微球菌(Micrococcus sp. IITD107)新型硫醇过氧化物酶对沥青质的生物转化。

IF 3.7 2区 生物学 Q2 BIOTECHNOLOGY & APPLIED MICROBIOLOGY
Applied and Environmental Microbiology Pub Date : 2025-09-17 Epub Date: 2025-08-21 DOI:10.1128/aem.00151-25
Nidhi Patil, Preeti Srivastava
{"title":"微球菌(Micrococcus sp. IITD107)新型硫醇过氧化物酶对沥青质的生物转化。","authors":"Nidhi Patil, Preeti Srivastava","doi":"10.1128/aem.00151-25","DOIUrl":null,"url":null,"abstract":"<p><p>Asphaltenes are known to cause high density and viscosity in heavy crude oil. The gene for thiol peroxidase was found to be present in five members of the nine-membered bacterial consortium able to biotransform about 75% of asphaltenes. Here, we report cloning, expression, purification, and detailed characterization of a thiol peroxidase enzyme from one of the consortium members, <i>Micrococcus</i> sp. IITD107. Asphaltene was treated with the crude cell lysate obtained after overexpression of thiol peroxidase from heterologous host <i>Escherichia coli</i> as well as with purified enzyme. A significant reduction in the major peaks obtained by gas chromatography mass spectrometry (GC-MS) of asphaltene was observed, corresponding to small polyaromatic hydrocarbons such as benzaldehyde, phenol-methylethylidene, benzenepropionic acid, and linear aliphatic chains such as heptadecane, tetradecane, octadecane, etc. Changes in the structure of asphaltene were also observed in the Fourier transform infrared spectroscopy and nuclear magnetic resonance spectra. The elemental analysis determined around 60% reduction in sulfur and 69% reduction in nitrogen. A decrease in aromaticity of asphaltene was also observed. Scanning electron microscopy imaging of the treated asphaltene fraction captured during the course of biotransformation revealed formation of pores in the structure. This is the first report demonstrating the use of thiol peroxidase for asphaltene biotransformation. The enzyme can also be used for the biological synthesis of porous carbon, which has not been reported to date.IMPORTANCEHeavy crude oil is abundant but contains asphaltene, which results in its high density and viscosity, making it unsuitable for commercial application. The removal of asphaltene leads to a reduction in heaviness of the oil and renders it light and suitable for commercialization. Asphaltene is a complex and large polyaromatic hydrocarbon consisting of several heteroatoms. The use of enzymatic biotransformation of asphaltene aids in breaking down the complex molecule into smaller moieties without affecting the calorific value. This study helps in identifying a novel enzyme thiol peroxidase for biotransformation of asphaltene and valorization of asphaltene to synthesize porous carbon.</p>","PeriodicalId":8002,"journal":{"name":"Applied and Environmental Microbiology","volume":" ","pages":"e0015125"},"PeriodicalIF":3.7000,"publicationDate":"2025-09-17","publicationTypes":"Journal Article","fieldsOfStudy":null,"isOpenAccess":false,"openAccessPdf":"https://www.ncbi.nlm.nih.gov/pmc/articles/PMC12442351/pdf/","citationCount":"0","resultStr":"{\"title\":\"Asphaltene biotransformation by a novel enzyme thiol peroxidase from <i>Micrococcus</i> sp. IITD107.\",\"authors\":\"Nidhi Patil, Preeti Srivastava\",\"doi\":\"10.1128/aem.00151-25\",\"DOIUrl\":null,\"url\":null,\"abstract\":\"<p><p>Asphaltenes are known to cause high density and viscosity in heavy crude oil. The gene for thiol peroxidase was found to be present in five members of the nine-membered bacterial consortium able to biotransform about 75% of asphaltenes. Here, we report cloning, expression, purification, and detailed characterization of a thiol peroxidase enzyme from one of the consortium members, <i>Micrococcus</i> sp. IITD107. Asphaltene was treated with the crude cell lysate obtained after overexpression of thiol peroxidase from heterologous host <i>Escherichia coli</i> as well as with purified enzyme. A significant reduction in the major peaks obtained by gas chromatography mass spectrometry (GC-MS) of asphaltene was observed, corresponding to small polyaromatic hydrocarbons such as benzaldehyde, phenol-methylethylidene, benzenepropionic acid, and linear aliphatic chains such as heptadecane, tetradecane, octadecane, etc. Changes in the structure of asphaltene were also observed in the Fourier transform infrared spectroscopy and nuclear magnetic resonance spectra. The elemental analysis determined around 60% reduction in sulfur and 69% reduction in nitrogen. A decrease in aromaticity of asphaltene was also observed. Scanning electron microscopy imaging of the treated asphaltene fraction captured during the course of biotransformation revealed formation of pores in the structure. This is the first report demonstrating the use of thiol peroxidase for asphaltene biotransformation. The enzyme can also be used for the biological synthesis of porous carbon, which has not been reported to date.IMPORTANCEHeavy crude oil is abundant but contains asphaltene, which results in its high density and viscosity, making it unsuitable for commercial application. The removal of asphaltene leads to a reduction in heaviness of the oil and renders it light and suitable for commercialization. Asphaltene is a complex and large polyaromatic hydrocarbon consisting of several heteroatoms. The use of enzymatic biotransformation of asphaltene aids in breaking down the complex molecule into smaller moieties without affecting the calorific value. This study helps in identifying a novel enzyme thiol peroxidase for biotransformation of asphaltene and valorization of asphaltene to synthesize porous carbon.</p>\",\"PeriodicalId\":8002,\"journal\":{\"name\":\"Applied and Environmental Microbiology\",\"volume\":\" \",\"pages\":\"e0015125\"},\"PeriodicalIF\":3.7000,\"publicationDate\":\"2025-09-17\",\"publicationTypes\":\"Journal Article\",\"fieldsOfStudy\":null,\"isOpenAccess\":false,\"openAccessPdf\":\"https://www.ncbi.nlm.nih.gov/pmc/articles/PMC12442351/pdf/\",\"citationCount\":\"0\",\"resultStr\":null,\"platform\":\"Semanticscholar\",\"paperid\":null,\"PeriodicalName\":\"Applied and Environmental Microbiology\",\"FirstCategoryId\":\"99\",\"ListUrlMain\":\"https://doi.org/10.1128/aem.00151-25\",\"RegionNum\":2,\"RegionCategory\":\"生物学\",\"ArticlePicture\":[],\"TitleCN\":null,\"AbstractTextCN\":null,\"PMCID\":null,\"EPubDate\":\"2025/8/21 0:00:00\",\"PubModel\":\"Epub\",\"JCR\":\"Q2\",\"JCRName\":\"BIOTECHNOLOGY & APPLIED MICROBIOLOGY\",\"Score\":null,\"Total\":0}","platform":"Semanticscholar","paperid":null,"PeriodicalName":"Applied and Environmental Microbiology","FirstCategoryId":"99","ListUrlMain":"https://doi.org/10.1128/aem.00151-25","RegionNum":2,"RegionCategory":"生物学","ArticlePicture":[],"TitleCN":null,"AbstractTextCN":null,"PMCID":null,"EPubDate":"2025/8/21 0:00:00","PubModel":"Epub","JCR":"Q2","JCRName":"BIOTECHNOLOGY & APPLIED MICROBIOLOGY","Score":null,"Total":0}
引用次数: 0

摘要

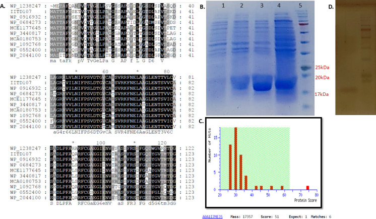
众所周知,沥青质会导致重质原油的高密度和高粘度。巯基过氧化物酶基因被发现存在于能够生物转化约75%沥青质的9个细菌联合体中的5个成员中。在这里,我们报道了来自该联盟成员之一微球菌(Micrococcus sp. IITD107)的硫醇过氧化物酶的克隆、表达、纯化和详细表征。用外源宿主大肠杆菌过表达巯基过氧化物酶获得的细胞裂解液和纯化酶处理沥青质。通过气相色谱-质谱(GC-MS)观察到沥青烯的主要峰明显减少,对应于小的多芳烃,如苯甲醛、苯酚-甲基乙基、苯丙酸和线性脂肪链,如十七烷、十四烷、十八烷等。傅里叶变换红外光谱和核磁共振光谱也观察到沥青质的结构变化。元素分析表明,硫减少了60%,氮减少了69%。沥青质的芳香性也有所下降。在生物转化过程中捕获的处理后的沥青质组分的扫描电镜成像显示了结构中孔隙的形成。这是首次报道利用硫醇过氧化物酶进行沥青质生物转化。该酶还可用于多孔碳的生物合成,目前尚未见报道。重质原油储量丰富,但含有沥青质,这导致其密度和粘度高,不适合商业应用。去除沥青质可以减少石油的重量,使其变得更轻,适合商业化。沥青质是一种由多个杂原子组成的大型复杂多芳烃。使用沥青质的酶生物转化有助于将复杂分子分解成更小的部分,而不影响热值。该研究有助于鉴定一种新的硫醇过氧化物酶,用于沥青质的生物转化和沥青质的增值合成多孔碳。
本文章由计算机程序翻译,如有差异,请以英文原文为准。

Asphaltene biotransformation by a novel enzyme thiol peroxidase from <i>Micrococcus</i> sp. IITD107.

Asphaltene biotransformation by a novel enzyme thiol peroxidase from <i>Micrococcus</i> sp. IITD107.

Asphaltene biotransformation by a novel enzyme thiol peroxidase from <i>Micrococcus</i> sp. IITD107.

Asphaltene biotransformation by a novel enzyme thiol peroxidase from Micrococcus sp. IITD107.

Asphaltenes are known to cause high density and viscosity in heavy crude oil. The gene for thiol peroxidase was found to be present in five members of the nine-membered bacterial consortium able to biotransform about 75% of asphaltenes. Here, we report cloning, expression, purification, and detailed characterization of a thiol peroxidase enzyme from one of the consortium members, Micrococcus sp. IITD107. Asphaltene was treated with the crude cell lysate obtained after overexpression of thiol peroxidase from heterologous host Escherichia coli as well as with purified enzyme. A significant reduction in the major peaks obtained by gas chromatography mass spectrometry (GC-MS) of asphaltene was observed, corresponding to small polyaromatic hydrocarbons such as benzaldehyde, phenol-methylethylidene, benzenepropionic acid, and linear aliphatic chains such as heptadecane, tetradecane, octadecane, etc. Changes in the structure of asphaltene were also observed in the Fourier transform infrared spectroscopy and nuclear magnetic resonance spectra. The elemental analysis determined around 60% reduction in sulfur and 69% reduction in nitrogen. A decrease in aromaticity of asphaltene was also observed. Scanning electron microscopy imaging of the treated asphaltene fraction captured during the course of biotransformation revealed formation of pores in the structure. This is the first report demonstrating the use of thiol peroxidase for asphaltene biotransformation. The enzyme can also be used for the biological synthesis of porous carbon, which has not been reported to date.IMPORTANCEHeavy crude oil is abundant but contains asphaltene, which results in its high density and viscosity, making it unsuitable for commercial application. The removal of asphaltene leads to a reduction in heaviness of the oil and renders it light and suitable for commercialization. Asphaltene is a complex and large polyaromatic hydrocarbon consisting of several heteroatoms. The use of enzymatic biotransformation of asphaltene aids in breaking down the complex molecule into smaller moieties without affecting the calorific value. This study helps in identifying a novel enzyme thiol peroxidase for biotransformation of asphaltene and valorization of asphaltene to synthesize porous carbon.

求助全文
通过发布文献求助,成功后即可免费获取论文全文。 去求助
来源期刊
Applied and Environmental Microbiology
Applied and Environmental Microbiology 生物-生物工程与应用微生物
CiteScore
7.70
自引率
2.30%
发文量
730
审稿时长
1.9 months
期刊介绍: Applied and Environmental Microbiology (AEM) publishes papers that make significant contributions to (a) applied microbiology, including biotechnology, protein engineering, bioremediation, and food microbiology, (b) microbial ecology, including environmental, organismic, and genomic microbiology, and (c) interdisciplinary microbiology, including invertebrate microbiology, plant microbiology, aquatic microbiology, and geomicrobiology.
×
引用
GB/T 7714-2015
复制
MLA
复制
APA
复制
导出至
BibTeX EndNote RefMan NoteFirst NoteExpress
×
提示
您的信息不完整,为了账户安全,请先补充。
现在去补充
×
提示
您因"违规操作"
具体请查看互助需知
我知道了
×
提示
确定
请完成安全验证×
copy
已复制链接
快去分享给好友吧!
我知道了
右上角分享
点击右上角分享
0
联系我们:info@booksci.cn Book学术提供免费学术资源搜索服务,方便国内外学者检索中英文文献。致力于提供最便捷和优质的服务体验。 Copyright © 2023 布克学术 All rights reserved.
京ICP备2023020795号-1
ghs 京公网安备 11010802042870号
Book学术文献互助
Book学术文献互助群
群 号:604180095
Book学术官方微信