淋巴水肿-丝虫病还是软组织肉瘤?一份病例报告。

Q3 Nursing
Malaysian Family Physician Pub Date : 2025-07-29 eCollection Date: 2025-01-01 DOI:10.51866/cr.877
Tamring Sarinah, Mat Nawi Zanaridah, Nik Yusof Fuad Nik Farah, Joon Hi Tham, Mohamad Setia Awang Shahrunizam
{"title":"淋巴水肿-丝虫病还是软组织肉瘤?一份病例报告。","authors":"Tamring Sarinah, Mat Nawi Zanaridah, Nik Yusof Fuad Nik Farah, Joon Hi Tham, Mohamad Setia Awang Shahrunizam","doi":"10.51866/cr.877","DOIUrl":null,"url":null,"abstract":"<p><p>This is a case report of a middle-aged man who presented with chronic unilateral lower limb swelling and a mass on the same side. Several important differential diagnoses were considered. Lymphatic filariasis was included in the differential diagnoses due to a history of travel to a district endemic with filariasis in Sabah. A final diagnosis of soft tissue sarcoma was provisionally made based on the magnetic resonance imaging findings and confirmed by histopathological examination as pleomorphic dermal sarcoma. Both conditions are unusual but important causes in primary care due to their association with poor morbidity and risk of mortality. Patient management should involve a multidisciplinary team, including primary care, public health, radiology, pathology and orthopaedics.</p>","PeriodicalId":40017,"journal":{"name":"Malaysian Family Physician","volume":"20 ","pages":"51"},"PeriodicalIF":0.0000,"publicationDate":"2025-07-29","publicationTypes":"Journal Article","fieldsOfStudy":null,"isOpenAccess":false,"openAccessPdf":"https://www.ncbi.nlm.nih.gov/pmc/articles/PMC12334323/pdf/","citationCount":"0","resultStr":"{\"title\":\"Lymphoedema - Filariasis or soft tissue sarcoma? A case report.\",\"authors\":\"Tamring Sarinah, Mat Nawi Zanaridah, Nik Yusof Fuad Nik Farah, Joon Hi Tham, Mohamad Setia Awang Shahrunizam\",\"doi\":\"10.51866/cr.877\",\"DOIUrl\":null,\"url\":null,\"abstract\":\"<p><p>This is a case report of a middle-aged man who presented with chronic unilateral lower limb swelling and a mass on the same side. Several important differential diagnoses were considered. Lymphatic filariasis was included in the differential diagnoses due to a history of travel to a district endemic with filariasis in Sabah. A final diagnosis of soft tissue sarcoma was provisionally made based on the magnetic resonance imaging findings and confirmed by histopathological examination as pleomorphic dermal sarcoma. Both conditions are unusual but important causes in primary care due to their association with poor morbidity and risk of mortality. Patient management should involve a multidisciplinary team, including primary care, public health, radiology, pathology and orthopaedics.</p>\",\"PeriodicalId\":40017,\"journal\":{\"name\":\"Malaysian Family Physician\",\"volume\":\"20 \",\"pages\":\"51\"},\"PeriodicalIF\":0.0000,\"publicationDate\":\"2025-07-29\",\"publicationTypes\":\"Journal Article\",\"fieldsOfStudy\":null,\"isOpenAccess\":false,\"openAccessPdf\":\"https://www.ncbi.nlm.nih.gov/pmc/articles/PMC12334323/pdf/\",\"citationCount\":\"0\",\"resultStr\":null,\"platform\":\"Semanticscholar\",\"paperid\":null,\"PeriodicalName\":\"Malaysian Family Physician\",\"FirstCategoryId\":\"1085\",\"ListUrlMain\":\"https://doi.org/10.51866/cr.877\",\"RegionNum\":0,\"RegionCategory\":null,\"ArticlePicture\":[],\"TitleCN\":null,\"AbstractTextCN\":null,\"PMCID\":null,\"EPubDate\":\"2025/1/1 0:00:00\",\"PubModel\":\"eCollection\",\"JCR\":\"Q3\",\"JCRName\":\"Nursing\",\"Score\":null,\"Total\":0}","platform":"Semanticscholar","paperid":null,"PeriodicalName":"Malaysian Family Physician","FirstCategoryId":"1085","ListUrlMain":"https://doi.org/10.51866/cr.877","RegionNum":0,"RegionCategory":null,"ArticlePicture":[],"TitleCN":null,"AbstractTextCN":null,"PMCID":null,"EPubDate":"2025/1/1 0:00:00","PubModel":"eCollection","JCR":"Q3","JCRName":"Nursing","Score":null,"Total":0}
引用次数: 0

摘要

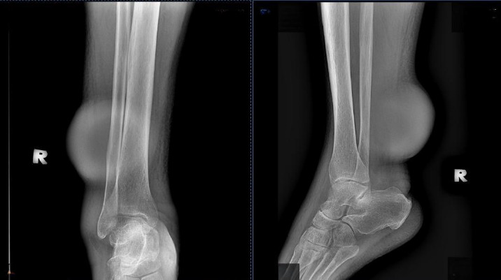
这是一例报告的中年男子谁提出慢性单侧下肢肿胀和肿块在同侧。考虑了几个重要的鉴别诊断。淋巴丝虫病被列入鉴别诊断,因为他曾到沙巴州的一个丝虫病流行地区旅行。根据磁共振成像结果初步诊断为软组织肉瘤,经组织病理学检查证实为多形性真皮肉瘤。这两种情况都是不寻常的,但在初级保健中是重要的原因,因为它们与低发病率和死亡风险有关。患者管理应包括一个多学科小组,包括初级保健、公共卫生、放射学、病理学和骨科。
本文章由计算机程序翻译,如有差异,请以英文原文为准。

Lymphoedema - Filariasis or soft tissue sarcoma? A case report.

Lymphoedema - Filariasis or soft tissue sarcoma? A case report.

Lymphoedema - Filariasis or soft tissue sarcoma? A case report.

Lymphoedema - Filariasis or soft tissue sarcoma? A case report.

This is a case report of a middle-aged man who presented with chronic unilateral lower limb swelling and a mass on the same side. Several important differential diagnoses were considered. Lymphatic filariasis was included in the differential diagnoses due to a history of travel to a district endemic with filariasis in Sabah. A final diagnosis of soft tissue sarcoma was provisionally made based on the magnetic resonance imaging findings and confirmed by histopathological examination as pleomorphic dermal sarcoma. Both conditions are unusual but important causes in primary care due to their association with poor morbidity and risk of mortality. Patient management should involve a multidisciplinary team, including primary care, public health, radiology, pathology and orthopaedics.

求助全文
通过发布文献求助,成功后即可免费获取论文全文。 去求助
来源期刊
Malaysian Family Physician
Malaysian Family Physician Medicine-Family Practice
CiteScore
1.20
自引率
0.00%
发文量
41
审稿时长
24 weeks
期刊介绍: The Malaysian Family Physician is the official journal of the Academy of Family Physicians of Malaysia. It is published three times a year. Circulation: The journal is distributed free of charge to all members of the Academy of Family Physicians of Malaysia. Complimentary copies are also sent to other organizations that are members of the World Organization of Family Doctors (WONCA).
×
引用
GB/T 7714-2015
复制
MLA
复制
APA
复制
导出至
BibTeX EndNote RefMan NoteFirst NoteExpress
×
提示
您的信息不完整,为了账户安全,请先补充。
现在去补充
×
提示
您因"违规操作"
具体请查看互助需知
我知道了
×
提示
确定
请完成安全验证×
copy
已复制链接
快去分享给好友吧!
我知道了
右上角分享
点击右上角分享
0
联系我们:info@booksci.cn Book学术提供免费学术资源搜索服务,方便国内外学者检索中英文文献。致力于提供最便捷和优质的服务体验。 Copyright © 2023 布克学术 All rights reserved.
京ICP备2023020795号-1
ghs 京公网安备 11010802042870号
Book学术文献互助
Book学术文献互助群
群 号:604180095
Book学术官方微信