整合肿瘤周围和肿瘤CT放射组学特征预测肺少转移患者SBRT后局部控制

IF 3.3 2区 医学 Q2 ONCOLOGY
Yao Lu, Yiqi Wang, Yuxi Ding, Danni Chen, Wenguang He, Weixiang Zhong, Jing Yang, Senxiang Yan, Ge Ren, Feng Zhao
{"title":"整合肿瘤周围和肿瘤CT放射组学特征预测肺少转移患者SBRT后局部控制","authors":"Yao Lu, Yiqi Wang, Yuxi Ding, Danni Chen, Wenguang He, Weixiang Zhong, Jing Yang, Senxiang Yan, Ge Ren, Feng Zhao","doi":"10.1186/s13014-025-02712-w","DOIUrl":null,"url":null,"abstract":"<p><strong>Purpose: </strong>Local control prediction for patients with pulmonary oligometastases underwent stereotactic body radiotherapy (SBRT) is crucial for optimizing therapeutic strategies. This study aims to develop and validate a predictive radiomics model integrating both tumor-intrinsic and peritumoral features along with clinical factors to enhance local control prediction using a multi-center dataset.</p><p><strong>Materials and methods: </strong>We analyzed 223 tumors from 146 patients, which was divided into a training set (n = 165) and an external validation set (n = 58). Radiomic features from the gross tumor volume (GTV) and peritumoral regions (pGTV) representing the tumor microenvironment (TME) in CT images were extracted and combined with clinical factors to build a clinical outcome prediction model. Tumor response was classified into Favorable Response Group (FRG) and Unfavorable Response Group (URG) according to the 3-month and 1-year follow-up. Models were built using a Multilayer Perceptron (MLP) approach with SHAP analysis.</p><p><strong>Results: </strong>Model-G (with GTV features) and Model-P (with pGTV features) achieved a validation area under curve (AUC) of 0.806 and 0.708, respectively. Meanwhile, Model-GP (with GTV and pGTV features) demonstrated an improved performance with a validation AUC of 0.851, reflecting the added value of peritumoral features. The Model-GPC, which incorporated GTV, pGTV, and clinical features, achieved a best validation AUC of 0.902, demonstrating the model's ability to robustly integrate clinical and radiomic data for accurate local control prediction.</p><p><strong>Conclusion: </strong>The Model-GPC, integrating clinical and radiomic features, accurately predicts post-SBRT local control in pulmonary oligometastases. Incorporating peritumoral features and SHAP analysis enhances prediction accuracy, offering insights to optimize SBRT strategies.</p>","PeriodicalId":49639,"journal":{"name":"Radiation Oncology","volume":"20 1","pages":"129"},"PeriodicalIF":3.3000,"publicationDate":"2025-08-14","publicationTypes":"Journal Article","fieldsOfStudy":null,"isOpenAccess":false,"openAccessPdf":"https://www.ncbi.nlm.nih.gov/pmc/articles/PMC12355760/pdf/","citationCount":"0","resultStr":"{\"title\":\"Integrating peritumor and tumor CT radiomics features in predicting local control after SBRT in patients with pulmonary oligometastases.\",\"authors\":\"Yao Lu, Yiqi Wang, Yuxi Ding, Danni Chen, Wenguang He, Weixiang Zhong, Jing Yang, Senxiang Yan, Ge Ren, Feng Zhao\",\"doi\":\"10.1186/s13014-025-02712-w\",\"DOIUrl\":null,\"url\":null,\"abstract\":\"<p><strong>Purpose: </strong>Local control prediction for patients with pulmonary oligometastases underwent stereotactic body radiotherapy (SBRT) is crucial for optimizing therapeutic strategies. This study aims to develop and validate a predictive radiomics model integrating both tumor-intrinsic and peritumoral features along with clinical factors to enhance local control prediction using a multi-center dataset.</p><p><strong>Materials and methods: </strong>We analyzed 223 tumors from 146 patients, which was divided into a training set (n = 165) and an external validation set (n = 58). Radiomic features from the gross tumor volume (GTV) and peritumoral regions (pGTV) representing the tumor microenvironment (TME) in CT images were extracted and combined with clinical factors to build a clinical outcome prediction model. Tumor response was classified into Favorable Response Group (FRG) and Unfavorable Response Group (URG) according to the 3-month and 1-year follow-up. Models were built using a Multilayer Perceptron (MLP) approach with SHAP analysis.</p><p><strong>Results: </strong>Model-G (with GTV features) and Model-P (with pGTV features) achieved a validation area under curve (AUC) of 0.806 and 0.708, respectively. Meanwhile, Model-GP (with GTV and pGTV features) demonstrated an improved performance with a validation AUC of 0.851, reflecting the added value of peritumoral features. The Model-GPC, which incorporated GTV, pGTV, and clinical features, achieved a best validation AUC of 0.902, demonstrating the model's ability to robustly integrate clinical and radiomic data for accurate local control prediction.</p><p><strong>Conclusion: </strong>The Model-GPC, integrating clinical and radiomic features, accurately predicts post-SBRT local control in pulmonary oligometastases. Incorporating peritumoral features and SHAP analysis enhances prediction accuracy, offering insights to optimize SBRT strategies.</p>\",\"PeriodicalId\":49639,\"journal\":{\"name\":\"Radiation Oncology\",\"volume\":\"20 1\",\"pages\":\"129\"},\"PeriodicalIF\":3.3000,\"publicationDate\":\"2025-08-14\",\"publicationTypes\":\"Journal Article\",\"fieldsOfStudy\":null,\"isOpenAccess\":false,\"openAccessPdf\":\"https://www.ncbi.nlm.nih.gov/pmc/articles/PMC12355760/pdf/\",\"citationCount\":\"0\",\"resultStr\":null,\"platform\":\"Semanticscholar\",\"paperid\":null,\"PeriodicalName\":\"Radiation Oncology\",\"FirstCategoryId\":\"3\",\"ListUrlMain\":\"https://doi.org/10.1186/s13014-025-02712-w\",\"RegionNum\":2,\"RegionCategory\":\"医学\",\"ArticlePicture\":[],\"TitleCN\":null,\"AbstractTextCN\":null,\"PMCID\":null,\"EPubDate\":\"\",\"PubModel\":\"\",\"JCR\":\"Q2\",\"JCRName\":\"ONCOLOGY\",\"Score\":null,\"Total\":0}","platform":"Semanticscholar","paperid":null,"PeriodicalName":"Radiation Oncology","FirstCategoryId":"3","ListUrlMain":"https://doi.org/10.1186/s13014-025-02712-w","RegionNum":2,"RegionCategory":"医学","ArticlePicture":[],"TitleCN":null,"AbstractTextCN":null,"PMCID":null,"EPubDate":"","PubModel":"","JCR":"Q2","JCRName":"ONCOLOGY","Score":null,"Total":0}
引用次数: 0

摘要

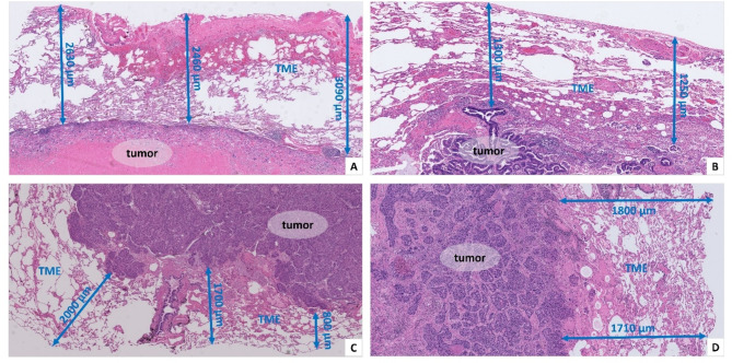
目的:肺少转移患者行立体定向放射治疗(SBRT)的局部控制预测对优化治疗策略至关重要。本研究旨在开发和验证一种预测放射组学模型,该模型将肿瘤固有特征和肿瘤周围特征以及临床因素结合起来,利用多中心数据集增强局部控制预测。材料和方法:我们分析了来自146例患者的223个肿瘤,将其分为训练集(n = 165)和外部验证集(n = 58)。提取CT图像中代表肿瘤微环境(TME)的总肿瘤体积(GTV)和肿瘤周围区域(pGTV)放射学特征,并结合临床因素建立临床预后预测模型。根据3个月和1年随访情况将肿瘤反应分为有利反应组(FRG)和不利反应组(URG)。使用多层感知器(MLP)方法与SHAP分析建立模型。结果:模型- g(含GTV特征)和模型- p(含pGTV特征)的验证曲线下面积(AUC)分别为0.806和0.708。同时,具有GTV和pGTV特征的Model-GP表现出更好的性能,验证AUC为0.851,反映了肿瘤周围特征的附加价值。结合GTV、pGTV和临床特征的model - gpc获得了0.902的最佳验证AUC,表明该模型能够强大地整合临床和放射学数据,实现准确的局部控制预测。结论:综合临床和放射学特征的模型- gpc能准确预测sbrt后肺少转移灶的局部控制。结合肿瘤周围特征和SHAP分析提高了预测准确性,为优化SBRT策略提供了见解。
本文章由计算机程序翻译,如有差异,请以英文原文为准。

Integrating peritumor and tumor CT radiomics features in predicting local control after SBRT in patients with pulmonary oligometastases.

Integrating peritumor and tumor CT radiomics features in predicting local control after SBRT in patients with pulmonary oligometastases.

Integrating peritumor and tumor CT radiomics features in predicting local control after SBRT in patients with pulmonary oligometastases.

Integrating peritumor and tumor CT radiomics features in predicting local control after SBRT in patients with pulmonary oligometastases.

Purpose: Local control prediction for patients with pulmonary oligometastases underwent stereotactic body radiotherapy (SBRT) is crucial for optimizing therapeutic strategies. This study aims to develop and validate a predictive radiomics model integrating both tumor-intrinsic and peritumoral features along with clinical factors to enhance local control prediction using a multi-center dataset.

Materials and methods: We analyzed 223 tumors from 146 patients, which was divided into a training set (n = 165) and an external validation set (n = 58). Radiomic features from the gross tumor volume (GTV) and peritumoral regions (pGTV) representing the tumor microenvironment (TME) in CT images were extracted and combined with clinical factors to build a clinical outcome prediction model. Tumor response was classified into Favorable Response Group (FRG) and Unfavorable Response Group (URG) according to the 3-month and 1-year follow-up. Models were built using a Multilayer Perceptron (MLP) approach with SHAP analysis.

Results: Model-G (with GTV features) and Model-P (with pGTV features) achieved a validation area under curve (AUC) of 0.806 and 0.708, respectively. Meanwhile, Model-GP (with GTV and pGTV features) demonstrated an improved performance with a validation AUC of 0.851, reflecting the added value of peritumoral features. The Model-GPC, which incorporated GTV, pGTV, and clinical features, achieved a best validation AUC of 0.902, demonstrating the model's ability to robustly integrate clinical and radiomic data for accurate local control prediction.

Conclusion: The Model-GPC, integrating clinical and radiomic features, accurately predicts post-SBRT local control in pulmonary oligometastases. Incorporating peritumoral features and SHAP analysis enhances prediction accuracy, offering insights to optimize SBRT strategies.

求助全文
通过发布文献求助,成功后即可免费获取论文全文。 去求助
来源期刊
Radiation Oncology
Radiation Oncology ONCOLOGY-RADIOLOGY, NUCLEAR MEDICINE & MEDICAL IMAGING
CiteScore
6.50
自引率
2.80%
发文量
181
审稿时长
3-6 weeks
期刊介绍: Radiation Oncology encompasses all aspects of research that impacts on the treatment of cancer using radiation. It publishes findings in molecular and cellular radiation biology, radiation physics, radiation technology, and clinical oncology.
×
引用
GB/T 7714-2015
复制
MLA
复制
APA
复制
导出至
BibTeX EndNote RefMan NoteFirst NoteExpress
×
提示
您的信息不完整,为了账户安全,请先补充。
现在去补充
×
提示
您因"违规操作"
具体请查看互助需知
我知道了
×
提示
确定
请完成安全验证×
copy
已复制链接
快去分享给好友吧!
我知道了
右上角分享
点击右上角分享
0
联系我们:info@booksci.cn Book学术提供免费学术资源搜索服务,方便国内外学者检索中英文文献。致力于提供最便捷和优质的服务体验。 Copyright © 2023 布克学术 All rights reserved.
京ICP备2023020795号-1
ghs 京公网安备 11010802042870号
Book学术文献互助
Book学术文献互助群
群 号:604180095
Book学术官方微信