POT1基因检测在瑞典黑色素瘤易发家庭:种系变异患病率和肿瘤谱在确定的携带者。

IF 2.7 3区 医学 Q3 ONCOLOGY
Konstantinos Papadakis, Francesca Portelli, Karina Schultz, Hedvig Olsson Sterky, Ismini Vassilaki, Jan Lapins, Michael R Sargen, Sofia Obolenski, David J Adams, Muyi Yang, Veronica Höiom, Hildur Helgadottir
{"title":"POT1基因检测在瑞典黑色素瘤易发家庭:种系变异患病率和肿瘤谱在确定的携带者。","authors":"Konstantinos Papadakis, Francesca Portelli, Karina Schultz, Hedvig Olsson Sterky, Ismini Vassilaki, Jan Lapins, Michael R Sargen, Sofia Obolenski, David J Adams, Muyi Yang, Veronica Höiom, Hildur Helgadottir","doi":"10.2340/1651-226X.2025.44048","DOIUrl":null,"url":null,"abstract":"<p><strong>Background and purpose: </strong>Approximately 5-10% of cutaneous melanoma occurs in individuals with a family history of the disease. While known high-penetrance genes, such as CDKN2A, explain some cases, a substantial proportion of hereditary melanoma remains genetically undefined. Recently, germline variants in genes involved in telomere regulation, including POT1, TERT, ACD, and TERF2IP, have been identified in melanoma-prone families. This study investigated the prevalence and pathogenicity of POT1 variants in a Swedish familial melanoma cohort. Patient/material and methods: A total of 168 familial melanoma cases were screened for CDKN2A, CDK4, BAP1, and POT1. The population frequency of pathogenic variants (PVs) was assessed using the SweGen and the gnomAD databases. Functional evaluation was performed using a saturation genome editing (SGE) assay. Telomere length analysis was performed using quantitative polymerase chain reaction (qPCR) on blood-derived DNA from melanoma patients and healthy controls. The melanomas of the carriers were reviewed by expert dermatopathologists.</p><p><strong>Results: </strong>Among the 161 CDKN2A/CDK4/BAP1-negative melanoma families included in this cohort, only one likely PV in POT1 (c.676C > A, p.His226Asn) was identified (0.6%). Population data confirmed its rarity. The carrier family exhibited multiple early-onset melanomas, with two out of three invasive cases displaying spitzoid morphology, and several other tumors. No significant telomere length differences were observed between carriers and controls. Two additional POT1 variants of uncertain significance were detected; both were predicted to be benign.</p><p><strong>Interpretation: </strong>POT1 PVs were rare in the studied Swedish familial melanoma cases, implying limited contribution to hereditary melanoma in this population. Nonetheless, the identification of a previously unknown likely PV further supports the need for continued genetic screening in selected cases. POT1 testing should be considered in families with multiple melanomas, early onset and spitzoid histopathology, and co-occurring with other syndromic tumors.</p>","PeriodicalId":7110,"journal":{"name":"Acta Oncologica","volume":"64 ","pages":"1102-1108"},"PeriodicalIF":2.7000,"publicationDate":"2025-08-25","publicationTypes":"Journal Article","fieldsOfStudy":null,"isOpenAccess":false,"openAccessPdf":"https://www.ncbi.nlm.nih.gov/pmc/articles/PMC12398106/pdf/","citationCount":"0","resultStr":"{\"title\":\"POT1 genetic testing in melanoma-prone families in Sweden: germline variant prevalence and tumor spectrum in identified carriers.\",\"authors\":\"Konstantinos Papadakis, Francesca Portelli, Karina Schultz, Hedvig Olsson Sterky, Ismini Vassilaki, Jan Lapins, Michael R Sargen, Sofia Obolenski, David J Adams, Muyi Yang, Veronica Höiom, Hildur Helgadottir\",\"doi\":\"10.2340/1651-226X.2025.44048\",\"DOIUrl\":null,\"url\":null,\"abstract\":\"<p><strong>Background and purpose: </strong>Approximately 5-10% of cutaneous melanoma occurs in individuals with a family history of the disease. While known high-penetrance genes, such as CDKN2A, explain some cases, a substantial proportion of hereditary melanoma remains genetically undefined. Recently, germline variants in genes involved in telomere regulation, including POT1, TERT, ACD, and TERF2IP, have been identified in melanoma-prone families. This study investigated the prevalence and pathogenicity of POT1 variants in a Swedish familial melanoma cohort. Patient/material and methods: A total of 168 familial melanoma cases were screened for CDKN2A, CDK4, BAP1, and POT1. The population frequency of pathogenic variants (PVs) was assessed using the SweGen and the gnomAD databases. Functional evaluation was performed using a saturation genome editing (SGE) assay. Telomere length analysis was performed using quantitative polymerase chain reaction (qPCR) on blood-derived DNA from melanoma patients and healthy controls. The melanomas of the carriers were reviewed by expert dermatopathologists.</p><p><strong>Results: </strong>Among the 161 CDKN2A/CDK4/BAP1-negative melanoma families included in this cohort, only one likely PV in POT1 (c.676C > A, p.His226Asn) was identified (0.6%). Population data confirmed its rarity. The carrier family exhibited multiple early-onset melanomas, with two out of three invasive cases displaying spitzoid morphology, and several other tumors. No significant telomere length differences were observed between carriers and controls. Two additional POT1 variants of uncertain significance were detected; both were predicted to be benign.</p><p><strong>Interpretation: </strong>POT1 PVs were rare in the studied Swedish familial melanoma cases, implying limited contribution to hereditary melanoma in this population. Nonetheless, the identification of a previously unknown likely PV further supports the need for continued genetic screening in selected cases. POT1 testing should be considered in families with multiple melanomas, early onset and spitzoid histopathology, and co-occurring with other syndromic tumors.</p>\",\"PeriodicalId\":7110,\"journal\":{\"name\":\"Acta Oncologica\",\"volume\":\"64 \",\"pages\":\"1102-1108\"},\"PeriodicalIF\":2.7000,\"publicationDate\":\"2025-08-25\",\"publicationTypes\":\"Journal Article\",\"fieldsOfStudy\":null,\"isOpenAccess\":false,\"openAccessPdf\":\"https://www.ncbi.nlm.nih.gov/pmc/articles/PMC12398106/pdf/\",\"citationCount\":\"0\",\"resultStr\":null,\"platform\":\"Semanticscholar\",\"paperid\":null,\"PeriodicalName\":\"Acta Oncologica\",\"FirstCategoryId\":\"3\",\"ListUrlMain\":\"https://doi.org/10.2340/1651-226X.2025.44048\",\"RegionNum\":3,\"RegionCategory\":\"医学\",\"ArticlePicture\":[],\"TitleCN\":null,\"AbstractTextCN\":null,\"PMCID\":null,\"EPubDate\":\"\",\"PubModel\":\"\",\"JCR\":\"Q3\",\"JCRName\":\"ONCOLOGY\",\"Score\":null,\"Total\":0}","platform":"Semanticscholar","paperid":null,"PeriodicalName":"Acta Oncologica","FirstCategoryId":"3","ListUrlMain":"https://doi.org/10.2340/1651-226X.2025.44048","RegionNum":3,"RegionCategory":"医学","ArticlePicture":[],"TitleCN":null,"AbstractTextCN":null,"PMCID":null,"EPubDate":"","PubModel":"","JCR":"Q3","JCRName":"ONCOLOGY","Score":null,"Total":0}
引用次数: 0

摘要

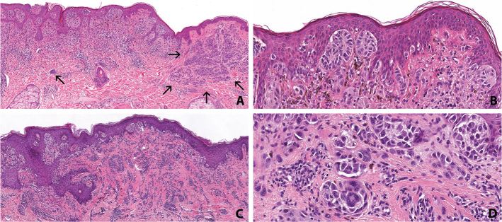
背景和目的:大约5-10%的皮肤黑色素瘤发生在有家族病史的个体中。虽然已知的高外显率基因,如CDKN2A,可以解释一些病例,但很大一部分遗传性黑色素瘤的基因仍未确定。最近,参与端粒调控的基因的种系变异,包括POT1、TERT、ACD和TERF2IP,已经在黑色素瘤易发家族中被发现。这项研究调查了瑞典家族性黑色素瘤队列中POT1变异的患病率和致病性。患者/材料和方法:共168例家族性黑色素瘤病例进行CDKN2A、CDK4、BAP1和POT1的筛查。使用SweGen和gnomAD数据库评估致病性变异(pv)的种群频率。使用饱和基因组编辑(SGE)检测进行功能评估。使用定量聚合酶链反应(qPCR)对黑色素瘤患者和健康对照的血液来源DNA进行端粒长度分析。由皮肤病理学专家对携带者的黑色素瘤进行了复查。结果:在纳入该队列的161个CDKN2A/CDK4/ bap1阴性黑色素瘤家族中,仅鉴定出1个可能的POT1 PV (c.676C > A, p.His226Asn)(0.6%)。人口数据证实了它的罕见性。携带者家族表现出多发性早发性黑色素瘤,三分之二的侵袭性病例表现为spitzoid形态,以及其他几种肿瘤。在携带者和对照组之间没有观察到明显的端粒长度差异。检测到另外两个不确定意义的POT1变异;据预测,这两种疾病都是良性的。解释:在研究的瑞典家族性黑色素瘤病例中,POT1 pv很少见,这意味着该人群对遗传性黑色素瘤的贡献有限。尽管如此,先前未知的可能PV的鉴定进一步支持了在选定病例中继续进行遗传筛查的必要性。对于多发性黑素瘤、早发和spitzo样组织病理学,以及与其他综合征性肿瘤共存的家庭,应考虑进行POT1检测。
本文章由计算机程序翻译,如有差异,请以英文原文为准。

POT1 genetic testing in melanoma-prone families in Sweden: germline variant prevalence and tumor spectrum in identified carriers.

POT1 genetic testing in melanoma-prone families in Sweden: germline variant prevalence and tumor spectrum in identified carriers.

POT1 genetic testing in melanoma-prone families in Sweden: germline variant prevalence and tumor spectrum in identified carriers.

Background and purpose: Approximately 5-10% of cutaneous melanoma occurs in individuals with a family history of the disease. While known high-penetrance genes, such as CDKN2A, explain some cases, a substantial proportion of hereditary melanoma remains genetically undefined. Recently, germline variants in genes involved in telomere regulation, including POT1, TERT, ACD, and TERF2IP, have been identified in melanoma-prone families. This study investigated the prevalence and pathogenicity of POT1 variants in a Swedish familial melanoma cohort. Patient/material and methods: A total of 168 familial melanoma cases were screened for CDKN2A, CDK4, BAP1, and POT1. The population frequency of pathogenic variants (PVs) was assessed using the SweGen and the gnomAD databases. Functional evaluation was performed using a saturation genome editing (SGE) assay. Telomere length analysis was performed using quantitative polymerase chain reaction (qPCR) on blood-derived DNA from melanoma patients and healthy controls. The melanomas of the carriers were reviewed by expert dermatopathologists.

Results: Among the 161 CDKN2A/CDK4/BAP1-negative melanoma families included in this cohort, only one likely PV in POT1 (c.676C > A, p.His226Asn) was identified (0.6%). Population data confirmed its rarity. The carrier family exhibited multiple early-onset melanomas, with two out of three invasive cases displaying spitzoid morphology, and several other tumors. No significant telomere length differences were observed between carriers and controls. Two additional POT1 variants of uncertain significance were detected; both were predicted to be benign.

Interpretation: POT1 PVs were rare in the studied Swedish familial melanoma cases, implying limited contribution to hereditary melanoma in this population. Nonetheless, the identification of a previously unknown likely PV further supports the need for continued genetic screening in selected cases. POT1 testing should be considered in families with multiple melanomas, early onset and spitzoid histopathology, and co-occurring with other syndromic tumors.

求助全文
通过发布文献求助,成功后即可免费获取论文全文。 去求助
来源期刊
Acta Oncologica
Acta Oncologica 医学-肿瘤学
CiteScore
4.30
自引率
3.20%
发文量
301
审稿时长
3 months
期刊介绍: Acta Oncologica is a journal for the clinical oncologist and accepts articles within all fields of clinical cancer research. Articles on tumour pathology, experimental oncology, radiobiology, cancer epidemiology and medical radio physics are also welcome, especially if they have a clinical aim or interest. Scientific articles on cancer nursing and psychological or social aspects of cancer are also welcomed. Extensive material may be published as Supplements, for which special conditions apply.
×
引用
GB/T 7714-2015
复制
MLA
复制
APA
复制
导出至
BibTeX EndNote RefMan NoteFirst NoteExpress
×
提示
您的信息不完整,为了账户安全,请先补充。
现在去补充
×
提示
您因"违规操作"
具体请查看互助需知
我知道了
×
提示
确定
请完成安全验证×
copy
已复制链接
快去分享给好友吧!
我知道了
右上角分享
点击右上角分享
0
联系我们:info@booksci.cn Book学术提供免费学术资源搜索服务,方便国内外学者检索中英文文献。致力于提供最便捷和优质的服务体验。 Copyright © 2023 布克学术 All rights reserved.
京ICP备2023020795号-1
ghs 京公网安备 11010802042870号
Book学术文献互助
Book学术文献互助群
群 号:604180095
Book学术官方微信