用于全髋无菌翻修的高多孔3d打印三钛髋臼壳

IF 2.1 3区 医学 Q2 ORTHOPEDICS
Nick David Clement, Peter Richard Almeida, James T. Patton, Frazer Wade, Ewan Goudie, Philip M. S. Simpson, Gavin J. Macpherson, Paul Gaston
{"title":"用于全髋无菌翻修的高多孔3d打印三钛髋臼壳","authors":"Nick David Clement,&nbsp;Peter Richard Almeida,&nbsp;James T. Patton,&nbsp;Frazer Wade,&nbsp;Ewan Goudie,&nbsp;Philip M. S. Simpson,&nbsp;Gavin J. Macpherson,&nbsp;Paul Gaston","doi":"10.1007/s00402-025-06034-0","DOIUrl":null,"url":null,"abstract":"<div><h3>Aims</h3><p>To assess the survival, complications, patient-reported outcomes and radiographic integration of the uncemented Trident<sup>®</sup> II tritanium acetabular component when used for aseptic revision total hip arthroplasty (rTHA).</p><h3>Methods</h3><p>A single-centre prospective cohort study of 101 aseptic rTHA in 100 patients was undertaken. Inclusion criteria were patients suitable for the use of the uncemented acetabular component, aged 18–95 years, willing and able to comply with the study protocol, and provide informed consent. Those with inadequate bone stock to support fixation of the prosthesis were excluded. Functional assessments included the Oxford hip score, Forgotten joint score, EQ-5D, EQ-VAS, pain VAS and satisfaction. Radiographic assessment included acetabular lucent lines and lysis according to Delee and Charnley zones and loosening.</p><h3>Results</h3><p>The mean age was 72.5 (standard deviation 11.6) and consisted of 54 females and 46 males. Mean follow-up was 3.1 (range 2 to 4.9) years during which 10 patients died. Indication for rTHA included: loosening of the acetabulum (<i>n</i> = 82), instability (<i>n</i> = 11), broken femoral stem (<i>n</i> = 3), metal on metal with pain and pseudotumour (<i>n</i> = 2), pain (<i>n</i> = 2) and loosening of femoral component (<i>n</i> = 1). There were two re-revisions for deep infection. This resulted in a 1-year all-cause survival of 99.0% (95% CI 97.1 to 100) and 4-year survival of 96.2% (95% CI 90.5 to 100). There was only one case with lucent lines in all three zones and had not osseointegrated, but the component remained stable at 3-years follow-up. All PROMs demonstrated a clinically meaningful improvement, which was significant (<i>p</i> &lt; 0.001) at both 1- and 2-years. Patient satisfaction with their revision THA was 85.6% and 85.3% at 1- and 2-years.</p><h3>Conclusion</h3><p>The uncemented highly porous 3-dimensional printed Trident<sup>®</sup> II tritanium acetabular component was associated with excellent survivorship, clinically meaningful improvements in PROMs, and high patient satisfaction in the short term when used for aseptic rTHA.</p></div>","PeriodicalId":8326,"journal":{"name":"Archives of Orthopaedic and Trauma Surgery","volume":"145 1","pages":""},"PeriodicalIF":2.1000,"publicationDate":"2025-08-19","publicationTypes":"Journal Article","fieldsOfStudy":null,"isOpenAccess":false,"openAccessPdf":"","citationCount":"0","resultStr":"{\"title\":\"Highly porous 3-D printed tritanium acetabular shell for aseptic revision total hip\",\"authors\":\"Nick David Clement,&nbsp;Peter Richard Almeida,&nbsp;James T. Patton,&nbsp;Frazer Wade,&nbsp;Ewan Goudie,&nbsp;Philip M. S. Simpson,&nbsp;Gavin J. Macpherson,&nbsp;Paul Gaston\",\"doi\":\"10.1007/s00402-025-06034-0\",\"DOIUrl\":null,\"url\":null,\"abstract\":\"<div><h3>Aims</h3><p>To assess the survival, complications, patient-reported outcomes and radiographic integration of the uncemented Trident<sup>®</sup> II tritanium acetabular component when used for aseptic revision total hip arthroplasty (rTHA).</p><h3>Methods</h3><p>A single-centre prospective cohort study of 101 aseptic rTHA in 100 patients was undertaken. Inclusion criteria were patients suitable for the use of the uncemented acetabular component, aged 18–95 years, willing and able to comply with the study protocol, and provide informed consent. Those with inadequate bone stock to support fixation of the prosthesis were excluded. Functional assessments included the Oxford hip score, Forgotten joint score, EQ-5D, EQ-VAS, pain VAS and satisfaction. Radiographic assessment included acetabular lucent lines and lysis according to Delee and Charnley zones and loosening.</p><h3>Results</h3><p>The mean age was 72.5 (standard deviation 11.6) and consisted of 54 females and 46 males. Mean follow-up was 3.1 (range 2 to 4.9) years during which 10 patients died. Indication for rTHA included: loosening of the acetabulum (<i>n</i> = 82), instability (<i>n</i> = 11), broken femoral stem (<i>n</i> = 3), metal on metal with pain and pseudotumour (<i>n</i> = 2), pain (<i>n</i> = 2) and loosening of femoral component (<i>n</i> = 1). There were two re-revisions for deep infection. This resulted in a 1-year all-cause survival of 99.0% (95% CI 97.1 to 100) and 4-year survival of 96.2% (95% CI 90.5 to 100). There was only one case with lucent lines in all three zones and had not osseointegrated, but the component remained stable at 3-years follow-up. All PROMs demonstrated a clinically meaningful improvement, which was significant (<i>p</i> &lt; 0.001) at both 1- and 2-years. Patient satisfaction with their revision THA was 85.6% and 85.3% at 1- and 2-years.</p><h3>Conclusion</h3><p>The uncemented highly porous 3-dimensional printed Trident<sup>®</sup> II tritanium acetabular component was associated with excellent survivorship, clinically meaningful improvements in PROMs, and high patient satisfaction in the short term when used for aseptic rTHA.</p></div>\",\"PeriodicalId\":8326,\"journal\":{\"name\":\"Archives of Orthopaedic and Trauma Surgery\",\"volume\":\"145 1\",\"pages\":\"\"},\"PeriodicalIF\":2.1000,\"publicationDate\":\"2025-08-19\",\"publicationTypes\":\"Journal Article\",\"fieldsOfStudy\":null,\"isOpenAccess\":false,\"openAccessPdf\":\"\",\"citationCount\":\"0\",\"resultStr\":null,\"platform\":\"Semanticscholar\",\"paperid\":null,\"PeriodicalName\":\"Archives of Orthopaedic and Trauma Surgery\",\"FirstCategoryId\":\"3\",\"ListUrlMain\":\"https://link.springer.com/article/10.1007/s00402-025-06034-0\",\"RegionNum\":3,\"RegionCategory\":\"医学\",\"ArticlePicture\":[],\"TitleCN\":null,\"AbstractTextCN\":null,\"PMCID\":null,\"EPubDate\":\"\",\"PubModel\":\"\",\"JCR\":\"Q2\",\"JCRName\":\"ORTHOPEDICS\",\"Score\":null,\"Total\":0}","platform":"Semanticscholar","paperid":null,"PeriodicalName":"Archives of Orthopaedic and Trauma Surgery","FirstCategoryId":"3","ListUrlMain":"https://link.springer.com/article/10.1007/s00402-025-06034-0","RegionNum":3,"RegionCategory":"医学","ArticlePicture":[],"TitleCN":null,"AbstractTextCN":null,"PMCID":null,"EPubDate":"","PubModel":"","JCR":"Q2","JCRName":"ORTHOPEDICS","Score":null,"Total":0}
引用次数: 0

摘要

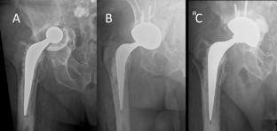
目的评估用于无菌翻修全髋关节置换术(rTHA)的未骨水泥Trident®II型三钛髋臼假体的生存率、并发症、患者报告的结果和影像学整合情况。方法对100例101例无菌rTHA患者进行单中心前瞻性队列研究。纳入标准为适合使用非骨水泥髋臼假体的患者,年龄18-95岁,愿意并能够遵守研究方案,并提供知情同意。排除骨存量不足以支持假体固定的患者。功能评估包括牛津髋关节评分、遗忘关节评分、EQ-5D、EQ-VAS、疼痛VAS和满意度。x线检查包括髋臼透光线和根据Delee和Charnley带的溶解和松动。结果平均年龄72.5岁(标准差11.6),其中女性54例,男性46例。平均随访3.1年(2 - 4.9年),10例患者死亡。rTHA的适应症包括:髋臼松动(n = 82),不稳定(n = 11),股骨干断裂(n = 3),金属对金属伴有疼痛和假瘤(n = 2),疼痛(n = 2)和股骨假体松动(n = 1)。深度感染有两次重新修订。这导致1年全因生存率为99.0% (95% CI 97.1至100),4年生存率为96.2% (95% CI 90.5至100)。只有1例患者在所有三个区均有透光线,且未骨整合,但在3年随访中该成分保持稳定。所有PROMs在1年和2年均表现出具有临床意义的改善(p < 0.001)。术后1年和2年患者满意度分别为85.6%和85.3%。结论非胶结高多孔3d打印Trident®II髋臼假体用于无菌rTHA具有良好的生存率、临床意义的PROMs改善和较高的短期患者满意度。
本文章由计算机程序翻译,如有差异,请以英文原文为准。

Highly porous 3-D printed tritanium acetabular shell for aseptic revision total hip

Highly porous 3-D printed tritanium acetabular shell for aseptic revision total hip

Highly porous 3-D printed tritanium acetabular shell for aseptic revision total hip

Aims

To assess the survival, complications, patient-reported outcomes and radiographic integration of the uncemented Trident® II tritanium acetabular component when used for aseptic revision total hip arthroplasty (rTHA).

Methods

A single-centre prospective cohort study of 101 aseptic rTHA in 100 patients was undertaken. Inclusion criteria were patients suitable for the use of the uncemented acetabular component, aged 18–95 years, willing and able to comply with the study protocol, and provide informed consent. Those with inadequate bone stock to support fixation of the prosthesis were excluded. Functional assessments included the Oxford hip score, Forgotten joint score, EQ-5D, EQ-VAS, pain VAS and satisfaction. Radiographic assessment included acetabular lucent lines and lysis according to Delee and Charnley zones and loosening.

Results

The mean age was 72.5 (standard deviation 11.6) and consisted of 54 females and 46 males. Mean follow-up was 3.1 (range 2 to 4.9) years during which 10 patients died. Indication for rTHA included: loosening of the acetabulum (n = 82), instability (n = 11), broken femoral stem (n = 3), metal on metal with pain and pseudotumour (n = 2), pain (n = 2) and loosening of femoral component (n = 1). There were two re-revisions for deep infection. This resulted in a 1-year all-cause survival of 99.0% (95% CI 97.1 to 100) and 4-year survival of 96.2% (95% CI 90.5 to 100). There was only one case with lucent lines in all three zones and had not osseointegrated, but the component remained stable at 3-years follow-up. All PROMs demonstrated a clinically meaningful improvement, which was significant (p < 0.001) at both 1- and 2-years. Patient satisfaction with their revision THA was 85.6% and 85.3% at 1- and 2-years.

Conclusion

The uncemented highly porous 3-dimensional printed Trident® II tritanium acetabular component was associated with excellent survivorship, clinically meaningful improvements in PROMs, and high patient satisfaction in the short term when used for aseptic rTHA.

求助全文
通过发布文献求助,成功后即可免费获取论文全文。 去求助
来源期刊
CiteScore
4.30
自引率
13.00%
发文量
424
审稿时长
2 months
期刊介绍: "Archives of Orthopaedic and Trauma Surgery" is a rich source of instruction and information for physicians in clinical practice and research in the extensive field of orthopaedics and traumatology. The journal publishes papers that deal with diseases and injuries of the musculoskeletal system from all fields and aspects of medicine. The journal is particularly interested in papers that satisfy the information needs of orthopaedic clinicians and practitioners. The journal places special emphasis on clinical relevance. "Archives of Orthopaedic and Trauma Surgery" is the official journal of the German Speaking Arthroscopy Association (AGA).
×
引用
GB/T 7714-2015
复制
MLA
复制
APA
复制
导出至
BibTeX EndNote RefMan NoteFirst NoteExpress
×
提示
您的信息不完整,为了账户安全,请先补充。
现在去补充
×
提示
您因"违规操作"
具体请查看互助需知
我知道了
×
提示
确定
请完成安全验证×
copy
已复制链接
快去分享给好友吧!
我知道了
右上角分享
点击右上角分享
0
联系我们:info@booksci.cn Book学术提供免费学术资源搜索服务,方便国内外学者检索中英文文献。致力于提供最便捷和优质的服务体验。 Copyright © 2023 布克学术 All rights reserved.
京ICP备2023020795号-1
ghs 京公网安备 11010802042870号
Book学术文献互助
Book学术文献互助群
群 号:604180095
Book学术官方微信