and LED substantially underestimated lung dose (-52.19% ± 23.87%, -53.71 ± 22.17%), highlighting their limited applicability in heterogeneous regions. In contrast, the dose of spleen (F = 3.26, p = 0.069) and kidneys (F = 3.22, p = 0.071) did not show statistically significant differences between methods. In terms of computational performance, the GPU-based code delivered a remarkable 1,296-fold speed-up over traditional MC simulations, enabling efficient voxel-level dosimetry suitable for clinical workflows.</p><p><strong>Conclusion: </strong>The GPU-based fast Monte Carlo simulation provides a highly accurate and computationally efficient tool for voxel-level dosimetry in <sup>90</sup>Y radioembolization. It enables precise estimation of tumor and lung doses with significantly reduced processing time and hardware demands, offering clear clinical advantages in minimizing radiation pneumonitis risk and supporting high-throughput workflows. Importantly, a stratified approach to dosimetric modeling-selecting simplified methods such as VSV or LED for small, well-contained lesions, and reserving GPU-based Monte Carlo for anatomically complex or heterogeneous cases-may optimize the balance between accuracy and efficiency. Future work will focus on large-scale validation and formalizing model selection criteria tailored to tumor morphology and treatment scope, with the aim of advancing personalized dosimetric planning in liver-directed therapies.</p><p><strong>Clinical trial number: </strong>Not applicable.</p>","PeriodicalId":11559,"journal":{"name":"EJNMMI Physics","volume":"12 1","pages":"82"},"PeriodicalIF":3.2000,"publicationDate":"2025-09-02","publicationTypes":"Journal Article","fieldsOfStudy":null,"isOpenAccess":false,"openAccessPdf":"https://www.ncbi.nlm.nih.gov/pmc/articles/PMC12401777/pdf/","citationCount":"0","resultStr":"{\"title\":\"Optimizing dosimetry in Y-90 microsphere radioembolization: GPU-accelerated Monte Carlo simulation versus conventional methods for high-volume setting.\",\"authors\":\"Liu Hongming, Liang Ziwei, Hu Ziyi, Qu Shuiyin, Hu Ankang, Yan ShuChang, Wu Zhen, Zhang Hui, Li Junli, Qiu Rui\",\"doi\":\"10.1186/s40658-025-00794-9\",\"DOIUrl\":null,\"url\":null,\"abstract\":\"<p><strong>Background: </strong>Yttrium-90 (<sup>90</sup>Y) microsphere radioembolization has shown unique advantages in treating both primary and metastatic liver cancer and was introduced into China in 2022. Despite the development of various dosimetric models-ranging from empirical to voxel-based approaches-practical implementation remains challenging. With over 370,000 new liver cancer cases annually and limited access to certified <sup>90</sup>Y treatment centers, Chinese interventional oncology departments face increasing pressure to balance dosimetric accuracy with clinical efficiency. This study aims to develop a GPU-based fast Monte Carlo project for accurate voxel-level dose calculation and to evaluate its performance alongside existing dosimetric strategies, with the goal of supporting optimized clinical workflows in high-volume settings.</p><p><strong>Methods: </strong>A fast Monte Carlo simulation algorithm was developed using Graphics Processing Unit (GPU) acceleration and applied retrospectively to eight patients diagnosed with hepatocellular carcinoma or metastatic colorectal cancer. The dosimetric performance of the GPU-based approach was compared against direct Monte Carlo (MC) simulations, the Medical Internal Radiation Dose (MIRD) formalism, the Voxel S-value (VSV) method, and the Local Energy Deposition (LED) model. Voxel- and organ-level dose accuracy were quantified using metrics such as Mean Absolute Relative Error (MARE), Relative Standard Deviation (RSD), and D95 in dose volume histogram. Statistical comparisons were conducted using Shapiro-Wilk normality tests and repeated measures ANOVA to assess inter-method differences.</p><p><strong>Results: </strong>The GPU-based Monte Carlo code demonstrated high accuracy and computational efficiency. Using direct MC simulation as the reference, the GPU-based approach yielded the lowest voxel-level variability, with median RSDs in high-activity transverse regions reaching - 1.13%, indicating superior consistency. Corresponding MARE were 4.53% for the GPU method, compared to 6.71% for VSV and 49.36% for LED, confirming its dosimetric reliability. At the organ level, the GPU-based method achieved RSDs of 0.35% ± 0.80% (tumor), -0.45% ± 0.76% (liver), 1.41% ± 4.45% (lung), and - 1.43% ± 1.23% (spleen), significantly outperforming alternative models. Notably, VSV and LED substantially underestimated lung dose (-52.19% ± 23.87%, -53.71 ± 22.17%), highlighting their limited applicability in heterogeneous regions. In contrast, the dose of spleen (F = 3.26, p = 0.069) and kidneys (F = 3.22, p = 0.071) did not show statistically significant differences between methods. In terms of computational performance, the GPU-based code delivered a remarkable 1,296-fold speed-up over traditional MC simulations, enabling efficient voxel-level dosimetry suitable for clinical workflows.</p><p><strong>Conclusion: </strong>The GPU-based fast Monte Carlo simulation provides a highly accurate and computationally efficient tool for voxel-level dosimetry in <sup>90</sup>Y radioembolization. It enables precise estimation of tumor and lung doses with significantly reduced processing time and hardware demands, offering clear clinical advantages in minimizing radiation pneumonitis risk and supporting high-throughput workflows. Importantly, a stratified approach to dosimetric modeling-selecting simplified methods such as VSV or LED for small, well-contained lesions, and reserving GPU-based Monte Carlo for anatomically complex or heterogeneous cases-may optimize the balance between accuracy and efficiency. Future work will focus on large-scale validation and formalizing model selection criteria tailored to tumor morphology and treatment scope, with the aim of advancing personalized dosimetric planning in liver-directed therapies.</p><p><strong>Clinical trial number: </strong>Not applicable.</p>\",\"PeriodicalId\":11559,\"journal\":{\"name\":\"EJNMMI Physics\",\"volume\":\"12 1\",\"pages\":\"82\"},\"PeriodicalIF\":3.2000,\"publicationDate\":\"2025-09-02\",\"publicationTypes\":\"Journal Article\",\"fieldsOfStudy\":null,\"isOpenAccess\":false,\"openAccessPdf\":\"https://www.ncbi.nlm.nih.gov/pmc/articles/PMC12401777/pdf/\",\"citationCount\":\"0\",\"resultStr\":null,\"platform\":\"Semanticscholar\",\"paperid\":null,\"PeriodicalName\":\"EJNMMI Physics\",\"FirstCategoryId\":\"3\",\"ListUrlMain\":\"https://doi.org/10.1186/s40658-025-00794-9\",\"RegionNum\":2,\"RegionCategory\":\"医学\",\"ArticlePicture\":[],\"TitleCN\":null,\"AbstractTextCN\":null,\"PMCID\":null,\"EPubDate\":\"\",\"PubModel\":\"\",\"JCR\":\"Q2\",\"JCRName\":\"RADIOLOGY, NUCLEAR MEDICINE & MEDICAL IMAGING\",\"Score\":null,\"Total\":0}","platform":"Semanticscholar","paperid":null,"PeriodicalName":"EJNMMI Physics","FirstCategoryId":"3","ListUrlMain":"https://doi.org/10.1186/s40658-025-00794-9","RegionNum":2,"RegionCategory":"医学","ArticlePicture":[],"TitleCN":null,"AbstractTextCN":null,"PMCID":null,"EPubDate":"","PubModel":"","JCR":"Q2","JCRName":"RADIOLOGY, NUCLEAR MEDICINE & MEDICAL IMAGING","Score":null,"Total":0}
引用次数: 0

摘要

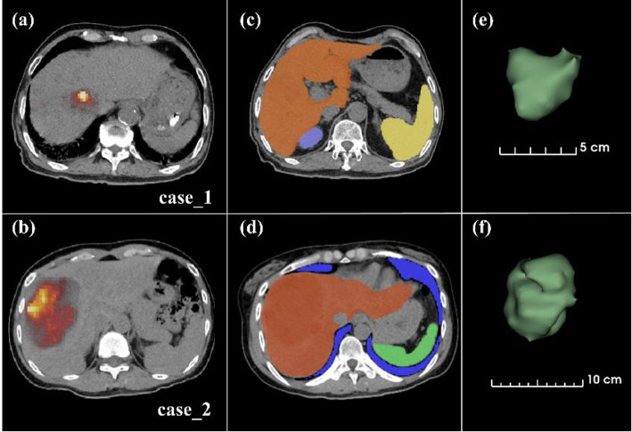
背景:钇-90 (90Y)微球放射栓塞治疗原发性和转移性肝癌具有独特的优势,并于2022年引入中国。尽管发展了各种剂量学模型,从经验到基于体素的方法,但实际实施仍然具有挑战性。由于每年肝癌新发病例超过37万例,且获得认证的90Y治疗中心的机会有限,中国介入肿瘤科面临着越来越大的压力,需要平衡剂量测定的准确性和临床效率。本研究旨在开发一个基于gpu的快速蒙特卡罗项目,用于准确的体素水平剂量计算,并与现有剂量学策略一起评估其性能,目标是支持高容量环境下优化的临床工作流程。方法:采用图形处理单元(GPU)加速开发快速蒙特卡罗模拟算法,并对8例确诊为肝细胞癌或转移性结直肠癌的患者进行回顾性分析。将基于gpu的方法的剂量学性能与直接蒙特卡罗(MC)模拟、医学内辐射剂量(MIRD)形式化、体素s值(VSV)方法和局部能量沉积(LED)模型进行了比较。使用剂量体积直方图中的平均绝对相对误差(MARE)、相对标准偏差(RSD)和D95等指标量化体素和器官水平的剂量准确性。统计学比较采用夏皮罗-威尔克正态检验和重复测量方差分析来评估方法间的差异。结果:基于gpu的蒙特卡罗代码具有较高的准确率和计算效率。以直接MC模拟为参考,基于gpu的方法获得了最低的体素级变异性,高活动横向区域的中位数rsd达到- 1.13%,表明一致性较好。GPU法对应的MARE为4.53%,VSV法为6.71%,LED法为49.36%,证实了其剂量学的可靠性。在器官水平上,基于gpu的方法的rsd为0.35%±0.80%(肿瘤),-0.45%±0.76%(肝脏),1.41%±4.45%(肺)和- 1.43%±1.23%(脾脏),显著优于其他模型。值得注意的是,VSV和LED明显低估了肺剂量(-52.19%±23.87%,-53.71±22.17%),突出了它们在异质区域的局限性。脾(F = 3.26, p = 0.069)和肾(F = 3.22, p = 0.071)两种方法的剂量差异无统计学意义。在计算性能方面,基于gpu的代码比传统MC模拟的速度提高了1,296倍,实现了适用于临床工作流程的高效体素级剂量测定。结论:基于gpu的快速蒙特卡罗模拟为90Y放射栓塞的体素剂量测定提供了一种高度精确和计算效率高的工具。它能够精确估计肿瘤和肺剂量,显著减少处理时间和硬件需求,在最大限度地降低放射性肺炎风险和支持高通量工作流程方面提供明显的临床优势。重要的是,一种分层的剂量学建模方法——选择简化的方法,如VSV或LED,用于小的、包含良好的病变,并保留基于gpu的蒙特卡罗用于解剖复杂或异质病例——可以优化准确性和效率之间的平衡。未来的工作将集中在大规模验证和规范化针对肿瘤形态和治疗范围的模型选择标准,以推进肝脏定向治疗的个性化剂量学计划。临床试验号:不适用。
本文章由计算机程序翻译,如有差异,请以英文原文为准。

Optimizing dosimetry in Y-90 microsphere radioembolization: GPU-accelerated Monte Carlo simulation versus conventional methods for high-volume setting.

Optimizing dosimetry in Y-90 microsphere radioembolization: GPU-accelerated Monte Carlo simulation versus conventional methods for high-volume setting.

Optimizing dosimetry in Y-90 microsphere radioembolization: GPU-accelerated Monte Carlo simulation versus conventional methods for high-volume setting.

Optimizing dosimetry in Y-90 microsphere radioembolization: GPU-accelerated Monte Carlo simulation versus conventional methods for high-volume setting.

Background: Yttrium-90 (90Y) microsphere radioembolization has shown unique advantages in treating both primary and metastatic liver cancer and was introduced into China in 2022. Despite the development of various dosimetric models-ranging from empirical to voxel-based approaches-practical implementation remains challenging. With over 370,000 new liver cancer cases annually and limited access to certified 90Y treatment centers, Chinese interventional oncology departments face increasing pressure to balance dosimetric accuracy with clinical efficiency. This study aims to develop a GPU-based fast Monte Carlo project for accurate voxel-level dose calculation and to evaluate its performance alongside existing dosimetric strategies, with the goal of supporting optimized clinical workflows in high-volume settings.

Methods: A fast Monte Carlo simulation algorithm was developed using Graphics Processing Unit (GPU) acceleration and applied retrospectively to eight patients diagnosed with hepatocellular carcinoma or metastatic colorectal cancer. The dosimetric performance of the GPU-based approach was compared against direct Monte Carlo (MC) simulations, the Medical Internal Radiation Dose (MIRD) formalism, the Voxel S-value (VSV) method, and the Local Energy Deposition (LED) model. Voxel- and organ-level dose accuracy were quantified using metrics such as Mean Absolute Relative Error (MARE), Relative Standard Deviation (RSD), and D95 in dose volume histogram. Statistical comparisons were conducted using Shapiro-Wilk normality tests and repeated measures ANOVA to assess inter-method differences.

Results: The GPU-based Monte Carlo code demonstrated high accuracy and computational efficiency. Using direct MC simulation as the reference, the GPU-based approach yielded the lowest voxel-level variability, with median RSDs in high-activity transverse regions reaching - 1.13%, indicating superior consistency. Corresponding MARE were 4.53% for the GPU method, compared to 6.71% for VSV and 49.36% for LED, confirming its dosimetric reliability. At the organ level, the GPU-based method achieved RSDs of 0.35% ± 0.80% (tumor), -0.45% ± 0.76% (liver), 1.41% ± 4.45% (lung), and - 1.43% ± 1.23% (spleen), significantly outperforming alternative models. Notably, VSV and LED substantially underestimated lung dose (-52.19% ± 23.87%, -53.71 ± 22.17%), highlighting their limited applicability in heterogeneous regions. In contrast, the dose of spleen (F = 3.26, p = 0.069) and kidneys (F = 3.22, p = 0.071) did not show statistically significant differences between methods. In terms of computational performance, the GPU-based code delivered a remarkable 1,296-fold speed-up over traditional MC simulations, enabling efficient voxel-level dosimetry suitable for clinical workflows.

Conclusion: The GPU-based fast Monte Carlo simulation provides a highly accurate and computationally efficient tool for voxel-level dosimetry in 90Y radioembolization. It enables precise estimation of tumor and lung doses with significantly reduced processing time and hardware demands, offering clear clinical advantages in minimizing radiation pneumonitis risk and supporting high-throughput workflows. Importantly, a stratified approach to dosimetric modeling-selecting simplified methods such as VSV or LED for small, well-contained lesions, and reserving GPU-based Monte Carlo for anatomically complex or heterogeneous cases-may optimize the balance between accuracy and efficiency. Future work will focus on large-scale validation and formalizing model selection criteria tailored to tumor morphology and treatment scope, with the aim of advancing personalized dosimetric planning in liver-directed therapies.

Clinical trial number: Not applicable.

求助全文
通过发布文献求助,成功后即可免费获取论文全文。 去求助
来源期刊
EJNMMI Physics
EJNMMI Physics Physics and Astronomy-Radiation
CiteScore
6.70
自引率
10.00%
发文量
78
审稿时长
13 weeks
期刊介绍: EJNMMI Physics is an international platform for scientists, users and adopters of nuclear medicine with a particular interest in physics matters. As a companion journal to the European Journal of Nuclear Medicine and Molecular Imaging, this journal has a multi-disciplinary approach and welcomes original materials and studies with a focus on applied physics and mathematics as well as imaging systems engineering and prototyping in nuclear medicine. This includes physics-driven approaches or algorithms supported by physics that foster early clinical adoption of nuclear medicine imaging and therapy.
×
引用
GB/T 7714-2015
复制
MLA
复制
APA
复制
导出至
BibTeX EndNote RefMan NoteFirst NoteExpress
×
提示
您的信息不完整,为了账户安全,请先补充。
现在去补充
×
提示
您因"违规操作"
具体请查看互助需知
我知道了
×
提示
确定
请完成安全验证×
copy
已复制链接
快去分享给好友吧!
我知道了
右上角分享
点击右上角分享
0
联系我们:info@booksci.cn Book学术提供免费学术资源搜索服务,方便国内外学者检索中英文文献。致力于提供最便捷和优质的服务体验。 Copyright © 2023 布克学术 All rights reserved.
京ICP备2023020795号-1
ghs 京公网安备 11010802042870号
Book学术文献互助
Book学术文献互助群
群 号:604180095
Book学术官方微信