piezo1介导的机械转导调节2组先天淋巴样细胞的翻译活性、功能和肺致病性

IF 52.7 1区 医学 Q1 BIOCHEMISTRY & MOLECULAR BIOLOGY
MinYeong Lim, Seonjun Park, Yoon Ha Joo, Sung Eun Kim, Min Hee Ham, TaeSoo Kim, Kihyuck Kwak, Sung Joon Kim, Jung Chan Lee, Sung Ho Park, Hye Young Kim
{"title":"piezo1介导的机械转导调节2组先天淋巴样细胞的翻译活性、功能和肺致病性","authors":"MinYeong Lim, Seonjun Park, Yoon Ha Joo, Sung Eun Kim, Min Hee Ham, TaeSoo Kim, Kihyuck Kwak, Sung Joon Kim, Jung Chan Lee, Sung Ho Park, Hye Young Kim","doi":"10.1038/s41392-025-02350-4","DOIUrl":null,"url":null,"abstract":"<p>Group 2 innate lymphoid cells (ILC2s) are central effectors of type 2 immune responses in the lung; however, how mechanical cues regulate their function remains unclear. Here, we identified the mechanosensitive ion channel Piezo1 as a key regulator of ILC2 effector function through translational control. Piezo1 is highly expressed in murine and human ILC2s, and its activation by mechanical stress or the Piezo1 agonist, Yoda1 induces calcium influx, triggering mTOR signaling and selectively enhancing IL-13 protein production. Conditional deletion of Piezo1 in ILC2s reduced mTOR activation and puromycin incorporation, leading to impaired protein synthesis and attenuated lung inflammation and fibrosis in the IL-33, <i>Alternaria alternata</i>, and bleomycin models. scRNA-seq and scATAC-seq confirmed that Piezo1-deficient ILC2s retained <i>Il13</i> transcription and chromatin accessibility but presented translational suppression, as evidenced by protein‒mRNA interactions. Pharmacologic mTOR inhibition phenocopied Piezo1 loss, supporting the functional relevance of the Piezo1–mTOR axis. These findings demonstrate that Piezo1 functions as a mechanosensor that integrates biomechanical cues to regulate cytokine output via mTOR-mediated translation. Targeting Piezo1 signaling or its downstream effectors may provide therapeutic benefits in type 2 inflammation–associated lung diseases.</p>","PeriodicalId":21766,"journal":{"name":"Signal Transduction and Targeted Therapy","volume":"49 1","pages":""},"PeriodicalIF":52.7000,"publicationDate":"2025-08-21","publicationTypes":"Journal Article","fieldsOfStudy":null,"isOpenAccess":false,"openAccessPdf":"","citationCount":"0","resultStr":"{\"title\":\"Piezo1-mediated mechanotransduction regulates the translational activity, function and lung pathogenicity of group 2 innate lymphoid cells\",\"authors\":\"MinYeong Lim, Seonjun Park, Yoon Ha Joo, Sung Eun Kim, Min Hee Ham, TaeSoo Kim, Kihyuck Kwak, Sung Joon Kim, Jung Chan Lee, Sung Ho Park, Hye Young Kim\",\"doi\":\"10.1038/s41392-025-02350-4\",\"DOIUrl\":null,\"url\":null,\"abstract\":\"<p>Group 2 innate lymphoid cells (ILC2s) are central effectors of type 2 immune responses in the lung; however, how mechanical cues regulate their function remains unclear. Here, we identified the mechanosensitive ion channel Piezo1 as a key regulator of ILC2 effector function through translational control. Piezo1 is highly expressed in murine and human ILC2s, and its activation by mechanical stress or the Piezo1 agonist, Yoda1 induces calcium influx, triggering mTOR signaling and selectively enhancing IL-13 protein production. Conditional deletion of Piezo1 in ILC2s reduced mTOR activation and puromycin incorporation, leading to impaired protein synthesis and attenuated lung inflammation and fibrosis in the IL-33, <i>Alternaria alternata</i>, and bleomycin models. scRNA-seq and scATAC-seq confirmed that Piezo1-deficient ILC2s retained <i>Il13</i> transcription and chromatin accessibility but presented translational suppression, as evidenced by protein‒mRNA interactions. Pharmacologic mTOR inhibition phenocopied Piezo1 loss, supporting the functional relevance of the Piezo1–mTOR axis. These findings demonstrate that Piezo1 functions as a mechanosensor that integrates biomechanical cues to regulate cytokine output via mTOR-mediated translation. Targeting Piezo1 signaling or its downstream effectors may provide therapeutic benefits in type 2 inflammation–associated lung diseases.</p>\",\"PeriodicalId\":21766,\"journal\":{\"name\":\"Signal Transduction and Targeted Therapy\",\"volume\":\"49 1\",\"pages\":\"\"},\"PeriodicalIF\":52.7000,\"publicationDate\":\"2025-08-21\",\"publicationTypes\":\"Journal Article\",\"fieldsOfStudy\":null,\"isOpenAccess\":false,\"openAccessPdf\":\"\",\"citationCount\":\"0\",\"resultStr\":null,\"platform\":\"Semanticscholar\",\"paperid\":null,\"PeriodicalName\":\"Signal Transduction and Targeted Therapy\",\"FirstCategoryId\":\"3\",\"ListUrlMain\":\"https://doi.org/10.1038/s41392-025-02350-4\",\"RegionNum\":1,\"RegionCategory\":\"医学\",\"ArticlePicture\":[],\"TitleCN\":null,\"AbstractTextCN\":null,\"PMCID\":null,\"EPubDate\":\"\",\"PubModel\":\"\",\"JCR\":\"Q1\",\"JCRName\":\"BIOCHEMISTRY & MOLECULAR BIOLOGY\",\"Score\":null,\"Total\":0}","platform":"Semanticscholar","paperid":null,"PeriodicalName":"Signal Transduction and Targeted Therapy","FirstCategoryId":"3","ListUrlMain":"https://doi.org/10.1038/s41392-025-02350-4","RegionNum":1,"RegionCategory":"医学","ArticlePicture":[],"TitleCN":null,"AbstractTextCN":null,"PMCID":null,"EPubDate":"","PubModel":"","JCR":"Q1","JCRName":"BIOCHEMISTRY & MOLECULAR BIOLOGY","Score":null,"Total":0}
引用次数: 0

摘要

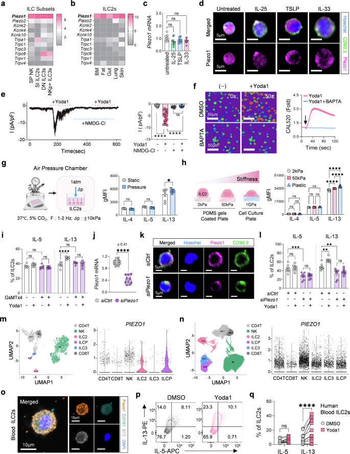
2组先天淋巴样细胞(ILC2s)是肺2型免疫反应的中心效应器;然而,机械线索如何调节它们的功能仍不清楚。在这里,我们确定了机械敏感离子通道Piezo1是通过平移控制ILC2效应功能的关键调节器。Piezo1在小鼠和人类ILC2s中高度表达,通过机械应力或Piezo1激动剂Yoda1激活其可诱导钙内流,触发mTOR信号传导并选择性地增强IL-13蛋白的产生。在IL-33、交替孢霉和博来霉素模型中,条件缺失ILC2s中的Piezo1降低了mTOR的激活和嘌呤霉素的掺入,导致蛋白质合成受损,肺部炎症和纤维化减轻。scRNA-seq和scATAC-seq证实,piezo1缺陷的ILC2s保留了Il13转录和染色质可及性,但出现了翻译抑制,这是蛋白质- mrna相互作用的证据。药理学上mTOR抑制导致了Piezo1的损失,支持了Piezo1 - mTOR轴的功能相关性。这些发现表明,Piezo1可以作为一种机械传感器,整合生物力学线索,通过mtor介导的翻译调节细胞因子的输出。靶向Piezo1信号或其下游效应物可能为2型炎症相关肺部疾病提供治疗益处。
本文章由计算机程序翻译,如有差异,请以英文原文为准。

Piezo1-mediated mechanotransduction regulates the translational activity, function and lung pathogenicity of group 2 innate lymphoid cells

Piezo1-mediated mechanotransduction regulates the translational activity, function and lung pathogenicity of group 2 innate lymphoid cells

Group 2 innate lymphoid cells (ILC2s) are central effectors of type 2 immune responses in the lung; however, how mechanical cues regulate their function remains unclear. Here, we identified the mechanosensitive ion channel Piezo1 as a key regulator of ILC2 effector function through translational control. Piezo1 is highly expressed in murine and human ILC2s, and its activation by mechanical stress or the Piezo1 agonist, Yoda1 induces calcium influx, triggering mTOR signaling and selectively enhancing IL-13 protein production. Conditional deletion of Piezo1 in ILC2s reduced mTOR activation and puromycin incorporation, leading to impaired protein synthesis and attenuated lung inflammation and fibrosis in the IL-33, Alternaria alternata, and bleomycin models. scRNA-seq and scATAC-seq confirmed that Piezo1-deficient ILC2s retained Il13 transcription and chromatin accessibility but presented translational suppression, as evidenced by protein‒mRNA interactions. Pharmacologic mTOR inhibition phenocopied Piezo1 loss, supporting the functional relevance of the Piezo1–mTOR axis. These findings demonstrate that Piezo1 functions as a mechanosensor that integrates biomechanical cues to regulate cytokine output via mTOR-mediated translation. Targeting Piezo1 signaling or its downstream effectors may provide therapeutic benefits in type 2 inflammation–associated lung diseases.

求助全文
通过发布文献求助,成功后即可免费获取论文全文。 去求助
来源期刊
Signal Transduction and Targeted Therapy
Signal Transduction and Targeted Therapy Biochemistry, Genetics and Molecular Biology-Genetics
CiteScore
44.50
自引率
1.50%
发文量
384
审稿时长
5 weeks
期刊介绍: Signal Transduction and Targeted Therapy is an open access journal that focuses on timely publication of cutting-edge discoveries and advancements in basic science and clinical research related to signal transduction and targeted therapy. Scope: The journal covers research on major human diseases, including, but not limited to: Cancer,Cardiovascular diseases,Autoimmune diseases,Nervous system diseases.
×
引用
GB/T 7714-2015
复制
MLA
复制
APA
复制
导出至
BibTeX EndNote RefMan NoteFirst NoteExpress
×
提示
您的信息不完整,为了账户安全,请先补充。
现在去补充
×
提示
您因"违规操作"
具体请查看互助需知
我知道了
×
提示
确定
请完成安全验证×
copy
已复制链接
快去分享给好友吧!
我知道了
右上角分享
点击右上角分享
0
联系我们:info@booksci.cn Book学术提供免费学术资源搜索服务,方便国内外学者检索中英文文献。致力于提供最便捷和优质的服务体验。 Copyright © 2023 布克学术 All rights reserved.
京ICP备2023020795号-1
ghs 京公网安备 11010802042870号
Book学术文献互助
Book学术文献互助群
群 号:604180095
Book学术官方微信