反复立体定向放射治疗高级别脑膜瘤。

IF 3.1 2区 医学 Q2 CLINICAL NEUROLOGY
Journal of Neuro-Oncology Pub Date : 2025-11-01 Epub Date: 2025-08-13 DOI:10.1007/s11060-025-05165-z
Tzu-Chiang Peng, Ming-Hsuan Hsieh, Chun-Fu Lin, Ai Seon Kuan, Cheng-Chia Lee, Hsiu-Mei Wu, I-Chun Lai, Huai-Che Yang
{"title":"反复立体定向放射治疗高级别脑膜瘤。","authors":"Tzu-Chiang Peng, Ming-Hsuan Hsieh, Chun-Fu Lin, Ai Seon Kuan, Cheng-Chia Lee, Hsiu-Mei Wu, I-Chun Lai, Huai-Che Yang","doi":"10.1007/s11060-025-05165-z","DOIUrl":null,"url":null,"abstract":"<p><strong>Background and objectives: </strong>Atypical and anaplastic meningioma (World Health organization [WHO] Grades II and III) present therapeutic challenges due to their aggressive behavior and high risk of recurrence. This study addressed the lack of data related to the effectiveness and safety of repeated stereotactic radiosurgery (SRS) in managing high-grade recurrent or residual meningioma.</p><p><strong>Methods: </strong>This study analyzed data extracted from the medical records of 112 patients (mean age of 57.9 years) who underwent SRS for recurrent or residual high-grade meningioma between January 2002 and December 2022. The data included clinicodemographic profiles, treatment parameters, and imaging phenotypes. The average follow-up duration was 41.7 months (range 12-160.7 months).</p><p><strong>Results: </strong>There was slight preponderance of females in the cohort (65:47). All patients had undergone craniotomy and histopathologic confirmation of atypical or anaplastic meningioma. Gross tumor resection was achieved in 35 cases. Atypical meningioma accounted for the vast majority of cases (105; 93.8%) with only 7 cases of anaplastic meningioma (6.2%). At a median follow-up of 41.7 months after SRS, tumor control was achieved in 29.5% of cases. Kaplan-Meier analysis indicated overall actuarial progression free survival rates of 79.5%, 43.8% and 30.4% at 1, 3 and 5 years after radiosurgery, respectively. In cases involving repeated SRS, these rates were 97.6%, 69% and 45.2%, respectively. Male sex, older age, anaplastic phenotype, subtotal resection, and larger tumor volume were significantly predictive of tumor growth after treatment. Adverse radiation effects were observed in 33.8% of patients who underwent repeated SRS. Most of those patients were asymptomatic and only five patients required a temporary course of steroid therapy.</p><p><strong>Conclusions: </strong>Our data suggest that SRS is a relatively safe and effective treatment option for recurrent or residual high-grade meningioma, with an acceptable complication profile, even when performed repeatedly. Anaplastic tumor phenotype, subtotal resection, and larger tumor volume were factors associated with tumor growth, warranting close clinical surveillance after radiosurgery.</p>","PeriodicalId":16425,"journal":{"name":"Journal of Neuro-Oncology","volume":" ","pages":"687-695"},"PeriodicalIF":3.1000,"publicationDate":"2025-11-01","publicationTypes":"Journal Article","fieldsOfStudy":null,"isOpenAccess":false,"openAccessPdf":"https://www.ncbi.nlm.nih.gov/pmc/articles/PMC12420693/pdf/","citationCount":"0","resultStr":"{\"title\":\"Repeated stereotactic radiosurgery for high grade meningioma.\",\"authors\":\"Tzu-Chiang Peng, Ming-Hsuan Hsieh, Chun-Fu Lin, Ai Seon Kuan, Cheng-Chia Lee, Hsiu-Mei Wu, I-Chun Lai, Huai-Che Yang\",\"doi\":\"10.1007/s11060-025-05165-z\",\"DOIUrl\":null,\"url\":null,\"abstract\":\"<p><strong>Background and objectives: </strong>Atypical and anaplastic meningioma (World Health organization [WHO] Grades II and III) present therapeutic challenges due to their aggressive behavior and high risk of recurrence. This study addressed the lack of data related to the effectiveness and safety of repeated stereotactic radiosurgery (SRS) in managing high-grade recurrent or residual meningioma.</p><p><strong>Methods: </strong>This study analyzed data extracted from the medical records of 112 patients (mean age of 57.9 years) who underwent SRS for recurrent or residual high-grade meningioma between January 2002 and December 2022. The data included clinicodemographic profiles, treatment parameters, and imaging phenotypes. The average follow-up duration was 41.7 months (range 12-160.7 months).</p><p><strong>Results: </strong>There was slight preponderance of females in the cohort (65:47). All patients had undergone craniotomy and histopathologic confirmation of atypical or anaplastic meningioma. Gross tumor resection was achieved in 35 cases. Atypical meningioma accounted for the vast majority of cases (105; 93.8%) with only 7 cases of anaplastic meningioma (6.2%). At a median follow-up of 41.7 months after SRS, tumor control was achieved in 29.5% of cases. Kaplan-Meier analysis indicated overall actuarial progression free survival rates of 79.5%, 43.8% and 30.4% at 1, 3 and 5 years after radiosurgery, respectively. In cases involving repeated SRS, these rates were 97.6%, 69% and 45.2%, respectively. Male sex, older age, anaplastic phenotype, subtotal resection, and larger tumor volume were significantly predictive of tumor growth after treatment. Adverse radiation effects were observed in 33.8% of patients who underwent repeated SRS. Most of those patients were asymptomatic and only five patients required a temporary course of steroid therapy.</p><p><strong>Conclusions: </strong>Our data suggest that SRS is a relatively safe and effective treatment option for recurrent or residual high-grade meningioma, with an acceptable complication profile, even when performed repeatedly. Anaplastic tumor phenotype, subtotal resection, and larger tumor volume were factors associated with tumor growth, warranting close clinical surveillance after radiosurgery.</p>\",\"PeriodicalId\":16425,\"journal\":{\"name\":\"Journal of Neuro-Oncology\",\"volume\":\" \",\"pages\":\"687-695\"},\"PeriodicalIF\":3.1000,\"publicationDate\":\"2025-11-01\",\"publicationTypes\":\"Journal Article\",\"fieldsOfStudy\":null,\"isOpenAccess\":false,\"openAccessPdf\":\"https://www.ncbi.nlm.nih.gov/pmc/articles/PMC12420693/pdf/\",\"citationCount\":\"0\",\"resultStr\":null,\"platform\":\"Semanticscholar\",\"paperid\":null,\"PeriodicalName\":\"Journal of Neuro-Oncology\",\"FirstCategoryId\":\"3\",\"ListUrlMain\":\"https://doi.org/10.1007/s11060-025-05165-z\",\"RegionNum\":2,\"RegionCategory\":\"医学\",\"ArticlePicture\":[],\"TitleCN\":null,\"AbstractTextCN\":null,\"PMCID\":null,\"EPubDate\":\"2025/8/13 0:00:00\",\"PubModel\":\"Epub\",\"JCR\":\"Q2\",\"JCRName\":\"CLINICAL NEUROLOGY\",\"Score\":null,\"Total\":0}","platform":"Semanticscholar","paperid":null,"PeriodicalName":"Journal of Neuro-Oncology","FirstCategoryId":"3","ListUrlMain":"https://doi.org/10.1007/s11060-025-05165-z","RegionNum":2,"RegionCategory":"医学","ArticlePicture":[],"TitleCN":null,"AbstractTextCN":null,"PMCID":null,"EPubDate":"2025/8/13 0:00:00","PubModel":"Epub","JCR":"Q2","JCRName":"CLINICAL NEUROLOGY","Score":null,"Total":0}
引用次数: 0

摘要

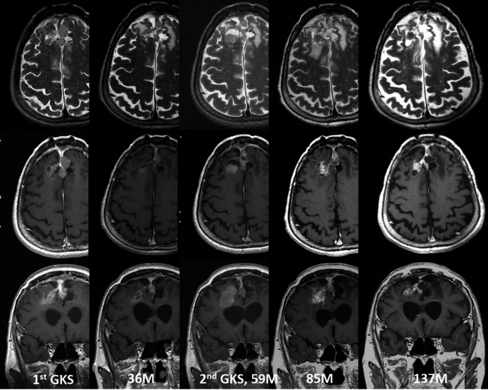
背景和目的:非典型和间变性脑膜瘤(世界卫生组织分级II级和III级)由于其侵袭性行为和高复发风险而给治疗带来挑战。本研究解决了反复立体定向放射手术(SRS)治疗高级别复发或残留脑膜瘤的有效性和安全性相关数据的缺乏。方法:本研究分析了2002年1月至2022年12月期间因复发或残留的高级别脑膜瘤行SRS手术的112例患者(平均年龄57.9岁)的病历资料。数据包括临床人口学概况、治疗参数和影像学表型。平均随访时间为41.7个月(12-160.7个月)。结果:女性在队列中有轻微优势(65:47)。所有患者均行开颅手术并经组织病理学证实为不典型或间变性脑膜瘤。35例全部切除肿瘤。非典型脑膜瘤占绝大多数病例(105例;93.8%),间变性脑膜瘤仅7例(6.2%)。在SRS后的中位随访41.7个月,29.5%的病例实现了肿瘤控制。Kaplan-Meier分析显示放射术后1年、3年和5年的总体无进展生存率分别为79.5%、43.8%和30.4%。在重复SRS的病例中,这一比例分别为97.6%、69%和45.2%。男性、年龄较大、间变性表型、次全切除和肿瘤体积较大是治疗后肿瘤生长的显著预测因素。33.8%的重复SRS患者观察到不良辐射效应。大多数患者无症状,只有5名患者需要暂时的类固醇治疗。结论:我们的数据表明,SRS对于复发或残留的高级别脑膜瘤是一种相对安全有效的治疗选择,即使重复进行,其并发症也可以接受。间变性肿瘤表型、次全切除和较大的肿瘤体积是肿瘤生长的相关因素,放疗后需要密切的临床监测。
本文章由计算机程序翻译,如有差异,请以英文原文为准。

Repeated stereotactic radiosurgery for high grade meningioma.

Repeated stereotactic radiosurgery for high grade meningioma.

Repeated stereotactic radiosurgery for high grade meningioma.

Repeated stereotactic radiosurgery for high grade meningioma.

Background and objectives: Atypical and anaplastic meningioma (World Health organization [WHO] Grades II and III) present therapeutic challenges due to their aggressive behavior and high risk of recurrence. This study addressed the lack of data related to the effectiveness and safety of repeated stereotactic radiosurgery (SRS) in managing high-grade recurrent or residual meningioma.

Methods: This study analyzed data extracted from the medical records of 112 patients (mean age of 57.9 years) who underwent SRS for recurrent or residual high-grade meningioma between January 2002 and December 2022. The data included clinicodemographic profiles, treatment parameters, and imaging phenotypes. The average follow-up duration was 41.7 months (range 12-160.7 months).

Results: There was slight preponderance of females in the cohort (65:47). All patients had undergone craniotomy and histopathologic confirmation of atypical or anaplastic meningioma. Gross tumor resection was achieved in 35 cases. Atypical meningioma accounted for the vast majority of cases (105; 93.8%) with only 7 cases of anaplastic meningioma (6.2%). At a median follow-up of 41.7 months after SRS, tumor control was achieved in 29.5% of cases. Kaplan-Meier analysis indicated overall actuarial progression free survival rates of 79.5%, 43.8% and 30.4% at 1, 3 and 5 years after radiosurgery, respectively. In cases involving repeated SRS, these rates were 97.6%, 69% and 45.2%, respectively. Male sex, older age, anaplastic phenotype, subtotal resection, and larger tumor volume were significantly predictive of tumor growth after treatment. Adverse radiation effects were observed in 33.8% of patients who underwent repeated SRS. Most of those patients were asymptomatic and only five patients required a temporary course of steroid therapy.

Conclusions: Our data suggest that SRS is a relatively safe and effective treatment option for recurrent or residual high-grade meningioma, with an acceptable complication profile, even when performed repeatedly. Anaplastic tumor phenotype, subtotal resection, and larger tumor volume were factors associated with tumor growth, warranting close clinical surveillance after radiosurgery.

求助全文
通过发布文献求助,成功后即可免费获取论文全文。 去求助
来源期刊
Journal of Neuro-Oncology
Journal of Neuro-Oncology 医学-临床神经学
CiteScore
6.60
自引率
7.70%
发文量
277
审稿时长
3.3 months
期刊介绍: The Journal of Neuro-Oncology is a multi-disciplinary journal encompassing basic, applied, and clinical investigations in all research areas as they relate to cancer and the central nervous system. It provides a single forum for communication among neurologists, neurosurgeons, radiotherapists, medical oncologists, neuropathologists, neurodiagnosticians, and laboratory-based oncologists conducting relevant research. The Journal of Neuro-Oncology does not seek to isolate the field, but rather to focus the efforts of many disciplines in one publication through a format which pulls together these diverse interests. More than any other field of oncology, cancer of the central nervous system requires multi-disciplinary approaches. To alleviate having to scan dozens of journals of cell biology, pathology, laboratory and clinical endeavours, JNO is a periodical in which current, high-quality, relevant research in all aspects of neuro-oncology may be found.
×
引用
GB/T 7714-2015
复制
MLA
复制
APA
复制
导出至
BibTeX EndNote RefMan NoteFirst NoteExpress
×
提示
您的信息不完整,为了账户安全,请先补充。
现在去补充
×
提示
您因"违规操作"
具体请查看互助需知
我知道了
×
提示
确定
请完成安全验证×
copy
已复制链接
快去分享给好友吧!
我知道了
右上角分享
点击右上角分享
0
联系我们:info@booksci.cn Book学术提供免费学术资源搜索服务,方便国内外学者检索中英文文献。致力于提供最便捷和优质的服务体验。 Copyright © 2023 布克学术 All rights reserved.
京ICP备2023020795号-1
ghs 京公网安备 11010802042870号
Book学术文献互助
Book学术文献互助群
群 号:604180095
Book学术官方微信