15月龄儿童嗜酸性食管炎并发食管狭窄1例。

IF 0.5 Q4 PEDIATRICS
Case Reports in Pediatrics Pub Date : 2025-08-05 eCollection Date: 2025-01-01 DOI:10.1155/crpe/6685350
Jennifer S Hong, Samra Blanchard, Anupama Kewalramani, Elaine Leonard Puppa, William Twaddell, Nidhi Rawal
{"title":"15月龄儿童嗜酸性食管炎并发食管狭窄1例。","authors":"Jennifer S Hong, Samra Blanchard, Anupama Kewalramani, Elaine Leonard Puppa, William Twaddell, Nidhi Rawal","doi":"10.1155/crpe/6685350","DOIUrl":null,"url":null,"abstract":"<p><p>Eosinophilic esophagitis (EoE) is a chronic, immune-mediated disorder characterized by dysphagia, food impactions, and esophageal eosinophilia, which can lead to fibrosis and the formation of strictures. While fibrostenotic complications are relatively rare in children, studies have shown that up to 86% of adults with EoE experience dysphagia and esophageal narrowing, compared to only 6% in children. Furthermore, the incidence of stricture formation in children remains low, with reported rates of approximately 3.4%. The youngest child previously documented with this complication was 3 years old. Risk factors for fibrostenosis in EoE include older age, prolonged disease duration, and increased symptom frequency. This represents the youngest known presentation of such a case and suggests that fibrostenosis may be a distinct phenotype of the disease, rather than merely a progression from the inflammatory form. This case underscores the importance of early and thorough evaluation of EoE, given the potential for early stricture development.</p>","PeriodicalId":9623,"journal":{"name":"Case Reports in Pediatrics","volume":"2025 ","pages":"6685350"},"PeriodicalIF":0.5000,"publicationDate":"2025-08-05","publicationTypes":"Journal Article","fieldsOfStudy":null,"isOpenAccess":false,"openAccessPdf":"https://www.ncbi.nlm.nih.gov/pmc/articles/PMC12343159/pdf/","citationCount":"0","resultStr":"{\"title\":\"Eosinophilic Esophagitis Complicated by an Esophageal Stricture in a 15-Month-Old Child.\",\"authors\":\"Jennifer S Hong, Samra Blanchard, Anupama Kewalramani, Elaine Leonard Puppa, William Twaddell, Nidhi Rawal\",\"doi\":\"10.1155/crpe/6685350\",\"DOIUrl\":null,\"url\":null,\"abstract\":\"<p><p>Eosinophilic esophagitis (EoE) is a chronic, immune-mediated disorder characterized by dysphagia, food impactions, and esophageal eosinophilia, which can lead to fibrosis and the formation of strictures. While fibrostenotic complications are relatively rare in children, studies have shown that up to 86% of adults with EoE experience dysphagia and esophageal narrowing, compared to only 6% in children. Furthermore, the incidence of stricture formation in children remains low, with reported rates of approximately 3.4%. The youngest child previously documented with this complication was 3 years old. Risk factors for fibrostenosis in EoE include older age, prolonged disease duration, and increased symptom frequency. This represents the youngest known presentation of such a case and suggests that fibrostenosis may be a distinct phenotype of the disease, rather than merely a progression from the inflammatory form. This case underscores the importance of early and thorough evaluation of EoE, given the potential for early stricture development.</p>\",\"PeriodicalId\":9623,\"journal\":{\"name\":\"Case Reports in Pediatrics\",\"volume\":\"2025 \",\"pages\":\"6685350\"},\"PeriodicalIF\":0.5000,\"publicationDate\":\"2025-08-05\",\"publicationTypes\":\"Journal Article\",\"fieldsOfStudy\":null,\"isOpenAccess\":false,\"openAccessPdf\":\"https://www.ncbi.nlm.nih.gov/pmc/articles/PMC12343159/pdf/\",\"citationCount\":\"0\",\"resultStr\":null,\"platform\":\"Semanticscholar\",\"paperid\":null,\"PeriodicalName\":\"Case Reports in Pediatrics\",\"FirstCategoryId\":\"1085\",\"ListUrlMain\":\"https://doi.org/10.1155/crpe/6685350\",\"RegionNum\":0,\"RegionCategory\":null,\"ArticlePicture\":[],\"TitleCN\":null,\"AbstractTextCN\":null,\"PMCID\":null,\"EPubDate\":\"2025/1/1 0:00:00\",\"PubModel\":\"eCollection\",\"JCR\":\"Q4\",\"JCRName\":\"PEDIATRICS\",\"Score\":null,\"Total\":0}","platform":"Semanticscholar","paperid":null,"PeriodicalName":"Case Reports in Pediatrics","FirstCategoryId":"1085","ListUrlMain":"https://doi.org/10.1155/crpe/6685350","RegionNum":0,"RegionCategory":null,"ArticlePicture":[],"TitleCN":null,"AbstractTextCN":null,"PMCID":null,"EPubDate":"2025/1/1 0:00:00","PubModel":"eCollection","JCR":"Q4","JCRName":"PEDIATRICS","Score":null,"Total":0}
引用次数: 0

摘要

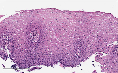
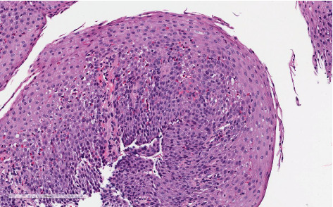
嗜酸性粒细胞性食管炎(EoE)是一种慢性免疫介导的疾病,以吞咽困难、食物嵌堵和食管嗜酸性粒细胞增多为特征,可导致纤维化和狭窄的形成。虽然纤维狭窄并发症在儿童中相对罕见,但研究表明,高达86%的成人EoE患者出现吞咽困难和食管狭窄,而儿童只有6%。此外,儿童狭窄形成的发生率仍然很低,报道的发生率约为3.4%。先前记录的患有这种并发症的最小的孩子是3岁。EoE患者纤维狭窄的危险因素包括年龄较大、病程延长和症状频率增加。这是已知的此类病例中最年轻的一例,表明纤维狭窄可能是该疾病的一种独特表型,而不仅仅是炎症形式的进展。考虑到早期狭窄发展的可能性,该病例强调了早期和彻底评估EoE的重要性。
本文章由计算机程序翻译,如有差异,请以英文原文为准。

Eosinophilic Esophagitis Complicated by an Esophageal Stricture in a 15-Month-Old Child.

Eosinophilic Esophagitis Complicated by an Esophageal Stricture in a 15-Month-Old Child.

Eosinophilic Esophagitis Complicated by an Esophageal Stricture in a 15-Month-Old Child.

Eosinophilic Esophagitis Complicated by an Esophageal Stricture in a 15-Month-Old Child.

Eosinophilic esophagitis (EoE) is a chronic, immune-mediated disorder characterized by dysphagia, food impactions, and esophageal eosinophilia, which can lead to fibrosis and the formation of strictures. While fibrostenotic complications are relatively rare in children, studies have shown that up to 86% of adults with EoE experience dysphagia and esophageal narrowing, compared to only 6% in children. Furthermore, the incidence of stricture formation in children remains low, with reported rates of approximately 3.4%. The youngest child previously documented with this complication was 3 years old. Risk factors for fibrostenosis in EoE include older age, prolonged disease duration, and increased symptom frequency. This represents the youngest known presentation of such a case and suggests that fibrostenosis may be a distinct phenotype of the disease, rather than merely a progression from the inflammatory form. This case underscores the importance of early and thorough evaluation of EoE, given the potential for early stricture development.

求助全文
通过发布文献求助,成功后即可免费获取论文全文。 去求助
来源期刊
自引率
11.10%
发文量
48
审稿时长
13 weeks
×
引用
GB/T 7714-2015
复制
MLA
复制
APA
复制
导出至
BibTeX EndNote RefMan NoteFirst NoteExpress
×
提示
您的信息不完整,为了账户安全,请先补充。
现在去补充
×
提示
您因"违规操作"
具体请查看互助需知
我知道了
×
提示
确定
请完成安全验证×
copy
已复制链接
快去分享给好友吧!
我知道了
右上角分享
点击右上角分享
0
联系我们:info@booksci.cn Book学术提供免费学术资源搜索服务,方便国内外学者检索中英文文献。致力于提供最便捷和优质的服务体验。 Copyright © 2023 布克学术 All rights reserved.
京ICP备2023020795号-1
ghs 京公网安备 11010802042870号
Book学术文献互助
Book学术文献互助群
群 号:604180095
Book学术官方微信