基于计算机层析成像的放射组学图诊断口咽鳞状细胞癌颈部淋巴结转移的发展和验证。

IF 2.7 Q3 ONCOLOGY
Advances in Radiation Oncology Pub Date : 2025-07-01 eCollection Date: 2025-09-01 DOI:10.1016/j.adro.2025.101844
Ran Zhao, Changdong Ma, Jingmin Zou, Xueli Fang, Qiang Wu, Chao Kong, Changsheng Ma, Kai Liu
{"title":"基于计算机层析成像的放射组学图诊断口咽鳞状细胞癌颈部淋巴结转移的发展和验证。","authors":"Ran Zhao, Changdong Ma, Jingmin Zou, Xueli Fang, Qiang Wu, Chao Kong, Changsheng Ma, Kai Liu","doi":"10.1016/j.adro.2025.101844","DOIUrl":null,"url":null,"abstract":"<p><strong>Purpose: </strong>To construct and validate a radiomic nomogram based on computed tomography (CT) scan data to diagnose lymph node (LN) metastasis (LNM) in patients with oropharyngeal squamous cell carcinoma (OPSCC) and compare it with a model based on CT scan signs recognized by the naked eye.</p><p><strong>Methods and materials: </strong>Data from patients who visited the authors' hospital between January 2018 and February 2023 were retrospectively reviewed. Eighty-six patients with OPSCC contributed 116 LNs, which were randomly divided into training and test sets. Radiologists derived CT signs characteristic of each LN by visually reviewing CT scan images. The radiomics features of LNs were extracted using \"3Dslicer\" (https://www.slicer.org), and the least absolute shrinkage and selection operator method was used to reduce the dimensions and establish radiomics tags. A CT scan-based radiomic nomogram was constructed and validated. The performance levels of the radiomics nomogram, radiomics signature, and CT-sign model were evaluated according to the area under the receiver operating characteristic curve (AUC) values.</p><p><strong>Results: </strong>CT signs (central necrosis, extensive necrosis, and LN accumulation) exhibited significant differences between the LN-negative and LN-positive groups. For each CT scan, 851 3-dimensional features were extracted from the cervical LN region. Eight of the most pertinent radiomic features were selected using dimensionality reduction to create radiomic tags. The radiomics nomogram incorporating the CT signs and radiomics signature demonstrated favorable predictive value for diagnosing LNM in patients with OPSCC, with the area under the receiver operating characteristic curve values of 0.983 and 0.919 for the training and test sets, respectively.</p><p><strong>Conclusion: </strong>The CT scan-based radiomics nomogram demonstrated good diagnostic utility for LNM in OPSCC and may optimize clinical decision-making. To validate our findings, future studies should consider conducting larger-scale experiments and include external validation sets to confirm the broader applicability of our results.</p>","PeriodicalId":7390,"journal":{"name":"Advances in Radiation Oncology","volume":"10 9","pages":"101844"},"PeriodicalIF":2.7000,"publicationDate":"2025-07-01","publicationTypes":"Journal Article","fieldsOfStudy":null,"isOpenAccess":false,"openAccessPdf":"https://www.ncbi.nlm.nih.gov/pmc/articles/PMC12351180/pdf/","citationCount":"0","resultStr":"{\"title\":\"Development and Validation of a Computed Tomography-based Radiomics Nomogram for Diagnosing Cervical Lymph Node Metastasis in Oropharyngeal Squamous Cell Carcinomas.\",\"authors\":\"Ran Zhao, Changdong Ma, Jingmin Zou, Xueli Fang, Qiang Wu, Chao Kong, Changsheng Ma, Kai Liu\",\"doi\":\"10.1016/j.adro.2025.101844\",\"DOIUrl\":null,\"url\":null,\"abstract\":\"<p><strong>Purpose: </strong>To construct and validate a radiomic nomogram based on computed tomography (CT) scan data to diagnose lymph node (LN) metastasis (LNM) in patients with oropharyngeal squamous cell carcinoma (OPSCC) and compare it with a model based on CT scan signs recognized by the naked eye.</p><p><strong>Methods and materials: </strong>Data from patients who visited the authors' hospital between January 2018 and February 2023 were retrospectively reviewed. Eighty-six patients with OPSCC contributed 116 LNs, which were randomly divided into training and test sets. Radiologists derived CT signs characteristic of each LN by visually reviewing CT scan images. The radiomics features of LNs were extracted using \\\"3Dslicer\\\" (https://www.slicer.org), and the least absolute shrinkage and selection operator method was used to reduce the dimensions and establish radiomics tags. A CT scan-based radiomic nomogram was constructed and validated. The performance levels of the radiomics nomogram, radiomics signature, and CT-sign model were evaluated according to the area under the receiver operating characteristic curve (AUC) values.</p><p><strong>Results: </strong>CT signs (central necrosis, extensive necrosis, and LN accumulation) exhibited significant differences between the LN-negative and LN-positive groups. For each CT scan, 851 3-dimensional features were extracted from the cervical LN region. Eight of the most pertinent radiomic features were selected using dimensionality reduction to create radiomic tags. The radiomics nomogram incorporating the CT signs and radiomics signature demonstrated favorable predictive value for diagnosing LNM in patients with OPSCC, with the area under the receiver operating characteristic curve values of 0.983 and 0.919 for the training and test sets, respectively.</p><p><strong>Conclusion: </strong>The CT scan-based radiomics nomogram demonstrated good diagnostic utility for LNM in OPSCC and may optimize clinical decision-making. To validate our findings, future studies should consider conducting larger-scale experiments and include external validation sets to confirm the broader applicability of our results.</p>\",\"PeriodicalId\":7390,\"journal\":{\"name\":\"Advances in Radiation Oncology\",\"volume\":\"10 9\",\"pages\":\"101844\"},\"PeriodicalIF\":2.7000,\"publicationDate\":\"2025-07-01\",\"publicationTypes\":\"Journal Article\",\"fieldsOfStudy\":null,\"isOpenAccess\":false,\"openAccessPdf\":\"https://www.ncbi.nlm.nih.gov/pmc/articles/PMC12351180/pdf/\",\"citationCount\":\"0\",\"resultStr\":null,\"platform\":\"Semanticscholar\",\"paperid\":null,\"PeriodicalName\":\"Advances in Radiation Oncology\",\"FirstCategoryId\":\"1085\",\"ListUrlMain\":\"https://doi.org/10.1016/j.adro.2025.101844\",\"RegionNum\":0,\"RegionCategory\":null,\"ArticlePicture\":[],\"TitleCN\":null,\"AbstractTextCN\":null,\"PMCID\":null,\"EPubDate\":\"2025/9/1 0:00:00\",\"PubModel\":\"eCollection\",\"JCR\":\"Q3\",\"JCRName\":\"ONCOLOGY\",\"Score\":null,\"Total\":0}","platform":"Semanticscholar","paperid":null,"PeriodicalName":"Advances in Radiation Oncology","FirstCategoryId":"1085","ListUrlMain":"https://doi.org/10.1016/j.adro.2025.101844","RegionNum":0,"RegionCategory":null,"ArticlePicture":[],"TitleCN":null,"AbstractTextCN":null,"PMCID":null,"EPubDate":"2025/9/1 0:00:00","PubModel":"eCollection","JCR":"Q3","JCRName":"ONCOLOGY","Score":null,"Total":0}
引用次数: 0

摘要

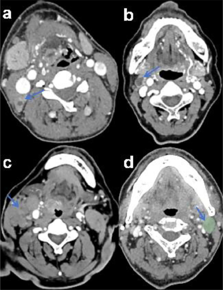
目的:构建并验证基于CT扫描数据的口咽鳞状细胞癌(OPSCC)患者淋巴结转移(LNM)诊断的放射学形态图,并与基于肉眼识别的CT扫描征象的模型进行比较。方法和材料:回顾性分析2018年1月至2023年2月在笔者所在医院就诊的患者资料。86例OPSCC患者贡献116个LNs,随机分为训练组和测试组。放射科医生通过视觉检查CT扫描图像得出每个LN的CT征象特征。使用“3Dslicer”(https://www.slicer.org)提取LNs的放射组学特征,并使用最小绝对收缩和选择算子方法降维并建立放射组学标签。构建并验证了基于CT扫描的放射谱图。根据接收者工作特征曲线(AUC)值下的面积评估放射组学图、放射组学特征和ct标志模型的性能水平。结果:LN阴性组与LN阳性组CT征象(中央坏死、广泛坏死、LN积聚)差异有统计学意义。每次CT扫描,从颈部LN区域提取851个三维特征。八个最相关的放射性特征被选择使用降维创建放射性标记。结合CT征象和放射组学特征的放射组学图对OPSCC患者的LNM诊断具有较好的预测价值,训练集和测试集的受试者工作特征曲线下面积分别为0.983和0.919。结论:基于CT扫描的放射组学方位图对OPSCC的LNM具有良好的诊断价值,可优化临床决策。为了验证我们的发现,未来的研究应考虑进行更大规模的实验,并包括外部验证集,以确认我们的结果更广泛的适用性。
本文章由计算机程序翻译,如有差异,请以英文原文为准。

Development and Validation of a Computed Tomography-based Radiomics Nomogram for Diagnosing Cervical Lymph Node Metastasis in Oropharyngeal Squamous Cell Carcinomas.

Development and Validation of a Computed Tomography-based Radiomics Nomogram for Diagnosing Cervical Lymph Node Metastasis in Oropharyngeal Squamous Cell Carcinomas.

Development and Validation of a Computed Tomography-based Radiomics Nomogram for Diagnosing Cervical Lymph Node Metastasis in Oropharyngeal Squamous Cell Carcinomas.

Development and Validation of a Computed Tomography-based Radiomics Nomogram for Diagnosing Cervical Lymph Node Metastasis in Oropharyngeal Squamous Cell Carcinomas.

Purpose: To construct and validate a radiomic nomogram based on computed tomography (CT) scan data to diagnose lymph node (LN) metastasis (LNM) in patients with oropharyngeal squamous cell carcinoma (OPSCC) and compare it with a model based on CT scan signs recognized by the naked eye.

Methods and materials: Data from patients who visited the authors' hospital between January 2018 and February 2023 were retrospectively reviewed. Eighty-six patients with OPSCC contributed 116 LNs, which were randomly divided into training and test sets. Radiologists derived CT signs characteristic of each LN by visually reviewing CT scan images. The radiomics features of LNs were extracted using "3Dslicer" (https://www.slicer.org), and the least absolute shrinkage and selection operator method was used to reduce the dimensions and establish radiomics tags. A CT scan-based radiomic nomogram was constructed and validated. The performance levels of the radiomics nomogram, radiomics signature, and CT-sign model were evaluated according to the area under the receiver operating characteristic curve (AUC) values.

Results: CT signs (central necrosis, extensive necrosis, and LN accumulation) exhibited significant differences between the LN-negative and LN-positive groups. For each CT scan, 851 3-dimensional features were extracted from the cervical LN region. Eight of the most pertinent radiomic features were selected using dimensionality reduction to create radiomic tags. The radiomics nomogram incorporating the CT signs and radiomics signature demonstrated favorable predictive value for diagnosing LNM in patients with OPSCC, with the area under the receiver operating characteristic curve values of 0.983 and 0.919 for the training and test sets, respectively.

Conclusion: The CT scan-based radiomics nomogram demonstrated good diagnostic utility for LNM in OPSCC and may optimize clinical decision-making. To validate our findings, future studies should consider conducting larger-scale experiments and include external validation sets to confirm the broader applicability of our results.

求助全文
通过发布文献求助,成功后即可免费获取论文全文。 去求助
来源期刊
Advances in Radiation Oncology
Advances in Radiation Oncology Medicine-Radiology, Nuclear Medicine and Imaging
CiteScore
4.60
自引率
4.30%
发文量
208
审稿时长
98 days
期刊介绍: The purpose of Advances is to provide information for clinicians who use radiation therapy by publishing: Clinical trial reports and reanalyses. Basic science original reports. Manuscripts examining health services research, comparative and cost effectiveness research, and systematic reviews. Case reports documenting unusual problems and solutions. High quality multi and single institutional series, as well as other novel retrospective hypothesis generating series. Timely critical reviews on important topics in radiation oncology, such as side effects. Articles reporting the natural history of disease and patterns of failure, particularly as they relate to treatment volume delineation. Articles on safety and quality in radiation therapy. Essays on clinical experience. Articles on practice transformation in radiation oncology, in particular: Aspects of health policy that may impact the future practice of radiation oncology. How information technology, such as data analytics and systems innovations, will change radiation oncology practice. Articles on imaging as they relate to radiation therapy treatment.
×
引用
GB/T 7714-2015
复制
MLA
复制
APA
复制
导出至
BibTeX EndNote RefMan NoteFirst NoteExpress
×
提示
您的信息不完整,为了账户安全,请先补充。
现在去补充
×
提示
您因"违规操作"
具体请查看互助需知
我知道了
×
提示
确定
请完成安全验证×
copy
已复制链接
快去分享给好友吧!
我知道了
右上角分享
点击右上角分享
0
联系我们:info@booksci.cn Book学术提供免费学术资源搜索服务,方便国内外学者检索中英文文献。致力于提供最便捷和优质的服务体验。 Copyright © 2023 布克学术 All rights reserved.
京ICP备2023020795号-1
ghs 京公网安备 11010802042870号
Book学术文献互助
Book学术文献互助群
群 号:604180095
Book学术官方微信