同步经皮微波消融联合经皮穿刺治疗高度疑似恶性肺结节的回顾性研究。

IF 1.9 3区 医学 Q3 RESPIRATORY SYSTEM
Journal of thoracic disease Pub Date : 2025-07-31 Epub Date: 2025-07-27 DOI:10.21037/jtd-2025-105
Yining Liang, Biao Song, Bing Wang, Dongpo Wang, Chenghai Li, Wei Kang, Dailun Hou
{"title":"同步经皮微波消融联合经皮穿刺治疗高度疑似恶性肺结节的回顾性研究。","authors":"Yining Liang, Biao Song, Bing Wang, Dongpo Wang, Chenghai Li, Wei Kang, Dailun Hou","doi":"10.21037/jtd-2025-105","DOIUrl":null,"url":null,"abstract":"<p><strong>Background: </strong>There is still a lack of studies on the optimal sequence of treatment for microwave ablation (MWA) combined with percutaneous biopsy (PB) in the treatment of highly suspected malignant pulmonary nodules (PNs). This study aimed to investigate the feasibility, safety, and efficacy of computed tomography (CT)-guided simultaneous MWA combined with PB in the treatment of highly suspected malignant PNs and discuss the influence of the sequential order of MWA and PB on the treatment outcome.</p><p><strong>Methods: </strong>From January 2021 to December 2024, 91 patients with single highly suspected malignant PNs underwent synchronous MWA combined with PB. A total of 56 patients in group A underwent synchronous MWA followed by PB (MWA-first group) and 35 cases in group B underwent synchronous PB followed by MWA (PB-first group). The technical success, pathologically positive diagnosis rate, complications, and efficacy of the two groups were compared.</p><p><strong>Results: </strong>The differences in technical success rate (100% <i>vs.</i> 97.1%) and positive pathologic diagnosis rate (80.4% <i>vs.</i> 88.6%) between group A and group B were not statistically significant (P>0.05). The most common complications included pneumothorax, intrapulmonary hemorrhage, hemoptysis, and pleural effusion. The incidence of intrapulmonary hemorrhage was significantly lower in group A than in group B (19.6% <i>vs.</i> 42.8%, P<0.05). The median follow-up time was 18.0 months, the local control rate was 98.8%, and the complete ablation (CA) rate was 56.6%.</p><p><strong>Conclusions: </strong>Synchronous MWA combined with PB is a safe and effective strategy. MWA followed by PB could reduce the impact of intrapulmonary hemorrhage on ablation outcomes and is an alternative treatment for highly suspected malignant PN.</p>","PeriodicalId":17542,"journal":{"name":"Journal of thoracic disease","volume":"17 7","pages":"4768-4781"},"PeriodicalIF":1.9000,"publicationDate":"2025-07-31","publicationTypes":"Journal Article","fieldsOfStudy":null,"isOpenAccess":false,"openAccessPdf":"https://www.ncbi.nlm.nih.gov/pmc/articles/PMC12340321/pdf/","citationCount":"0","resultStr":"{\"title\":\"Synchronous percutaneous microwave ablation combined with percutaneous biopsy for highly suspected malignant pulmonary nodules: a retrospective study.\",\"authors\":\"Yining Liang, Biao Song, Bing Wang, Dongpo Wang, Chenghai Li, Wei Kang, Dailun Hou\",\"doi\":\"10.21037/jtd-2025-105\",\"DOIUrl\":null,\"url\":null,\"abstract\":\"<p><strong>Background: </strong>There is still a lack of studies on the optimal sequence of treatment for microwave ablation (MWA) combined with percutaneous biopsy (PB) in the treatment of highly suspected malignant pulmonary nodules (PNs). This study aimed to investigate the feasibility, safety, and efficacy of computed tomography (CT)-guided simultaneous MWA combined with PB in the treatment of highly suspected malignant PNs and discuss the influence of the sequential order of MWA and PB on the treatment outcome.</p><p><strong>Methods: </strong>From January 2021 to December 2024, 91 patients with single highly suspected malignant PNs underwent synchronous MWA combined with PB. A total of 56 patients in group A underwent synchronous MWA followed by PB (MWA-first group) and 35 cases in group B underwent synchronous PB followed by MWA (PB-first group). The technical success, pathologically positive diagnosis rate, complications, and efficacy of the two groups were compared.</p><p><strong>Results: </strong>The differences in technical success rate (100% <i>vs.</i> 97.1%) and positive pathologic diagnosis rate (80.4% <i>vs.</i> 88.6%) between group A and group B were not statistically significant (P>0.05). The most common complications included pneumothorax, intrapulmonary hemorrhage, hemoptysis, and pleural effusion. The incidence of intrapulmonary hemorrhage was significantly lower in group A than in group B (19.6% <i>vs.</i> 42.8%, P<0.05). The median follow-up time was 18.0 months, the local control rate was 98.8%, and the complete ablation (CA) rate was 56.6%.</p><p><strong>Conclusions: </strong>Synchronous MWA combined with PB is a safe and effective strategy. MWA followed by PB could reduce the impact of intrapulmonary hemorrhage on ablation outcomes and is an alternative treatment for highly suspected malignant PN.</p>\",\"PeriodicalId\":17542,\"journal\":{\"name\":\"Journal of thoracic disease\",\"volume\":\"17 7\",\"pages\":\"4768-4781\"},\"PeriodicalIF\":1.9000,\"publicationDate\":\"2025-07-31\",\"publicationTypes\":\"Journal Article\",\"fieldsOfStudy\":null,\"isOpenAccess\":false,\"openAccessPdf\":\"https://www.ncbi.nlm.nih.gov/pmc/articles/PMC12340321/pdf/\",\"citationCount\":\"0\",\"resultStr\":null,\"platform\":\"Semanticscholar\",\"paperid\":null,\"PeriodicalName\":\"Journal of thoracic disease\",\"FirstCategoryId\":\"3\",\"ListUrlMain\":\"https://doi.org/10.21037/jtd-2025-105\",\"RegionNum\":3,\"RegionCategory\":\"医学\",\"ArticlePicture\":[],\"TitleCN\":null,\"AbstractTextCN\":null,\"PMCID\":null,\"EPubDate\":\"2025/7/27 0:00:00\",\"PubModel\":\"Epub\",\"JCR\":\"Q3\",\"JCRName\":\"RESPIRATORY SYSTEM\",\"Score\":null,\"Total\":0}","platform":"Semanticscholar","paperid":null,"PeriodicalName":"Journal of thoracic disease","FirstCategoryId":"3","ListUrlMain":"https://doi.org/10.21037/jtd-2025-105","RegionNum":3,"RegionCategory":"医学","ArticlePicture":[],"TitleCN":null,"AbstractTextCN":null,"PMCID":null,"EPubDate":"2025/7/27 0:00:00","PubModel":"Epub","JCR":"Q3","JCRName":"RESPIRATORY SYSTEM","Score":null,"Total":0}
引用次数: 0

摘要

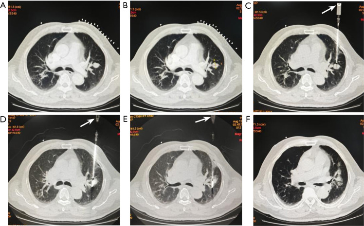
背景:微波消融(MWA)联合经皮穿刺活检(PB)治疗高度疑似恶性肺结节(PNs)的最佳治疗顺序尚缺乏研究。本研究旨在探讨CT引导下MWA联合PB治疗高度疑似恶性PNs的可行性、安全性和有效性,并探讨MWA和PB的先后顺序对治疗结果的影响。方法:自2021年1月至2024年12月,91例单发高度疑似恶性PNs患者行同步MWA联合PB治疗。A组56例行同步MWA + PB (MWA-first组),B组35例行同步PB + MWA (PB-first组)。比较两组手术的技术成功率、病理阳性诊断率、并发症及疗效。结果:A组与B组技术成功率(100% vs. 97.1%)、病理阳性诊断率(80.4% vs. 88.6%)差异无统计学意义(P>0.05)。最常见的并发症包括气胸、肺内出血、咯血和胸腔积液。A组肺内出血发生率明显低于B组(19.6% vs 42.8%)。结论:同步MWA联合PB是一种安全有效的策略。MWA加PB可减少肺内出血对消融结果的影响,是高度疑似恶性PN的一种替代治疗方法。
本文章由计算机程序翻译,如有差异,请以英文原文为准。

Synchronous percutaneous microwave ablation combined with percutaneous biopsy for highly suspected malignant pulmonary nodules: a retrospective study.

Synchronous percutaneous microwave ablation combined with percutaneous biopsy for highly suspected malignant pulmonary nodules: a retrospective study.

Synchronous percutaneous microwave ablation combined with percutaneous biopsy for highly suspected malignant pulmonary nodules: a retrospective study.

Synchronous percutaneous microwave ablation combined with percutaneous biopsy for highly suspected malignant pulmonary nodules: a retrospective study.

Background: There is still a lack of studies on the optimal sequence of treatment for microwave ablation (MWA) combined with percutaneous biopsy (PB) in the treatment of highly suspected malignant pulmonary nodules (PNs). This study aimed to investigate the feasibility, safety, and efficacy of computed tomography (CT)-guided simultaneous MWA combined with PB in the treatment of highly suspected malignant PNs and discuss the influence of the sequential order of MWA and PB on the treatment outcome.

Methods: From January 2021 to December 2024, 91 patients with single highly suspected malignant PNs underwent synchronous MWA combined with PB. A total of 56 patients in group A underwent synchronous MWA followed by PB (MWA-first group) and 35 cases in group B underwent synchronous PB followed by MWA (PB-first group). The technical success, pathologically positive diagnosis rate, complications, and efficacy of the two groups were compared.

Results: The differences in technical success rate (100% vs. 97.1%) and positive pathologic diagnosis rate (80.4% vs. 88.6%) between group A and group B were not statistically significant (P>0.05). The most common complications included pneumothorax, intrapulmonary hemorrhage, hemoptysis, and pleural effusion. The incidence of intrapulmonary hemorrhage was significantly lower in group A than in group B (19.6% vs. 42.8%, P<0.05). The median follow-up time was 18.0 months, the local control rate was 98.8%, and the complete ablation (CA) rate was 56.6%.

Conclusions: Synchronous MWA combined with PB is a safe and effective strategy. MWA followed by PB could reduce the impact of intrapulmonary hemorrhage on ablation outcomes and is an alternative treatment for highly suspected malignant PN.

求助全文
通过发布文献求助,成功后即可免费获取论文全文。 去求助
来源期刊
Journal of thoracic disease
Journal of thoracic disease RESPIRATORY SYSTEM-
CiteScore
4.60
自引率
4.00%
发文量
254
期刊介绍: The Journal of Thoracic Disease (JTD, J Thorac Dis, pISSN: 2072-1439; eISSN: 2077-6624) was founded in Dec 2009, and indexed in PubMed in Dec 2011 and Science Citation Index SCI in Feb 2013. It is published quarterly (Dec 2009- Dec 2011), bimonthly (Jan 2012 - Dec 2013), monthly (Jan. 2014-) and openly distributed worldwide. JTD received its impact factor of 2.365 for the year 2016. JTD publishes manuscripts that describe new findings and provide current, practical information on the diagnosis and treatment of conditions related to thoracic disease. All the submission and reviewing are conducted electronically so that rapid review is assured.
×
引用
GB/T 7714-2015
复制
MLA
复制
APA
复制
导出至
BibTeX EndNote RefMan NoteFirst NoteExpress
×
提示
您的信息不完整,为了账户安全,请先补充。
现在去补充
×
提示
您因"违规操作"
具体请查看互助需知
我知道了
×
提示
确定
请完成安全验证×
copy
已复制链接
快去分享给好友吧!
我知道了
右上角分享
点击右上角分享
0
联系我们:info@booksci.cn Book学术提供免费学术资源搜索服务,方便国内外学者检索中英文文献。致力于提供最便捷和优质的服务体验。 Copyright © 2023 布克学术 All rights reserved.
京ICP备2023020795号-1
ghs 京公网安备 11010802042870号
Book学术文献互助
Book学术文献互助群
群 号:604180095
Book学术官方微信