偏心髓内钉治疗股骨干骨延迟愈合的疗效评价。

IF 1.9 Q2 ORTHOPEDICS
Ozgur Erdogan, Emre Kaya, Mert Maraşlı, Levent Adiyeke, Hakan Serhat Yanik, İsmail Emre Ketenci, Serkan Tuna
{"title":"偏心髓内钉治疗股骨干骨延迟愈合的疗效评价。","authors":"Ozgur Erdogan, Emre Kaya, Mert Maraşlı, Levent Adiyeke, Hakan Serhat Yanik, İsmail Emre Ketenci, Serkan Tuna","doi":"10.52312/jdrs.2025.2256","DOIUrl":null,"url":null,"abstract":"<p><strong>Objectives: </strong>In this study, we aimed to investigate whether there was a relationship between deformity at the fracture line/eccentric placement of the nail, and union time (UT) in isthmal diaphyseal femoral fractures treated with intramedullary nails.</p><p><strong>Patients and methods: </strong>Between September 2017 and December 2020, a total of 61 patients (38 males, 23 females; median age: 47 years; range, 23 to 62 years) with closed femoral shaft fractures who underwent antegrade nailing were retrospectively analyzed. The following parameters were examined: (i) amount of angulation in the fracture line (AFL), (ii) varus/valgus of the fracture line (VAFL), (iii) amount of deviation of the distal tip of the nail from the femoral notch (DDT), (iv) medial lateral orientation of the distal nail relative to the notch (MLON), (v) number of fracture parts (NFP), and (vi) UT.</p><p><strong>Results: </strong>The causes of injury were high-velocity traffic accidents in 42 patients and falls in 19 patients. The median surgical delay was 4.5 (range, 2 to 8 days). The median follow-up time was 37 (range, 12 to 57) months. There was a moderate, statistically significant and positive correlation between UT and AFL, DDT, and NFP (r=0.486, p<0.001). The difference in UT according to MLON (p=0.002) was statistically significant.</p><p><strong>Conclusion: </strong>Our study results suggest that impaired weight-bearing force and translational force may cause impaired healing. Thus, angulation of the fracture line and eccentric nail placement may delay fracture union. We recommend using bold screws to ensure that there is no deformity in the fracture line and to fully center the nail inside the distal bone.</p>","PeriodicalId":73560,"journal":{"name":"Joint diseases and related surgery","volume":"36 3","pages":"724-731"},"PeriodicalIF":1.9000,"publicationDate":"2025-07-21","publicationTypes":"Journal Article","fieldsOfStudy":null,"isOpenAccess":false,"openAccessPdf":"https://www.ncbi.nlm.nih.gov/pmc/articles/PMC12456364/pdf/","citationCount":"0","resultStr":"{\"title\":\"Evaluation of the effect of eccentric nailing on femoral diaphyseal union delay.\",\"authors\":\"Ozgur Erdogan, Emre Kaya, Mert Maraşlı, Levent Adiyeke, Hakan Serhat Yanik, İsmail Emre Ketenci, Serkan Tuna\",\"doi\":\"10.52312/jdrs.2025.2256\",\"DOIUrl\":null,\"url\":null,\"abstract\":\"<p><strong>Objectives: </strong>In this study, we aimed to investigate whether there was a relationship between deformity at the fracture line/eccentric placement of the nail, and union time (UT) in isthmal diaphyseal femoral fractures treated with intramedullary nails.</p><p><strong>Patients and methods: </strong>Between September 2017 and December 2020, a total of 61 patients (38 males, 23 females; median age: 47 years; range, 23 to 62 years) with closed femoral shaft fractures who underwent antegrade nailing were retrospectively analyzed. The following parameters were examined: (i) amount of angulation in the fracture line (AFL), (ii) varus/valgus of the fracture line (VAFL), (iii) amount of deviation of the distal tip of the nail from the femoral notch (DDT), (iv) medial lateral orientation of the distal nail relative to the notch (MLON), (v) number of fracture parts (NFP), and (vi) UT.</p><p><strong>Results: </strong>The causes of injury were high-velocity traffic accidents in 42 patients and falls in 19 patients. The median surgical delay was 4.5 (range, 2 to 8 days). The median follow-up time was 37 (range, 12 to 57) months. There was a moderate, statistically significant and positive correlation between UT and AFL, DDT, and NFP (r=0.486, p<0.001). The difference in UT according to MLON (p=0.002) was statistically significant.</p><p><strong>Conclusion: </strong>Our study results suggest that impaired weight-bearing force and translational force may cause impaired healing. Thus, angulation of the fracture line and eccentric nail placement may delay fracture union. We recommend using bold screws to ensure that there is no deformity in the fracture line and to fully center the nail inside the distal bone.</p>\",\"PeriodicalId\":73560,\"journal\":{\"name\":\"Joint diseases and related surgery\",\"volume\":\"36 3\",\"pages\":\"724-731\"},\"PeriodicalIF\":1.9000,\"publicationDate\":\"2025-07-21\",\"publicationTypes\":\"Journal Article\",\"fieldsOfStudy\":null,\"isOpenAccess\":false,\"openAccessPdf\":\"https://www.ncbi.nlm.nih.gov/pmc/articles/PMC12456364/pdf/\",\"citationCount\":\"0\",\"resultStr\":null,\"platform\":\"Semanticscholar\",\"paperid\":null,\"PeriodicalName\":\"Joint diseases and related surgery\",\"FirstCategoryId\":\"1085\",\"ListUrlMain\":\"https://doi.org/10.52312/jdrs.2025.2256\",\"RegionNum\":0,\"RegionCategory\":null,\"ArticlePicture\":[],\"TitleCN\":null,\"AbstractTextCN\":null,\"PMCID\":null,\"EPubDate\":\"\",\"PubModel\":\"\",\"JCR\":\"Q2\",\"JCRName\":\"ORTHOPEDICS\",\"Score\":null,\"Total\":0}","platform":"Semanticscholar","paperid":null,"PeriodicalName":"Joint diseases and related surgery","FirstCategoryId":"1085","ListUrlMain":"https://doi.org/10.52312/jdrs.2025.2256","RegionNum":0,"RegionCategory":null,"ArticlePicture":[],"TitleCN":null,"AbstractTextCN":null,"PMCID":null,"EPubDate":"","PubModel":"","JCR":"Q2","JCRName":"ORTHOPEDICS","Score":null,"Total":0}
引用次数: 0

摘要

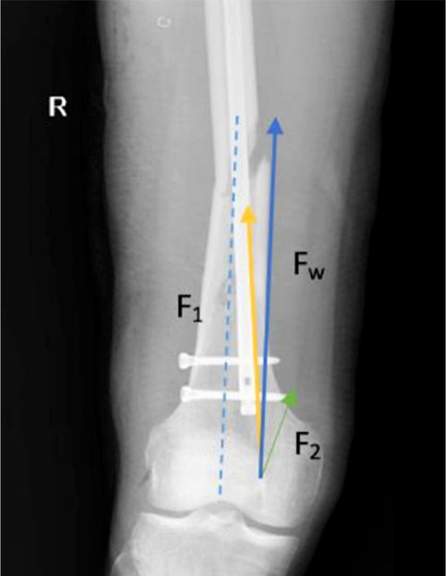
目的:在本研究中,我们旨在探讨髓内钉治疗峡部股骨干骨折的骨折线畸形/偏心钉位与愈合时间(UT)之间是否存在关系。患者与方法:2017年9月至2020年12月,共61例患者(男38例,女23例;中位年龄:47岁;回顾性分析23 ~ 62岁闭合性股骨干骨折行顺行内钉治疗的患者。检查以下参数:(i)骨折线成角量(AFL), (ii)骨折线内翻/外翻(VAFL), (iii)远端钉尖与股沟的偏离量(DDT), (iv)远端钉相对于沟的内侧外侧方向(MLON), (v)骨折部位数量(NFP), (vi) UT。结果:高速交通事故致伤42例,跌倒致伤19例。中位手术延迟时间为4.5天(范围2至8天)。中位随访时间为37个月(12 ~ 57个月)。UT与AFL、DDT、NFP呈中度、有统计学意义的正相关(r=0.486, p)。结论:我们的研究结果提示负重力、平动力受损可能导致愈合受损。因此,骨折线成角和偏心钉位可能会延迟骨折愈合。我们建议使用粗螺钉,以确保骨折线无畸形,并使远端骨内钉完全居中。
本文章由计算机程序翻译,如有差异,请以英文原文为准。

Evaluation of the effect of eccentric nailing on femoral diaphyseal union delay.

Evaluation of the effect of eccentric nailing on femoral diaphyseal union delay.

Evaluation of the effect of eccentric nailing on femoral diaphyseal union delay.

Evaluation of the effect of eccentric nailing on femoral diaphyseal union delay.

Objectives: In this study, we aimed to investigate whether there was a relationship between deformity at the fracture line/eccentric placement of the nail, and union time (UT) in isthmal diaphyseal femoral fractures treated with intramedullary nails.

Patients and methods: Between September 2017 and December 2020, a total of 61 patients (38 males, 23 females; median age: 47 years; range, 23 to 62 years) with closed femoral shaft fractures who underwent antegrade nailing were retrospectively analyzed. The following parameters were examined: (i) amount of angulation in the fracture line (AFL), (ii) varus/valgus of the fracture line (VAFL), (iii) amount of deviation of the distal tip of the nail from the femoral notch (DDT), (iv) medial lateral orientation of the distal nail relative to the notch (MLON), (v) number of fracture parts (NFP), and (vi) UT.

Results: The causes of injury were high-velocity traffic accidents in 42 patients and falls in 19 patients. The median surgical delay was 4.5 (range, 2 to 8 days). The median follow-up time was 37 (range, 12 to 57) months. There was a moderate, statistically significant and positive correlation between UT and AFL, DDT, and NFP (r=0.486, p<0.001). The difference in UT according to MLON (p=0.002) was statistically significant.

Conclusion: Our study results suggest that impaired weight-bearing force and translational force may cause impaired healing. Thus, angulation of the fracture line and eccentric nail placement may delay fracture union. We recommend using bold screws to ensure that there is no deformity in the fracture line and to fully center the nail inside the distal bone.

求助全文
通过发布文献求助,成功后即可免费获取论文全文。 去求助
来源期刊
CiteScore
2.50
自引率
0.00%
发文量
0
×
引用
GB/T 7714-2015
复制
MLA
复制
APA
复制
导出至
BibTeX EndNote RefMan NoteFirst NoteExpress
×
提示
您的信息不完整,为了账户安全,请先补充。
现在去补充
×
提示
您因"违规操作"
具体请查看互助需知
我知道了
×
提示
确定
请完成安全验证×
copy
已复制链接
快去分享给好友吧!
我知道了
右上角分享
点击右上角分享
0
联系我们:info@booksci.cn Book学术提供免费学术资源搜索服务,方便国内外学者检索中英文文献。致力于提供最便捷和优质的服务体验。 Copyright © 2023 布克学术 All rights reserved.
京ICP备2023020795号-1
ghs 京公网安备 11010802042870号
Book学术文献互助
Book学术文献互助群
群 号:604180095
Book学术官方微信