甲状腺纤维肉瘤作为间变性甲状腺癌的罕见鉴别诊断:1例报告。

IF 0.9 Q4 ENDOCRINOLOGY & METABOLISM
Case Reports in Endocrinology Pub Date : 2025-08-19 eCollection Date: 2025-01-01 DOI:10.1155/crie/6675175
Phichaya Chamnanvej, Bantita Phruttinarakorn, Rattanakan Chaiprasithikul, Nuttapong Topibulpong, Chutintorn Sriphrapradang
{"title":"甲状腺纤维肉瘤作为间变性甲状腺癌的罕见鉴别诊断:1例报告。","authors":"Phichaya Chamnanvej, Bantita Phruttinarakorn, Rattanakan Chaiprasithikul, Nuttapong Topibulpong, Chutintorn Sriphrapradang","doi":"10.1155/crie/6675175","DOIUrl":null,"url":null,"abstract":"<p><p><b>Introduction:</b> Thyroid gland fibrosarcomas are very rare tumors, with only very few cases have been reported in the literature. Their similarity to anaplastic thyroid cancer poses a diagnostic challenge, often leading to misdiagnosis. <b>Case Report:</b> We report the case of an 87-year-old female with a history of left thyroid nodule who underwent a left lobectomy and subsequently, received levothyroxine therapy. She presented with a rapidly growing mass on the right thyroid gland. Her thyroid function was normal. Ultrasound revealed an ill-defined hypoechoic mass measuring 4 cm on the right thyroid. Fine-needle aspiration biopsy (FNAB) was performed, and cytology indicated Bethesda VI for anaplastic thyroid carcinoma. After the total thyroidectomy, the surgical pathological examination revealed a high-grade fibrosarcoma with extension into the strap muscle. Lymphovascular and perineural invasion was noted. Immunohistochemical staining showed positivity for smooth muscle actin (SMA), and negative for paired-box gene 8 (PAX8), transcription factor 1 (TTF-1), thyroglobulin, and epithelium markers (AE1/AE3). Following surgery, adjuvant therapy with radiation and chemotherapy using ifosfamide was administered. However, the disease progressed with lung metastasis. The treatment was changed to administration of pazopanib, resulting in dramatic improvement of lung metastasis. However, the disease continued to progress, and patient passed away within 2 years after treatment initiation. <b>Conclusions:</b> Although fibrosarcoma of the thyroid gland is exceedingly rare, it should be considered in the differential diagnosis of anaplastic thyroid carcinoma. Immunohistochemistry (IHC) plays a crucial role in supporting the diagnosis. A multidisciplinary approach is essential for its management. In addition to surgery, emerging adjuvant therapies with kinase inhibitors have shown promise in improving patient survival.</p>","PeriodicalId":9621,"journal":{"name":"Case Reports in Endocrinology","volume":"2025 ","pages":"6675175"},"PeriodicalIF":0.9000,"publicationDate":"2025-08-19","publicationTypes":"Journal Article","fieldsOfStudy":null,"isOpenAccess":false,"openAccessPdf":"https://www.ncbi.nlm.nih.gov/pmc/articles/PMC12380504/pdf/","citationCount":"0","resultStr":"{\"title\":\"Thyroid Fibrosarcoma as a Rare Differential Diagnosis of Anaplastic Thyroid Cancer: A Case Report.\",\"authors\":\"Phichaya Chamnanvej, Bantita Phruttinarakorn, Rattanakan Chaiprasithikul, Nuttapong Topibulpong, Chutintorn Sriphrapradang\",\"doi\":\"10.1155/crie/6675175\",\"DOIUrl\":null,\"url\":null,\"abstract\":\"<p><p><b>Introduction:</b> Thyroid gland fibrosarcomas are very rare tumors, with only very few cases have been reported in the literature. Their similarity to anaplastic thyroid cancer poses a diagnostic challenge, often leading to misdiagnosis. <b>Case Report:</b> We report the case of an 87-year-old female with a history of left thyroid nodule who underwent a left lobectomy and subsequently, received levothyroxine therapy. She presented with a rapidly growing mass on the right thyroid gland. Her thyroid function was normal. Ultrasound revealed an ill-defined hypoechoic mass measuring 4 cm on the right thyroid. Fine-needle aspiration biopsy (FNAB) was performed, and cytology indicated Bethesda VI for anaplastic thyroid carcinoma. After the total thyroidectomy, the surgical pathological examination revealed a high-grade fibrosarcoma with extension into the strap muscle. Lymphovascular and perineural invasion was noted. Immunohistochemical staining showed positivity for smooth muscle actin (SMA), and negative for paired-box gene 8 (PAX8), transcription factor 1 (TTF-1), thyroglobulin, and epithelium markers (AE1/AE3). Following surgery, adjuvant therapy with radiation and chemotherapy using ifosfamide was administered. However, the disease progressed with lung metastasis. The treatment was changed to administration of pazopanib, resulting in dramatic improvement of lung metastasis. However, the disease continued to progress, and patient passed away within 2 years after treatment initiation. <b>Conclusions:</b> Although fibrosarcoma of the thyroid gland is exceedingly rare, it should be considered in the differential diagnosis of anaplastic thyroid carcinoma. Immunohistochemistry (IHC) plays a crucial role in supporting the diagnosis. A multidisciplinary approach is essential for its management. In addition to surgery, emerging adjuvant therapies with kinase inhibitors have shown promise in improving patient survival.</p>\",\"PeriodicalId\":9621,\"journal\":{\"name\":\"Case Reports in Endocrinology\",\"volume\":\"2025 \",\"pages\":\"6675175\"},\"PeriodicalIF\":0.9000,\"publicationDate\":\"2025-08-19\",\"publicationTypes\":\"Journal Article\",\"fieldsOfStudy\":null,\"isOpenAccess\":false,\"openAccessPdf\":\"https://www.ncbi.nlm.nih.gov/pmc/articles/PMC12380504/pdf/\",\"citationCount\":\"0\",\"resultStr\":null,\"platform\":\"Semanticscholar\",\"paperid\":null,\"PeriodicalName\":\"Case Reports in Endocrinology\",\"FirstCategoryId\":\"1085\",\"ListUrlMain\":\"https://doi.org/10.1155/crie/6675175\",\"RegionNum\":0,\"RegionCategory\":null,\"ArticlePicture\":[],\"TitleCN\":null,\"AbstractTextCN\":null,\"PMCID\":null,\"EPubDate\":\"2025/1/1 0:00:00\",\"PubModel\":\"eCollection\",\"JCR\":\"Q4\",\"JCRName\":\"ENDOCRINOLOGY & METABOLISM\",\"Score\":null,\"Total\":0}","platform":"Semanticscholar","paperid":null,"PeriodicalName":"Case Reports in Endocrinology","FirstCategoryId":"1085","ListUrlMain":"https://doi.org/10.1155/crie/6675175","RegionNum":0,"RegionCategory":null,"ArticlePicture":[],"TitleCN":null,"AbstractTextCN":null,"PMCID":null,"EPubDate":"2025/1/1 0:00:00","PubModel":"eCollection","JCR":"Q4","JCRName":"ENDOCRINOLOGY & METABOLISM","Score":null,"Total":0}
引用次数: 0

摘要

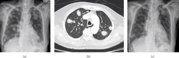
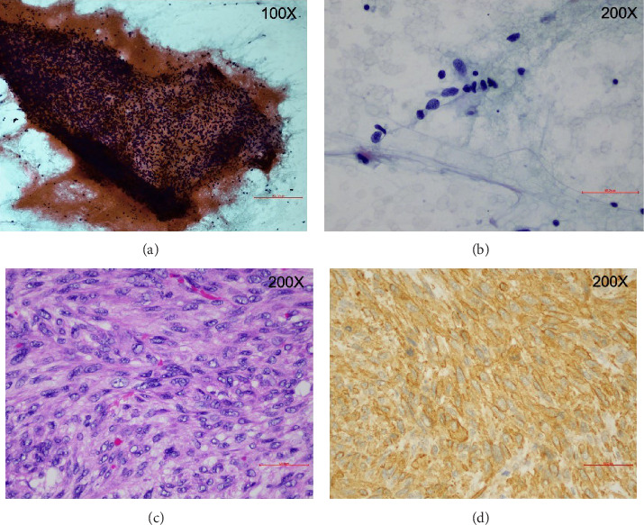
简介:甲状腺纤维肉瘤是一种非常罕见的肿瘤,文献报道的病例非常少。它们与间变性甲状腺癌的相似性给诊断带来了挑战,经常导致误诊。病例报告:我们报告一位87岁的女性,她有左侧甲状腺结节的病史,她接受了左侧肺叶切除术,随后接受了左甲状腺素治疗。她表现为右侧甲状腺有一个快速增长的肿块。她的甲状腺功能正常。超声显示右侧甲状腺上有一模糊的低回声肿块,大小为4厘米。行细针穿刺活检(FNAB),细胞学提示Bethesda VI为间变性甲状腺癌。甲状腺全切除术后,手术病理检查显示一个高级别纤维肉瘤,并延伸到带肌。注意到淋巴血管和神经周围浸润。免疫组化染色显示平滑肌肌动蛋白(SMA)阳性,配对盒基因8 (PAX8)、转录因子1 (TTF-1)、甲状腺球蛋白和上皮标志物(AE1/AE3)阴性。手术后,使用异环磷酰胺进行辅助放疗和化疗。然而,疾病进展并伴有肺转移。治疗改为帕唑帕尼,导致肺转移显著改善。然而,病情持续发展,患者在开始治疗后2年内死亡。结论:虽然甲状腺纤维肉瘤极为罕见,但在鉴别诊断间变性甲状腺癌时应予以考虑。免疫组织化学(IHC)在支持诊断中起着至关重要的作用。多学科方法对其管理至关重要。除手术外,新出现的激酶抑制剂辅助疗法已显示出改善患者生存的希望。
本文章由计算机程序翻译,如有差异,请以英文原文为准。

Thyroid Fibrosarcoma as a Rare Differential Diagnosis of Anaplastic Thyroid Cancer: A Case Report.

Thyroid Fibrosarcoma as a Rare Differential Diagnosis of Anaplastic Thyroid Cancer: A Case Report.

Thyroid Fibrosarcoma as a Rare Differential Diagnosis of Anaplastic Thyroid Cancer: A Case Report.

Introduction: Thyroid gland fibrosarcomas are very rare tumors, with only very few cases have been reported in the literature. Their similarity to anaplastic thyroid cancer poses a diagnostic challenge, often leading to misdiagnosis. Case Report: We report the case of an 87-year-old female with a history of left thyroid nodule who underwent a left lobectomy and subsequently, received levothyroxine therapy. She presented with a rapidly growing mass on the right thyroid gland. Her thyroid function was normal. Ultrasound revealed an ill-defined hypoechoic mass measuring 4 cm on the right thyroid. Fine-needle aspiration biopsy (FNAB) was performed, and cytology indicated Bethesda VI for anaplastic thyroid carcinoma. After the total thyroidectomy, the surgical pathological examination revealed a high-grade fibrosarcoma with extension into the strap muscle. Lymphovascular and perineural invasion was noted. Immunohistochemical staining showed positivity for smooth muscle actin (SMA), and negative for paired-box gene 8 (PAX8), transcription factor 1 (TTF-1), thyroglobulin, and epithelium markers (AE1/AE3). Following surgery, adjuvant therapy with radiation and chemotherapy using ifosfamide was administered. However, the disease progressed with lung metastasis. The treatment was changed to administration of pazopanib, resulting in dramatic improvement of lung metastasis. However, the disease continued to progress, and patient passed away within 2 years after treatment initiation. Conclusions: Although fibrosarcoma of the thyroid gland is exceedingly rare, it should be considered in the differential diagnosis of anaplastic thyroid carcinoma. Immunohistochemistry (IHC) plays a crucial role in supporting the diagnosis. A multidisciplinary approach is essential for its management. In addition to surgery, emerging adjuvant therapies with kinase inhibitors have shown promise in improving patient survival.

求助全文
通过发布文献求助,成功后即可免费获取论文全文。 去求助
来源期刊
Case Reports in Endocrinology
Case Reports in Endocrinology ENDOCRINOLOGY & METABOLISM-
CiteScore
2.10
自引率
0.00%
发文量
45
审稿时长
13 weeks
×
引用
GB/T 7714-2015
复制
MLA
复制
APA
复制
导出至
BibTeX EndNote RefMan NoteFirst NoteExpress
×
提示
您的信息不完整,为了账户安全,请先补充。
现在去补充
×
提示
您因"违规操作"
具体请查看互助需知
我知道了
×
提示
确定
请完成安全验证×
copy
已复制链接
快去分享给好友吧!
我知道了
右上角分享
点击右上角分享
0
联系我们:info@booksci.cn Book学术提供免费学术资源搜索服务,方便国内外学者检索中英文文献。致力于提供最便捷和优质的服务体验。 Copyright © 2023 布克学术 All rights reserved.
京ICP备2023020795号-1
ghs 京公网安备 11010802042870号
Book学术文献互助
Book学术文献互助群
群 号:604180095
Book学术官方微信