病理性骨折对良性和良性侵袭性下肢骨肿瘤患者运动恐惧症和焦虑的影响。

IF 1.9 Q2 ORTHOPEDICS
İbrahim Kaya, Mustafa Çeltik, Semih Yaş, Samet Batuhan Yoğurt, Buğra Türkoğlu, Şefik Murat Arıkan
{"title":"病理性骨折对良性和良性侵袭性下肢骨肿瘤患者运动恐惧症和焦虑的影响。","authors":"İbrahim Kaya, Mustafa Çeltik, Semih Yaş, Samet Batuhan Yoğurt, Buğra Türkoğlu, Şefik Murat Arıkan","doi":"10.52312/jdrs.2025.2223","DOIUrl":null,"url":null,"abstract":"<p><strong>Objectives: </strong>This study aims to evaluate kinesiophobia and anxiety levels in patients with benign and benign-aggressive bone tumors located in the lower extremities.</p><p><strong>Patients and methods: </strong>Between January 2022 and June 2024, a total of 54 patients (23 males, 31 females; mean age: 35.2±14.5 years; range, 15 to 67 years) who underwent surgery for benign and benign-aggressive bone tumors in the lower extremities were retrospectively analyzed. Of the patients, 16 developed pathological fractures and 38 did not. Kinesiophobia was assessed using the Tampa Kinesiophobia Scale (TKS), and anxiety levels were measured using the State-Trait Anxiety Inventory (STAI-I and STAI-II).</p><p><strong>Results: </strong>Pathological fractures occurred in 29.6% of cases. The most common tumor types were enchondroma (44.4%), giant cell tumor (18.5%), and aneurysmal bone cyst (11.2%). Patients with pathological fractures had significantly higher TKS, STAI-I, and STAI-II scores than those without fractures (p<0.001, p=0.034, and p<0.001, respectively).</p><p><strong>Conclusion: </strong>In benign and benign-aggressive musculoskeletal lesions of the lower extremity, implementing prophylactic surgical intervention by predicting fracture risk reduces patients' levels of kinesiophobia and anxiety. Preventing pathological fractures in weight-bearing long bones allows for early mobilization, prevents fracture-related complications, and helps to preserve psychological well-being.</p>","PeriodicalId":73560,"journal":{"name":"Joint diseases and related surgery","volume":"36 3","pages":"596-603"},"PeriodicalIF":1.9000,"publicationDate":"2025-07-21","publicationTypes":"Journal Article","fieldsOfStudy":null,"isOpenAccess":false,"openAccessPdf":"https://www.ncbi.nlm.nih.gov/pmc/articles/PMC12456338/pdf/","citationCount":"0","resultStr":"{\"title\":\"Impact of pathological fractures on kinesiophobia and anxiety in patients with benign and benign-aggressive lower extremity bone tumors.\",\"authors\":\"İbrahim Kaya, Mustafa Çeltik, Semih Yaş, Samet Batuhan Yoğurt, Buğra Türkoğlu, Şefik Murat Arıkan\",\"doi\":\"10.52312/jdrs.2025.2223\",\"DOIUrl\":null,\"url\":null,\"abstract\":\"<p><strong>Objectives: </strong>This study aims to evaluate kinesiophobia and anxiety levels in patients with benign and benign-aggressive bone tumors located in the lower extremities.</p><p><strong>Patients and methods: </strong>Between January 2022 and June 2024, a total of 54 patients (23 males, 31 females; mean age: 35.2±14.5 years; range, 15 to 67 years) who underwent surgery for benign and benign-aggressive bone tumors in the lower extremities were retrospectively analyzed. Of the patients, 16 developed pathological fractures and 38 did not. Kinesiophobia was assessed using the Tampa Kinesiophobia Scale (TKS), and anxiety levels were measured using the State-Trait Anxiety Inventory (STAI-I and STAI-II).</p><p><strong>Results: </strong>Pathological fractures occurred in 29.6% of cases. The most common tumor types were enchondroma (44.4%), giant cell tumor (18.5%), and aneurysmal bone cyst (11.2%). Patients with pathological fractures had significantly higher TKS, STAI-I, and STAI-II scores than those without fractures (p<0.001, p=0.034, and p<0.001, respectively).</p><p><strong>Conclusion: </strong>In benign and benign-aggressive musculoskeletal lesions of the lower extremity, implementing prophylactic surgical intervention by predicting fracture risk reduces patients' levels of kinesiophobia and anxiety. Preventing pathological fractures in weight-bearing long bones allows for early mobilization, prevents fracture-related complications, and helps to preserve psychological well-being.</p>\",\"PeriodicalId\":73560,\"journal\":{\"name\":\"Joint diseases and related surgery\",\"volume\":\"36 3\",\"pages\":\"596-603\"},\"PeriodicalIF\":1.9000,\"publicationDate\":\"2025-07-21\",\"publicationTypes\":\"Journal Article\",\"fieldsOfStudy\":null,\"isOpenAccess\":false,\"openAccessPdf\":\"https://www.ncbi.nlm.nih.gov/pmc/articles/PMC12456338/pdf/\",\"citationCount\":\"0\",\"resultStr\":null,\"platform\":\"Semanticscholar\",\"paperid\":null,\"PeriodicalName\":\"Joint diseases and related surgery\",\"FirstCategoryId\":\"1085\",\"ListUrlMain\":\"https://doi.org/10.52312/jdrs.2025.2223\",\"RegionNum\":0,\"RegionCategory\":null,\"ArticlePicture\":[],\"TitleCN\":null,\"AbstractTextCN\":null,\"PMCID\":null,\"EPubDate\":\"\",\"PubModel\":\"\",\"JCR\":\"Q2\",\"JCRName\":\"ORTHOPEDICS\",\"Score\":null,\"Total\":0}","platform":"Semanticscholar","paperid":null,"PeriodicalName":"Joint diseases and related surgery","FirstCategoryId":"1085","ListUrlMain":"https://doi.org/10.52312/jdrs.2025.2223","RegionNum":0,"RegionCategory":null,"ArticlePicture":[],"TitleCN":null,"AbstractTextCN":null,"PMCID":null,"EPubDate":"","PubModel":"","JCR":"Q2","JCRName":"ORTHOPEDICS","Score":null,"Total":0}
引用次数: 0

摘要

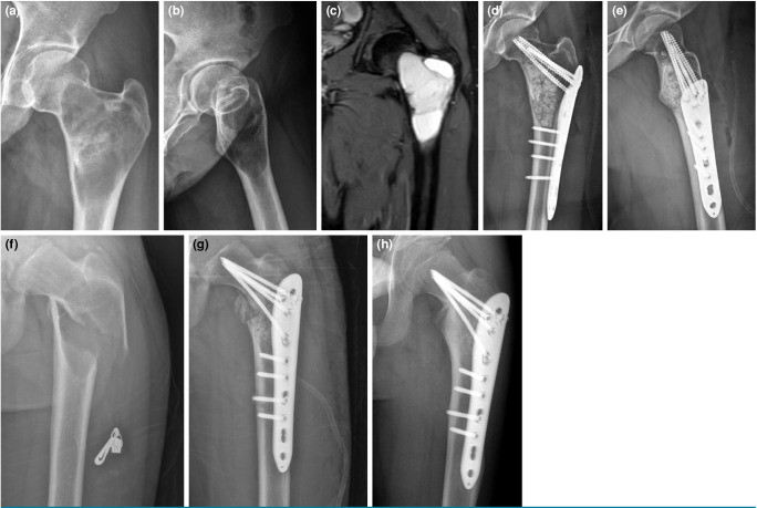
目的:本研究旨在评估下肢良性和良性侵袭性骨肿瘤患者的运动恐惧症和焦虑水平。患者与方法:2022年1月~ 2024年6月,共54例患者(男23例,女31例;平均年龄:35.2±14.5岁;回顾性分析了15至67岁的下肢良性和良性侵袭性骨肿瘤手术患者。16例发生病理性骨折,38例未发生。使用坦帕运动恐惧症量表(TKS)评估运动恐惧症,使用状态-特质焦虑量表(stai - 1和stai - 2)测量焦虑水平。结果:病理性骨折发生率为29.6%。最常见的肿瘤类型为内生纤维瘤(44.4%)、巨细胞瘤(18.5%)和动脉瘤性骨囊肿(11.2%)。病理性骨折患者的TKS、STAI-I和STAI-II评分明显高于无骨折患者(p结论:在下肢良性和良性侵袭性肌肉骨骼病变中,通过预测骨折风险实施预防性手术干预可降低患者的运动恐惧症和焦虑水平。预防病理性骨折在承重长骨允许早期活动,防止骨折相关并发症,并有助于保持心理健康。
本文章由计算机程序翻译,如有差异,请以英文原文为准。

Impact of pathological fractures on kinesiophobia and anxiety in patients with benign and benign-aggressive lower extremity bone tumors.

Impact of pathological fractures on kinesiophobia and anxiety in patients with benign and benign-aggressive lower extremity bone tumors.

Impact of pathological fractures on kinesiophobia and anxiety in patients with benign and benign-aggressive lower extremity bone tumors.

Impact of pathological fractures on kinesiophobia and anxiety in patients with benign and benign-aggressive lower extremity bone tumors.

Objectives: This study aims to evaluate kinesiophobia and anxiety levels in patients with benign and benign-aggressive bone tumors located in the lower extremities.

Patients and methods: Between January 2022 and June 2024, a total of 54 patients (23 males, 31 females; mean age: 35.2±14.5 years; range, 15 to 67 years) who underwent surgery for benign and benign-aggressive bone tumors in the lower extremities were retrospectively analyzed. Of the patients, 16 developed pathological fractures and 38 did not. Kinesiophobia was assessed using the Tampa Kinesiophobia Scale (TKS), and anxiety levels were measured using the State-Trait Anxiety Inventory (STAI-I and STAI-II).

Results: Pathological fractures occurred in 29.6% of cases. The most common tumor types were enchondroma (44.4%), giant cell tumor (18.5%), and aneurysmal bone cyst (11.2%). Patients with pathological fractures had significantly higher TKS, STAI-I, and STAI-II scores than those without fractures (p<0.001, p=0.034, and p<0.001, respectively).

Conclusion: In benign and benign-aggressive musculoskeletal lesions of the lower extremity, implementing prophylactic surgical intervention by predicting fracture risk reduces patients' levels of kinesiophobia and anxiety. Preventing pathological fractures in weight-bearing long bones allows for early mobilization, prevents fracture-related complications, and helps to preserve psychological well-being.

求助全文
通过发布文献求助,成功后即可免费获取论文全文。 去求助
来源期刊
CiteScore
2.50
自引率
0.00%
发文量
0
×
引用
GB/T 7714-2015
复制
MLA
复制
APA
复制
导出至
BibTeX EndNote RefMan NoteFirst NoteExpress
×
提示
您的信息不完整,为了账户安全,请先补充。
现在去补充
×
提示
您因"违规操作"
具体请查看互助需知
我知道了
×
提示
确定
请完成安全验证×
copy
已复制链接
快去分享给好友吧!
我知道了
右上角分享
点击右上角分享
0
联系我们:info@booksci.cn Book学术提供免费学术资源搜索服务,方便国内外学者检索中英文文献。致力于提供最便捷和优质的服务体验。 Copyright © 2023 布克学术 All rights reserved.
京ICP备2023020795号-1
ghs 京公网安备 11010802042870号
Book学术文献互助
Book学术文献互助群
群 号:604180095
Book学术官方微信