介入三管法治疗胆总管结石内镜逆行胆管造影后十二指肠穿孔:一个病例系列。

IF 2.3 2区 医学 Q2 RADIOLOGY, NUCLEAR MEDICINE & MEDICAL IMAGING
Yishu Ma, Yonghua Bi, Chenke Wei, Xiaolong Ding, Gang Zhou, Meipan Yin, Jiajia Zhang, Yaozhen Ma, Suli Zhang, Chunxia Li, Gang Wu
{"title":"介入三管法治疗胆总管结石内镜逆行胆管造影后十二指肠穿孔:一个病例系列。","authors":"Yishu Ma, Yonghua Bi, Chenke Wei, Xiaolong Ding, Gang Zhou, Meipan Yin, Jiajia Zhang, Yaozhen Ma, Suli Zhang, Chunxia Li, Gang Wu","doi":"10.21037/qims-2024-2650","DOIUrl":null,"url":null,"abstract":"<p><strong>Background: </strong>Endoscopic retrograde cholangiopancreatography (ERCP) is a common procedure for biliary and pancreatic diseases. Although duodenal perforation is a rare complication of ERCP (incidence, <1%), it is associated with a significant mortality rate (4.2-37%). The existing evidence for the management of retroperitoneal abscess or sepsis is limited, since conservative treatments are often ineffective and surgical outcomes are poor. Endoscopic repair is particularly challenging for large perforations, with failure rates of up to 78%. This study reviews seven cases of post-ERCP duodenal perforation treated with an interventional three-tube method.</p><p><strong>Case description: </strong>This retrospective study reviewed seven cases showing duodenal perforation after ERCP for choledocholithiasis between 2019 and 2024. The patients showed clinical symptoms such as fever, abdominal pain, and abdominal distension within 1-3 days after ERCP, and were managed with the interventional three-tube method (insertion of a nasointestinal feeding tube for enteral nutrition, a gastrointestinal decompression tube, and a percutaneous drainage tube for drainage of pus and air). After 5-7 days of hospitalization, the patients were discharged upon stabilization. All patients showed successful healing of duodenal perforation during follow-up.</p><p><strong>Conclusions: </strong>The interventional three-tube method is an effective method for treating duodenal perforations following ERCP, offering a less invasive alternative for this type of complication.</p>","PeriodicalId":54267,"journal":{"name":"Quantitative Imaging in Medicine and Surgery","volume":"15 8","pages":"7563-7571"},"PeriodicalIF":2.3000,"publicationDate":"2025-08-01","publicationTypes":"Journal Article","fieldsOfStudy":null,"isOpenAccess":false,"openAccessPdf":"https://www.ncbi.nlm.nih.gov/pmc/articles/PMC12332711/pdf/","citationCount":"0","resultStr":"{\"title\":\"Interventional three-tube method for the management of duodenal perforation after endoscopic retrograde cholangiopancreatography for choledocholithiasis: a case series.\",\"authors\":\"Yishu Ma, Yonghua Bi, Chenke Wei, Xiaolong Ding, Gang Zhou, Meipan Yin, Jiajia Zhang, Yaozhen Ma, Suli Zhang, Chunxia Li, Gang Wu\",\"doi\":\"10.21037/qims-2024-2650\",\"DOIUrl\":null,\"url\":null,\"abstract\":\"<p><strong>Background: </strong>Endoscopic retrograde cholangiopancreatography (ERCP) is a common procedure for biliary and pancreatic diseases. Although duodenal perforation is a rare complication of ERCP (incidence, <1%), it is associated with a significant mortality rate (4.2-37%). The existing evidence for the management of retroperitoneal abscess or sepsis is limited, since conservative treatments are often ineffective and surgical outcomes are poor. Endoscopic repair is particularly challenging for large perforations, with failure rates of up to 78%. This study reviews seven cases of post-ERCP duodenal perforation treated with an interventional three-tube method.</p><p><strong>Case description: </strong>This retrospective study reviewed seven cases showing duodenal perforation after ERCP for choledocholithiasis between 2019 and 2024. The patients showed clinical symptoms such as fever, abdominal pain, and abdominal distension within 1-3 days after ERCP, and were managed with the interventional three-tube method (insertion of a nasointestinal feeding tube for enteral nutrition, a gastrointestinal decompression tube, and a percutaneous drainage tube for drainage of pus and air). After 5-7 days of hospitalization, the patients were discharged upon stabilization. All patients showed successful healing of duodenal perforation during follow-up.</p><p><strong>Conclusions: </strong>The interventional three-tube method is an effective method for treating duodenal perforations following ERCP, offering a less invasive alternative for this type of complication.</p>\",\"PeriodicalId\":54267,\"journal\":{\"name\":\"Quantitative Imaging in Medicine and Surgery\",\"volume\":\"15 8\",\"pages\":\"7563-7571\"},\"PeriodicalIF\":2.3000,\"publicationDate\":\"2025-08-01\",\"publicationTypes\":\"Journal Article\",\"fieldsOfStudy\":null,\"isOpenAccess\":false,\"openAccessPdf\":\"https://www.ncbi.nlm.nih.gov/pmc/articles/PMC12332711/pdf/\",\"citationCount\":\"0\",\"resultStr\":null,\"platform\":\"Semanticscholar\",\"paperid\":null,\"PeriodicalName\":\"Quantitative Imaging in Medicine and Surgery\",\"FirstCategoryId\":\"3\",\"ListUrlMain\":\"https://doi.org/10.21037/qims-2024-2650\",\"RegionNum\":2,\"RegionCategory\":\"医学\",\"ArticlePicture\":[],\"TitleCN\":null,\"AbstractTextCN\":null,\"PMCID\":null,\"EPubDate\":\"2025/7/25 0:00:00\",\"PubModel\":\"Epub\",\"JCR\":\"Q2\",\"JCRName\":\"RADIOLOGY, NUCLEAR MEDICINE & MEDICAL IMAGING\",\"Score\":null,\"Total\":0}","platform":"Semanticscholar","paperid":null,"PeriodicalName":"Quantitative Imaging in Medicine and Surgery","FirstCategoryId":"3","ListUrlMain":"https://doi.org/10.21037/qims-2024-2650","RegionNum":2,"RegionCategory":"医学","ArticlePicture":[],"TitleCN":null,"AbstractTextCN":null,"PMCID":null,"EPubDate":"2025/7/25 0:00:00","PubModel":"Epub","JCR":"Q2","JCRName":"RADIOLOGY, NUCLEAR MEDICINE & MEDICAL IMAGING","Score":null,"Total":0}
引用次数: 0

摘要

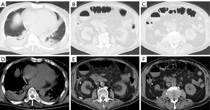
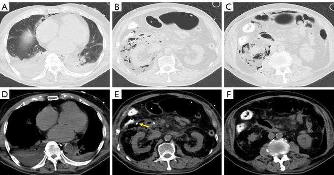
背景:内镜逆行胰胆管造影(ERCP)是胆道和胰腺疾病的常用手术。虽然十二指肠穿孔是ERCP的罕见并发症,但病例描述:本回顾性研究回顾了2019年至2024年间7例胆总管结石ERCP术后十二指肠穿孔的病例。患者在ERCP术后1 ~ 3天内出现发热、腹痛、腹胀等临床症状,采用介入三管法(插入鼻肠饲管进行肠内营养、胃肠道减压管、经皮引流管引流脓气)。住院5-7天后,病情稳定出院。随访期间,所有患者十二指肠穿孔均成功愈合。结论:介入三管法是治疗ERCP术后十二指肠穿孔的有效方法,为这类并发症提供了一种侵入性较小的选择。
本文章由计算机程序翻译,如有差异,请以英文原文为准。

Interventional three-tube method for the management of duodenal perforation after endoscopic retrograde cholangiopancreatography for choledocholithiasis: a case series.

Interventional three-tube method for the management of duodenal perforation after endoscopic retrograde cholangiopancreatography for choledocholithiasis: a case series.

Interventional three-tube method for the management of duodenal perforation after endoscopic retrograde cholangiopancreatography for choledocholithiasis: a case series.

Interventional three-tube method for the management of duodenal perforation after endoscopic retrograde cholangiopancreatography for choledocholithiasis: a case series.

Background: Endoscopic retrograde cholangiopancreatography (ERCP) is a common procedure for biliary and pancreatic diseases. Although duodenal perforation is a rare complication of ERCP (incidence, <1%), it is associated with a significant mortality rate (4.2-37%). The existing evidence for the management of retroperitoneal abscess or sepsis is limited, since conservative treatments are often ineffective and surgical outcomes are poor. Endoscopic repair is particularly challenging for large perforations, with failure rates of up to 78%. This study reviews seven cases of post-ERCP duodenal perforation treated with an interventional three-tube method.

Case description: This retrospective study reviewed seven cases showing duodenal perforation after ERCP for choledocholithiasis between 2019 and 2024. The patients showed clinical symptoms such as fever, abdominal pain, and abdominal distension within 1-3 days after ERCP, and were managed with the interventional three-tube method (insertion of a nasointestinal feeding tube for enteral nutrition, a gastrointestinal decompression tube, and a percutaneous drainage tube for drainage of pus and air). After 5-7 days of hospitalization, the patients were discharged upon stabilization. All patients showed successful healing of duodenal perforation during follow-up.

Conclusions: The interventional three-tube method is an effective method for treating duodenal perforations following ERCP, offering a less invasive alternative for this type of complication.

求助全文
通过发布文献求助,成功后即可免费获取论文全文。 去求助
来源期刊
Quantitative Imaging in Medicine and Surgery
Quantitative Imaging in Medicine and Surgery Medicine-Radiology, Nuclear Medicine and Imaging
CiteScore
4.20
自引率
17.90%
发文量
252
期刊介绍: Information not localized
×
引用
GB/T 7714-2015
复制
MLA
复制
APA
复制
导出至
BibTeX EndNote RefMan NoteFirst NoteExpress
×
提示
您的信息不完整,为了账户安全,请先补充。
现在去补充
×
提示
您因"违规操作"
具体请查看互助需知
我知道了
×
提示
确定
请完成安全验证×
copy
已复制链接
快去分享给好友吧!
我知道了
右上角分享
点击右上角分享
0
联系我们:info@booksci.cn Book学术提供免费学术资源搜索服务,方便国内外学者检索中英文文献。致力于提供最便捷和优质的服务体验。 Copyright © 2023 布克学术 All rights reserved.
京ICP备2023020795号-1
ghs 京公网安备 11010802042870号
Book学术文献互助
Book学术文献互助群
群 号:604180095
Book学术官方微信