可变蛋白酶敏感性朊病毒病:致病性朊病毒蛋白的质谱分析提供了一个新的视角。

IF 5.7 2区 医学 Q1 NEUROSCIENCES
S K Nemani, X Xiao, S Notari, I Cali, K Lundberg, L Cracco, B S Appleby, W K Surewicz, V L Sim, P Gambetti
{"title":"可变蛋白酶敏感性朊病毒病:致病性朊病毒蛋白的质谱分析提供了一个新的视角。","authors":"S K Nemani, X Xiao, S Notari, I Cali, K Lundberg, L Cracco, B S Appleby, W K Surewicz, V L Sim, P Gambetti","doi":"10.1186/s40478-025-02079-9","DOIUrl":null,"url":null,"abstract":"<p><p>Variably protease-sensitive prionopathy (VPSPr) is a rare and complex prion disease that differs from sporadic Creutzfeldt-Jakob disease (sCJD) in its clinical and histopathological phenotypes. VPSPr also features a variety of fragments generated by the disease-causing prion protein (PrP<sup>D</sup>). However, accurately determining the number and sequence of these fragments has been challenging when relying solely on epitope mapping with existing antibodies. To address these challenges, we performed mass spectrometry analyses and designed epitope mapping experiments to determine the primary structure and verify the presence or absence of the anchor in the VPSPr proteinase K-resistant and deglycosylated PrP<sup>D</sup> fragments. All three N-terminus fragments, with reported molecular weights of 20, 17, and 7 kDa, likely share Ser97 as the N-terminal amino acid. The C-terminus of the internal 7 kDa fragment is ragged, extending from Phe141 to Met154, while the 20 kDa and 17 kDa fragments differ only in the absence of the anchor in the latter. The three fragments belonging to the C-terminus group have previously been reported to have electrophoretic mobilities of 18, 12/13, and 8-9 kDa. After deglycosylation, the 18 kDa fragment was not detected. The 12 kDa component of the 12/13 kDa fragment was found to have a ragged N-terminus between Tyr162 and Asp181 and the anchor, while the 8 kDa fragment represented the anchorless version of the 12 kDa fragment. Unexpectedly, a second approximately 8 kDa fragment was identified that bore the anchor but had a shorter, ragged N-terminus ranging from Gly195 to Phe198. Calculation based on sequencing data revealed that the actual molecular masses of the 20, 17, and 12 kDa fragments are 1-2 kDa lighter. Moreover, the primary structures of the 20, 17, and 12 kDa fragments match those of the 19, 17, and 12 kDa fragments associated with sCJD type 2. Our findings provide new insights into the characteristics of the deglycosylated, PK-resistant fragments in VPSPr, which will likely assist in interpreting future high-resolution studies of amyloid fibrils in this disease.</p>","PeriodicalId":6914,"journal":{"name":"Acta Neuropathologica Communications","volume":"13 1","pages":"172"},"PeriodicalIF":5.7000,"publicationDate":"2025-08-12","publicationTypes":"Journal Article","fieldsOfStudy":null,"isOpenAccess":false,"openAccessPdf":"https://www.ncbi.nlm.nih.gov/pmc/articles/PMC12345132/pdf/","citationCount":"0","resultStr":"{\"title\":\"Variably protease-sensitive prionopathy: mass spectrometry analysis of the pathogenic prion protein provides a new perspective.\",\"authors\":\"S K Nemani, X Xiao, S Notari, I Cali, K Lundberg, L Cracco, B S Appleby, W K Surewicz, V L Sim, P Gambetti\",\"doi\":\"10.1186/s40478-025-02079-9\",\"DOIUrl\":null,\"url\":null,\"abstract\":\"<p><p>Variably protease-sensitive prionopathy (VPSPr) is a rare and complex prion disease that differs from sporadic Creutzfeldt-Jakob disease (sCJD) in its clinical and histopathological phenotypes. VPSPr also features a variety of fragments generated by the disease-causing prion protein (PrP<sup>D</sup>). However, accurately determining the number and sequence of these fragments has been challenging when relying solely on epitope mapping with existing antibodies. To address these challenges, we performed mass spectrometry analyses and designed epitope mapping experiments to determine the primary structure and verify the presence or absence of the anchor in the VPSPr proteinase K-resistant and deglycosylated PrP<sup>D</sup> fragments. All three N-terminus fragments, with reported molecular weights of 20, 17, and 7 kDa, likely share Ser97 as the N-terminal amino acid. The C-terminus of the internal 7 kDa fragment is ragged, extending from Phe141 to Met154, while the 20 kDa and 17 kDa fragments differ only in the absence of the anchor in the latter. The three fragments belonging to the C-terminus group have previously been reported to have electrophoretic mobilities of 18, 12/13, and 8-9 kDa. After deglycosylation, the 18 kDa fragment was not detected. The 12 kDa component of the 12/13 kDa fragment was found to have a ragged N-terminus between Tyr162 and Asp181 and the anchor, while the 8 kDa fragment represented the anchorless version of the 12 kDa fragment. Unexpectedly, a second approximately 8 kDa fragment was identified that bore the anchor but had a shorter, ragged N-terminus ranging from Gly195 to Phe198. Calculation based on sequencing data revealed that the actual molecular masses of the 20, 17, and 12 kDa fragments are 1-2 kDa lighter. Moreover, the primary structures of the 20, 17, and 12 kDa fragments match those of the 19, 17, and 12 kDa fragments associated with sCJD type 2. Our findings provide new insights into the characteristics of the deglycosylated, PK-resistant fragments in VPSPr, which will likely assist in interpreting future high-resolution studies of amyloid fibrils in this disease.</p>\",\"PeriodicalId\":6914,\"journal\":{\"name\":\"Acta Neuropathologica Communications\",\"volume\":\"13 1\",\"pages\":\"172\"},\"PeriodicalIF\":5.7000,\"publicationDate\":\"2025-08-12\",\"publicationTypes\":\"Journal Article\",\"fieldsOfStudy\":null,\"isOpenAccess\":false,\"openAccessPdf\":\"https://www.ncbi.nlm.nih.gov/pmc/articles/PMC12345132/pdf/\",\"citationCount\":\"0\",\"resultStr\":null,\"platform\":\"Semanticscholar\",\"paperid\":null,\"PeriodicalName\":\"Acta Neuropathologica Communications\",\"FirstCategoryId\":\"3\",\"ListUrlMain\":\"https://doi.org/10.1186/s40478-025-02079-9\",\"RegionNum\":2,\"RegionCategory\":\"医学\",\"ArticlePicture\":[],\"TitleCN\":null,\"AbstractTextCN\":null,\"PMCID\":null,\"EPubDate\":\"\",\"PubModel\":\"\",\"JCR\":\"Q1\",\"JCRName\":\"NEUROSCIENCES\",\"Score\":null,\"Total\":0}","platform":"Semanticscholar","paperid":null,"PeriodicalName":"Acta Neuropathologica Communications","FirstCategoryId":"3","ListUrlMain":"https://doi.org/10.1186/s40478-025-02079-9","RegionNum":2,"RegionCategory":"医学","ArticlePicture":[],"TitleCN":null,"AbstractTextCN":null,"PMCID":null,"EPubDate":"","PubModel":"","JCR":"Q1","JCRName":"NEUROSCIENCES","Score":null,"Total":0}
引用次数: 0

摘要

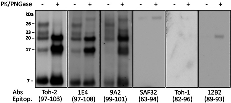
可变蛋白酶敏感朊病(VPSPr)是一种罕见而复杂的朊病毒疾病,其临床和组织病理学表型不同于散发性克雅氏病(sCJD)。VPSPr还具有由致病朊病毒蛋白(PrPD)产生的多种片段。然而,当仅依靠现有抗体的表位定位时,准确确定这些片段的数量和序列一直具有挑战性。为了解决这些挑战,我们进行了质谱分析并设计了表位定位实验,以确定VPSPr蛋白酶k抗性和去糖基化PrPD片段的初级结构并验证锚点的存在或缺失。这三个n端片段的分子量分别为20kda、17kda和7kda,它们可能共享Ser97作为n端氨基酸。内部7 kDa片段的c端是粗糙的,从Phe141延伸到Met154,而20 kDa和17 kDa片段的不同之处在于后者没有锚点。属于c端组的三个片段先前已被报道具有18、12/13和8-9 kDa的电泳迁移率。去糖基化后,没有检测到18kda片段。12/13 kDa片段的12 kDa片段在Tyr162和Asp181与锚位点之间有一个不规则的n端,而8 kDa片段代表了12 kDa片段的无锚位点版本。出乎意料的是,第二个大约8 kDa的片段被鉴定出具有锚位点,但具有较短,粗糙的n端,范围从Gly195到Phe198。根据测序数据计算,20kda、17kda和12kda片段的实际分子质量要轻1-2 kDa。此外,20、17和12 kDa片段的主要结构与与2型sCJD相关的19、17和12 kDa片段的主要结构相匹配。我们的发现为VPSPr中去糖基化的pk抗性片段的特征提供了新的见解,这可能有助于解释该疾病中淀粉样蛋白原纤维的未来高分辨率研究。
本文章由计算机程序翻译,如有差异,请以英文原文为准。

Variably protease-sensitive prionopathy: mass spectrometry analysis of the pathogenic prion protein provides a new perspective.

Variably protease-sensitive prionopathy: mass spectrometry analysis of the pathogenic prion protein provides a new perspective.

Variably protease-sensitive prionopathy: mass spectrometry analysis of the pathogenic prion protein provides a new perspective.

Variably protease-sensitive prionopathy: mass spectrometry analysis of the pathogenic prion protein provides a new perspective.

Variably protease-sensitive prionopathy (VPSPr) is a rare and complex prion disease that differs from sporadic Creutzfeldt-Jakob disease (sCJD) in its clinical and histopathological phenotypes. VPSPr also features a variety of fragments generated by the disease-causing prion protein (PrPD). However, accurately determining the number and sequence of these fragments has been challenging when relying solely on epitope mapping with existing antibodies. To address these challenges, we performed mass spectrometry analyses and designed epitope mapping experiments to determine the primary structure and verify the presence or absence of the anchor in the VPSPr proteinase K-resistant and deglycosylated PrPD fragments. All three N-terminus fragments, with reported molecular weights of 20, 17, and 7 kDa, likely share Ser97 as the N-terminal amino acid. The C-terminus of the internal 7 kDa fragment is ragged, extending from Phe141 to Met154, while the 20 kDa and 17 kDa fragments differ only in the absence of the anchor in the latter. The three fragments belonging to the C-terminus group have previously been reported to have electrophoretic mobilities of 18, 12/13, and 8-9 kDa. After deglycosylation, the 18 kDa fragment was not detected. The 12 kDa component of the 12/13 kDa fragment was found to have a ragged N-terminus between Tyr162 and Asp181 and the anchor, while the 8 kDa fragment represented the anchorless version of the 12 kDa fragment. Unexpectedly, a second approximately 8 kDa fragment was identified that bore the anchor but had a shorter, ragged N-terminus ranging from Gly195 to Phe198. Calculation based on sequencing data revealed that the actual molecular masses of the 20, 17, and 12 kDa fragments are 1-2 kDa lighter. Moreover, the primary structures of the 20, 17, and 12 kDa fragments match those of the 19, 17, and 12 kDa fragments associated with sCJD type 2. Our findings provide new insights into the characteristics of the deglycosylated, PK-resistant fragments in VPSPr, which will likely assist in interpreting future high-resolution studies of amyloid fibrils in this disease.

求助全文
通过发布文献求助,成功后即可免费获取论文全文。 去求助
来源期刊
Acta Neuropathologica Communications
Acta Neuropathologica Communications Medicine-Pathology and Forensic Medicine
CiteScore
11.20
自引率
2.80%
发文量
162
审稿时长
8 weeks
期刊介绍: "Acta Neuropathologica Communications (ANC)" is a peer-reviewed journal that specializes in the rapid publication of research articles focused on the mechanisms underlying neurological diseases. The journal emphasizes the use of molecular, cellular, and morphological techniques applied to experimental or human tissues to investigate the pathogenesis of neurological disorders. ANC is committed to a fast-track publication process, aiming to publish accepted manuscripts within two months of submission. This expedited timeline is designed to ensure that the latest findings in neuroscience and pathology are disseminated quickly to the scientific community, fostering rapid advancements in the field of neurology and neuroscience. The journal's focus on cutting-edge research and its swift publication schedule make it a valuable resource for researchers, clinicians, and other professionals interested in the study and treatment of neurological conditions.
×
引用
GB/T 7714-2015
复制
MLA
复制
APA
复制
导出至
BibTeX EndNote RefMan NoteFirst NoteExpress
×
提示
您的信息不完整,为了账户安全,请先补充。
现在去补充
×
提示
您因"违规操作"
具体请查看互助需知
我知道了
×
提示
确定
请完成安全验证×
copy
已复制链接
快去分享给好友吧!
我知道了
右上角分享
点击右上角分享
0
联系我们:info@booksci.cn Book学术提供免费学术资源搜索服务,方便国内外学者检索中英文文献。致力于提供最便捷和优质的服务体验。 Copyright © 2023 布克学术 All rights reserved.
京ICP备2023020795号-1
ghs 京公网安备 11010802042870号
Book学术文献互助
Book学术文献互助群
群 号:604180095
Book学术官方微信