中青年三枚空心螺钉治疗股骨颈骨折患者股骨跟骨损伤与术后并发症关系的回顾性研究。

IF 2.1 2区 医学 Q2 ORTHOPEDICS
Orthopaedic Surgery Pub Date : 2025-09-01 Epub Date: 2025-08-13 DOI:10.1111/os.70147
Qi Liu, Kaijun Zhang, Bin Zhao, Haoyuan Du, Teng Zhang, Wei Han, Junqiang Wang
{"title":"中青年三枚空心螺钉治疗股骨颈骨折患者股骨跟骨损伤与术后并发症关系的回顾性研究。","authors":"Qi Liu, Kaijun Zhang, Bin Zhao, Haoyuan Du, Teng Zhang, Wei Han, Junqiang Wang","doi":"10.1111/os.70147","DOIUrl":null,"url":null,"abstract":"<p><strong>Objectives: </strong>Given the critical biomechanical role of the calcar femorale in load transmission and fracture stability, understanding its relationship with postoperative complications is essential for optimizing surgical outcomes. Therefore, this study aimed to explore the relationship between calcar femorale injury and postoperative complications of femoral neck fracture in young and middle-aged patients.</p><p><strong>Methods: </strong>A retrospective analysis was conducted on 350 femoral neck fracture patients (aged 18-65 years) treated with closed reduction and three cannulated screws fixation at a single institution from 2015 to 2020. Evaluate the clinical and imaging information of patients such as sex, age, body mass index, Garden classification, calcar femorale injury situation, computed tomography Hounsfield units (CT HUs), comorbidities (e.g., diabetes, hypertension etc.) and complications (femoral neck shortening, nonunion, and femoral head necrosis). CT-based 3D reconstruction was used to analyze calcar femorale morphology. Statistical analyses included univariate and multivariate logistic regression to identify independent risk factors.</p><p><strong>Results: </strong>A total of 284 patients were included for analysis according to the inclusion and exclusion criteria. The results showed that Garden classification with displaced type (p < 0.001, OR = 4.615, 95% CI: 2.479-8.593), calcar femorale injury (p = 0.026, OR = 1.990, 95% CI: 1.087-3.645) and lower CT HUs (p = 0.002, OR = 0.989, 95% CI: 0.982-0.996) were independent risk factors for femoral neck shortening. Whether the patient has diabetes (p = 0.005, OR = 10.069, 95% CI: 2.043-49.628) was an independent risk factor for femoral neck nonunion. BMI (p = 0.030, OR = 1.154, 95% CI: 1.014-1.313) and Garden classification with displaced type (p < 0.001, OR = 10.000, 95% CI: 2.950-33.903) were independent risk factors for femoral head necrosis.</p><p><strong>Conclusion: </strong>This study found that older patients with displaced type femoral neck fractures with calcar femorale injury are more likely to experience femoral neck shortening. Clinicians should pay close attention to the above risk factors to reduce the incidence of postoperative complications in young and middle-aged patients with femoral neck fractures.</p>","PeriodicalId":19566,"journal":{"name":"Orthopaedic Surgery","volume":" ","pages":"2653-2661"},"PeriodicalIF":2.1000,"publicationDate":"2025-09-01","publicationTypes":"Journal Article","fieldsOfStudy":null,"isOpenAccess":false,"openAccessPdf":"https://www.ncbi.nlm.nih.gov/pmc/articles/PMC12404869/pdf/","citationCount":"0","resultStr":"{\"title\":\"A Retrospective Study on the Relationship Between Calcar Femorale Injury and Postoperative Complications of Femoral Neck Fracture in Young and Middle-Aged Patients Treated With Three Cannulated Screws.\",\"authors\":\"Qi Liu, Kaijun Zhang, Bin Zhao, Haoyuan Du, Teng Zhang, Wei Han, Junqiang Wang\",\"doi\":\"10.1111/os.70147\",\"DOIUrl\":null,\"url\":null,\"abstract\":\"<p><strong>Objectives: </strong>Given the critical biomechanical role of the calcar femorale in load transmission and fracture stability, understanding its relationship with postoperative complications is essential for optimizing surgical outcomes. Therefore, this study aimed to explore the relationship between calcar femorale injury and postoperative complications of femoral neck fracture in young and middle-aged patients.</p><p><strong>Methods: </strong>A retrospective analysis was conducted on 350 femoral neck fracture patients (aged 18-65 years) treated with closed reduction and three cannulated screws fixation at a single institution from 2015 to 2020. Evaluate the clinical and imaging information of patients such as sex, age, body mass index, Garden classification, calcar femorale injury situation, computed tomography Hounsfield units (CT HUs), comorbidities (e.g., diabetes, hypertension etc.) and complications (femoral neck shortening, nonunion, and femoral head necrosis). CT-based 3D reconstruction was used to analyze calcar femorale morphology. Statistical analyses included univariate and multivariate logistic regression to identify independent risk factors.</p><p><strong>Results: </strong>A total of 284 patients were included for analysis according to the inclusion and exclusion criteria. The results showed that Garden classification with displaced type (p < 0.001, OR = 4.615, 95% CI: 2.479-8.593), calcar femorale injury (p = 0.026, OR = 1.990, 95% CI: 1.087-3.645) and lower CT HUs (p = 0.002, OR = 0.989, 95% CI: 0.982-0.996) were independent risk factors for femoral neck shortening. Whether the patient has diabetes (p = 0.005, OR = 10.069, 95% CI: 2.043-49.628) was an independent risk factor for femoral neck nonunion. BMI (p = 0.030, OR = 1.154, 95% CI: 1.014-1.313) and Garden classification with displaced type (p < 0.001, OR = 10.000, 95% CI: 2.950-33.903) were independent risk factors for femoral head necrosis.</p><p><strong>Conclusion: </strong>This study found that older patients with displaced type femoral neck fractures with calcar femorale injury are more likely to experience femoral neck shortening. Clinicians should pay close attention to the above risk factors to reduce the incidence of postoperative complications in young and middle-aged patients with femoral neck fractures.</p>\",\"PeriodicalId\":19566,\"journal\":{\"name\":\"Orthopaedic Surgery\",\"volume\":\" \",\"pages\":\"2653-2661\"},\"PeriodicalIF\":2.1000,\"publicationDate\":\"2025-09-01\",\"publicationTypes\":\"Journal Article\",\"fieldsOfStudy\":null,\"isOpenAccess\":false,\"openAccessPdf\":\"https://www.ncbi.nlm.nih.gov/pmc/articles/PMC12404869/pdf/\",\"citationCount\":\"0\",\"resultStr\":null,\"platform\":\"Semanticscholar\",\"paperid\":null,\"PeriodicalName\":\"Orthopaedic Surgery\",\"FirstCategoryId\":\"3\",\"ListUrlMain\":\"https://doi.org/10.1111/os.70147\",\"RegionNum\":2,\"RegionCategory\":\"医学\",\"ArticlePicture\":[],\"TitleCN\":null,\"AbstractTextCN\":null,\"PMCID\":null,\"EPubDate\":\"2025/8/13 0:00:00\",\"PubModel\":\"Epub\",\"JCR\":\"Q2\",\"JCRName\":\"ORTHOPEDICS\",\"Score\":null,\"Total\":0}","platform":"Semanticscholar","paperid":null,"PeriodicalName":"Orthopaedic Surgery","FirstCategoryId":"3","ListUrlMain":"https://doi.org/10.1111/os.70147","RegionNum":2,"RegionCategory":"医学","ArticlePicture":[],"TitleCN":null,"AbstractTextCN":null,"PMCID":null,"EPubDate":"2025/8/13 0:00:00","PubModel":"Epub","JCR":"Q2","JCRName":"ORTHOPEDICS","Score":null,"Total":0}
引用次数: 0

摘要

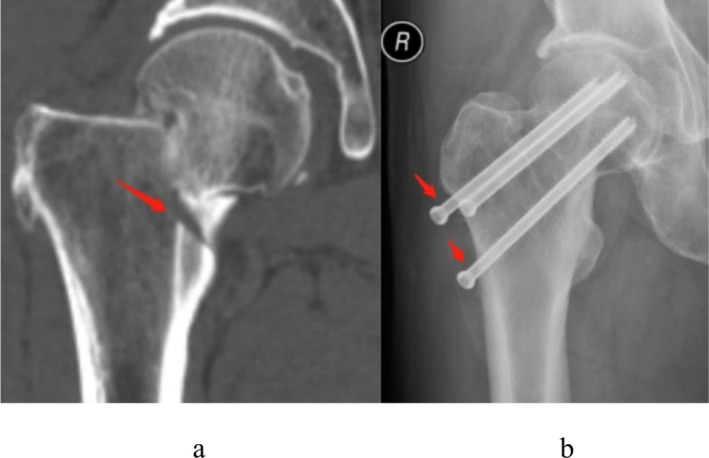
目的:考虑到股骨跟在载荷传递和骨折稳定性中的关键生物力学作用,了解其与术后并发症的关系对于优化手术效果至关重要。因此,本研究旨在探讨中青年股骨颈骨折患者股骨跟损伤与术后并发症的关系。方法:回顾性分析2015 - 2020年在同一医院接受闭合复位+ 3枚空心螺钉固定治疗的股骨颈骨折患者350例(18-65岁)。评估患者的临床及影像学信息,如性别、年龄、体重指数、Garden分型、股骨跟骨损伤情况、CT HUs、合并症(如糖尿病、高血压等)及并发症(股骨颈缩短、骨不连、股骨头坏死)。基于ct的三维重建分析股骨跟形态。统计分析包括单因素和多因素logistic回归,以确定独立的危险因素。结果:按照纳入和排除标准,共纳入284例患者进行分析。结论:本研究发现,老年移位型股骨颈骨折合并股骨跟骨损伤患者更易发生股骨颈缩短。临床医生应高度重视上述危险因素,以减少中青年股骨颈骨折患者术后并发症的发生。
本文章由计算机程序翻译,如有差异,请以英文原文为准。

A Retrospective Study on the Relationship Between Calcar Femorale Injury and Postoperative Complications of Femoral Neck Fracture in Young and Middle-Aged Patients Treated With Three Cannulated Screws.

A Retrospective Study on the Relationship Between Calcar Femorale Injury and Postoperative Complications of Femoral Neck Fracture in Young and Middle-Aged Patients Treated With Three Cannulated Screws.

A Retrospective Study on the Relationship Between Calcar Femorale Injury and Postoperative Complications of Femoral Neck Fracture in Young and Middle-Aged Patients Treated With Three Cannulated Screws.

A Retrospective Study on the Relationship Between Calcar Femorale Injury and Postoperative Complications of Femoral Neck Fracture in Young and Middle-Aged Patients Treated With Three Cannulated Screws.

Objectives: Given the critical biomechanical role of the calcar femorale in load transmission and fracture stability, understanding its relationship with postoperative complications is essential for optimizing surgical outcomes. Therefore, this study aimed to explore the relationship between calcar femorale injury and postoperative complications of femoral neck fracture in young and middle-aged patients.

Methods: A retrospective analysis was conducted on 350 femoral neck fracture patients (aged 18-65 years) treated with closed reduction and three cannulated screws fixation at a single institution from 2015 to 2020. Evaluate the clinical and imaging information of patients such as sex, age, body mass index, Garden classification, calcar femorale injury situation, computed tomography Hounsfield units (CT HUs), comorbidities (e.g., diabetes, hypertension etc.) and complications (femoral neck shortening, nonunion, and femoral head necrosis). CT-based 3D reconstruction was used to analyze calcar femorale morphology. Statistical analyses included univariate and multivariate logistic regression to identify independent risk factors.

Results: A total of 284 patients were included for analysis according to the inclusion and exclusion criteria. The results showed that Garden classification with displaced type (p < 0.001, OR = 4.615, 95% CI: 2.479-8.593), calcar femorale injury (p = 0.026, OR = 1.990, 95% CI: 1.087-3.645) and lower CT HUs (p = 0.002, OR = 0.989, 95% CI: 0.982-0.996) were independent risk factors for femoral neck shortening. Whether the patient has diabetes (p = 0.005, OR = 10.069, 95% CI: 2.043-49.628) was an independent risk factor for femoral neck nonunion. BMI (p = 0.030, OR = 1.154, 95% CI: 1.014-1.313) and Garden classification with displaced type (p < 0.001, OR = 10.000, 95% CI: 2.950-33.903) were independent risk factors for femoral head necrosis.

Conclusion: This study found that older patients with displaced type femoral neck fractures with calcar femorale injury are more likely to experience femoral neck shortening. Clinicians should pay close attention to the above risk factors to reduce the incidence of postoperative complications in young and middle-aged patients with femoral neck fractures.

求助全文
通过发布文献求助,成功后即可免费获取论文全文。 去求助
来源期刊
Orthopaedic Surgery
Orthopaedic Surgery ORTHOPEDICS-
CiteScore
3.40
自引率
14.30%
发文量
374
审稿时长
20 weeks
期刊介绍: Orthopaedic Surgery (OS) is the official journal of the Chinese Orthopaedic Association, focusing on all aspects of orthopaedic technique and surgery. The journal publishes peer-reviewed articles in the following categories: Original Articles, Clinical Articles, Review Articles, Guidelines, Editorials, Commentaries, Surgical Techniques, Case Reports and Meeting Reports.
×
引用
GB/T 7714-2015
复制
MLA
复制
APA
复制
导出至
BibTeX EndNote RefMan NoteFirst NoteExpress
×
提示
您的信息不完整,为了账户安全,请先补充。
现在去补充
×
提示
您因"违规操作"
具体请查看互助需知
我知道了
×
提示
确定
请完成安全验证×
copy
已复制链接
快去分享给好友吧!
我知道了
右上角分享
点击右上角分享
0
联系我们:info@booksci.cn Book学术提供免费学术资源搜索服务,方便国内外学者检索中英文文献。致力于提供最便捷和优质的服务体验。 Copyright © 2023 布克学术 All rights reserved.
京ICP备2023020795号-1
ghs 京公网安备 11010802042870号
Book学术文献互助
Book学术文献互助群
群 号:604180095
Book学术官方微信