双侧输尿管结石合并肾后急性肾损伤:一罕见的糖尿病酮症酸中毒患儿并发症。

IF 0.5 Q4 PEDIATRICS
Case Reports in Pediatrics Pub Date : 2025-08-15 eCollection Date: 2025-01-01 DOI:10.1155/crpe/2711257
Fabio Rotondo, Sofia Siena, Maria Rosa Pastore, Pasquale Pio Maccarone, Morena Luce Mansueto, Irene Rutigliano
{"title":"双侧输尿管结石合并肾后急性肾损伤:一罕见的糖尿病酮症酸中毒患儿并发症。","authors":"Fabio Rotondo, Sofia Siena, Maria Rosa Pastore, Pasquale Pio Maccarone, Morena Luce Mansueto, Irene Rutigliano","doi":"10.1155/crpe/2711257","DOIUrl":null,"url":null,"abstract":"<p><p>Diabetic ketoacidosis (DKA) is a common initial presentation of type 1 diabetes mellitus (T1DM) in children occurring in up to 40% of cases. DKA can also be associated with severe complications, including nephrolithiasis. We present the case of a 12 years and 8-month-old boy who developed acute kidney injury (AKI) secondary to bilateral urinary lithiasis during the onset of T1DM with DKA. After conventional treatment for DKA, laboratory tests showed increased creatinine and azotemia. 24 hours later, he developed lumbar pain and anuria. Plain radiography, ultrasonography, and computed tomography (CT) revealed bilateral renal calculi and pelvic dilation. An urgent bilateral ascending pyelography with stent placement was performed. Right ureteral stenting was successful, but left stenting failed due to an intramural ureteral anatomical variant; thus, a nephrostomy was performed. Diuresis resumed immediately, and renal function normalized over the following days without permanent impairment. To our knowledge, this is the first reported case of bilateral lithiasis with ureteral stenosis in a pediatric patient with DKA. In patients with severe DKA, we recommend routine monitoring of kidney function with a low threshold for CT imaging whenever there is an unexpected rise in creatinine, oliguria/anuria, or lumbar pain. Early multidisciplinary intervention can promptly relieve postrenal obstruction, prevent permanent renal damage, and improve outcomes.</p>","PeriodicalId":9623,"journal":{"name":"Case Reports in Pediatrics","volume":"2025 ","pages":"2711257"},"PeriodicalIF":0.5000,"publicationDate":"2025-08-15","publicationTypes":"Journal Article","fieldsOfStudy":null,"isOpenAccess":false,"openAccessPdf":"https://www.ncbi.nlm.nih.gov/pmc/articles/PMC12373468/pdf/","citationCount":"0","resultStr":"{\"title\":\"Bilateral Ureteral Lithiasis and Postrenal Acute Kidney Injury: A Rare Complication of Diabetic Ketoacidosis in a Child.\",\"authors\":\"Fabio Rotondo, Sofia Siena, Maria Rosa Pastore, Pasquale Pio Maccarone, Morena Luce Mansueto, Irene Rutigliano\",\"doi\":\"10.1155/crpe/2711257\",\"DOIUrl\":null,\"url\":null,\"abstract\":\"<p><p>Diabetic ketoacidosis (DKA) is a common initial presentation of type 1 diabetes mellitus (T1DM) in children occurring in up to 40% of cases. DKA can also be associated with severe complications, including nephrolithiasis. We present the case of a 12 years and 8-month-old boy who developed acute kidney injury (AKI) secondary to bilateral urinary lithiasis during the onset of T1DM with DKA. After conventional treatment for DKA, laboratory tests showed increased creatinine and azotemia. 24 hours later, he developed lumbar pain and anuria. Plain radiography, ultrasonography, and computed tomography (CT) revealed bilateral renal calculi and pelvic dilation. An urgent bilateral ascending pyelography with stent placement was performed. Right ureteral stenting was successful, but left stenting failed due to an intramural ureteral anatomical variant; thus, a nephrostomy was performed. Diuresis resumed immediately, and renal function normalized over the following days without permanent impairment. To our knowledge, this is the first reported case of bilateral lithiasis with ureteral stenosis in a pediatric patient with DKA. In patients with severe DKA, we recommend routine monitoring of kidney function with a low threshold for CT imaging whenever there is an unexpected rise in creatinine, oliguria/anuria, or lumbar pain. Early multidisciplinary intervention can promptly relieve postrenal obstruction, prevent permanent renal damage, and improve outcomes.</p>\",\"PeriodicalId\":9623,\"journal\":{\"name\":\"Case Reports in Pediatrics\",\"volume\":\"2025 \",\"pages\":\"2711257\"},\"PeriodicalIF\":0.5000,\"publicationDate\":\"2025-08-15\",\"publicationTypes\":\"Journal Article\",\"fieldsOfStudy\":null,\"isOpenAccess\":false,\"openAccessPdf\":\"https://www.ncbi.nlm.nih.gov/pmc/articles/PMC12373468/pdf/\",\"citationCount\":\"0\",\"resultStr\":null,\"platform\":\"Semanticscholar\",\"paperid\":null,\"PeriodicalName\":\"Case Reports in Pediatrics\",\"FirstCategoryId\":\"1085\",\"ListUrlMain\":\"https://doi.org/10.1155/crpe/2711257\",\"RegionNum\":0,\"RegionCategory\":null,\"ArticlePicture\":[],\"TitleCN\":null,\"AbstractTextCN\":null,\"PMCID\":null,\"EPubDate\":\"2025/1/1 0:00:00\",\"PubModel\":\"eCollection\",\"JCR\":\"Q4\",\"JCRName\":\"PEDIATRICS\",\"Score\":null,\"Total\":0}","platform":"Semanticscholar","paperid":null,"PeriodicalName":"Case Reports in Pediatrics","FirstCategoryId":"1085","ListUrlMain":"https://doi.org/10.1155/crpe/2711257","RegionNum":0,"RegionCategory":null,"ArticlePicture":[],"TitleCN":null,"AbstractTextCN":null,"PMCID":null,"EPubDate":"2025/1/1 0:00:00","PubModel":"eCollection","JCR":"Q4","JCRName":"PEDIATRICS","Score":null,"Total":0}
引用次数: 0

摘要

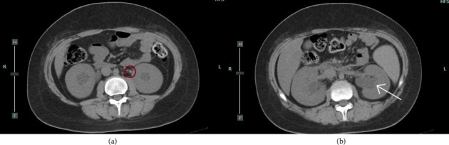
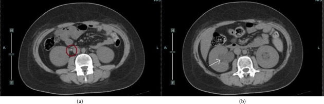
糖尿病酮症酸中毒(DKA)是儿童1型糖尿病(T1DM)的常见初始表现,发生率高达40%。DKA也可能与严重的并发症相关,包括肾结石。我们提出了一个12岁零8个月大的男孩谁发展急性肾损伤(AKI)继发于双侧尿路结石T1DM与DKA发病期间。在DKA的常规治疗后,实验室检查显示肌酐和氮血症升高。24小时后,患者出现腰痛和无尿。平片、超音波及电脑断层扫描显示双侧肾结石及盆腔扩张。我们进行了紧急双侧上升肾盂造影和支架置入。右侧输尿管支架置入成功,但左侧输尿管支架置入失败,原因是输尿管内解剖变异;因此,进行了肾造口术。利尿立即恢复,随后几天肾功能恢复正常,无永久性损害。据我们所知,这是第一例小儿DKA患者双侧结石合并输尿管狭窄的报道。对于严重DKA患者,我们建议在出现肌酐、少尿/无尿或腰痛异常升高时,采用低阈值的CT成像常规监测肾功能。早期多学科干预可迅速缓解肾后梗阻,预防永久性肾损害,改善预后。
本文章由计算机程序翻译,如有差异,请以英文原文为准。

Bilateral Ureteral Lithiasis and Postrenal Acute Kidney Injury: A Rare Complication of Diabetic Ketoacidosis in a Child.

Bilateral Ureteral Lithiasis and Postrenal Acute Kidney Injury: A Rare Complication of Diabetic Ketoacidosis in a Child.

Bilateral Ureteral Lithiasis and Postrenal Acute Kidney Injury: A Rare Complication of Diabetic Ketoacidosis in a Child.

Diabetic ketoacidosis (DKA) is a common initial presentation of type 1 diabetes mellitus (T1DM) in children occurring in up to 40% of cases. DKA can also be associated with severe complications, including nephrolithiasis. We present the case of a 12 years and 8-month-old boy who developed acute kidney injury (AKI) secondary to bilateral urinary lithiasis during the onset of T1DM with DKA. After conventional treatment for DKA, laboratory tests showed increased creatinine and azotemia. 24 hours later, he developed lumbar pain and anuria. Plain radiography, ultrasonography, and computed tomography (CT) revealed bilateral renal calculi and pelvic dilation. An urgent bilateral ascending pyelography with stent placement was performed. Right ureteral stenting was successful, but left stenting failed due to an intramural ureteral anatomical variant; thus, a nephrostomy was performed. Diuresis resumed immediately, and renal function normalized over the following days without permanent impairment. To our knowledge, this is the first reported case of bilateral lithiasis with ureteral stenosis in a pediatric patient with DKA. In patients with severe DKA, we recommend routine monitoring of kidney function with a low threshold for CT imaging whenever there is an unexpected rise in creatinine, oliguria/anuria, or lumbar pain. Early multidisciplinary intervention can promptly relieve postrenal obstruction, prevent permanent renal damage, and improve outcomes.

求助全文
通过发布文献求助,成功后即可免费获取论文全文。 去求助
来源期刊
自引率
11.10%
发文量
48
审稿时长
13 weeks
×
引用
GB/T 7714-2015
复制
MLA
复制
APA
复制
导出至
BibTeX EndNote RefMan NoteFirst NoteExpress
×
提示
您的信息不完整,为了账户安全,请先补充。
现在去补充
×
提示
您因"违规操作"
具体请查看互助需知
我知道了
×
提示
确定
请完成安全验证×
copy
已复制链接
快去分享给好友吧!
我知道了
右上角分享
点击右上角分享
0
联系我们:info@booksci.cn Book学术提供免费学术资源搜索服务,方便国内外学者检索中英文文献。致力于提供最便捷和优质的服务体验。 Copyright © 2023 布克学术 All rights reserved.
京ICP备2023020795号-1
ghs 京公网安备 11010802042870号
Book学术文献互助
Book学术文献互助群
群 号:604180095
Book学术官方微信