膝关节固定术治疗漂浮膝关节ilizarov固定术后不愈合1例报告。

Harsh Kumar, Raj Suhas Kamble, Suhas Laxman Kamble
{"title":"膝关节固定术治疗漂浮膝关节ilizarov固定术后不愈合1例报告。","authors":"Harsh Kumar, Raj Suhas Kamble, Suhas Laxman Kamble","doi":"10.13107/jocr.2025.v15.i08.5954","DOIUrl":null,"url":null,"abstract":"<p><strong>Introduction: </strong>The Ilizarov technique is a widely used method for managing complex fractures, especially those involving periarticular regions such as the distal femur and proximal tibia. Ilizarov is a versatile process which can also be used for limb lengthening, deformity correction and for septic and aseptic non-unions.</p><p><strong>Case report: </strong>We present the case of 48-year-old male with non-union of proximal tibia and distal femur fracture with Ilizarov in situ. A floating knee on the right side was unsuitable for open reduction and internal fixation due to poor skin health. Ilizarov fixation was planned for the patient. This instance demonstrates the difficulties associated with floating knee. The technique's limits in treating specific periarticular fractures are highlighted by the Ilizarov fixation's failure in this instance.</p><p><strong>Conclusion: </strong>An efficient salvage technique that provides permanent pain relief and functional stability is knee arthrodesis. The need of customized treatment planning in handling complicated fracture situations is highlighted by this example.</p>","PeriodicalId":16647,"journal":{"name":"Journal of Orthopaedic Case Reports","volume":"15 8","pages":"239-243"},"PeriodicalIF":0.0000,"publicationDate":"2025-08-01","publicationTypes":"Journal Article","fieldsOfStudy":null,"isOpenAccess":false,"openAccessPdf":"https://www.ncbi.nlm.nih.gov/pmc/articles/PMC12328962/pdf/","citationCount":"0","resultStr":"{\"title\":\"Knee Arthodesis , as a salvage procedure for Non-union of floating knee after ilizarov fixation-A case report.\",\"authors\":\"Harsh Kumar, Raj Suhas Kamble, Suhas Laxman Kamble\",\"doi\":\"10.13107/jocr.2025.v15.i08.5954\",\"DOIUrl\":null,\"url\":null,\"abstract\":\"<p><strong>Introduction: </strong>The Ilizarov technique is a widely used method for managing complex fractures, especially those involving periarticular regions such as the distal femur and proximal tibia. Ilizarov is a versatile process which can also be used for limb lengthening, deformity correction and for septic and aseptic non-unions.</p><p><strong>Case report: </strong>We present the case of 48-year-old male with non-union of proximal tibia and distal femur fracture with Ilizarov in situ. A floating knee on the right side was unsuitable for open reduction and internal fixation due to poor skin health. Ilizarov fixation was planned for the patient. This instance demonstrates the difficulties associated with floating knee. The technique's limits in treating specific periarticular fractures are highlighted by the Ilizarov fixation's failure in this instance.</p><p><strong>Conclusion: </strong>An efficient salvage technique that provides permanent pain relief and functional stability is knee arthrodesis. The need of customized treatment planning in handling complicated fracture situations is highlighted by this example.</p>\",\"PeriodicalId\":16647,\"journal\":{\"name\":\"Journal of Orthopaedic Case Reports\",\"volume\":\"15 8\",\"pages\":\"239-243\"},\"PeriodicalIF\":0.0000,\"publicationDate\":\"2025-08-01\",\"publicationTypes\":\"Journal Article\",\"fieldsOfStudy\":null,\"isOpenAccess\":false,\"openAccessPdf\":\"https://www.ncbi.nlm.nih.gov/pmc/articles/PMC12328962/pdf/\",\"citationCount\":\"0\",\"resultStr\":null,\"platform\":\"Semanticscholar\",\"paperid\":null,\"PeriodicalName\":\"Journal of Orthopaedic Case Reports\",\"FirstCategoryId\":\"1085\",\"ListUrlMain\":\"https://doi.org/10.13107/jocr.2025.v15.i08.5954\",\"RegionNum\":0,\"RegionCategory\":null,\"ArticlePicture\":[],\"TitleCN\":null,\"AbstractTextCN\":null,\"PMCID\":null,\"EPubDate\":\"\",\"PubModel\":\"\",\"JCR\":\"\",\"JCRName\":\"\",\"Score\":null,\"Total\":0}","platform":"Semanticscholar","paperid":null,"PeriodicalName":"Journal of Orthopaedic Case Reports","FirstCategoryId":"1085","ListUrlMain":"https://doi.org/10.13107/jocr.2025.v15.i08.5954","RegionNum":0,"RegionCategory":null,"ArticlePicture":[],"TitleCN":null,"AbstractTextCN":null,"PMCID":null,"EPubDate":"","PubModel":"","JCR":"","JCRName":"","Score":null,"Total":0}
引用次数: 0

摘要

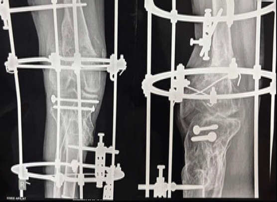
Ilizarov技术是一种广泛应用于治疗复杂骨折的方法,特别是那些涉及关节周围区域,如股骨远端和胫骨近端。Ilizarov是一种多功能手术,也可用于肢体延长、畸形矫正以及脓毒性和无菌性骨不连。病例报告:我们报告一例48岁男性,胫骨近端和股骨远端骨折不愈合,Ilizarov原位。由于皮肤健康状况不佳,右侧浮动膝不适合切开复位和内固定。计划对患者进行Ilizarov固定。这个例子说明了与浮动膝相关的困难。该技术在治疗特定关节周围骨折方面的局限性在本例的Ilizarov固定失败中得到了突出体现。结论:膝关节置换术是一种有效的挽救技术,可提供永久性疼痛缓解和功能稳定。在处理复杂的裂缝情况时,需要定制的处理方案。
本文章由计算机程序翻译,如有差异,请以英文原文为准。

Knee Arthodesis , as a salvage procedure for Non-union of floating knee after ilizarov fixation-A case report.

Knee Arthodesis , as a salvage procedure for Non-union of floating knee after ilizarov fixation-A case report.

Knee Arthodesis , as a salvage procedure for Non-union of floating knee after ilizarov fixation-A case report.

Knee Arthodesis , as a salvage procedure for Non-union of floating knee after ilizarov fixation-A case report.

Introduction: The Ilizarov technique is a widely used method for managing complex fractures, especially those involving periarticular regions such as the distal femur and proximal tibia. Ilizarov is a versatile process which can also be used for limb lengthening, deformity correction and for septic and aseptic non-unions.

Case report: We present the case of 48-year-old male with non-union of proximal tibia and distal femur fracture with Ilizarov in situ. A floating knee on the right side was unsuitable for open reduction and internal fixation due to poor skin health. Ilizarov fixation was planned for the patient. This instance demonstrates the difficulties associated with floating knee. The technique's limits in treating specific periarticular fractures are highlighted by the Ilizarov fixation's failure in this instance.

Conclusion: An efficient salvage technique that provides permanent pain relief and functional stability is knee arthrodesis. The need of customized treatment planning in handling complicated fracture situations is highlighted by this example.

求助全文
通过发布文献求助,成功后即可免费获取论文全文。 去求助
来源期刊
自引率
0.00%
发文量
128
审稿时长
30 weeks
×
引用
GB/T 7714-2015
复制
MLA
复制
APA
复制
导出至
BibTeX EndNote RefMan NoteFirst NoteExpress
×
提示
您的信息不完整,为了账户安全,请先补充。
现在去补充
×
提示
您因"违规操作"
具体请查看互助需知
我知道了
×
提示
确定
请完成安全验证×
copy
已复制链接
快去分享给好友吧!
我知道了
右上角分享
点击右上角分享
0
联系我们:info@booksci.cn Book学术提供免费学术资源搜索服务,方便国内外学者检索中英文文献。致力于提供最便捷和优质的服务体验。 Copyright © 2023 布克学术 All rights reserved.
京ICP备2023020795号-1
ghs 京公网安备 11010802042870号
Book学术文献互助
Book学术文献互助群
群 号:604180095
Book学术官方微信