使用特制关节垫片根除假体周围髋关节肠炎沙门氏菌感染:1例报告。

IF 1.9 Q2 ORTHOPEDICS
Kwong Weng Loh, Khairul Anwar Ayob, Azlina Amir Abbas, Veenesh Selvaratnam
{"title":"使用特制关节垫片根除假体周围髋关节肠炎沙门氏菌感染:1例报告。","authors":"Kwong Weng Loh, Khairul Anwar Ayob, Azlina Amir Abbas, Veenesh Selvaratnam","doi":"10.52312/jdrs.2025.2342","DOIUrl":null,"url":null,"abstract":"<p><p>Periprosthetic joint infection (PJI) remains a challenging complication following total hip arthroplasty (THA), commonly managed through a two-stage revision which can lead to significant morbidity. In this article, we present a rare case of Salmonella enteritidis PJI, initially presenting as prosthetic hip dislocation. Preoperative hip aspiration utilizing blood culture bottles enabled early identification of the organism and guided targeted antimicrobial therapy. The patient underwent revision THA using a well-fixed custom-made articulating spacer (CUMARS) construct, with targeted antibiotic-loaded bone cement. One-year follow-up demonstrated successful eradication of the infection, stable implant fixation, and good functional outcomes. In conclusion, this case underscores the importance of diagnostic hip aspiration and highlights the potential of the CUMARS technique as an effective and durable solution for managing rare PJIs caused by atypical organisms such as Salmonella enteritidis.</p>","PeriodicalId":73560,"journal":{"name":"Joint diseases and related surgery","volume":"36 3","pages":"757-762"},"PeriodicalIF":1.9000,"publicationDate":"2025-07-21","publicationTypes":"Journal Article","fieldsOfStudy":null,"isOpenAccess":false,"openAccessPdf":"https://www.ncbi.nlm.nih.gov/pmc/articles/PMC12456347/pdf/","citationCount":"0","resultStr":"{\"title\":\"Eradication of Salmonella enteritidis periprosthetic hip infection using a custom-made articulating spacer: A case report.\",\"authors\":\"Kwong Weng Loh, Khairul Anwar Ayob, Azlina Amir Abbas, Veenesh Selvaratnam\",\"doi\":\"10.52312/jdrs.2025.2342\",\"DOIUrl\":null,\"url\":null,\"abstract\":\"<p><p>Periprosthetic joint infection (PJI) remains a challenging complication following total hip arthroplasty (THA), commonly managed through a two-stage revision which can lead to significant morbidity. In this article, we present a rare case of Salmonella enteritidis PJI, initially presenting as prosthetic hip dislocation. Preoperative hip aspiration utilizing blood culture bottles enabled early identification of the organism and guided targeted antimicrobial therapy. The patient underwent revision THA using a well-fixed custom-made articulating spacer (CUMARS) construct, with targeted antibiotic-loaded bone cement. One-year follow-up demonstrated successful eradication of the infection, stable implant fixation, and good functional outcomes. In conclusion, this case underscores the importance of diagnostic hip aspiration and highlights the potential of the CUMARS technique as an effective and durable solution for managing rare PJIs caused by atypical organisms such as Salmonella enteritidis.</p>\",\"PeriodicalId\":73560,\"journal\":{\"name\":\"Joint diseases and related surgery\",\"volume\":\"36 3\",\"pages\":\"757-762\"},\"PeriodicalIF\":1.9000,\"publicationDate\":\"2025-07-21\",\"publicationTypes\":\"Journal Article\",\"fieldsOfStudy\":null,\"isOpenAccess\":false,\"openAccessPdf\":\"https://www.ncbi.nlm.nih.gov/pmc/articles/PMC12456347/pdf/\",\"citationCount\":\"0\",\"resultStr\":null,\"platform\":\"Semanticscholar\",\"paperid\":null,\"PeriodicalName\":\"Joint diseases and related surgery\",\"FirstCategoryId\":\"1085\",\"ListUrlMain\":\"https://doi.org/10.52312/jdrs.2025.2342\",\"RegionNum\":0,\"RegionCategory\":null,\"ArticlePicture\":[],\"TitleCN\":null,\"AbstractTextCN\":null,\"PMCID\":null,\"EPubDate\":\"\",\"PubModel\":\"\",\"JCR\":\"Q2\",\"JCRName\":\"ORTHOPEDICS\",\"Score\":null,\"Total\":0}","platform":"Semanticscholar","paperid":null,"PeriodicalName":"Joint diseases and related surgery","FirstCategoryId":"1085","ListUrlMain":"https://doi.org/10.52312/jdrs.2025.2342","RegionNum":0,"RegionCategory":null,"ArticlePicture":[],"TitleCN":null,"AbstractTextCN":null,"PMCID":null,"EPubDate":"","PubModel":"","JCR":"Q2","JCRName":"ORTHOPEDICS","Score":null,"Total":0}
引用次数: 0

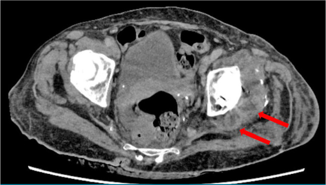
摘要

假体周围关节感染(PJI)仍然是全髋关节置换术(THA)后的一个具有挑战性的并发症,通常通过两阶段翻修来管理,这可能导致显著的发病率。在这篇文章中,我们提出一个罕见的病例肠炎沙门氏菌PJI,最初表现为假体髋关节脱位。术前使用血培养瓶进行髋关节抽吸可以早期识别细菌并指导靶向抗菌治疗。患者使用固定良好的定制关节间隔器(CUMARS)结构进行翻修THA,并使用靶向抗生素骨水泥。一年的随访表明感染成功根除,植入物固定稳定,功能预后良好。总之,该病例强调了诊断髋关节抽吸的重要性,并强调了CUMARS技术作为治疗由肠炎沙门氏菌等非典型生物引起的罕见PJIs的有效和持久解决方案的潜力。
本文章由计算机程序翻译,如有差异,请以英文原文为准。

Eradication of Salmonella enteritidis periprosthetic hip infection using a custom-made articulating spacer: A case report.

Eradication of Salmonella enteritidis periprosthetic hip infection using a custom-made articulating spacer: A case report.

Eradication of Salmonella enteritidis periprosthetic hip infection using a custom-made articulating spacer: A case report.

Eradication of Salmonella enteritidis periprosthetic hip infection using a custom-made articulating spacer: A case report.

Periprosthetic joint infection (PJI) remains a challenging complication following total hip arthroplasty (THA), commonly managed through a two-stage revision which can lead to significant morbidity. In this article, we present a rare case of Salmonella enteritidis PJI, initially presenting as prosthetic hip dislocation. Preoperative hip aspiration utilizing blood culture bottles enabled early identification of the organism and guided targeted antimicrobial therapy. The patient underwent revision THA using a well-fixed custom-made articulating spacer (CUMARS) construct, with targeted antibiotic-loaded bone cement. One-year follow-up demonstrated successful eradication of the infection, stable implant fixation, and good functional outcomes. In conclusion, this case underscores the importance of diagnostic hip aspiration and highlights the potential of the CUMARS technique as an effective and durable solution for managing rare PJIs caused by atypical organisms such as Salmonella enteritidis.

求助全文
通过发布文献求助,成功后即可免费获取论文全文。 去求助
来源期刊
CiteScore
2.50
自引率
0.00%
发文量
0
×
引用
GB/T 7714-2015
复制
MLA
复制
APA
复制
导出至
BibTeX EndNote RefMan NoteFirst NoteExpress
×
提示
您的信息不完整,为了账户安全,请先补充。
现在去补充
×
提示
您因"违规操作"
具体请查看互助需知
我知道了
×
提示
确定
请完成安全验证×
copy
已复制链接
快去分享给好友吧!
我知道了
右上角分享
点击右上角分享
0
联系我们:info@booksci.cn Book学术提供免费学术资源搜索服务,方便国内外学者检索中英文文献。致力于提供最便捷和优质的服务体验。 Copyright © 2023 布克学术 All rights reserved.
京ICP备2023020795号-1
ghs 京公网安备 11010802042870号
Book学术文献互助
Book学术文献互助群
群 号:604180095
Book学术官方微信