一例年轻健康成人术后急性呼吸功能不全和弥漫性肺泡出血

IF 3.4 Q2 RESPIRATORY SYSTEM
Breathe Pub Date : 2025-08-19 eCollection Date: 2025-07-01 DOI:10.1183/20734735.0146-2025
Tom Verresen, David Ruttens
{"title":"一例年轻健康成人术后急性呼吸功能不全和弥漫性肺泡出血","authors":"Tom Verresen, David Ruttens","doi":"10.1183/20734735.0146-2025","DOIUrl":null,"url":null,"abstract":"<p><p><b>Negative pressure pulmonary oedema is an under-recognised cause of acute respiratory distress in post-operative patients. Presentations include acute pulmonary oedema and possibly DAH. Prompt recognition and intervention are essential.</b> https://bit.ly/4jYzOmn.</p>","PeriodicalId":9292,"journal":{"name":"Breathe","volume":"21 3","pages":"250146"},"PeriodicalIF":3.4000,"publicationDate":"2025-08-19","publicationTypes":"Journal Article","fieldsOfStudy":null,"isOpenAccess":false,"openAccessPdf":"https://www.ncbi.nlm.nih.gov/pmc/articles/PMC12362147/pdf/","citationCount":"0","resultStr":"{\"title\":\"Acute post-operative respiratory insufficiency and diffuse alveolar haemorrhage in a young and healthy adult.\",\"authors\":\"Tom Verresen, David Ruttens\",\"doi\":\"10.1183/20734735.0146-2025\",\"DOIUrl\":null,\"url\":null,\"abstract\":\"<p><p><b>Negative pressure pulmonary oedema is an under-recognised cause of acute respiratory distress in post-operative patients. Presentations include acute pulmonary oedema and possibly DAH. Prompt recognition and intervention are essential.</b> https://bit.ly/4jYzOmn.</p>\",\"PeriodicalId\":9292,\"journal\":{\"name\":\"Breathe\",\"volume\":\"21 3\",\"pages\":\"250146\"},\"PeriodicalIF\":3.4000,\"publicationDate\":\"2025-08-19\",\"publicationTypes\":\"Journal Article\",\"fieldsOfStudy\":null,\"isOpenAccess\":false,\"openAccessPdf\":\"https://www.ncbi.nlm.nih.gov/pmc/articles/PMC12362147/pdf/\",\"citationCount\":\"0\",\"resultStr\":null,\"platform\":\"Semanticscholar\",\"paperid\":null,\"PeriodicalName\":\"Breathe\",\"FirstCategoryId\":\"1085\",\"ListUrlMain\":\"https://doi.org/10.1183/20734735.0146-2025\",\"RegionNum\":0,\"RegionCategory\":null,\"ArticlePicture\":[],\"TitleCN\":null,\"AbstractTextCN\":null,\"PMCID\":null,\"EPubDate\":\"2025/7/1 0:00:00\",\"PubModel\":\"eCollection\",\"JCR\":\"Q2\",\"JCRName\":\"RESPIRATORY SYSTEM\",\"Score\":null,\"Total\":0}","platform":"Semanticscholar","paperid":null,"PeriodicalName":"Breathe","FirstCategoryId":"1085","ListUrlMain":"https://doi.org/10.1183/20734735.0146-2025","RegionNum":0,"RegionCategory":null,"ArticlePicture":[],"TitleCN":null,"AbstractTextCN":null,"PMCID":null,"EPubDate":"2025/7/1 0:00:00","PubModel":"eCollection","JCR":"Q2","JCRName":"RESPIRATORY SYSTEM","Score":null,"Total":0}
引用次数: 0

摘要

负压性肺水肿是术后患者急性呼吸窘迫的一个未被充分认识的原因。表现包括急性肺水肿和可能的DAH。及时认识和干预至关重要。https://bit.ly/4jYzOmn。
本文章由计算机程序翻译,如有差异,请以英文原文为准。

Acute post-operative respiratory insufficiency and diffuse alveolar haemorrhage in a young and healthy adult.

Acute post-operative respiratory insufficiency and diffuse alveolar haemorrhage in a young and healthy adult.

Acute post-operative respiratory insufficiency and diffuse alveolar haemorrhage in a young and healthy adult.

Acute post-operative respiratory insufficiency and diffuse alveolar haemorrhage in a young and healthy adult.

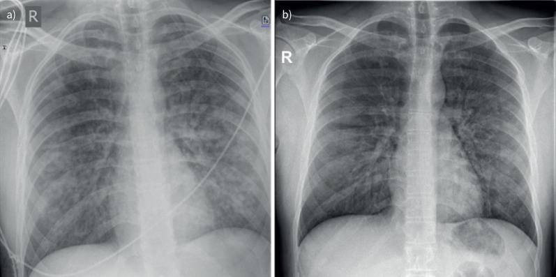
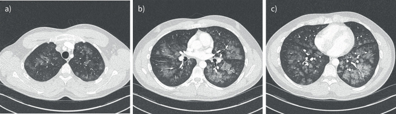
Negative pressure pulmonary oedema is an under-recognised cause of acute respiratory distress in post-operative patients. Presentations include acute pulmonary oedema and possibly DAH. Prompt recognition and intervention are essential. https://bit.ly/4jYzOmn.

求助全文
通过发布文献求助,成功后即可免费获取论文全文。 去求助
来源期刊
Breathe
Breathe RESPIRATORY SYSTEM-
CiteScore
2.90
自引率
5.00%
发文量
51
审稿时长
12 weeks
×
引用
GB/T 7714-2015
复制
MLA
复制
APA
复制
导出至
BibTeX EndNote RefMan NoteFirst NoteExpress
×
提示
您的信息不完整,为了账户安全,请先补充。
现在去补充
×
提示
您因"违规操作"
具体请查看互助需知
我知道了
×
提示
确定
请完成安全验证×
copy
已复制链接
快去分享给好友吧!
我知道了
右上角分享
点击右上角分享
0
联系我们:info@booksci.cn Book学术提供免费学术资源搜索服务,方便国内外学者检索中英文文献。致力于提供最便捷和优质的服务体验。 Copyright © 2023 布克学术 All rights reserved.
京ICP备2023020795号-1
ghs 京公网安备 11010802042870号
Book学术文献互助
Book学术文献互助群
群 号:604180095
Book学术官方微信