自身免疫性肺泡蛋白沉积症的药物治疗

IF 14.4 1区 医学 Q1 PHARMACOLOGY & PHARMACY
Drugs Pub Date : 2025-10-01 Epub Date: 2025-08-27 DOI:10.1007/s40265-025-02228-3
Stéphane Jouneau, Pierre Chauvin, Mathieu Lederlin, Benoît Painvin, Mallorie Kerjouan
{"title":"自身免疫性肺泡蛋白沉积症的药物治疗","authors":"Stéphane Jouneau, Pierre Chauvin, Mathieu Lederlin, Benoît Painvin, Mallorie Kerjouan","doi":"10.1007/s40265-025-02228-3","DOIUrl":null,"url":null,"abstract":"<p><p>Pulmonary alveolar proteinosis is suspected when a \"crazy paving\" pattern is observed on a chest CT scan. This diagnosis is confirmed by the presence of eosinophilic extracellular material that shows positive staining with Periodic Acid Schiff on bronchoalveolar lavage samples. The autoimmune form of pulmonary alveolar proteinosis is confirmed by detecting anti-granulocyte-macrophage colony-stimulating factor antibodies in the patient's serum. The historical first-line treatment for autoimmune pulmonary alveolar proteinosis is whole lung lavage, which should only be performed in expert centers. It remains the preferred treatment for patients experiencing respiratory failure, especially at the time of diagnosis. Inhaled granulocyte-macrophage colony-stimulating factor supplementation with molgramostim or sargramostim is now considered a first-line treatment in the international guidelines for autoimmune pulmonary alveolar proteinosis, following the positive results of recent randomized placebo-controlled studies. Rituximab and plasmapheresis can be prescribed as third- and fourth-line treatments, respectively. Lung transplantation may be considered for eligible patients experiencing terminal respiratory failure. A deeper understanding of the pathogenesis of autoimmune pulmonary alveolar proteinosis has opened up new therapeutic avenues, such as the use of PPARγ agonists or statins.</p>","PeriodicalId":11482,"journal":{"name":"Drugs","volume":" ","pages":"1193-1206"},"PeriodicalIF":14.4000,"publicationDate":"2025-10-01","publicationTypes":"Journal Article","fieldsOfStudy":null,"isOpenAccess":false,"openAccessPdf":"https://www.ncbi.nlm.nih.gov/pmc/articles/PMC12484331/pdf/","citationCount":"0","resultStr":"{\"title\":\"Pharmacotherapy for Autoimmune Pulmonary Alveolar Proteinosis.\",\"authors\":\"Stéphane Jouneau, Pierre Chauvin, Mathieu Lederlin, Benoît Painvin, Mallorie Kerjouan\",\"doi\":\"10.1007/s40265-025-02228-3\",\"DOIUrl\":null,\"url\":null,\"abstract\":\"<p><p>Pulmonary alveolar proteinosis is suspected when a \\\"crazy paving\\\" pattern is observed on a chest CT scan. This diagnosis is confirmed by the presence of eosinophilic extracellular material that shows positive staining with Periodic Acid Schiff on bronchoalveolar lavage samples. The autoimmune form of pulmonary alveolar proteinosis is confirmed by detecting anti-granulocyte-macrophage colony-stimulating factor antibodies in the patient's serum. The historical first-line treatment for autoimmune pulmonary alveolar proteinosis is whole lung lavage, which should only be performed in expert centers. It remains the preferred treatment for patients experiencing respiratory failure, especially at the time of diagnosis. Inhaled granulocyte-macrophage colony-stimulating factor supplementation with molgramostim or sargramostim is now considered a first-line treatment in the international guidelines for autoimmune pulmonary alveolar proteinosis, following the positive results of recent randomized placebo-controlled studies. Rituximab and plasmapheresis can be prescribed as third- and fourth-line treatments, respectively. Lung transplantation may be considered for eligible patients experiencing terminal respiratory failure. A deeper understanding of the pathogenesis of autoimmune pulmonary alveolar proteinosis has opened up new therapeutic avenues, such as the use of PPARγ agonists or statins.</p>\",\"PeriodicalId\":11482,\"journal\":{\"name\":\"Drugs\",\"volume\":\" \",\"pages\":\"1193-1206\"},\"PeriodicalIF\":14.4000,\"publicationDate\":\"2025-10-01\",\"publicationTypes\":\"Journal Article\",\"fieldsOfStudy\":null,\"isOpenAccess\":false,\"openAccessPdf\":\"https://www.ncbi.nlm.nih.gov/pmc/articles/PMC12484331/pdf/\",\"citationCount\":\"0\",\"resultStr\":null,\"platform\":\"Semanticscholar\",\"paperid\":null,\"PeriodicalName\":\"Drugs\",\"FirstCategoryId\":\"3\",\"ListUrlMain\":\"https://doi.org/10.1007/s40265-025-02228-3\",\"RegionNum\":1,\"RegionCategory\":\"医学\",\"ArticlePicture\":[],\"TitleCN\":null,\"AbstractTextCN\":null,\"PMCID\":null,\"EPubDate\":\"2025/8/27 0:00:00\",\"PubModel\":\"Epub\",\"JCR\":\"Q1\",\"JCRName\":\"PHARMACOLOGY & PHARMACY\",\"Score\":null,\"Total\":0}","platform":"Semanticscholar","paperid":null,"PeriodicalName":"Drugs","FirstCategoryId":"3","ListUrlMain":"https://doi.org/10.1007/s40265-025-02228-3","RegionNum":1,"RegionCategory":"医学","ArticlePicture":[],"TitleCN":null,"AbstractTextCN":null,"PMCID":null,"EPubDate":"2025/8/27 0:00:00","PubModel":"Epub","JCR":"Q1","JCRName":"PHARMACOLOGY & PHARMACY","Score":null,"Total":0}
引用次数: 0

摘要

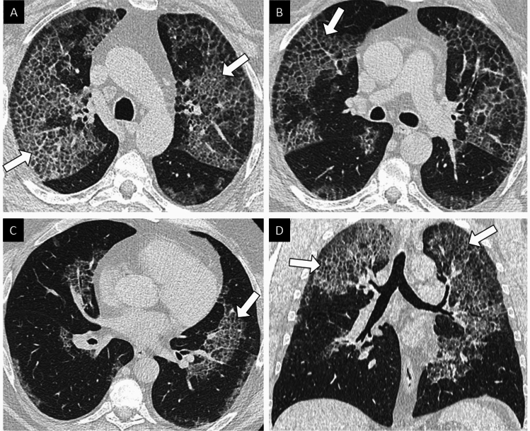
当胸部CT扫描显示“疯狂铺路”时,怀疑肺泡蛋白沉积症。支气管肺泡灌洗液呈周期性酸性席夫染色阳性,可见嗜酸性细胞外物质。通过检测患者血清中抗粒细胞-巨噬细胞集落刺激因子抗体,证实自身免疫性肺泡蛋白沉积症。历史上,自身免疫性肺泡蛋白沉积症的一线治疗方法是全肺灌洗,这只能在专家中心进行。它仍然是呼吸衰竭患者的首选治疗方法,特别是在诊断时。在最近的随机安慰剂对照研究的积极结果之后,在自身免疫性肺泡蛋白沉积症的国际指南中,现在认为补充molgramostim或sargramostim是一种吸入粒细胞-巨噬细胞集落刺激因子。利妥昔单抗和血浆置换可分别作为三线和四线治疗。晚期呼吸衰竭患者可考虑肺移植。对自身免疫性肺泡蛋白沉积症发病机制的深入了解开辟了新的治疗途径,如使用PPARγ激动剂或他汀类药物。
本文章由计算机程序翻译,如有差异,请以英文原文为准。

Pharmacotherapy for Autoimmune Pulmonary Alveolar Proteinosis.

Pharmacotherapy for Autoimmune Pulmonary Alveolar Proteinosis.

Pharmacotherapy for Autoimmune Pulmonary Alveolar Proteinosis.

Pharmacotherapy for Autoimmune Pulmonary Alveolar Proteinosis.

Pulmonary alveolar proteinosis is suspected when a "crazy paving" pattern is observed on a chest CT scan. This diagnosis is confirmed by the presence of eosinophilic extracellular material that shows positive staining with Periodic Acid Schiff on bronchoalveolar lavage samples. The autoimmune form of pulmonary alveolar proteinosis is confirmed by detecting anti-granulocyte-macrophage colony-stimulating factor antibodies in the patient's serum. The historical first-line treatment for autoimmune pulmonary alveolar proteinosis is whole lung lavage, which should only be performed in expert centers. It remains the preferred treatment for patients experiencing respiratory failure, especially at the time of diagnosis. Inhaled granulocyte-macrophage colony-stimulating factor supplementation with molgramostim or sargramostim is now considered a first-line treatment in the international guidelines for autoimmune pulmonary alveolar proteinosis, following the positive results of recent randomized placebo-controlled studies. Rituximab and plasmapheresis can be prescribed as third- and fourth-line treatments, respectively. Lung transplantation may be considered for eligible patients experiencing terminal respiratory failure. A deeper understanding of the pathogenesis of autoimmune pulmonary alveolar proteinosis has opened up new therapeutic avenues, such as the use of PPARγ agonists or statins.

求助全文
通过发布文献求助,成功后即可免费获取论文全文。 去求助
来源期刊
Drugs
Drugs 医学-毒理学
CiteScore
22.70
自引率
0.90%
发文量
134
审稿时长
3-8 weeks
期刊介绍: Drugs is a journal that aims to enhance pharmacotherapy by publishing review and original research articles on key aspects of clinical pharmacology and therapeutics. The journal includes: Leading/current opinion articles providing an overview of contentious or emerging issues. Definitive reviews of drugs and drug classes, and their place in disease management. Therapy in Practice articles including recommendations for specific clinical situations. High-quality, well designed, original clinical research. Adis Drug Evaluations reviewing the properties and place in therapy of both newer and established drugs. AdisInsight Reports summarising development at first global approval. Moreover, the journal offers additional digital features such as animated abstracts, video abstracts, instructional videos, and podcasts to increase visibility and educational value. Plain language summaries accompany articles to assist readers with some knowledge of the field in understanding important medical advances.
×
引用
GB/T 7714-2015
复制
MLA
复制
APA
复制
导出至
BibTeX EndNote RefMan NoteFirst NoteExpress
×
提示
您的信息不完整,为了账户安全,请先补充。
现在去补充
×
提示
您因"违规操作"
具体请查看互助需知
我知道了
×
提示
确定
请完成安全验证×
copy
已复制链接
快去分享给好友吧!
我知道了
右上角分享
点击右上角分享
0
联系我们:info@booksci.cn Book学术提供免费学术资源搜索服务,方便国内外学者检索中英文文献。致力于提供最便捷和优质的服务体验。 Copyright © 2023 布克学术 All rights reserved.
京ICP备2023020795号-1
ghs 京公网安备 11010802042870号
Book学术文献互助
Book学术文献互助群
群 号:604180095
Book学术官方微信