多发性动脉瘤患者胃网膜动脉急性炎性假性动脉瘤:一例系统性血管重构。

IF 0.6 Q4 PERIPHERAL VASCULAR DISEASE
Annals of vascular diseases Pub Date : 2025-01-01 Epub Date: 2025-08-20 DOI:10.3400/avd.cr.25-00072
Yuri Yoshida, Shinsuke Kikuchi, Daiki Uchida, Naoya Kuriyama, Yuki Tada, Atsuhiro Koya, Sayaka Yuzawa, Hisashi Uchida, Mishie Tanino, Nobuyoshi Azuma
{"title":"多发性动脉瘤患者胃网膜动脉急性炎性假性动脉瘤:一例系统性血管重构。","authors":"Yuri Yoshida, Shinsuke Kikuchi, Daiki Uchida, Naoya Kuriyama, Yuki Tada, Atsuhiro Koya, Sayaka Yuzawa, Hisashi Uchida, Mishie Tanino, Nobuyoshi Azuma","doi":"10.3400/avd.cr.25-00072","DOIUrl":null,"url":null,"abstract":"<p><p>A 52-year-old man with scoliosis and psoriasis vulgaris, treated with infliximab, presented with a large right gastroepiploic artery aneurysm (GEAA). Following surgical resection, additional aneurysms of the anterior communicating artery and abdominal aorta were identified. Histopathological examination revealed a pseudoaneurysm with organizing thrombus and marked acute inflammation, including neutrophilic infiltration of the medial wall. Despite negative cultures, an infection-related vascular insult could not be excluded. This case highlights a rare immune-mediated vascular pathology in the context of chronic inflammatory disease, emphasizing the potential role of acute inflammation and psoriasis-associated immune dysregulation in visceral artery aneurysm formation.</p>","PeriodicalId":7995,"journal":{"name":"Annals of vascular diseases","volume":"18 1","pages":""},"PeriodicalIF":0.6000,"publicationDate":"2025-01-01","publicationTypes":"Journal Article","fieldsOfStudy":null,"isOpenAccess":false,"openAccessPdf":"https://www.ncbi.nlm.nih.gov/pmc/articles/PMC12375504/pdf/","citationCount":"0","resultStr":"{\"title\":\"Acute Inflammatory Pseudoaneurysm of the Gastroepiploic Artery in a Patient with Multiple Aneurysms: A Case Highlighting Systemic Vascular Remodeling.\",\"authors\":\"Yuri Yoshida, Shinsuke Kikuchi, Daiki Uchida, Naoya Kuriyama, Yuki Tada, Atsuhiro Koya, Sayaka Yuzawa, Hisashi Uchida, Mishie Tanino, Nobuyoshi Azuma\",\"doi\":\"10.3400/avd.cr.25-00072\",\"DOIUrl\":null,\"url\":null,\"abstract\":\"<p><p>A 52-year-old man with scoliosis and psoriasis vulgaris, treated with infliximab, presented with a large right gastroepiploic artery aneurysm (GEAA). Following surgical resection, additional aneurysms of the anterior communicating artery and abdominal aorta were identified. Histopathological examination revealed a pseudoaneurysm with organizing thrombus and marked acute inflammation, including neutrophilic infiltration of the medial wall. Despite negative cultures, an infection-related vascular insult could not be excluded. This case highlights a rare immune-mediated vascular pathology in the context of chronic inflammatory disease, emphasizing the potential role of acute inflammation and psoriasis-associated immune dysregulation in visceral artery aneurysm formation.</p>\",\"PeriodicalId\":7995,\"journal\":{\"name\":\"Annals of vascular diseases\",\"volume\":\"18 1\",\"pages\":\"\"},\"PeriodicalIF\":0.6000,\"publicationDate\":\"2025-01-01\",\"publicationTypes\":\"Journal Article\",\"fieldsOfStudy\":null,\"isOpenAccess\":false,\"openAccessPdf\":\"https://www.ncbi.nlm.nih.gov/pmc/articles/PMC12375504/pdf/\",\"citationCount\":\"0\",\"resultStr\":null,\"platform\":\"Semanticscholar\",\"paperid\":null,\"PeriodicalName\":\"Annals of vascular diseases\",\"FirstCategoryId\":\"1085\",\"ListUrlMain\":\"https://doi.org/10.3400/avd.cr.25-00072\",\"RegionNum\":0,\"RegionCategory\":null,\"ArticlePicture\":[],\"TitleCN\":null,\"AbstractTextCN\":null,\"PMCID\":null,\"EPubDate\":\"2025/8/20 0:00:00\",\"PubModel\":\"Epub\",\"JCR\":\"Q4\",\"JCRName\":\"PERIPHERAL VASCULAR DISEASE\",\"Score\":null,\"Total\":0}","platform":"Semanticscholar","paperid":null,"PeriodicalName":"Annals of vascular diseases","FirstCategoryId":"1085","ListUrlMain":"https://doi.org/10.3400/avd.cr.25-00072","RegionNum":0,"RegionCategory":null,"ArticlePicture":[],"TitleCN":null,"AbstractTextCN":null,"PMCID":null,"EPubDate":"2025/8/20 0:00:00","PubModel":"Epub","JCR":"Q4","JCRName":"PERIPHERAL VASCULAR DISEASE","Score":null,"Total":0}
引用次数: 0

摘要

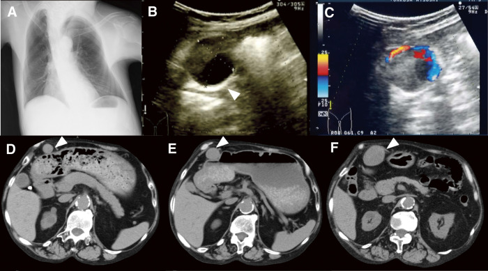
52岁男性脊柱侧凸伴寻常型银屑病,接受英夫利昔单抗治疗,表现为右侧大胃网膜动脉瘤(GEAA)。手术切除后,发现了前交通动脉和腹主动脉的其他动脉瘤。组织病理学检查显示假性动脉瘤伴组织血栓和明显的急性炎症,包括内侧壁中性粒细胞浸润。尽管培养阴性,但不能排除感染相关的血管损伤。本病例强调了慢性炎症性疾病中罕见的免疫介导的血管病理,强调了急性炎症和银屑病相关免疫失调在内脏动脉瘤形成中的潜在作用。
本文章由计算机程序翻译,如有差异,请以英文原文为准。

Acute Inflammatory Pseudoaneurysm of the Gastroepiploic Artery in a Patient with Multiple Aneurysms: A Case Highlighting Systemic Vascular Remodeling.

Acute Inflammatory Pseudoaneurysm of the Gastroepiploic Artery in a Patient with Multiple Aneurysms: A Case Highlighting Systemic Vascular Remodeling.

Acute Inflammatory Pseudoaneurysm of the Gastroepiploic Artery in a Patient with Multiple Aneurysms: A Case Highlighting Systemic Vascular Remodeling.

Acute Inflammatory Pseudoaneurysm of the Gastroepiploic Artery in a Patient with Multiple Aneurysms: A Case Highlighting Systemic Vascular Remodeling.

A 52-year-old man with scoliosis and psoriasis vulgaris, treated with infliximab, presented with a large right gastroepiploic artery aneurysm (GEAA). Following surgical resection, additional aneurysms of the anterior communicating artery and abdominal aorta were identified. Histopathological examination revealed a pseudoaneurysm with organizing thrombus and marked acute inflammation, including neutrophilic infiltration of the medial wall. Despite negative cultures, an infection-related vascular insult could not be excluded. This case highlights a rare immune-mediated vascular pathology in the context of chronic inflammatory disease, emphasizing the potential role of acute inflammation and psoriasis-associated immune dysregulation in visceral artery aneurysm formation.

求助全文
通过发布文献求助,成功后即可免费获取论文全文。 去求助
来源期刊
Annals of vascular diseases
Annals of vascular diseases PERIPHERAL VASCULAR DISEASE-
自引率
0.00%
发文量
41
×
引用
GB/T 7714-2015
复制
MLA
复制
APA
复制
导出至
BibTeX EndNote RefMan NoteFirst NoteExpress
×
提示
您的信息不完整,为了账户安全,请先补充。
现在去补充
×
提示
您因"违规操作"
具体请查看互助需知
我知道了
×
提示
确定
请完成安全验证×
copy
已复制链接
快去分享给好友吧!
我知道了
右上角分享
点击右上角分享
0
联系我们:info@booksci.cn Book学术提供免费学术资源搜索服务,方便国内外学者检索中英文文献。致力于提供最便捷和优质的服务体验。 Copyright © 2023 布克学术 All rights reserved.
京ICP备2023020795号-1
ghs 京公网安备 11010802042870号
Book学术文献互助
Book学术文献互助群
群 号:604180095
Book学术官方微信