局限性硬皮病急性肾衰竭揭示抗gbm相关肾脏疾病

IF 3.4 Q1 UROLOGY & NEPHROLOGY
Keya Panchal , Julian Peng , Hameed Ahmad , Jignesh Shah
{"title":"局限性硬皮病急性肾衰竭揭示抗gbm相关肾脏疾病","authors":"Keya Panchal ,&nbsp;Julian Peng ,&nbsp;Hameed Ahmad ,&nbsp;Jignesh Shah","doi":"10.1016/j.xkme.2025.101053","DOIUrl":null,"url":null,"abstract":"<div><div>Although scleroderma renal crisis (SRC) is the most common form of kidney injury in patients with scleroderma, consideration of other autoimmune conditions is warranted in patients with atypical presentation. A 27-year-old woman with a history of limited scleroderma presented to the hospital with 1 month of uremic symptoms and oliguria. Initial laboratory tests revealed significantly elevated serum urea nitrogen and creatinine levels, suggesting kidney failure. Suspicion for SRC was low, and kidney biopsy was performed to evaluate further. Histopathology revealed severe diffuse crescentic glomerulonephritis involving almost all glomeruli. Immunofluorescence revealed a diffuse linear reaction for immunoglobulin G along capillary loop basement membranes, consistent with antiglomerular basement membrane (GBM) disease. Further work-up revealed a positive antineutrophil cytoplasmic antibody panel for antimyeloperoxidase antibodies. Anti-GBM levels were also elevated. Treatment for anti-GBM disease was not warranted in our patient as the severity of kidney injury histopathology suggested unlikely kidney recovery. She was initiated on outpatient dialysis, and discussion regarding kidney transplant was initiated. There is a rare association between scleroderma and anti-GBM disease. Anti-GBM disease should be considered in scleroderma patients presenting with acute kidney failure with atypical features for SRC, especially if they have a history of antineutrophil cytoplasmic antibody positivity.</div></div>","PeriodicalId":17885,"journal":{"name":"Kidney Medicine","volume":"7 9","pages":"Article 101053"},"PeriodicalIF":3.4000,"publicationDate":"2025-06-21","publicationTypes":"Journal Article","fieldsOfStudy":null,"isOpenAccess":false,"openAccessPdf":"","citationCount":"0","resultStr":"{\"title\":\"Acute Kidney Failure in Limited Scleroderma Reveals Anti-GBM--Associated Kidney Disease\",\"authors\":\"Keya Panchal ,&nbsp;Julian Peng ,&nbsp;Hameed Ahmad ,&nbsp;Jignesh Shah\",\"doi\":\"10.1016/j.xkme.2025.101053\",\"DOIUrl\":null,\"url\":null,\"abstract\":\"<div><div>Although scleroderma renal crisis (SRC) is the most common form of kidney injury in patients with scleroderma, consideration of other autoimmune conditions is warranted in patients with atypical presentation. A 27-year-old woman with a history of limited scleroderma presented to the hospital with 1 month of uremic symptoms and oliguria. Initial laboratory tests revealed significantly elevated serum urea nitrogen and creatinine levels, suggesting kidney failure. Suspicion for SRC was low, and kidney biopsy was performed to evaluate further. Histopathology revealed severe diffuse crescentic glomerulonephritis involving almost all glomeruli. Immunofluorescence revealed a diffuse linear reaction for immunoglobulin G along capillary loop basement membranes, consistent with antiglomerular basement membrane (GBM) disease. Further work-up revealed a positive antineutrophil cytoplasmic antibody panel for antimyeloperoxidase antibodies. Anti-GBM levels were also elevated. Treatment for anti-GBM disease was not warranted in our patient as the severity of kidney injury histopathology suggested unlikely kidney recovery. She was initiated on outpatient dialysis, and discussion regarding kidney transplant was initiated. There is a rare association between scleroderma and anti-GBM disease. Anti-GBM disease should be considered in scleroderma patients presenting with acute kidney failure with atypical features for SRC, especially if they have a history of antineutrophil cytoplasmic antibody positivity.</div></div>\",\"PeriodicalId\":17885,\"journal\":{\"name\":\"Kidney Medicine\",\"volume\":\"7 9\",\"pages\":\"Article 101053\"},\"PeriodicalIF\":3.4000,\"publicationDate\":\"2025-06-21\",\"publicationTypes\":\"Journal Article\",\"fieldsOfStudy\":null,\"isOpenAccess\":false,\"openAccessPdf\":\"\",\"citationCount\":\"0\",\"resultStr\":null,\"platform\":\"Semanticscholar\",\"paperid\":null,\"PeriodicalName\":\"Kidney Medicine\",\"FirstCategoryId\":\"1085\",\"ListUrlMain\":\"https://www.sciencedirect.com/science/article/pii/S2590059525000895\",\"RegionNum\":0,\"RegionCategory\":null,\"ArticlePicture\":[],\"TitleCN\":null,\"AbstractTextCN\":null,\"PMCID\":null,\"EPubDate\":\"\",\"PubModel\":\"\",\"JCR\":\"Q1\",\"JCRName\":\"UROLOGY & NEPHROLOGY\",\"Score\":null,\"Total\":0}","platform":"Semanticscholar","paperid":null,"PeriodicalName":"Kidney Medicine","FirstCategoryId":"1085","ListUrlMain":"https://www.sciencedirect.com/science/article/pii/S2590059525000895","RegionNum":0,"RegionCategory":null,"ArticlePicture":[],"TitleCN":null,"AbstractTextCN":null,"PMCID":null,"EPubDate":"","PubModel":"","JCR":"Q1","JCRName":"UROLOGY & NEPHROLOGY","Score":null,"Total":0}
引用次数: 0

摘要

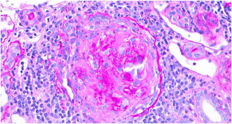
尽管硬皮病肾危象(SRC)是硬皮病患者中最常见的肾损伤形式,但在非典型表现的患者中,需要考虑其他自身免疫性疾病。一名27岁女性,有局限性硬皮病病史,有1个月尿毒症症状和少尿。最初的实验室检查显示血清尿素氮和肌酐水平明显升高,提示肾衰竭。对SRC的怀疑较低,行肾活检进一步评估。组织病理学显示严重弥漫性新月形肾小球肾炎,几乎累及所有肾小球。免疫荧光显示免疫球蛋白G沿毛细血管环基底膜呈弥漫性线性反应,与抗肾小球基底膜(GBM)病一致。进一步的检查显示抗骨髓过氧化物酶抗体的抗中性粒细胞细胞质抗体阳性。抗gbm水平也有所升高。由于肾损伤的严重程度,组织病理学显示肾脏不太可能恢复,因此我们的患者不需要治疗抗gbm疾病。她开始进行门诊透析,并开始讨论肾脏移植。硬皮病与抗gbm疾病之间有罕见的联系。当硬皮病患者表现为急性肾衰竭,伴有SRC的非典型特征时,特别是有抗中性粒细胞细胞质抗体阳性史时,应考虑抗gbm疾病。
本文章由计算机程序翻译,如有差异,请以英文原文为准。

Acute Kidney Failure in Limited Scleroderma Reveals Anti-GBM--Associated Kidney Disease

Acute Kidney Failure in Limited Scleroderma Reveals Anti-GBM--Associated Kidney Disease

Acute Kidney Failure in Limited Scleroderma Reveals Anti-GBM--Associated Kidney Disease
Although scleroderma renal crisis (SRC) is the most common form of kidney injury in patients with scleroderma, consideration of other autoimmune conditions is warranted in patients with atypical presentation. A 27-year-old woman with a history of limited scleroderma presented to the hospital with 1 month of uremic symptoms and oliguria. Initial laboratory tests revealed significantly elevated serum urea nitrogen and creatinine levels, suggesting kidney failure. Suspicion for SRC was low, and kidney biopsy was performed to evaluate further. Histopathology revealed severe diffuse crescentic glomerulonephritis involving almost all glomeruli. Immunofluorescence revealed a diffuse linear reaction for immunoglobulin G along capillary loop basement membranes, consistent with antiglomerular basement membrane (GBM) disease. Further work-up revealed a positive antineutrophil cytoplasmic antibody panel for antimyeloperoxidase antibodies. Anti-GBM levels were also elevated. Treatment for anti-GBM disease was not warranted in our patient as the severity of kidney injury histopathology suggested unlikely kidney recovery. She was initiated on outpatient dialysis, and discussion regarding kidney transplant was initiated. There is a rare association between scleroderma and anti-GBM disease. Anti-GBM disease should be considered in scleroderma patients presenting with acute kidney failure with atypical features for SRC, especially if they have a history of antineutrophil cytoplasmic antibody positivity.
求助全文
通过发布文献求助,成功后即可免费获取论文全文。 去求助
来源期刊
Kidney Medicine
Kidney Medicine Medicine-Internal Medicine
CiteScore
4.80
自引率
5.10%
发文量
176
审稿时长
12 weeks
×
引用
GB/T 7714-2015
复制
MLA
复制
APA
复制
导出至
BibTeX EndNote RefMan NoteFirst NoteExpress
×
提示
您的信息不完整,为了账户安全,请先补充。
现在去补充
×
提示
您因"违规操作"
具体请查看互助需知
我知道了
×
提示
确定
请完成安全验证×
copy
已复制链接
快去分享给好友吧!
我知道了
右上角分享
点击右上角分享
0
联系我们:info@booksci.cn Book学术提供免费学术资源搜索服务,方便国内外学者检索中英文文献。致力于提供最便捷和优质的服务体验。 Copyright © 2023 布克学术 All rights reserved.
京ICP备2023020795号-1
ghs 京公网安备 11010802042870号
Book学术文献互助
Book学术文献互助群
群 号:604180095
Book学术官方微信