经皮复位t型带针复位和重建钉固定治疗同侧股骨颈和股骨骨干骨折。

IF 1.9 Q2 ORTHOPEDICS
Wei Wang, Zhao Guo, Lixin Yang, Yuhao Qiao, Jichao Guo, Jianning Liu, Sheng Li, Zhiyong Li
{"title":"经皮复位t型带针复位和重建钉固定治疗同侧股骨颈和股骨骨干骨折。","authors":"Wei Wang, Zhao Guo, Lixin Yang, Yuhao Qiao, Jichao Guo, Jianning Liu, Sheng Li, Zhiyong Li","doi":"10.52312/jdrs.2025.2200","DOIUrl":null,"url":null,"abstract":"<p><strong>Objectives: </strong>This study aims to investigate the efficacy and safety of a reconstruction nail combined with a percutaneous reductor-T tape pin for treating ipsilateral femoral neck and shaft fractures.</p><p><strong>Patients and methods: </strong>Between January 2013 and December 2021, a total of 25 adult patients (19 males, 6 females, mean age: 32.8±10.9 years; range, 19 to 57 years) who sustained concurrent ipsilateral femoral neck and shaft fractures were included. The patients underwent internal fixation using a reconstruction nail with the assistance of a reductor-T tape pin, employing percutaneous techniques. The operation time, reduction time, fluoroscopy time, blood loss, preoperative and postoperative Visual Analog Scale (VAS) scores, fracture union time, Harris scores of the healthy and affected sides after fracture union, complications and lower limb functional outcomes two years post-surgery were recorded.</p><p><strong>Results: </strong>All patients underwent successful surgery with the assistance of the reductor-T tape pin using percutaneous techniques without the need for open reduction. The mean operation time from skin incision to wound closure was 80.0±15.0 (range, 55 to 105) min. The mean fracture reduction time was 22.0±4.0 (range, 15 to 28) min. The mean fluoroscopy time was 16.0±3.8 (range, 9 to 25) sec. The mean blood loss was 335.0±142.0 (range, 150 to 550) mL. The postoperative VAS score of the affected limb was significantly lower than the preoperative score (p<0.01). The mean healing time of femoral neck fractures was 4.0±0.3 (range: 3.2 to 4.8) months. The mean healing time of femoral shaft fractures was 4.8±0.9 (range, 4.1 to 7.5) months. All patients were followed for over two years. No cases of delayed healing of femoral neck fractures or femoral head necrosis were observed. However, delayed union of femoral shaft fractures occurred in three patients. There was no statistically significant difference in Harris scores between the affected and healthy sides at the time of fracture healing (p>0.05).</p><p><strong>Conclusion: </strong>The use of a reconstruction nail assisted by the percutaneous reductor-T tape pin demonstrated successful reduction of ipsilateral femoral neck and shaft fractures, with favorable postoperative functional outcomes. The reductor-T tape pin facilitates the reduction of femoral neck fractures and provides a safe environment for the reduction and fixation of femoral shaft fractures.</p>","PeriodicalId":73560,"journal":{"name":"Joint diseases and related surgery","volume":"36 3","pages":"489-500"},"PeriodicalIF":1.9000,"publicationDate":"2025-07-21","publicationTypes":"Journal Article","fieldsOfStudy":null,"isOpenAccess":false,"openAccessPdf":"https://www.ncbi.nlm.nih.gov/pmc/articles/PMC12456336/pdf/","citationCount":"0","resultStr":"{\"title\":\"Percutaneous joystick reduction with reductor-T tape pin and fixation with a reconstruction nail for the treatment of ipsilateral femoral neck and shaft fractures.\",\"authors\":\"Wei Wang, Zhao Guo, Lixin Yang, Yuhao Qiao, Jichao Guo, Jianning Liu, Sheng Li, Zhiyong Li\",\"doi\":\"10.52312/jdrs.2025.2200\",\"DOIUrl\":null,\"url\":null,\"abstract\":\"<p><strong>Objectives: </strong>This study aims to investigate the efficacy and safety of a reconstruction nail combined with a percutaneous reductor-T tape pin for treating ipsilateral femoral neck and shaft fractures.</p><p><strong>Patients and methods: </strong>Between January 2013 and December 2021, a total of 25 adult patients (19 males, 6 females, mean age: 32.8±10.9 years; range, 19 to 57 years) who sustained concurrent ipsilateral femoral neck and shaft fractures were included. The patients underwent internal fixation using a reconstruction nail with the assistance of a reductor-T tape pin, employing percutaneous techniques. The operation time, reduction time, fluoroscopy time, blood loss, preoperative and postoperative Visual Analog Scale (VAS) scores, fracture union time, Harris scores of the healthy and affected sides after fracture union, complications and lower limb functional outcomes two years post-surgery were recorded.</p><p><strong>Results: </strong>All patients underwent successful surgery with the assistance of the reductor-T tape pin using percutaneous techniques without the need for open reduction. The mean operation time from skin incision to wound closure was 80.0±15.0 (range, 55 to 105) min. The mean fracture reduction time was 22.0±4.0 (range, 15 to 28) min. The mean fluoroscopy time was 16.0±3.8 (range, 9 to 25) sec. The mean blood loss was 335.0±142.0 (range, 150 to 550) mL. The postoperative VAS score of the affected limb was significantly lower than the preoperative score (p<0.01). The mean healing time of femoral neck fractures was 4.0±0.3 (range: 3.2 to 4.8) months. The mean healing time of femoral shaft fractures was 4.8±0.9 (range, 4.1 to 7.5) months. All patients were followed for over two years. No cases of delayed healing of femoral neck fractures or femoral head necrosis were observed. However, delayed union of femoral shaft fractures occurred in three patients. There was no statistically significant difference in Harris scores between the affected and healthy sides at the time of fracture healing (p>0.05).</p><p><strong>Conclusion: </strong>The use of a reconstruction nail assisted by the percutaneous reductor-T tape pin demonstrated successful reduction of ipsilateral femoral neck and shaft fractures, with favorable postoperative functional outcomes. The reductor-T tape pin facilitates the reduction of femoral neck fractures and provides a safe environment for the reduction and fixation of femoral shaft fractures.</p>\",\"PeriodicalId\":73560,\"journal\":{\"name\":\"Joint diseases and related surgery\",\"volume\":\"36 3\",\"pages\":\"489-500\"},\"PeriodicalIF\":1.9000,\"publicationDate\":\"2025-07-21\",\"publicationTypes\":\"Journal Article\",\"fieldsOfStudy\":null,\"isOpenAccess\":false,\"openAccessPdf\":\"https://www.ncbi.nlm.nih.gov/pmc/articles/PMC12456336/pdf/\",\"citationCount\":\"0\",\"resultStr\":null,\"platform\":\"Semanticscholar\",\"paperid\":null,\"PeriodicalName\":\"Joint diseases and related surgery\",\"FirstCategoryId\":\"1085\",\"ListUrlMain\":\"https://doi.org/10.52312/jdrs.2025.2200\",\"RegionNum\":0,\"RegionCategory\":null,\"ArticlePicture\":[],\"TitleCN\":null,\"AbstractTextCN\":null,\"PMCID\":null,\"EPubDate\":\"\",\"PubModel\":\"\",\"JCR\":\"Q2\",\"JCRName\":\"ORTHOPEDICS\",\"Score\":null,\"Total\":0}","platform":"Semanticscholar","paperid":null,"PeriodicalName":"Joint diseases and related surgery","FirstCategoryId":"1085","ListUrlMain":"https://doi.org/10.52312/jdrs.2025.2200","RegionNum":0,"RegionCategory":null,"ArticlePicture":[],"TitleCN":null,"AbstractTextCN":null,"PMCID":null,"EPubDate":"","PubModel":"","JCR":"Q2","JCRName":"ORTHOPEDICS","Score":null,"Total":0}
引用次数: 0

摘要

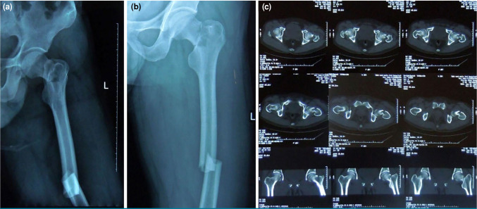
目的:本研究旨在探讨重建钉联合经皮还原- t带针治疗同侧股骨颈和股骨骨干骨折的疗效和安全性。患者与方法:2013年1月至2021年12月,共25例成人患者(男19例,女6例,平均年龄32.8±10.9岁;范围为19至57岁),包括同时发生同侧股骨颈和股骨骨干骨折的患者。患者采用经皮技术,在还原器- t带针的帮助下使用重建钉进行内固定。记录手术时间、复位时间、透视时间、出血量、术前术后视觉模拟评分(VAS)评分、骨折愈合时间、骨折愈合后健侧和患侧Harris评分、术后2年并发症及下肢功能情况。结果:所有患者均在经皮复位t带针的辅助下成功完成手术,无需切开复位。从皮肤切口到伤口愈合的平均手术时间为80.0±15.0(范围,55 ~ 105)min。平均骨折复位时间为22.0±4.0(范围,15 ~ 28)min。平均透视时间为16.0±3.8(范围,9 ~ 25)sec。平均出血量为335.0±142.0(范围,150 ~ 550)mL。术后患肢VAS评分明显低于术前评分(p0.05)。结论:采用经皮复位- t带针辅助重建钉成功复位同侧股骨颈和股骨骨干骨折,术后功能预后良好。还原器- t型带销有利于股骨颈骨折复位,为股骨干骨折复位固定提供安全环境。
本文章由计算机程序翻译,如有差异,请以英文原文为准。

Percutaneous joystick reduction with reductor-T tape pin and fixation with a reconstruction nail for the treatment of ipsilateral femoral neck and shaft fractures.

Percutaneous joystick reduction with reductor-T tape pin and fixation with a reconstruction nail for the treatment of ipsilateral femoral neck and shaft fractures.

Percutaneous joystick reduction with reductor-T tape pin and fixation with a reconstruction nail for the treatment of ipsilateral femoral neck and shaft fractures.

Percutaneous joystick reduction with reductor-T tape pin and fixation with a reconstruction nail for the treatment of ipsilateral femoral neck and shaft fractures.

Objectives: This study aims to investigate the efficacy and safety of a reconstruction nail combined with a percutaneous reductor-T tape pin for treating ipsilateral femoral neck and shaft fractures.

Patients and methods: Between January 2013 and December 2021, a total of 25 adult patients (19 males, 6 females, mean age: 32.8±10.9 years; range, 19 to 57 years) who sustained concurrent ipsilateral femoral neck and shaft fractures were included. The patients underwent internal fixation using a reconstruction nail with the assistance of a reductor-T tape pin, employing percutaneous techniques. The operation time, reduction time, fluoroscopy time, blood loss, preoperative and postoperative Visual Analog Scale (VAS) scores, fracture union time, Harris scores of the healthy and affected sides after fracture union, complications and lower limb functional outcomes two years post-surgery were recorded.

Results: All patients underwent successful surgery with the assistance of the reductor-T tape pin using percutaneous techniques without the need for open reduction. The mean operation time from skin incision to wound closure was 80.0±15.0 (range, 55 to 105) min. The mean fracture reduction time was 22.0±4.0 (range, 15 to 28) min. The mean fluoroscopy time was 16.0±3.8 (range, 9 to 25) sec. The mean blood loss was 335.0±142.0 (range, 150 to 550) mL. The postoperative VAS score of the affected limb was significantly lower than the preoperative score (p<0.01). The mean healing time of femoral neck fractures was 4.0±0.3 (range: 3.2 to 4.8) months. The mean healing time of femoral shaft fractures was 4.8±0.9 (range, 4.1 to 7.5) months. All patients were followed for over two years. No cases of delayed healing of femoral neck fractures or femoral head necrosis were observed. However, delayed union of femoral shaft fractures occurred in three patients. There was no statistically significant difference in Harris scores between the affected and healthy sides at the time of fracture healing (p>0.05).

Conclusion: The use of a reconstruction nail assisted by the percutaneous reductor-T tape pin demonstrated successful reduction of ipsilateral femoral neck and shaft fractures, with favorable postoperative functional outcomes. The reductor-T tape pin facilitates the reduction of femoral neck fractures and provides a safe environment for the reduction and fixation of femoral shaft fractures.

求助全文
通过发布文献求助,成功后即可免费获取论文全文。 去求助
来源期刊
CiteScore
2.50
自引率
0.00%
发文量
0
×
引用
GB/T 7714-2015
复制
MLA
复制
APA
复制
导出至
BibTeX EndNote RefMan NoteFirst NoteExpress
×
提示
您的信息不完整,为了账户安全,请先补充。
现在去补充
×
提示
您因"违规操作"
具体请查看互助需知
我知道了
×
提示
确定
请完成安全验证×
copy
已复制链接
快去分享给好友吧!
我知道了
右上角分享
点击右上角分享
0
联系我们:info@booksci.cn Book学术提供免费学术资源搜索服务,方便国内外学者检索中英文文献。致力于提供最便捷和优质的服务体验。 Copyright © 2023 布克学术 All rights reserved.
京ICP备2023020795号-1
ghs 京公网安备 11010802042870号
Book学术文献互助
Book学术文献互助群
群 号:604180095
Book学术官方微信