鹰嘴骨内神经鞘瘤1例。

IF 1.9 Q2 ORTHOPEDICS
Ömer Faruk Naldöven, Nevzat Arıcan, Şahan Güven, Servet Güreşci, Şahin Çepni
{"title":"鹰嘴骨内神经鞘瘤1例。","authors":"Ömer Faruk Naldöven, Nevzat Arıcan, Şahan Güven, Servet Güreşci, Şahin Çepni","doi":"10.52312/jdrs.2025.2125","DOIUrl":null,"url":null,"abstract":"<p><p>Intraosseous schwannomas are extremely rare benign tumors originating from Schwann cells of the peripheral nervous system. While these tumors are commonly found in the mandible and sacrum, their occurrence in long bones, particularly the ulna, is uncommon. A 59-year-old female patient was admitted with a two-year history of pain and swelling in her right elbow. Radiographic imaging revealed a lytic lesion with cortical expansion and thinning in the proximal ulna metaphysis, while magnetic resonance imaging showed a lesion with irregular borders extending into the joint via cortical erosion. Differential diagnoses included a simple bone cyst, enchondroma, giant cell tumor, and metastasis. Surgical procedure involved curettage and bone grafting, and the lesion was diagnosed histologically as an intraosseous schwannoma. Immunohistochemical staining showed positive expression of SOX10 and S100, confirming the diagnosis. Postoperative recovery was uneventful, and the patient regained a full range of motion without pain at her six-month follow-up. In conclusion, this case underscores the importance of considering intraosseous schwannoma in the differential diagnosis of benign bone lesions, particularly in rare locations such as the ulna. Histopathological examination remains essential for an accurate diagnosis.</p>","PeriodicalId":73560,"journal":{"name":"Joint diseases and related surgery","volume":"36 3","pages":"772-777"},"PeriodicalIF":1.9000,"publicationDate":"2025-07-25","publicationTypes":"Journal Article","fieldsOfStudy":null,"isOpenAccess":false,"openAccessPdf":"https://www.ncbi.nlm.nih.gov/pmc/articles/PMC12456367/pdf/","citationCount":"0","resultStr":"{\"title\":\"Intraosseous schwannoma of the olecranon: A case report.\",\"authors\":\"Ömer Faruk Naldöven, Nevzat Arıcan, Şahan Güven, Servet Güreşci, Şahin Çepni\",\"doi\":\"10.52312/jdrs.2025.2125\",\"DOIUrl\":null,\"url\":null,\"abstract\":\"<p><p>Intraosseous schwannomas are extremely rare benign tumors originating from Schwann cells of the peripheral nervous system. While these tumors are commonly found in the mandible and sacrum, their occurrence in long bones, particularly the ulna, is uncommon. A 59-year-old female patient was admitted with a two-year history of pain and swelling in her right elbow. Radiographic imaging revealed a lytic lesion with cortical expansion and thinning in the proximal ulna metaphysis, while magnetic resonance imaging showed a lesion with irregular borders extending into the joint via cortical erosion. Differential diagnoses included a simple bone cyst, enchondroma, giant cell tumor, and metastasis. Surgical procedure involved curettage and bone grafting, and the lesion was diagnosed histologically as an intraosseous schwannoma. Immunohistochemical staining showed positive expression of SOX10 and S100, confirming the diagnosis. Postoperative recovery was uneventful, and the patient regained a full range of motion without pain at her six-month follow-up. In conclusion, this case underscores the importance of considering intraosseous schwannoma in the differential diagnosis of benign bone lesions, particularly in rare locations such as the ulna. Histopathological examination remains essential for an accurate diagnosis.</p>\",\"PeriodicalId\":73560,\"journal\":{\"name\":\"Joint diseases and related surgery\",\"volume\":\"36 3\",\"pages\":\"772-777\"},\"PeriodicalIF\":1.9000,\"publicationDate\":\"2025-07-25\",\"publicationTypes\":\"Journal Article\",\"fieldsOfStudy\":null,\"isOpenAccess\":false,\"openAccessPdf\":\"https://www.ncbi.nlm.nih.gov/pmc/articles/PMC12456367/pdf/\",\"citationCount\":\"0\",\"resultStr\":null,\"platform\":\"Semanticscholar\",\"paperid\":null,\"PeriodicalName\":\"Joint diseases and related surgery\",\"FirstCategoryId\":\"1085\",\"ListUrlMain\":\"https://doi.org/10.52312/jdrs.2025.2125\",\"RegionNum\":0,\"RegionCategory\":null,\"ArticlePicture\":[],\"TitleCN\":null,\"AbstractTextCN\":null,\"PMCID\":null,\"EPubDate\":\"\",\"PubModel\":\"\",\"JCR\":\"Q2\",\"JCRName\":\"ORTHOPEDICS\",\"Score\":null,\"Total\":0}","platform":"Semanticscholar","paperid":null,"PeriodicalName":"Joint diseases and related surgery","FirstCategoryId":"1085","ListUrlMain":"https://doi.org/10.52312/jdrs.2025.2125","RegionNum":0,"RegionCategory":null,"ArticlePicture":[],"TitleCN":null,"AbstractTextCN":null,"PMCID":null,"EPubDate":"","PubModel":"","JCR":"Q2","JCRName":"ORTHOPEDICS","Score":null,"Total":0}
引用次数: 0

摘要

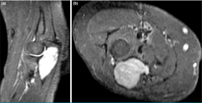
骨内神经鞘瘤是一种极为罕见的良性肿瘤,起源于周围神经系统的雪旺细胞。虽然这些肿瘤常见于下颌骨和骶骨,但它们发生在长骨,特别是尺骨,是罕见的。59岁女性患者因右肘疼痛和肿胀两年入院。x线影像学显示尺骨近端干骺端皮质扩张和变薄的溶解性病变,而磁共振成像显示不规则边界病变通过皮质侵蚀延伸到关节。鉴别诊断包括单纯性骨囊肿、内生纤维瘤、巨细胞瘤和转移。手术包括刮除和植骨,病理诊断为骨内神经鞘瘤。免疫组化染色显示SOX10和S100阳性表达,证实诊断。术后恢复顺利,患者在6个月的随访中恢复了全活动能力,无疼痛。总之,这个病例强调了在良性骨病变鉴别诊断中考虑骨内神经鞘瘤的重要性,特别是在罕见的部位,如尺骨。组织病理学检查仍然是准确诊断的必要条件。
本文章由计算机程序翻译,如有差异,请以英文原文为准。

Intraosseous schwannoma of the olecranon: A case report.

Intraosseous schwannoma of the olecranon: A case report.

Intraosseous schwannoma of the olecranon: A case report.

Intraosseous schwannoma of the olecranon: A case report.

Intraosseous schwannomas are extremely rare benign tumors originating from Schwann cells of the peripheral nervous system. While these tumors are commonly found in the mandible and sacrum, their occurrence in long bones, particularly the ulna, is uncommon. A 59-year-old female patient was admitted with a two-year history of pain and swelling in her right elbow. Radiographic imaging revealed a lytic lesion with cortical expansion and thinning in the proximal ulna metaphysis, while magnetic resonance imaging showed a lesion with irregular borders extending into the joint via cortical erosion. Differential diagnoses included a simple bone cyst, enchondroma, giant cell tumor, and metastasis. Surgical procedure involved curettage and bone grafting, and the lesion was diagnosed histologically as an intraosseous schwannoma. Immunohistochemical staining showed positive expression of SOX10 and S100, confirming the diagnosis. Postoperative recovery was uneventful, and the patient regained a full range of motion without pain at her six-month follow-up. In conclusion, this case underscores the importance of considering intraosseous schwannoma in the differential diagnosis of benign bone lesions, particularly in rare locations such as the ulna. Histopathological examination remains essential for an accurate diagnosis.

求助全文
通过发布文献求助,成功后即可免费获取论文全文。 去求助
来源期刊
CiteScore
2.50
自引率
0.00%
发文量
0
×
引用
GB/T 7714-2015
复制
MLA
复制
APA
复制
导出至
BibTeX EndNote RefMan NoteFirst NoteExpress
×
提示
您的信息不完整,为了账户安全,请先补充。
现在去补充
×
提示
您因"违规操作"
具体请查看互助需知
我知道了
×
提示
确定
请完成安全验证×
copy
已复制链接
快去分享给好友吧!
我知道了
右上角分享
点击右上角分享
0
联系我们:info@booksci.cn Book学术提供免费学术资源搜索服务,方便国内外学者检索中英文文献。致力于提供最便捷和优质的服务体验。 Copyright © 2023 布克学术 All rights reserved.
京ICP备2023020795号-1
ghs 京公网安备 11010802042870号
Book学术文献互助
Book学术文献互助群
群 号:604180095
Book学术官方微信