子宫胚胎性横纹肌肉瘤1例。

CRSLS : MIS case reports from SLS Pub Date : 2025-08-07 eCollection Date: 2025-07-01 DOI:10.4293/CRSLS.2025.00033
Salma Moustafa, Liaisan Uzianbaeva, Tamara Paczos, Harriet Smith, Pengfei Wang
{"title":"子宫胚胎性横纹肌肉瘤1例。","authors":"Salma Moustafa, Liaisan Uzianbaeva, Tamara Paczos, Harriet Smith, Pengfei Wang","doi":"10.4293/CRSLS.2025.00033","DOIUrl":null,"url":null,"abstract":"<p><strong>Background: </strong>Uterine sarcoma is a rare mesenchymal malignancy, and its preoperative diagnosis presents significant challenges, often resulting in the so-called occult sarcoma following surgery, based on the pathological diagnosis. Embryonal rhabdomyosarcoma of the female genital tract most commonly presents in pediatric patients and occurs in the uterine cervix. A pure uterine embryonal rhabdomyosarcoma presenting in an older adult patient is exceedingly rare. Due to its overall poor prognosis, early recognition of this unusual entity is crucial for patient care.</p><p><strong>Case: </strong>A 57-year-old woman presented with a single uterine mass and intermittent bleeding over the past 4-5 years. Office endometrial biopsies, conducted twice by other providers, reported either normal endometrium or inconclusive results; therefore, she was diagnosed and managed as having uterine fibroids for the past 3 years. Given the high suspicion of uterine malignancy, we counseled the patient with a plan for an abdominal hysterectomy and bilateral salpingo-oophorectomy. Meanwhile, we performed another endometrial biopsy under sedation to obtain an adequate and accurate specimen. This biopsy revealed high-grade malignancy, leading to the diagnosis of uterine embryonal rhabdomyosarcoma following the hysterectomy. She is currently undergoing chemotherapy with docetaxel and gemcitabine.</p><p><strong>Conclusion: </strong>Since there is no reliable laboratory or imaging study for preoperative diagnosis of uterine sarcoma, a high index of clinical suspicion is of the utmost importance to decrease the occurrence of occult uterine sarcoma, which is extremely difficult to differentiate from benign uterine fibroids.</p>","PeriodicalId":72723,"journal":{"name":"CRSLS : MIS case reports from SLS","volume":"12 3","pages":""},"PeriodicalIF":0.0000,"publicationDate":"2025-08-07","publicationTypes":"Journal Article","fieldsOfStudy":null,"isOpenAccess":false,"openAccessPdf":"https://www.ncbi.nlm.nih.gov/pmc/articles/PMC12330200/pdf/","citationCount":"0","resultStr":"{\"title\":\"A Rare Case of Uterine Embryonal Rhabdomyosarcoma.\",\"authors\":\"Salma Moustafa, Liaisan Uzianbaeva, Tamara Paczos, Harriet Smith, Pengfei Wang\",\"doi\":\"10.4293/CRSLS.2025.00033\",\"DOIUrl\":null,\"url\":null,\"abstract\":\"<p><strong>Background: </strong>Uterine sarcoma is a rare mesenchymal malignancy, and its preoperative diagnosis presents significant challenges, often resulting in the so-called occult sarcoma following surgery, based on the pathological diagnosis. Embryonal rhabdomyosarcoma of the female genital tract most commonly presents in pediatric patients and occurs in the uterine cervix. A pure uterine embryonal rhabdomyosarcoma presenting in an older adult patient is exceedingly rare. Due to its overall poor prognosis, early recognition of this unusual entity is crucial for patient care.</p><p><strong>Case: </strong>A 57-year-old woman presented with a single uterine mass and intermittent bleeding over the past 4-5 years. Office endometrial biopsies, conducted twice by other providers, reported either normal endometrium or inconclusive results; therefore, she was diagnosed and managed as having uterine fibroids for the past 3 years. Given the high suspicion of uterine malignancy, we counseled the patient with a plan for an abdominal hysterectomy and bilateral salpingo-oophorectomy. Meanwhile, we performed another endometrial biopsy under sedation to obtain an adequate and accurate specimen. This biopsy revealed high-grade malignancy, leading to the diagnosis of uterine embryonal rhabdomyosarcoma following the hysterectomy. She is currently undergoing chemotherapy with docetaxel and gemcitabine.</p><p><strong>Conclusion: </strong>Since there is no reliable laboratory or imaging study for preoperative diagnosis of uterine sarcoma, a high index of clinical suspicion is of the utmost importance to decrease the occurrence of occult uterine sarcoma, which is extremely difficult to differentiate from benign uterine fibroids.</p>\",\"PeriodicalId\":72723,\"journal\":{\"name\":\"CRSLS : MIS case reports from SLS\",\"volume\":\"12 3\",\"pages\":\"\"},\"PeriodicalIF\":0.0000,\"publicationDate\":\"2025-08-07\",\"publicationTypes\":\"Journal Article\",\"fieldsOfStudy\":null,\"isOpenAccess\":false,\"openAccessPdf\":\"https://www.ncbi.nlm.nih.gov/pmc/articles/PMC12330200/pdf/\",\"citationCount\":\"0\",\"resultStr\":null,\"platform\":\"Semanticscholar\",\"paperid\":null,\"PeriodicalName\":\"CRSLS : MIS case reports from SLS\",\"FirstCategoryId\":\"1085\",\"ListUrlMain\":\"https://doi.org/10.4293/CRSLS.2025.00033\",\"RegionNum\":0,\"RegionCategory\":null,\"ArticlePicture\":[],\"TitleCN\":null,\"AbstractTextCN\":null,\"PMCID\":null,\"EPubDate\":\"2025/7/1 0:00:00\",\"PubModel\":\"eCollection\",\"JCR\":\"\",\"JCRName\":\"\",\"Score\":null,\"Total\":0}","platform":"Semanticscholar","paperid":null,"PeriodicalName":"CRSLS : MIS case reports from SLS","FirstCategoryId":"1085","ListUrlMain":"https://doi.org/10.4293/CRSLS.2025.00033","RegionNum":0,"RegionCategory":null,"ArticlePicture":[],"TitleCN":null,"AbstractTextCN":null,"PMCID":null,"EPubDate":"2025/7/1 0:00:00","PubModel":"eCollection","JCR":"","JCRName":"","Score":null,"Total":0}
引用次数: 0

摘要

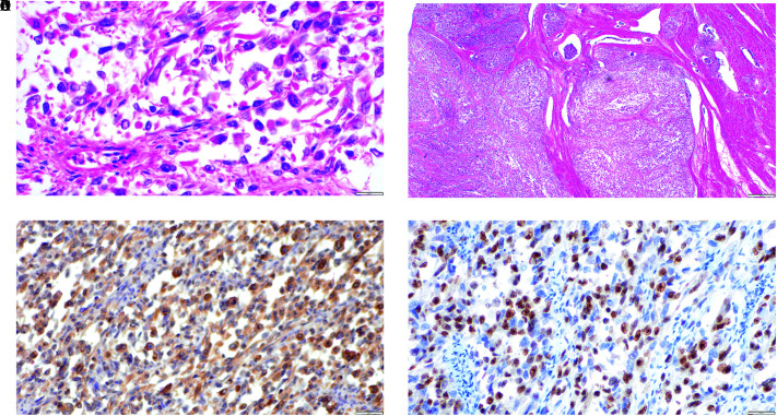
背景:子宫肉瘤是一种罕见的间充质恶性肿瘤,其术前诊断具有很大的挑战性,常导致术后病理诊断为所谓的隐性肉瘤。女性生殖道胚胎性横纹肌肉瘤最常见于儿科患者,发生在子宫颈。纯子宫胚胎性横纹肌肉瘤出现在老年患者是非常罕见的。由于其整体预后不良,早期认识到这种不寻常的实体是至关重要的病人护理。病例:一名57岁的女性,在过去的4-5年里出现了单个子宫肿块和间歇性出血。办公室子宫内膜活检,由其他提供者进行了两次,报告子宫内膜正常或不确定的结果;因此,在过去的3年里,她被诊断和治疗为子宫肌瘤。鉴于高度怀疑子宫恶性肿瘤,我们建议患者计划腹部子宫切除术和双侧输卵管卵巢切除术。同时,我们在镇静下进行了另一次子宫内膜活检,以获得充分和准确的标本。活检显示高度恶性肿瘤,子宫切除术后诊断为子宫胚胎横纹肌肉瘤。她目前正在接受多西他赛和吉西他滨的化疗。结论:由于术前对子宫肉瘤的诊断缺乏可靠的实验室和影像学研究,因此临床高怀疑指数对于减少隐匿性子宫肉瘤的发生至关重要,隐匿性子宫肉瘤与良性子宫肌瘤极难鉴别。
本文章由计算机程序翻译,如有差异,请以英文原文为准。

A Rare Case of Uterine Embryonal Rhabdomyosarcoma.

A Rare Case of Uterine Embryonal Rhabdomyosarcoma.

A Rare Case of Uterine Embryonal Rhabdomyosarcoma.

Background: Uterine sarcoma is a rare mesenchymal malignancy, and its preoperative diagnosis presents significant challenges, often resulting in the so-called occult sarcoma following surgery, based on the pathological diagnosis. Embryonal rhabdomyosarcoma of the female genital tract most commonly presents in pediatric patients and occurs in the uterine cervix. A pure uterine embryonal rhabdomyosarcoma presenting in an older adult patient is exceedingly rare. Due to its overall poor prognosis, early recognition of this unusual entity is crucial for patient care.

Case: A 57-year-old woman presented with a single uterine mass and intermittent bleeding over the past 4-5 years. Office endometrial biopsies, conducted twice by other providers, reported either normal endometrium or inconclusive results; therefore, she was diagnosed and managed as having uterine fibroids for the past 3 years. Given the high suspicion of uterine malignancy, we counseled the patient with a plan for an abdominal hysterectomy and bilateral salpingo-oophorectomy. Meanwhile, we performed another endometrial biopsy under sedation to obtain an adequate and accurate specimen. This biopsy revealed high-grade malignancy, leading to the diagnosis of uterine embryonal rhabdomyosarcoma following the hysterectomy. She is currently undergoing chemotherapy with docetaxel and gemcitabine.

Conclusion: Since there is no reliable laboratory or imaging study for preoperative diagnosis of uterine sarcoma, a high index of clinical suspicion is of the utmost importance to decrease the occurrence of occult uterine sarcoma, which is extremely difficult to differentiate from benign uterine fibroids.

求助全文
通过发布文献求助,成功后即可免费获取论文全文。 去求助
来源期刊
自引率
0.00%
发文量
0
×
引用
GB/T 7714-2015
复制
MLA
复制
APA
复制
导出至
BibTeX EndNote RefMan NoteFirst NoteExpress
×
提示
您的信息不完整,为了账户安全,请先补充。
现在去补充
×
提示
您因"违规操作"
具体请查看互助需知
我知道了
×
提示
确定
请完成安全验证×
copy
已复制链接
快去分享给好友吧!
我知道了
右上角分享
点击右上角分享
0
联系我们:info@booksci.cn Book学术提供免费学术资源搜索服务,方便国内外学者检索中英文文献。致力于提供最便捷和优质的服务体验。 Copyright © 2023 布克学术 All rights reserved.
京ICP备2023020795号-1
ghs 京公网安备 11010802042870号
Book学术文献互助
Book学术文献互助群
群 号:604180095
Book学术官方微信