表达HER2的乳腺小叶癌的临床病理特征。

IF 2.2 Q3 ONCOLOGY
World Journal of Oncology Pub Date : 2025-07-08 eCollection Date: 2025-08-01 DOI:10.14740/wjon2588
Majd Khader, Bayan Maraqa, Hikmat Abdel-Razeq, Khaled Halahleh, Maher Sughayer
{"title":"表达HER2的乳腺小叶癌的临床病理特征。","authors":"Majd Khader, Bayan Maraqa, Hikmat Abdel-Razeq, Khaled Halahleh, Maher Sughayer","doi":"10.14740/wjon2588","DOIUrl":null,"url":null,"abstract":"<p><strong>Background: </strong>Invasive lobular carcinoma (ILC) accounts for approximately 10% of invasive breast carcinomas and is the most common special subtype. Most ILCs express estrogen receptors (ERs) and progesterone receptors (PRs) but typically lack ERBB2 (human epidermal growth factor receptor 2 (HER2)) overexpression. HER2-positive ILC is rare, understudied, and often linked to aggressive clinical and histopathologic features. This study aimed to examine the clinicopathologic characteristics of HER2-positive ILC to ensure proper classification and management.</p><p><strong>Methods: </strong>A retrospective review was conducted on 48 cases, including 28 HER2-positive ILC and 20 pleomorphic invasive lobular carcinoma (p-ILC) cases without HER2 overexpression. Histological features assessed included nuclear pleomorphism, signet ring cell morphology, and apocrine features. Hormone receptor status and clinical outcomes were also analyzed.</p><p><strong>Results: </strong>All HER2-positive ILC cases exhibited at least one pleomorphic histological feature. Hormone receptor positivity was lower in HER2-positive ILC compared to p-ILC without HER2 overexpression. However, overall survival did not significantly differ between the two groups.</p><p><strong>Conclusion: </strong>HER2 overexpression in ILC is frequently associated with pleomorphic features. p-ILC, regardless of HER2 status, portends a worse prognosis. Identifying these features in HER2-positive ILC and classifying them as pleomorphic lobular carcinoma, a more aggressive ILC variant, is crucial for closer patient follow-up.</p>","PeriodicalId":46797,"journal":{"name":"World Journal of Oncology","volume":"16 4","pages":"357-364"},"PeriodicalIF":2.2000,"publicationDate":"2025-07-08","publicationTypes":"Journal Article","fieldsOfStudy":null,"isOpenAccess":false,"openAccessPdf":"https://www.ncbi.nlm.nih.gov/pmc/articles/PMC12339265/pdf/","citationCount":"0","resultStr":"{\"title\":\"Clinicopathological Features of HER2 Expressing Lobular Carcinoma of Breast.\",\"authors\":\"Majd Khader, Bayan Maraqa, Hikmat Abdel-Razeq, Khaled Halahleh, Maher Sughayer\",\"doi\":\"10.14740/wjon2588\",\"DOIUrl\":null,\"url\":null,\"abstract\":\"<p><strong>Background: </strong>Invasive lobular carcinoma (ILC) accounts for approximately 10% of invasive breast carcinomas and is the most common special subtype. Most ILCs express estrogen receptors (ERs) and progesterone receptors (PRs) but typically lack ERBB2 (human epidermal growth factor receptor 2 (HER2)) overexpression. HER2-positive ILC is rare, understudied, and often linked to aggressive clinical and histopathologic features. This study aimed to examine the clinicopathologic characteristics of HER2-positive ILC to ensure proper classification and management.</p><p><strong>Methods: </strong>A retrospective review was conducted on 48 cases, including 28 HER2-positive ILC and 20 pleomorphic invasive lobular carcinoma (p-ILC) cases without HER2 overexpression. Histological features assessed included nuclear pleomorphism, signet ring cell morphology, and apocrine features. Hormone receptor status and clinical outcomes were also analyzed.</p><p><strong>Results: </strong>All HER2-positive ILC cases exhibited at least one pleomorphic histological feature. Hormone receptor positivity was lower in HER2-positive ILC compared to p-ILC without HER2 overexpression. However, overall survival did not significantly differ between the two groups.</p><p><strong>Conclusion: </strong>HER2 overexpression in ILC is frequently associated with pleomorphic features. p-ILC, regardless of HER2 status, portends a worse prognosis. Identifying these features in HER2-positive ILC and classifying them as pleomorphic lobular carcinoma, a more aggressive ILC variant, is crucial for closer patient follow-up.</p>\",\"PeriodicalId\":46797,\"journal\":{\"name\":\"World Journal of Oncology\",\"volume\":\"16 4\",\"pages\":\"357-364\"},\"PeriodicalIF\":2.2000,\"publicationDate\":\"2025-07-08\",\"publicationTypes\":\"Journal Article\",\"fieldsOfStudy\":null,\"isOpenAccess\":false,\"openAccessPdf\":\"https://www.ncbi.nlm.nih.gov/pmc/articles/PMC12339265/pdf/\",\"citationCount\":\"0\",\"resultStr\":null,\"platform\":\"Semanticscholar\",\"paperid\":null,\"PeriodicalName\":\"World Journal of Oncology\",\"FirstCategoryId\":\"1085\",\"ListUrlMain\":\"https://doi.org/10.14740/wjon2588\",\"RegionNum\":0,\"RegionCategory\":null,\"ArticlePicture\":[],\"TitleCN\":null,\"AbstractTextCN\":null,\"PMCID\":null,\"EPubDate\":\"2025/8/1 0:00:00\",\"PubModel\":\"eCollection\",\"JCR\":\"Q3\",\"JCRName\":\"ONCOLOGY\",\"Score\":null,\"Total\":0}","platform":"Semanticscholar","paperid":null,"PeriodicalName":"World Journal of Oncology","FirstCategoryId":"1085","ListUrlMain":"https://doi.org/10.14740/wjon2588","RegionNum":0,"RegionCategory":null,"ArticlePicture":[],"TitleCN":null,"AbstractTextCN":null,"PMCID":null,"EPubDate":"2025/8/1 0:00:00","PubModel":"eCollection","JCR":"Q3","JCRName":"ONCOLOGY","Score":null,"Total":0}
引用次数: 0

摘要

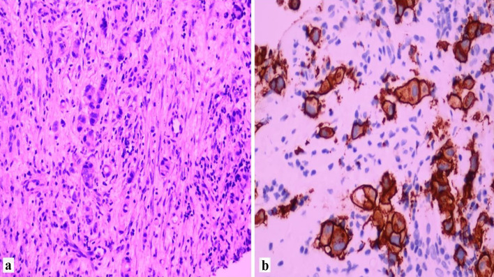
背景:浸润性小叶癌(ILC)约占浸润性乳腺癌的10%,是最常见的特殊亚型。大多数ILCs表达雌激素受体(er)和孕激素受体(pr),但通常缺乏ERBB2(人表皮生长因子受体2 (HER2))的过度表达。her2阳性ILC是罕见的,研究不足,通常与侵袭性临床和组织病理学特征有关。本研究旨在探讨her2阳性ILC的临床病理特征,以确保正确的分类和治疗。方法:回顾性分析48例HER2阳性ILC 28例,无HER2过表达的多形性浸润性小叶癌(p-ILC) 20例。评估的组织学特征包括核多形性、印戒细胞形态和顶泌特征。同时分析激素受体状态和临床结果。结果:所有her2阳性ILC病例均表现出至少一种多形性组织学特征。HER2阳性ILC中激素受体的阳性水平低于无HER2过表达的p-ILC。然而,两组患者的总生存率没有显著差异。结论:HER2在ILC中的过表达常与多形性特征相关。无论HER2状态如何,p-ILC预示着较差的预后。在her2阳性ILC中识别这些特征并将其归类为多形性小叶癌,这是一种更具侵袭性的ILC变体,对于更密切的患者随访至关重要。
本文章由计算机程序翻译,如有差异,请以英文原文为准。

Clinicopathological Features of HER2 Expressing Lobular Carcinoma of Breast.

Clinicopathological Features of HER2 Expressing Lobular Carcinoma of Breast.

Clinicopathological Features of HER2 Expressing Lobular Carcinoma of Breast.

Clinicopathological Features of HER2 Expressing Lobular Carcinoma of Breast.

Background: Invasive lobular carcinoma (ILC) accounts for approximately 10% of invasive breast carcinomas and is the most common special subtype. Most ILCs express estrogen receptors (ERs) and progesterone receptors (PRs) but typically lack ERBB2 (human epidermal growth factor receptor 2 (HER2)) overexpression. HER2-positive ILC is rare, understudied, and often linked to aggressive clinical and histopathologic features. This study aimed to examine the clinicopathologic characteristics of HER2-positive ILC to ensure proper classification and management.

Methods: A retrospective review was conducted on 48 cases, including 28 HER2-positive ILC and 20 pleomorphic invasive lobular carcinoma (p-ILC) cases without HER2 overexpression. Histological features assessed included nuclear pleomorphism, signet ring cell morphology, and apocrine features. Hormone receptor status and clinical outcomes were also analyzed.

Results: All HER2-positive ILC cases exhibited at least one pleomorphic histological feature. Hormone receptor positivity was lower in HER2-positive ILC compared to p-ILC without HER2 overexpression. However, overall survival did not significantly differ between the two groups.

Conclusion: HER2 overexpression in ILC is frequently associated with pleomorphic features. p-ILC, regardless of HER2 status, portends a worse prognosis. Identifying these features in HER2-positive ILC and classifying them as pleomorphic lobular carcinoma, a more aggressive ILC variant, is crucial for closer patient follow-up.

求助全文
通过发布文献求助,成功后即可免费获取论文全文。 去求助
来源期刊
CiteScore
6.10
自引率
15.40%
发文量
37
期刊介绍: World Journal of Oncology, bimonthly, publishes original contributions describing basic research and clinical investigation of cancer, on the cellular, molecular, prevention, diagnosis, therapy and prognosis aspects. The submissions can be basic research or clinical investigation oriented. This journal welcomes those submissions focused on the clinical trials of new treatment modalities for cancer, and those submissions focused on molecular or cellular research of the oncology pathogenesis. Case reports submitted for consideration of publication should explore either a novel genomic event/description or a new safety signal from an oncolytic agent. The areas of interested manuscripts are these disciplines: tumor immunology and immunotherapy; cancer molecular pharmacology and chemotherapy; drug sensitivity and resistance; cancer epidemiology; clinical trials; cancer pathology; radiobiology and radiation oncology; solid tumor oncology; hematological malignancies; surgical oncology; pediatric oncology; molecular oncology and cancer genes; gene therapy; cancer endocrinology; cancer metastasis; prevention and diagnosis of cancer; other cancer related subjects. The types of manuscripts accepted are original article, review, editorial, short communication, case report, letter to the editor, book review.
×
引用
GB/T 7714-2015
复制
MLA
复制
APA
复制
导出至
BibTeX EndNote RefMan NoteFirst NoteExpress
×
提示
您的信息不完整,为了账户安全,请先补充。
现在去补充
×
提示
您因"违规操作"
具体请查看互助需知
我知道了
×
提示
确定
请完成安全验证×
copy
已复制链接
快去分享给好友吧!
我知道了
右上角分享
点击右上角分享
0
联系我们:info@booksci.cn Book学术提供免费学术资源搜索服务,方便国内外学者检索中英文文献。致力于提供最便捷和优质的服务体验。 Copyright © 2023 布克学术 All rights reserved.
京ICP备2023020795号-1
ghs 京公网安备 11010802042870号
Book学术文献互助
Book学术文献互助群
群 号:604180095
Book学术官方微信