转化含酸性卷曲蛋白3介导的脂质代谢重编程损害肝细胞癌中CD8+ t细胞的细胞毒性

IF 52.7 1区 医学 Q1 BIOCHEMISTRY & MOLECULAR BIOLOGY
Ying Li, Zule Chen, Dongdong Wang, Wei Du, Ningqi Zhu, Xiaotian Shen, Xiang Mao, Yinghan Su, Lunxiu Qin, Diyu Chen, Huliang Jia
{"title":"转化含酸性卷曲蛋白3介导的脂质代谢重编程损害肝细胞癌中CD8+ t细胞的细胞毒性","authors":"Ying Li, Zule Chen, Dongdong Wang, Wei Du, Ningqi Zhu, Xiaotian Shen, Xiang Mao, Yinghan Su, Lunxiu Qin, Diyu Chen, Huliang Jia","doi":"10.1038/s41392-025-02367-9","DOIUrl":null,"url":null,"abstract":"<p>Recent evidence has highlighted immune checkpoint inhibitors as among the most promising immunotherapies for various malignancies. However, a significant proportion of HCC patients exhibit poor responses. Lipid metabolic heterogeneity is considered a key driver of cancer progression. However, the role of lipid metabolic reprogramming in HCC immunotherapy resistance remains poorly understood. Herein, we aimed to illuminate the potential relationship between lipid metabolic reprogramming and ICI resistance and provide novel strategies to increase the HCC immunotherapy response. Patients who received PD-1/PD-L1 inhibitors were enrolled. The effect of TACC3 on the tumor microenvironment was validated via single-cell RNA sequencing in HCC-bearing mouse models. Targeted metabolomics was performed to analyze the regulatory role of TACC3 in HCC metabolism. To address HCC immunotherapy resistance, we developed a targeted nucleic acid therapeutic utilizing N-acetylgalactosamine (GalNAc) to conjugate siTACC3. Through clinical cohort analysis, we found that TACC3 was overexpressed in HCC patients with poor response to immunotherapy. Furthermore, we demonstrated that silencing tumor-derived TACC3 optimizes the cytotoxicity of infiltrating CD8<sup>+</sup> T lymphocytes. Both in vitro and in vivo assays suggested that TACC3 maintains ACSL4-mediated polyunsaturated fatty acid (PUFA) metabolism in HCC cells. Additionally, TACC3 accelerates ACSL4 expression by interacting with LARP1 and PABPC1, which stabilize ACSL4 mRNA. The results of preclinical models demonstrated the satisfactory efficacy of GalNAc-conjugated siTACC3 combined with PD-1 inhibitor therapy for HCC. In summary, tumor-derived TACC3 impairs the tumor-killing activity of CD8<sup>+</sup> T lymphocytes through PUFA metabolism-associated crosstalk. Targeting TACC3 represents a novel and practicable strategy to augment ICI efficacy against HCC.</p>","PeriodicalId":21766,"journal":{"name":"Signal Transduction and Targeted Therapy","volume":"24 1","pages":""},"PeriodicalIF":52.7000,"publicationDate":"2025-08-28","publicationTypes":"Journal Article","fieldsOfStudy":null,"isOpenAccess":false,"openAccessPdf":"","citationCount":"0","resultStr":"{\"title\":\"Transforming acidic coiled-coil-containing protein 3-mediated lipid metabolism reprogramming impairs CD8+ T-cell cytotoxicity in hepatocellular carcinoma\",\"authors\":\"Ying Li, Zule Chen, Dongdong Wang, Wei Du, Ningqi Zhu, Xiaotian Shen, Xiang Mao, Yinghan Su, Lunxiu Qin, Diyu Chen, Huliang Jia\",\"doi\":\"10.1038/s41392-025-02367-9\",\"DOIUrl\":null,\"url\":null,\"abstract\":\"<p>Recent evidence has highlighted immune checkpoint inhibitors as among the most promising immunotherapies for various malignancies. However, a significant proportion of HCC patients exhibit poor responses. Lipid metabolic heterogeneity is considered a key driver of cancer progression. However, the role of lipid metabolic reprogramming in HCC immunotherapy resistance remains poorly understood. Herein, we aimed to illuminate the potential relationship between lipid metabolic reprogramming and ICI resistance and provide novel strategies to increase the HCC immunotherapy response. Patients who received PD-1/PD-L1 inhibitors were enrolled. The effect of TACC3 on the tumor microenvironment was validated via single-cell RNA sequencing in HCC-bearing mouse models. Targeted metabolomics was performed to analyze the regulatory role of TACC3 in HCC metabolism. To address HCC immunotherapy resistance, we developed a targeted nucleic acid therapeutic utilizing N-acetylgalactosamine (GalNAc) to conjugate siTACC3. Through clinical cohort analysis, we found that TACC3 was overexpressed in HCC patients with poor response to immunotherapy. Furthermore, we demonstrated that silencing tumor-derived TACC3 optimizes the cytotoxicity of infiltrating CD8<sup>+</sup> T lymphocytes. Both in vitro and in vivo assays suggested that TACC3 maintains ACSL4-mediated polyunsaturated fatty acid (PUFA) metabolism in HCC cells. Additionally, TACC3 accelerates ACSL4 expression by interacting with LARP1 and PABPC1, which stabilize ACSL4 mRNA. The results of preclinical models demonstrated the satisfactory efficacy of GalNAc-conjugated siTACC3 combined with PD-1 inhibitor therapy for HCC. In summary, tumor-derived TACC3 impairs the tumor-killing activity of CD8<sup>+</sup> T lymphocytes through PUFA metabolism-associated crosstalk. Targeting TACC3 represents a novel and practicable strategy to augment ICI efficacy against HCC.</p>\",\"PeriodicalId\":21766,\"journal\":{\"name\":\"Signal Transduction and Targeted Therapy\",\"volume\":\"24 1\",\"pages\":\"\"},\"PeriodicalIF\":52.7000,\"publicationDate\":\"2025-08-28\",\"publicationTypes\":\"Journal Article\",\"fieldsOfStudy\":null,\"isOpenAccess\":false,\"openAccessPdf\":\"\",\"citationCount\":\"0\",\"resultStr\":null,\"platform\":\"Semanticscholar\",\"paperid\":null,\"PeriodicalName\":\"Signal Transduction and Targeted Therapy\",\"FirstCategoryId\":\"3\",\"ListUrlMain\":\"https://doi.org/10.1038/s41392-025-02367-9\",\"RegionNum\":1,\"RegionCategory\":\"医学\",\"ArticlePicture\":[],\"TitleCN\":null,\"AbstractTextCN\":null,\"PMCID\":null,\"EPubDate\":\"\",\"PubModel\":\"\",\"JCR\":\"Q1\",\"JCRName\":\"BIOCHEMISTRY & MOLECULAR BIOLOGY\",\"Score\":null,\"Total\":0}","platform":"Semanticscholar","paperid":null,"PeriodicalName":"Signal Transduction and Targeted Therapy","FirstCategoryId":"3","ListUrlMain":"https://doi.org/10.1038/s41392-025-02367-9","RegionNum":1,"RegionCategory":"医学","ArticlePicture":[],"TitleCN":null,"AbstractTextCN":null,"PMCID":null,"EPubDate":"","PubModel":"","JCR":"Q1","JCRName":"BIOCHEMISTRY & MOLECULAR BIOLOGY","Score":null,"Total":0}
引用次数: 0

摘要

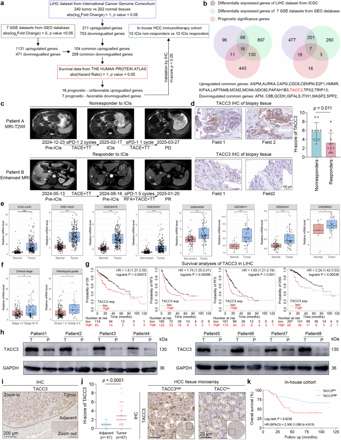
最近的证据强调免疫检查点抑制剂是各种恶性肿瘤最有前途的免疫疗法之一。然而,相当比例的HCC患者表现出不良反应。脂质代谢异质性被认为是癌症进展的关键驱动因素。然而,脂质代谢重编程在HCC免疫治疗耐药中的作用仍然知之甚少。在此,我们旨在阐明脂质代谢重编程与ICI耐药性之间的潜在关系,并提供提高HCC免疫治疗反应的新策略。接受PD-1/PD-L1抑制剂的患者被纳入研究。TACC3对肿瘤微环境的影响通过单细胞RNA测序在含hcc小鼠模型中得到验证。通过靶向代谢组学分析TACC3在HCC代谢中的调节作用。为了解决HCC免疫治疗耐药问题,我们开发了一种靶向核酸治疗方法,利用n -乙酰半乳糖胺(GalNAc)结合siTACC3。通过临床队列分析,我们发现TACC3在免疫治疗反应较差的HCC患者中过表达。此外,我们证明沉默肿瘤来源的TACC3可优化浸润性CD8+ T淋巴细胞的细胞毒性。体外和体内实验均表明,TACC3可维持HCC细胞中acsl4介导的多不饱和脂肪酸(PUFA)代谢。此外,TACC3通过与LARP1和PABPC1相互作用加速ACSL4的表达,从而稳定ACSL4 mRNA。临床前模型的结果显示galnac -偶联siTACC3联合PD-1抑制剂治疗HCC的疗效令人满意。总之,肿瘤来源的TACC3通过PUFA代谢相关的串扰损害CD8+ T淋巴细胞的肿瘤杀伤活性。靶向TACC3是一种新的、可行的策略,可以增强ICI对HCC的疗效。
本文章由计算机程序翻译,如有差异,请以英文原文为准。

Transforming acidic coiled-coil-containing protein 3-mediated lipid metabolism reprogramming impairs CD8+ T-cell cytotoxicity in hepatocellular carcinoma

Transforming acidic coiled-coil-containing protein 3-mediated lipid metabolism reprogramming impairs CD8+ T-cell cytotoxicity in hepatocellular carcinoma

Recent evidence has highlighted immune checkpoint inhibitors as among the most promising immunotherapies for various malignancies. However, a significant proportion of HCC patients exhibit poor responses. Lipid metabolic heterogeneity is considered a key driver of cancer progression. However, the role of lipid metabolic reprogramming in HCC immunotherapy resistance remains poorly understood. Herein, we aimed to illuminate the potential relationship between lipid metabolic reprogramming and ICI resistance and provide novel strategies to increase the HCC immunotherapy response. Patients who received PD-1/PD-L1 inhibitors were enrolled. The effect of TACC3 on the tumor microenvironment was validated via single-cell RNA sequencing in HCC-bearing mouse models. Targeted metabolomics was performed to analyze the regulatory role of TACC3 in HCC metabolism. To address HCC immunotherapy resistance, we developed a targeted nucleic acid therapeutic utilizing N-acetylgalactosamine (GalNAc) to conjugate siTACC3. Through clinical cohort analysis, we found that TACC3 was overexpressed in HCC patients with poor response to immunotherapy. Furthermore, we demonstrated that silencing tumor-derived TACC3 optimizes the cytotoxicity of infiltrating CD8+ T lymphocytes. Both in vitro and in vivo assays suggested that TACC3 maintains ACSL4-mediated polyunsaturated fatty acid (PUFA) metabolism in HCC cells. Additionally, TACC3 accelerates ACSL4 expression by interacting with LARP1 and PABPC1, which stabilize ACSL4 mRNA. The results of preclinical models demonstrated the satisfactory efficacy of GalNAc-conjugated siTACC3 combined with PD-1 inhibitor therapy for HCC. In summary, tumor-derived TACC3 impairs the tumor-killing activity of CD8+ T lymphocytes through PUFA metabolism-associated crosstalk. Targeting TACC3 represents a novel and practicable strategy to augment ICI efficacy against HCC.

求助全文
通过发布文献求助,成功后即可免费获取论文全文。 去求助
来源期刊
Signal Transduction and Targeted Therapy
Signal Transduction and Targeted Therapy Biochemistry, Genetics and Molecular Biology-Genetics
CiteScore
44.50
自引率
1.50%
发文量
384
审稿时长
5 weeks
期刊介绍: Signal Transduction and Targeted Therapy is an open access journal that focuses on timely publication of cutting-edge discoveries and advancements in basic science and clinical research related to signal transduction and targeted therapy. Scope: The journal covers research on major human diseases, including, but not limited to: Cancer,Cardiovascular diseases,Autoimmune diseases,Nervous system diseases.
×
引用
GB/T 7714-2015
复制
MLA
复制
APA
复制
导出至
BibTeX EndNote RefMan NoteFirst NoteExpress
×
提示
您的信息不完整,为了账户安全,请先补充。
现在去补充
×
提示
您因"违规操作"
具体请查看互助需知
我知道了
×
提示
确定
请完成安全验证×
copy
已复制链接
快去分享给好友吧!
我知道了
右上角分享
点击右上角分享
0
联系我们:info@booksci.cn Book学术提供免费学术资源搜索服务,方便国内外学者检索中英文文献。致力于提供最便捷和优质的服务体验。 Copyright © 2023 布克学术 All rights reserved.
京ICP备2023020795号-1
ghs 京公网安备 11010802042870号
Book学术文献互助
Book学术文献互助群
群 号:604180095
Book学术官方微信