用同种异体跟腱移植肘关节置换术一例报告。

Matthew Glazier, Morgan Turnow, Hunter Pharis, Taylor Manes, Hayden Schuette, Stephen Wiseman
{"title":"用同种异体跟腱移植肘关节置换术一例报告。","authors":"Matthew Glazier, Morgan Turnow, Hunter Pharis, Taylor Manes, Hayden Schuette, Stephen Wiseman","doi":"10.13107/jocr.2025.v15.i08.5938","DOIUrl":null,"url":null,"abstract":"<p><strong>Introduction: </strong>The treatment of post-traumatic elbow arthritis poses a significant challenge for orthopedic surgeons, especially in young active patients. Total elbow arthroplasty is often the recommended treatment option in older patients; however, interpositional arthroplasty remains a viable option in high-demand patients.</p><p><strong>Case report: </strong>We report a case of a 50-year-old male who presented after the development of post-traumatic arthritis of the elbow after multiple prior surgeries. He was treated with an interpositional arthroplasty using an Achilles tendon graft and allowed immediate range of motion as tolerated in a hinged elbow brace without the use of any form of distraction external fixation. At his final follow-up, he has significantly improved pain, range of motion, and patient-reported Visual Analog Scale , American shoulder and elbow surgeons, mayo elbow performance score, and disabilities of the arm, shoulder and hand scores.</p><p><strong>Conclusion: </strong>This case report demonstrated that interpositional arthroplasty is a viable option for managing post-traumatic elbow osteoarthritis in young patients and with good ligamentous stability, immediate protected range of motion, as tolerated, can lead to excellent outcomes.</p>","PeriodicalId":16647,"journal":{"name":"Journal of Orthopaedic Case Reports","volume":"15 8","pages":"196-200"},"PeriodicalIF":0.0000,"publicationDate":"2025-08-01","publicationTypes":"Journal Article","fieldsOfStudy":null,"isOpenAccess":false,"openAccessPdf":"https://www.ncbi.nlm.nih.gov/pmc/articles/PMC12328927/pdf/","citationCount":"0","resultStr":"{\"title\":\"Elbow Interpositional Arthroplasty using an Achilles Tendon Allograft: A Case Report.\",\"authors\":\"Matthew Glazier, Morgan Turnow, Hunter Pharis, Taylor Manes, Hayden Schuette, Stephen Wiseman\",\"doi\":\"10.13107/jocr.2025.v15.i08.5938\",\"DOIUrl\":null,\"url\":null,\"abstract\":\"<p><strong>Introduction: </strong>The treatment of post-traumatic elbow arthritis poses a significant challenge for orthopedic surgeons, especially in young active patients. Total elbow arthroplasty is often the recommended treatment option in older patients; however, interpositional arthroplasty remains a viable option in high-demand patients.</p><p><strong>Case report: </strong>We report a case of a 50-year-old male who presented after the development of post-traumatic arthritis of the elbow after multiple prior surgeries. He was treated with an interpositional arthroplasty using an Achilles tendon graft and allowed immediate range of motion as tolerated in a hinged elbow brace without the use of any form of distraction external fixation. At his final follow-up, he has significantly improved pain, range of motion, and patient-reported Visual Analog Scale , American shoulder and elbow surgeons, mayo elbow performance score, and disabilities of the arm, shoulder and hand scores.</p><p><strong>Conclusion: </strong>This case report demonstrated that interpositional arthroplasty is a viable option for managing post-traumatic elbow osteoarthritis in young patients and with good ligamentous stability, immediate protected range of motion, as tolerated, can lead to excellent outcomes.</p>\",\"PeriodicalId\":16647,\"journal\":{\"name\":\"Journal of Orthopaedic Case Reports\",\"volume\":\"15 8\",\"pages\":\"196-200\"},\"PeriodicalIF\":0.0000,\"publicationDate\":\"2025-08-01\",\"publicationTypes\":\"Journal Article\",\"fieldsOfStudy\":null,\"isOpenAccess\":false,\"openAccessPdf\":\"https://www.ncbi.nlm.nih.gov/pmc/articles/PMC12328927/pdf/\",\"citationCount\":\"0\",\"resultStr\":null,\"platform\":\"Semanticscholar\",\"paperid\":null,\"PeriodicalName\":\"Journal of Orthopaedic Case Reports\",\"FirstCategoryId\":\"1085\",\"ListUrlMain\":\"https://doi.org/10.13107/jocr.2025.v15.i08.5938\",\"RegionNum\":0,\"RegionCategory\":null,\"ArticlePicture\":[],\"TitleCN\":null,\"AbstractTextCN\":null,\"PMCID\":null,\"EPubDate\":\"\",\"PubModel\":\"\",\"JCR\":\"\",\"JCRName\":\"\",\"Score\":null,\"Total\":0}","platform":"Semanticscholar","paperid":null,"PeriodicalName":"Journal of Orthopaedic Case Reports","FirstCategoryId":"1085","ListUrlMain":"https://doi.org/10.13107/jocr.2025.v15.i08.5938","RegionNum":0,"RegionCategory":null,"ArticlePicture":[],"TitleCN":null,"AbstractTextCN":null,"PMCID":null,"EPubDate":"","PubModel":"","JCR":"","JCRName":"","Score":null,"Total":0}
引用次数: 0

摘要

创伤后肘关节关节炎的治疗对骨科医生来说是一个重大的挑战,特别是在年轻的活跃患者中。全肘关节置换术通常是老年患者推荐的治疗方案;然而,对于高需求的患者,置换术仍然是一个可行的选择。病例报告:我们报告一例50岁的男性谁提出后发展创伤后肘关节关节炎多次手术后。患者接受了跟腱移植物置入式关节置换术,在铰链式肘关节支具中允许立即活动范围,无需使用任何形式的牵张外固定。在最后的随访中,他的疼痛、活动范围、患者报告的视觉模拟量表、美国肩关节外科医生、梅奥肘关节表现评分以及手臂、肩部和手部残疾评分都有了明显改善。结论:本病例报告表明,关节置换术是治疗年轻创伤后肘关节骨性关节炎的可行选择,并且具有良好的韧带稳定性,立即保护活动范围,如果耐受,可以获得良好的结果。
本文章由计算机程序翻译,如有差异,请以英文原文为准。

Elbow Interpositional Arthroplasty using an Achilles Tendon Allograft: A Case Report.

Elbow Interpositional Arthroplasty using an Achilles Tendon Allograft: A Case Report.

Elbow Interpositional Arthroplasty using an Achilles Tendon Allograft: A Case Report.

Elbow Interpositional Arthroplasty using an Achilles Tendon Allograft: A Case Report.

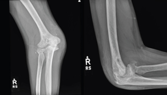
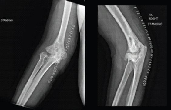
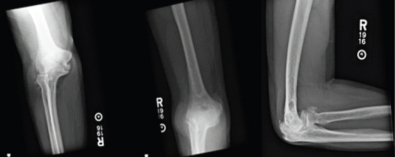
Introduction: The treatment of post-traumatic elbow arthritis poses a significant challenge for orthopedic surgeons, especially in young active patients. Total elbow arthroplasty is often the recommended treatment option in older patients; however, interpositional arthroplasty remains a viable option in high-demand patients.

Case report: We report a case of a 50-year-old male who presented after the development of post-traumatic arthritis of the elbow after multiple prior surgeries. He was treated with an interpositional arthroplasty using an Achilles tendon graft and allowed immediate range of motion as tolerated in a hinged elbow brace without the use of any form of distraction external fixation. At his final follow-up, he has significantly improved pain, range of motion, and patient-reported Visual Analog Scale , American shoulder and elbow surgeons, mayo elbow performance score, and disabilities of the arm, shoulder and hand scores.

Conclusion: This case report demonstrated that interpositional arthroplasty is a viable option for managing post-traumatic elbow osteoarthritis in young patients and with good ligamentous stability, immediate protected range of motion, as tolerated, can lead to excellent outcomes.

求助全文
通过发布文献求助,成功后即可免费获取论文全文。 去求助
来源期刊
自引率
0.00%
发文量
128
审稿时长
30 weeks
×
引用
GB/T 7714-2015
复制
MLA
复制
APA
复制
导出至
BibTeX EndNote RefMan NoteFirst NoteExpress
×
提示
您的信息不完整,为了账户安全,请先补充。
现在去补充
×
提示
您因"违规操作"
具体请查看互助需知
我知道了
×
提示
确定
请完成安全验证×
copy
已复制链接
快去分享给好友吧!
我知道了
右上角分享
点击右上角分享
0
联系我们:info@booksci.cn Book学术提供免费学术资源搜索服务,方便国内外学者检索中英文文献。致力于提供最便捷和优质的服务体验。 Copyright © 2023 布克学术 All rights reserved.
京ICP备2023020795号-1
ghs 京公网安备 11010802042870号
Book学术文献互助
Book学术文献互助群
群 号:604180095
Book学术官方微信