慢性韧带联合不稳定与胫腓后下韧带复杂病变相关:回顾、病例报告和手术报告。

Virginie Perez, Nermine Habib, Angela Seidel
{"title":"慢性韧带联合不稳定与胫腓后下韧带复杂病变相关:回顾、病例报告和手术报告。","authors":"Virginie Perez, Nermine Habib, Angela Seidel","doi":"10.13107/jocr.2025.v15.i08.5960","DOIUrl":null,"url":null,"abstract":"<p><strong>Introduction: </strong>Syndesmotic injuries, particularly those involving the posterior inferior tibiofibular ligament (PITFL), are complex and often result in chronic pain and instability if not appropriately treated. The PITFL plays a crucial role in maintaining syndesmotic stability, especially in resisting rotational forces. This case report examines a PITFL injury involving two posterior fibular fragments, supporting the hypothesis that the superficial and deep components of the ligament function independently.</p><p><strong>Case report: </strong>A 41-year-old male presented after a bicycle accident with a complex ankle fracture involving a transverse medial malleolus fracture, a postero-medial tibial fragment, a fibular tip fracture, and two additional posterior fibular fragments. Despite initial fracture management, including closed reduction and open fixation, the patient developed chronic pain and instability due to malreduction. Computed tomography imaging revealed instability of the fibula within the fibular notch, indicating syndesmotic instability. The surgical procedure included fibular osteotomy, temporary fixation with K-wires, syndesmotic fixation with the TightRope® system, and PITFL repair using the InternalBrace™ ligament augmentation system. Intraoperative three-dimensional imaging confirmed successful reduction and stabilization.</p><p><strong>Conclusion: </strong>Fibular avulsion of the PITFL is rare. Failure to diagnose the lesion may lead to malreduction of the fibula within the incisura. The combination of osteotomy, TightRope® syndesmosis fixation, and InternalBrace™ PITFL repair provides a reliable option for managing complex PITFL injuries.</p>","PeriodicalId":16647,"journal":{"name":"Journal of Orthopaedic Case Reports","volume":"15 8","pages":"256-259"},"PeriodicalIF":0.0000,"publicationDate":"2025-08-01","publicationTypes":"Journal Article","fieldsOfStudy":null,"isOpenAccess":false,"openAccessPdf":"https://www.ncbi.nlm.nih.gov/pmc/articles/PMC12328971/pdf/","citationCount":"0","resultStr":"{\"title\":\"Chronic Syndesmotic Instability Associated with a Complex Lesion of the Posterior Inferior Tibiofibular Ligament: Review, Case Report, and Surgical Report.\",\"authors\":\"Virginie Perez, Nermine Habib, Angela Seidel\",\"doi\":\"10.13107/jocr.2025.v15.i08.5960\",\"DOIUrl\":null,\"url\":null,\"abstract\":\"<p><strong>Introduction: </strong>Syndesmotic injuries, particularly those involving the posterior inferior tibiofibular ligament (PITFL), are complex and often result in chronic pain and instability if not appropriately treated. The PITFL plays a crucial role in maintaining syndesmotic stability, especially in resisting rotational forces. This case report examines a PITFL injury involving two posterior fibular fragments, supporting the hypothesis that the superficial and deep components of the ligament function independently.</p><p><strong>Case report: </strong>A 41-year-old male presented after a bicycle accident with a complex ankle fracture involving a transverse medial malleolus fracture, a postero-medial tibial fragment, a fibular tip fracture, and two additional posterior fibular fragments. Despite initial fracture management, including closed reduction and open fixation, the patient developed chronic pain and instability due to malreduction. Computed tomography imaging revealed instability of the fibula within the fibular notch, indicating syndesmotic instability. The surgical procedure included fibular osteotomy, temporary fixation with K-wires, syndesmotic fixation with the TightRope® system, and PITFL repair using the InternalBrace™ ligament augmentation system. Intraoperative three-dimensional imaging confirmed successful reduction and stabilization.</p><p><strong>Conclusion: </strong>Fibular avulsion of the PITFL is rare. Failure to diagnose the lesion may lead to malreduction of the fibula within the incisura. The combination of osteotomy, TightRope® syndesmosis fixation, and InternalBrace™ PITFL repair provides a reliable option for managing complex PITFL injuries.</p>\",\"PeriodicalId\":16647,\"journal\":{\"name\":\"Journal of Orthopaedic Case Reports\",\"volume\":\"15 8\",\"pages\":\"256-259\"},\"PeriodicalIF\":0.0000,\"publicationDate\":\"2025-08-01\",\"publicationTypes\":\"Journal Article\",\"fieldsOfStudy\":null,\"isOpenAccess\":false,\"openAccessPdf\":\"https://www.ncbi.nlm.nih.gov/pmc/articles/PMC12328971/pdf/\",\"citationCount\":\"0\",\"resultStr\":null,\"platform\":\"Semanticscholar\",\"paperid\":null,\"PeriodicalName\":\"Journal of Orthopaedic Case Reports\",\"FirstCategoryId\":\"1085\",\"ListUrlMain\":\"https://doi.org/10.13107/jocr.2025.v15.i08.5960\",\"RegionNum\":0,\"RegionCategory\":null,\"ArticlePicture\":[],\"TitleCN\":null,\"AbstractTextCN\":null,\"PMCID\":null,\"EPubDate\":\"\",\"PubModel\":\"\",\"JCR\":\"\",\"JCRName\":\"\",\"Score\":null,\"Total\":0}","platform":"Semanticscholar","paperid":null,"PeriodicalName":"Journal of Orthopaedic Case Reports","FirstCategoryId":"1085","ListUrlMain":"https://doi.org/10.13107/jocr.2025.v15.i08.5960","RegionNum":0,"RegionCategory":null,"ArticlePicture":[],"TitleCN":null,"AbstractTextCN":null,"PMCID":null,"EPubDate":"","PubModel":"","JCR":"","JCRName":"","Score":null,"Total":0}
引用次数: 0

摘要

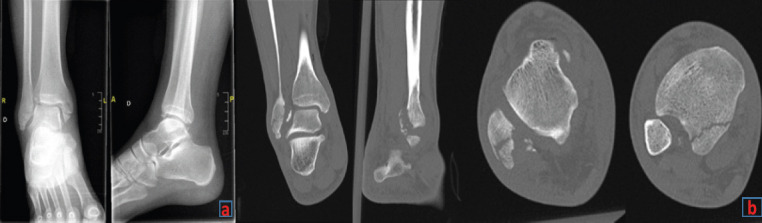
关节联合损伤,特别是涉及胫腓后下韧带(PITFL)的损伤是复杂的,如果不适当治疗,通常会导致慢性疼痛和不稳定。PITFL在维持韧带联合稳定性方面起着至关重要的作用,特别是在抵抗旋转力方面。本病例报告检查了涉及两个后腓骨碎片的下胫腓韧带损伤,支持了韧带的浅层和深层成分独立作用的假设。病例报告:一名41岁男性在自行车事故后出现复杂的踝关节骨折,包括横向内踝骨折、胫骨后内侧碎片、腓骨尖端骨折和两个额外的腓骨后碎片。尽管最初对骨折进行了治疗,包括闭合复位和开放固定,但由于复位不良,患者出现了慢性疼痛和不稳定。计算机断层成像显示腓骨在腓骨切迹内不稳定,提示关节联合不稳定。手术包括腓骨截骨、k -钢丝临时固定、TightRope®系统联合固定以及使用InternalBrace™韧带增强系统修复PITFL。术中三维成像证实复位和稳定成功。结论:后胫腓撕脱是罕见的。病变诊断失败可能导致切牙内腓骨复位不良。截骨术、TightRope®联合固定术和InternalBrace™PITFL修复术的结合为处理复杂的PITFL损伤提供了可靠的选择。
本文章由计算机程序翻译,如有差异,请以英文原文为准。

Chronic Syndesmotic Instability Associated with a Complex Lesion of the Posterior Inferior Tibiofibular Ligament: Review, Case Report, and Surgical Report.

Chronic Syndesmotic Instability Associated with a Complex Lesion of the Posterior Inferior Tibiofibular Ligament: Review, Case Report, and Surgical Report.

Chronic Syndesmotic Instability Associated with a Complex Lesion of the Posterior Inferior Tibiofibular Ligament: Review, Case Report, and Surgical Report.

Chronic Syndesmotic Instability Associated with a Complex Lesion of the Posterior Inferior Tibiofibular Ligament: Review, Case Report, and Surgical Report.

Introduction: Syndesmotic injuries, particularly those involving the posterior inferior tibiofibular ligament (PITFL), are complex and often result in chronic pain and instability if not appropriately treated. The PITFL plays a crucial role in maintaining syndesmotic stability, especially in resisting rotational forces. This case report examines a PITFL injury involving two posterior fibular fragments, supporting the hypothesis that the superficial and deep components of the ligament function independently.

Case report: A 41-year-old male presented after a bicycle accident with a complex ankle fracture involving a transverse medial malleolus fracture, a postero-medial tibial fragment, a fibular tip fracture, and two additional posterior fibular fragments. Despite initial fracture management, including closed reduction and open fixation, the patient developed chronic pain and instability due to malreduction. Computed tomography imaging revealed instability of the fibula within the fibular notch, indicating syndesmotic instability. The surgical procedure included fibular osteotomy, temporary fixation with K-wires, syndesmotic fixation with the TightRope® system, and PITFL repair using the InternalBrace™ ligament augmentation system. Intraoperative three-dimensional imaging confirmed successful reduction and stabilization.

Conclusion: Fibular avulsion of the PITFL is rare. Failure to diagnose the lesion may lead to malreduction of the fibula within the incisura. The combination of osteotomy, TightRope® syndesmosis fixation, and InternalBrace™ PITFL repair provides a reliable option for managing complex PITFL injuries.

求助全文
通过发布文献求助,成功后即可免费获取论文全文。 去求助
来源期刊
自引率
0.00%
发文量
128
审稿时长
30 weeks
×
引用
GB/T 7714-2015
复制
MLA
复制
APA
复制
导出至
BibTeX EndNote RefMan NoteFirst NoteExpress
×
提示
您的信息不完整,为了账户安全,请先补充。
现在去补充
×
提示
您因"违规操作"
具体请查看互助需知
我知道了
×
提示
确定
请完成安全验证×
copy
已复制链接
快去分享给好友吧!
我知道了
右上角分享
点击右上角分享
0
联系我们:info@booksci.cn Book学术提供免费学术资源搜索服务,方便国内外学者检索中英文文献。致力于提供最便捷和优质的服务体验。 Copyright © 2023 布克学术 All rights reserved.
京ICP备2023020795号-1
ghs 京公网安备 11010802042870号
Book学术文献互助
Book学术文献互助群
群 号:604180095
Book学术官方微信