异基因干细胞移植成功治疗费城染色体阴性急性淋巴细胞白血病肺切除术后肺毛霉菌病:1例报告和文献复习。

IF 1.2
EJHaem Pub Date : 2025-08-09 eCollection Date: 2025-08-01 DOI:10.1002/jha2.70125
Alexander O'Hara, Sanja Zepcan, Stephanie Tsai, Imran Puthawala, Jorgena Kosti-Schwartz
{"title":"异基因干细胞移植成功治疗费城染色体阴性急性淋巴细胞白血病肺切除术后肺毛霉菌病:1例报告和文献复习。","authors":"Alexander O'Hara, Sanja Zepcan, Stephanie Tsai, Imran Puthawala, Jorgena Kosti-Schwartz","doi":"10.1002/jha2.70125","DOIUrl":null,"url":null,"abstract":"<p><p>The incidence of relapsed Philadelphia chromosome-negative acute lymphoblastic leukemia in adults is estimated to be 40%-50%. Allogeneic stem cell transplantation can improve survival in relapsed acute lymphoblastic leukemia; however, impaired pulmonary function is detrimental for surviving the transplantation process. Here, we present a successful case of allogeneic transplantation for relapsed B-acute lymphoblastic leukemia after total resection of the left lung due to angioinvasive pulmonary mucormycosis. To our knowledge, this is the first successful case of allogeneic transplantation after total pneumonectomy. Specific considerations in this case included careful donor selection, judicious choice of pre-transplantation conditioning regimen, and utilizing novel immunotherapies to ensure major residual disease negativity prior to transplant. It is our hope that this case provides additional guidance to clinicians caring for patients with hematologic malignancies who develop invasive fungal infections and require major lung surgeries.</p>","PeriodicalId":72883,"journal":{"name":"EJHaem","volume":"6 4","pages":"e70125"},"PeriodicalIF":1.2000,"publicationDate":"2025-08-09","publicationTypes":"Journal Article","fieldsOfStudy":null,"isOpenAccess":false,"openAccessPdf":"https://www.ncbi.nlm.nih.gov/pmc/articles/PMC12335202/pdf/","citationCount":"0","resultStr":"{\"title\":\"Successful Allogeneic Stem Cell Transplant for Philadelphia Chromosome Negative Acute Lymphoblastic Leukemia After Pneumonectomy for Pulmonary Mucormycosis: A Case Report and Review of the Literature.\",\"authors\":\"Alexander O'Hara, Sanja Zepcan, Stephanie Tsai, Imran Puthawala, Jorgena Kosti-Schwartz\",\"doi\":\"10.1002/jha2.70125\",\"DOIUrl\":null,\"url\":null,\"abstract\":\"<p><p>The incidence of relapsed Philadelphia chromosome-negative acute lymphoblastic leukemia in adults is estimated to be 40%-50%. Allogeneic stem cell transplantation can improve survival in relapsed acute lymphoblastic leukemia; however, impaired pulmonary function is detrimental for surviving the transplantation process. Here, we present a successful case of allogeneic transplantation for relapsed B-acute lymphoblastic leukemia after total resection of the left lung due to angioinvasive pulmonary mucormycosis. To our knowledge, this is the first successful case of allogeneic transplantation after total pneumonectomy. Specific considerations in this case included careful donor selection, judicious choice of pre-transplantation conditioning regimen, and utilizing novel immunotherapies to ensure major residual disease negativity prior to transplant. It is our hope that this case provides additional guidance to clinicians caring for patients with hematologic malignancies who develop invasive fungal infections and require major lung surgeries.</p>\",\"PeriodicalId\":72883,\"journal\":{\"name\":\"EJHaem\",\"volume\":\"6 4\",\"pages\":\"e70125\"},\"PeriodicalIF\":1.2000,\"publicationDate\":\"2025-08-09\",\"publicationTypes\":\"Journal Article\",\"fieldsOfStudy\":null,\"isOpenAccess\":false,\"openAccessPdf\":\"https://www.ncbi.nlm.nih.gov/pmc/articles/PMC12335202/pdf/\",\"citationCount\":\"0\",\"resultStr\":null,\"platform\":\"Semanticscholar\",\"paperid\":null,\"PeriodicalName\":\"EJHaem\",\"FirstCategoryId\":\"1085\",\"ListUrlMain\":\"https://doi.org/10.1002/jha2.70125\",\"RegionNum\":0,\"RegionCategory\":null,\"ArticlePicture\":[],\"TitleCN\":null,\"AbstractTextCN\":null,\"PMCID\":null,\"EPubDate\":\"2025/8/1 0:00:00\",\"PubModel\":\"eCollection\",\"JCR\":\"\",\"JCRName\":\"\",\"Score\":null,\"Total\":0}","platform":"Semanticscholar","paperid":null,"PeriodicalName":"EJHaem","FirstCategoryId":"1085","ListUrlMain":"https://doi.org/10.1002/jha2.70125","RegionNum":0,"RegionCategory":null,"ArticlePicture":[],"TitleCN":null,"AbstractTextCN":null,"PMCID":null,"EPubDate":"2025/8/1 0:00:00","PubModel":"eCollection","JCR":"","JCRName":"","Score":null,"Total":0}
引用次数: 0

摘要

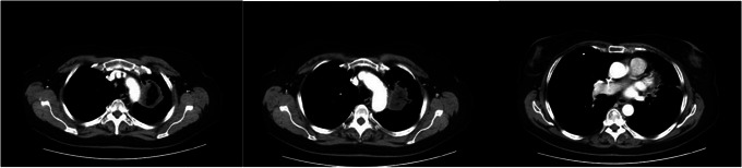
成人费城染色体阴性急性淋巴细胞白血病复发的发生率估计为40%-50%。异基因干细胞移植可提高复发性急性淋巴细胞白血病患者的生存率然而,肺功能受损对移植过程的存活是不利的。在此,我们报告一例成功的异基因移植治疗因血管浸润性肺毛霉菌病而完全切除左肺后复发的b急性淋巴细胞白血病。据我们所知,这是首例全肺切除术后同种异体移植成功的病例。该病例的具体考虑包括仔细的供体选择,明智地选择移植前调节方案,并利用新的免疫疗法确保移植前主要残留疾病阴性。我们希望这个病例能为临床医生提供额外的指导,帮助他们治疗恶性血液病患者,这些患者发展为侵袭性真菌感染,需要进行大的肺部手术。
本文章由计算机程序翻译,如有差异,请以英文原文为准。

Successful Allogeneic Stem Cell Transplant for Philadelphia Chromosome Negative Acute Lymphoblastic Leukemia After Pneumonectomy for Pulmonary Mucormycosis: A Case Report and Review of the Literature.

Successful Allogeneic Stem Cell Transplant for Philadelphia Chromosome Negative Acute Lymphoblastic Leukemia After Pneumonectomy for Pulmonary Mucormycosis: A Case Report and Review of the Literature.

Successful Allogeneic Stem Cell Transplant for Philadelphia Chromosome Negative Acute Lymphoblastic Leukemia After Pneumonectomy for Pulmonary Mucormycosis: A Case Report and Review of the Literature.

The incidence of relapsed Philadelphia chromosome-negative acute lymphoblastic leukemia in adults is estimated to be 40%-50%. Allogeneic stem cell transplantation can improve survival in relapsed acute lymphoblastic leukemia; however, impaired pulmonary function is detrimental for surviving the transplantation process. Here, we present a successful case of allogeneic transplantation for relapsed B-acute lymphoblastic leukemia after total resection of the left lung due to angioinvasive pulmonary mucormycosis. To our knowledge, this is the first successful case of allogeneic transplantation after total pneumonectomy. Specific considerations in this case included careful donor selection, judicious choice of pre-transplantation conditioning regimen, and utilizing novel immunotherapies to ensure major residual disease negativity prior to transplant. It is our hope that this case provides additional guidance to clinicians caring for patients with hematologic malignancies who develop invasive fungal infections and require major lung surgeries.

求助全文
通过发布文献求助,成功后即可免费获取论文全文。 去求助
来源期刊
自引率
0.00%
发文量
0
×
引用
GB/T 7714-2015
复制
MLA
复制
APA
复制
导出至
BibTeX EndNote RefMan NoteFirst NoteExpress
×
提示
您的信息不完整,为了账户安全,请先补充。
现在去补充
×
提示
您因"违规操作"
具体请查看互助需知
我知道了
×
提示
确定
请完成安全验证×
copy
已复制链接
快去分享给好友吧!
我知道了
右上角分享
点击右上角分享
0
联系我们:info@booksci.cn Book学术提供免费学术资源搜索服务,方便国内外学者检索中英文文献。致力于提供最便捷和优质的服务体验。 Copyright © 2023 布克学术 All rights reserved.
京ICP备2023020795号-1
ghs 京公网安备 11010802042870号
Book学术文献互助
Book学术文献互助群
群 号:604180095
Book学术官方微信