具有多形性和假乳头状特征的高级别胶质瘤:单一机构系列的3例。

IF 5.7 2区 医学 Q1 NEUROSCIENCES
Eric A Goethe, Rasha Alfattal, Subhiksha Srinivasan, Pushan Dasgupta, Vinay Puduvalli, Shiao-Pei Weathers, Leomar Y Ballester, Jeffrey S Weinberg, Sujit Prabhu, Sherise D Ferguson, Maria A Gubbiotti
{"title":"具有多形性和假乳头状特征的高级别胶质瘤:单一机构系列的3例。","authors":"Eric A Goethe, Rasha Alfattal, Subhiksha Srinivasan, Pushan Dasgupta, Vinay Puduvalli, Shiao-Pei Weathers, Leomar Y Ballester, Jeffrey S Weinberg, Sujit Prabhu, Sherise D Ferguson, Maria A Gubbiotti","doi":"10.1186/s40478-025-02097-7","DOIUrl":null,"url":null,"abstract":"<p><strong>Introduction: </strong>Modern molecular diagnostic techniques such as DNA methylation profiling are leading to the reclassification of several central nervous system malignancies and discovery of novel diagnostic entities, such as high-grade glioma with pleomorphic and pseudopapillary features (HPAP).</p><p><strong>Methods: </strong>We performed a retrospective chart review of all patients with HPAP confirmed with methylation profiling at a single institution between 2023 and 2025. Demographic, radiographic, surgical, and outcome data were collected.</p><p><strong>Results: </strong>Three patients were identified: two females and one male with a mean age of 49.7 years (range 25-62). No patients had a prior cancer history. One patient had an incidentally discovered tumor, while the other two patients underwent imaging for symptoms of headache, vision changes and extremity weakness. Mean tumor size was 4.0 cm (range 2.8-6) with a wide variation in imaging characteristics. All patients underwent surgical resection and radiographic gross total resection was achieved in all cases. All patients underwent radiation therapy without concurrent chemotherapy. After a median 20 months follow up (range 4.5 to 108.9), two patients experienced tumor progression at 2.7 months and 86.5 months respectively. All patients were alive at last follow up.</p><p><strong>Conclusion: </strong>HPAP is a novel clinical entity demonstrating variable molecular signatures sharing a common DNA methylation profile which demonstrates a relatively favorable clinical course when compared with other high grade gliomas. Further study is needed to determine the optimal treatment and factors that influence survival.</p>","PeriodicalId":6914,"journal":{"name":"Acta Neuropathologica Communications","volume":"13 1","pages":"176"},"PeriodicalIF":5.7000,"publicationDate":"2025-08-18","publicationTypes":"Journal Article","fieldsOfStudy":null,"isOpenAccess":false,"openAccessPdf":"https://www.ncbi.nlm.nih.gov/pmc/articles/PMC12363008/pdf/","citationCount":"0","resultStr":"{\"title\":\"High-grade glioma with pleomorphic and pseudopapillary features: a single-institution series of three cases.\",\"authors\":\"Eric A Goethe, Rasha Alfattal, Subhiksha Srinivasan, Pushan Dasgupta, Vinay Puduvalli, Shiao-Pei Weathers, Leomar Y Ballester, Jeffrey S Weinberg, Sujit Prabhu, Sherise D Ferguson, Maria A Gubbiotti\",\"doi\":\"10.1186/s40478-025-02097-7\",\"DOIUrl\":null,\"url\":null,\"abstract\":\"<p><strong>Introduction: </strong>Modern molecular diagnostic techniques such as DNA methylation profiling are leading to the reclassification of several central nervous system malignancies and discovery of novel diagnostic entities, such as high-grade glioma with pleomorphic and pseudopapillary features (HPAP).</p><p><strong>Methods: </strong>We performed a retrospective chart review of all patients with HPAP confirmed with methylation profiling at a single institution between 2023 and 2025. Demographic, radiographic, surgical, and outcome data were collected.</p><p><strong>Results: </strong>Three patients were identified: two females and one male with a mean age of 49.7 years (range 25-62). No patients had a prior cancer history. One patient had an incidentally discovered tumor, while the other two patients underwent imaging for symptoms of headache, vision changes and extremity weakness. Mean tumor size was 4.0 cm (range 2.8-6) with a wide variation in imaging characteristics. All patients underwent surgical resection and radiographic gross total resection was achieved in all cases. All patients underwent radiation therapy without concurrent chemotherapy. After a median 20 months follow up (range 4.5 to 108.9), two patients experienced tumor progression at 2.7 months and 86.5 months respectively. All patients were alive at last follow up.</p><p><strong>Conclusion: </strong>HPAP is a novel clinical entity demonstrating variable molecular signatures sharing a common DNA methylation profile which demonstrates a relatively favorable clinical course when compared with other high grade gliomas. Further study is needed to determine the optimal treatment and factors that influence survival.</p>\",\"PeriodicalId\":6914,\"journal\":{\"name\":\"Acta Neuropathologica Communications\",\"volume\":\"13 1\",\"pages\":\"176\"},\"PeriodicalIF\":5.7000,\"publicationDate\":\"2025-08-18\",\"publicationTypes\":\"Journal Article\",\"fieldsOfStudy\":null,\"isOpenAccess\":false,\"openAccessPdf\":\"https://www.ncbi.nlm.nih.gov/pmc/articles/PMC12363008/pdf/\",\"citationCount\":\"0\",\"resultStr\":null,\"platform\":\"Semanticscholar\",\"paperid\":null,\"PeriodicalName\":\"Acta Neuropathologica Communications\",\"FirstCategoryId\":\"3\",\"ListUrlMain\":\"https://doi.org/10.1186/s40478-025-02097-7\",\"RegionNum\":2,\"RegionCategory\":\"医学\",\"ArticlePicture\":[],\"TitleCN\":null,\"AbstractTextCN\":null,\"PMCID\":null,\"EPubDate\":\"\",\"PubModel\":\"\",\"JCR\":\"Q1\",\"JCRName\":\"NEUROSCIENCES\",\"Score\":null,\"Total\":0}","platform":"Semanticscholar","paperid":null,"PeriodicalName":"Acta Neuropathologica Communications","FirstCategoryId":"3","ListUrlMain":"https://doi.org/10.1186/s40478-025-02097-7","RegionNum":2,"RegionCategory":"医学","ArticlePicture":[],"TitleCN":null,"AbstractTextCN":null,"PMCID":null,"EPubDate":"","PubModel":"","JCR":"Q1","JCRName":"NEUROSCIENCES","Score":null,"Total":0}
引用次数: 0

摘要

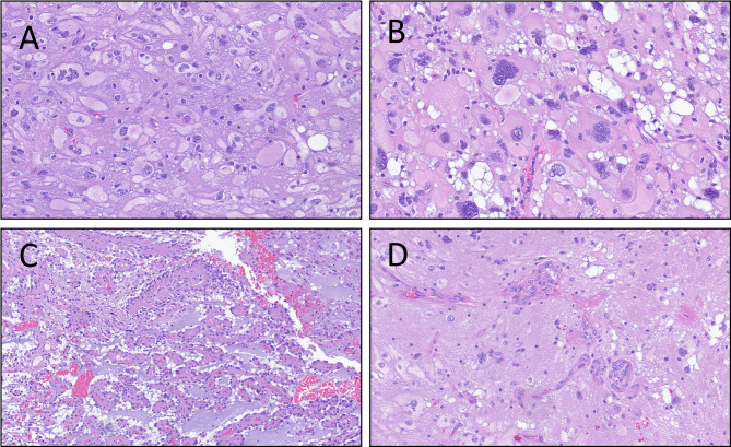
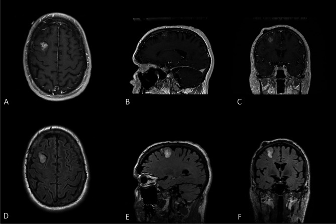
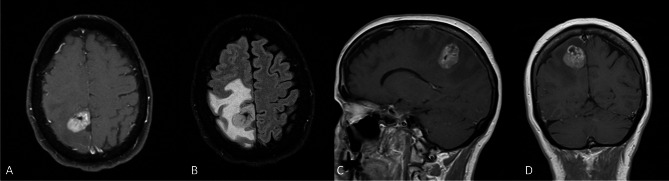
现代分子诊断技术,如DNA甲基化谱,正在导致几种中枢神经系统恶性肿瘤的重新分类,并发现新的诊断实体,如具有多形性和假乳头状特征的高级胶质瘤(HPAP)。方法:我们对2023年至2025年间在一家机构接受甲基化分析证实的所有HPAP患者进行了回顾性图表回顾。收集了人口统计学、放射学、外科和结局数据。结果:3例患者:2女1男,平均年龄49.7岁(25-62岁)。所有患者均无癌症病史。一名患者偶然发现了肿瘤,另外两名患者因头痛、视力变化和四肢无力等症状接受了影像学检查。肿瘤平均大小为4.0 cm(范围2.8-6),影像学特征差异很大。所有患者均行手术切除,所有病例均行放射学大体全切除。所有患者均行放射治疗,无同期化疗。中位随访20个月(范围4.5 - 108.9)后,两名患者分别在2.7个月和86.5个月出现肿瘤进展。最后随访时,所有患者均存活。结论:HPAP是一种新型的临床实体,具有可变的分子特征,具有共同的DNA甲基化谱,与其他高级别胶质瘤相比,表现出相对有利的临床病程。需要进一步的研究来确定最佳的治疗方法和影响生存的因素。
本文章由计算机程序翻译,如有差异,请以英文原文为准。

High-grade glioma with pleomorphic and pseudopapillary features: a single-institution series of three cases.

High-grade glioma with pleomorphic and pseudopapillary features: a single-institution series of three cases.

High-grade glioma with pleomorphic and pseudopapillary features: a single-institution series of three cases.

High-grade glioma with pleomorphic and pseudopapillary features: a single-institution series of three cases.

Introduction: Modern molecular diagnostic techniques such as DNA methylation profiling are leading to the reclassification of several central nervous system malignancies and discovery of novel diagnostic entities, such as high-grade glioma with pleomorphic and pseudopapillary features (HPAP).

Methods: We performed a retrospective chart review of all patients with HPAP confirmed with methylation profiling at a single institution between 2023 and 2025. Demographic, radiographic, surgical, and outcome data were collected.

Results: Three patients were identified: two females and one male with a mean age of 49.7 years (range 25-62). No patients had a prior cancer history. One patient had an incidentally discovered tumor, while the other two patients underwent imaging for symptoms of headache, vision changes and extremity weakness. Mean tumor size was 4.0 cm (range 2.8-6) with a wide variation in imaging characteristics. All patients underwent surgical resection and radiographic gross total resection was achieved in all cases. All patients underwent radiation therapy without concurrent chemotherapy. After a median 20 months follow up (range 4.5 to 108.9), two patients experienced tumor progression at 2.7 months and 86.5 months respectively. All patients were alive at last follow up.

Conclusion: HPAP is a novel clinical entity demonstrating variable molecular signatures sharing a common DNA methylation profile which demonstrates a relatively favorable clinical course when compared with other high grade gliomas. Further study is needed to determine the optimal treatment and factors that influence survival.

求助全文
通过发布文献求助,成功后即可免费获取论文全文。 去求助
来源期刊
Acta Neuropathologica Communications
Acta Neuropathologica Communications Medicine-Pathology and Forensic Medicine
CiteScore
11.20
自引率
2.80%
发文量
162
审稿时长
8 weeks
期刊介绍: "Acta Neuropathologica Communications (ANC)" is a peer-reviewed journal that specializes in the rapid publication of research articles focused on the mechanisms underlying neurological diseases. The journal emphasizes the use of molecular, cellular, and morphological techniques applied to experimental or human tissues to investigate the pathogenesis of neurological disorders. ANC is committed to a fast-track publication process, aiming to publish accepted manuscripts within two months of submission. This expedited timeline is designed to ensure that the latest findings in neuroscience and pathology are disseminated quickly to the scientific community, fostering rapid advancements in the field of neurology and neuroscience. The journal's focus on cutting-edge research and its swift publication schedule make it a valuable resource for researchers, clinicians, and other professionals interested in the study and treatment of neurological conditions.
×
引用
GB/T 7714-2015
复制
MLA
复制
APA
复制
导出至
BibTeX EndNote RefMan NoteFirst NoteExpress
×
提示
您的信息不完整,为了账户安全,请先补充。
现在去补充
×
提示
您因"违规操作"
具体请查看互助需知
我知道了
×
提示
确定
请完成安全验证×
copy
已复制链接
快去分享给好友吧!
我知道了
右上角分享
点击右上角分享
0
联系我们:info@booksci.cn Book学术提供免费学术资源搜索服务,方便国内外学者检索中英文文献。致力于提供最便捷和优质的服务体验。 Copyright © 2023 布克学术 All rights reserved.
京ICP备2023020795号-1
ghs 京公网安备 11010802042870号
Book学术文献互助
Book学术文献互助群
群 号:604180095
Book学术官方微信