膜相关泛素连接酶MARCH2和MARCH3靶向TIM-1以限制寨卡病毒感染。

IF 19.8 1区 医学 Q1 IMMUNOLOGY
Qi Zhang, Zhen-Wu Ma, Hui-Fang Li, Jia-Qing Zeng, Hong-Bing Shu, Shu Li
{"title":"膜相关泛素连接酶MARCH2和MARCH3靶向TIM-1以限制寨卡病毒感染。","authors":"Qi Zhang, Zhen-Wu Ma, Hui-Fang Li, Jia-Qing Zeng, Hong-Bing Shu, Shu Li","doi":"10.1038/s41423-025-01334-2","DOIUrl":null,"url":null,"abstract":"T-cell immunoglobulin mucin family member-1 (TIM-1, also known as HAVCR1/KIM-1) is a transmembrane glycoprotein that has been reported to act as an entry receptor for multiple flaviviruses including Zika virus (ZIKV). The post-translational regulation of TIM-1 and its effects on ZIKV infection are unclear. In this study, we identified the membrane-associated RING-CH-type finger (MARCH) E3 ubiquitin ligase family members MARCH2 and MARCH3 as critical negative regulators of TIM-1 under physiological conditions. MARCH2 and MARCH3 associate with TIM-1 and mediate its K48-linked polyubiquitination at K338 and K346 respectively, leading to subsequent proteasomal degradation. While deficiency of either MARCH2 or MARCH3 modestly increases TIM-1 levels and enhances ZIKV infectivity, double knockout of MARCH2/3 has a more dramatic effect. Double knockout of MARCH2/3 increased ZIKV infectivity in wild-type but not TIM-1 knockout cells, and reconstitution of TIM-1K338R/K346R into TIM-1-deficient cells increases ZIKV infectivity to a higher degree than reconstitution with wild-type TIM-1. Knockout of either MARCH2 or MARCH3 increased ZIKV infectivity and pathogenesis in mice, whereas double knockout of MARCH2/3 has a more dramatic effect. These findings suggest that MARCH2 and MARCH3 target TIM-1 for K48-linked polyubiquitination and proteasomal degradation, thereby acting as redundant host restriction factors to limit ZIKV infection and pathogenesis.","PeriodicalId":9950,"journal":{"name":"Cellular &Molecular Immunology","volume":"22 9","pages":"1032-1044"},"PeriodicalIF":19.8000,"publicationDate":"2025-08-15","publicationTypes":"Journal Article","fieldsOfStudy":null,"isOpenAccess":false,"openAccessPdf":"","citationCount":"0","resultStr":"{\"title\":\"The membrane-associated ubiquitin ligases MARCH2 and MARCH3 target TIM-1 to limit Zika virus infection\",\"authors\":\"Qi Zhang, Zhen-Wu Ma, Hui-Fang Li, Jia-Qing Zeng, Hong-Bing Shu, Shu Li\",\"doi\":\"10.1038/s41423-025-01334-2\",\"DOIUrl\":null,\"url\":null,\"abstract\":\"T-cell immunoglobulin mucin family member-1 (TIM-1, also known as HAVCR1/KIM-1) is a transmembrane glycoprotein that has been reported to act as an entry receptor for multiple flaviviruses including Zika virus (ZIKV). The post-translational regulation of TIM-1 and its effects on ZIKV infection are unclear. In this study, we identified the membrane-associated RING-CH-type finger (MARCH) E3 ubiquitin ligase family members MARCH2 and MARCH3 as critical negative regulators of TIM-1 under physiological conditions. MARCH2 and MARCH3 associate with TIM-1 and mediate its K48-linked polyubiquitination at K338 and K346 respectively, leading to subsequent proteasomal degradation. While deficiency of either MARCH2 or MARCH3 modestly increases TIM-1 levels and enhances ZIKV infectivity, double knockout of MARCH2/3 has a more dramatic effect. Double knockout of MARCH2/3 increased ZIKV infectivity in wild-type but not TIM-1 knockout cells, and reconstitution of TIM-1K338R/K346R into TIM-1-deficient cells increases ZIKV infectivity to a higher degree than reconstitution with wild-type TIM-1. Knockout of either MARCH2 or MARCH3 increased ZIKV infectivity and pathogenesis in mice, whereas double knockout of MARCH2/3 has a more dramatic effect. These findings suggest that MARCH2 and MARCH3 target TIM-1 for K48-linked polyubiquitination and proteasomal degradation, thereby acting as redundant host restriction factors to limit ZIKV infection and pathogenesis.\",\"PeriodicalId\":9950,\"journal\":{\"name\":\"Cellular &Molecular Immunology\",\"volume\":\"22 9\",\"pages\":\"1032-1044\"},\"PeriodicalIF\":19.8000,\"publicationDate\":\"2025-08-15\",\"publicationTypes\":\"Journal Article\",\"fieldsOfStudy\":null,\"isOpenAccess\":false,\"openAccessPdf\":\"\",\"citationCount\":\"0\",\"resultStr\":null,\"platform\":\"Semanticscholar\",\"paperid\":null,\"PeriodicalName\":\"Cellular &Molecular Immunology\",\"FirstCategoryId\":\"3\",\"ListUrlMain\":\"https://www.nature.com/articles/s41423-025-01334-2\",\"RegionNum\":1,\"RegionCategory\":\"医学\",\"ArticlePicture\":[],\"TitleCN\":null,\"AbstractTextCN\":null,\"PMCID\":null,\"EPubDate\":\"\",\"PubModel\":\"\",\"JCR\":\"Q1\",\"JCRName\":\"IMMUNOLOGY\",\"Score\":null,\"Total\":0}","platform":"Semanticscholar","paperid":null,"PeriodicalName":"Cellular &Molecular Immunology","FirstCategoryId":"3","ListUrlMain":"https://www.nature.com/articles/s41423-025-01334-2","RegionNum":1,"RegionCategory":"医学","ArticlePicture":[],"TitleCN":null,"AbstractTextCN":null,"PMCID":null,"EPubDate":"","PubModel":"","JCR":"Q1","JCRName":"IMMUNOLOGY","Score":null,"Total":0}
引用次数: 0

摘要

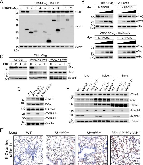
t细胞免疫球蛋白粘蛋白家族成员-1 (TIM-1,也称为HAVCR1/KIM-1)是一种跨膜糖蛋白,据报道可作为包括寨卡病毒(ZIKV)在内的多种黄病毒的进入受体。TIM-1的翻译后调控及其对寨卡病毒感染的影响尚不清楚。在本研究中,我们发现膜相关ring - ch型指(MARCH) E3泛素连接酶家族成员MARCH2和MARCH3是生理条件下TIM-1的关键负调控因子。MARCH2和MARCH3与TIM-1结合,分别介导K338和K346位点与k48相关的多泛素化,导致随后的蛋白酶体降解。虽然缺乏MARCH2或MARCH3都会适度增加TIM-1水平并增强ZIKV的传染性,但双敲除MARCH2/3具有更显著的效果。双敲除MARCH2/3增加了野生型细胞的ZIKV传染性,但对TIM-1敲除细胞没有作用,将TIM-1K338R/K346R重组为缺乏TIM-1的细胞比用野生型TIM-1重组提高ZIKV传染性的程度更高。敲除MARCH2或MARCH3均可增加小鼠寨卡病毒的传染性和发病机制,而双敲除MARCH2/3的作用更为显著。这些发现表明,MARCH2和MARCH3靶向TIM-1进行k48相关的多泛素化和蛋白酶体降解,从而作为冗余宿主限制因子限制ZIKV感染和发病机制。
本文章由计算机程序翻译,如有差异,请以英文原文为准。

The membrane-associated ubiquitin ligases MARCH2 and MARCH3 target TIM-1 to limit Zika virus infection

The membrane-associated ubiquitin ligases MARCH2 and MARCH3 target TIM-1 to limit Zika virus infection
T-cell immunoglobulin mucin family member-1 (TIM-1, also known as HAVCR1/KIM-1) is a transmembrane glycoprotein that has been reported to act as an entry receptor for multiple flaviviruses including Zika virus (ZIKV). The post-translational regulation of TIM-1 and its effects on ZIKV infection are unclear. In this study, we identified the membrane-associated RING-CH-type finger (MARCH) E3 ubiquitin ligase family members MARCH2 and MARCH3 as critical negative regulators of TIM-1 under physiological conditions. MARCH2 and MARCH3 associate with TIM-1 and mediate its K48-linked polyubiquitination at K338 and K346 respectively, leading to subsequent proteasomal degradation. While deficiency of either MARCH2 or MARCH3 modestly increases TIM-1 levels and enhances ZIKV infectivity, double knockout of MARCH2/3 has a more dramatic effect. Double knockout of MARCH2/3 increased ZIKV infectivity in wild-type but not TIM-1 knockout cells, and reconstitution of TIM-1K338R/K346R into TIM-1-deficient cells increases ZIKV infectivity to a higher degree than reconstitution with wild-type TIM-1. Knockout of either MARCH2 or MARCH3 increased ZIKV infectivity and pathogenesis in mice, whereas double knockout of MARCH2/3 has a more dramatic effect. These findings suggest that MARCH2 and MARCH3 target TIM-1 for K48-linked polyubiquitination and proteasomal degradation, thereby acting as redundant host restriction factors to limit ZIKV infection and pathogenesis.
求助全文
通过发布文献求助,成功后即可免费获取论文全文。 去求助
来源期刊
CiteScore
31.20
自引率
1.20%
发文量
903
审稿时长
1 months
期刊介绍: Cellular & Molecular Immunology, a monthly journal from the Chinese Society of Immunology and the University of Science and Technology of China, serves as a comprehensive platform covering both basic immunology research and clinical applications. The journal publishes a variety of article types, including Articles, Review Articles, Mini Reviews, and Short Communications, focusing on diverse aspects of cellular and molecular immunology.
×
引用
GB/T 7714-2015
复制
MLA
复制
APA
复制
导出至
BibTeX EndNote RefMan NoteFirst NoteExpress
×
提示
您的信息不完整,为了账户安全,请先补充。
现在去补充
×
提示
您因"违规操作"
具体请查看互助需知
我知道了
×
提示
确定
请完成安全验证×
copy
已复制链接
快去分享给好友吧!
我知道了
右上角分享
点击右上角分享
0
联系我们:info@booksci.cn Book学术提供免费学术资源搜索服务,方便国内外学者检索中英文文献。致力于提供最便捷和优质的服务体验。 Copyright © 2023 布克学术 All rights reserved.
京ICP备2023020795号-1
ghs 京公网安备 11010802042870号
Book学术文献互助
Book学术文献互助群
群 号:604180095
Book学术官方微信