儿童拇指间关节开放性脱位1例。

Demah M Benfaris, Aref A Altawair, Abdulnasser Alwabel, Fahad S Alhuzaimi
{"title":"儿童拇指间关节开放性脱位1例。","authors":"Demah M Benfaris, Aref A Altawair, Abdulnasser Alwabel, Fahad S Alhuzaimi","doi":"10.13107/jocr.2025.v15.i08.5930","DOIUrl":null,"url":null,"abstract":"<p><strong>Introduction: </strong>Despite frequent toe injuries in the pediatric population, first interphalangeal joint dislocations remain an infrequently observed injury. The hallux interphalangeal joint is inherently a stable joint, supported by collaterals, joint capsule, volar To the best of our knowledge, there have been no published reports specific to this injury pattern in the pediatric population.</p><p><strong>Case report: </strong>We report a case of open HIP joint dislocation in a 7-year-old boy surgically managed with irrigation and debridement and K-wire fixation. The HIP joint was found to be stable at 4 weeks after K-wire removal and the patient had full, painless HIP joint range of motion at 24 weeks.</p><p><strong>Conclusion: </strong>Despite being a rare injury, from our experience, open HIP joint dislocation in the pediatric population can be successfully managed with surgical irrigation and debridement, reduction, capsule repair, and temporary K-wire fixation.</p>","PeriodicalId":16647,"journal":{"name":"Journal of Orthopaedic Case Reports","volume":"15 8","pages":"174-177"},"PeriodicalIF":0.0000,"publicationDate":"2025-08-01","publicationTypes":"Journal Article","fieldsOfStudy":null,"isOpenAccess":false,"openAccessPdf":"https://www.ncbi.nlm.nih.gov/pmc/articles/PMC12328980/pdf/","citationCount":"0","resultStr":"{\"title\":\"Open Dislocation of Hallux Interphalangeal Joint in a Child: A Rare Case Report.\",\"authors\":\"Demah M Benfaris, Aref A Altawair, Abdulnasser Alwabel, Fahad S Alhuzaimi\",\"doi\":\"10.13107/jocr.2025.v15.i08.5930\",\"DOIUrl\":null,\"url\":null,\"abstract\":\"<p><strong>Introduction: </strong>Despite frequent toe injuries in the pediatric population, first interphalangeal joint dislocations remain an infrequently observed injury. The hallux interphalangeal joint is inherently a stable joint, supported by collaterals, joint capsule, volar To the best of our knowledge, there have been no published reports specific to this injury pattern in the pediatric population.</p><p><strong>Case report: </strong>We report a case of open HIP joint dislocation in a 7-year-old boy surgically managed with irrigation and debridement and K-wire fixation. The HIP joint was found to be stable at 4 weeks after K-wire removal and the patient had full, painless HIP joint range of motion at 24 weeks.</p><p><strong>Conclusion: </strong>Despite being a rare injury, from our experience, open HIP joint dislocation in the pediatric population can be successfully managed with surgical irrigation and debridement, reduction, capsule repair, and temporary K-wire fixation.</p>\",\"PeriodicalId\":16647,\"journal\":{\"name\":\"Journal of Orthopaedic Case Reports\",\"volume\":\"15 8\",\"pages\":\"174-177\"},\"PeriodicalIF\":0.0000,\"publicationDate\":\"2025-08-01\",\"publicationTypes\":\"Journal Article\",\"fieldsOfStudy\":null,\"isOpenAccess\":false,\"openAccessPdf\":\"https://www.ncbi.nlm.nih.gov/pmc/articles/PMC12328980/pdf/\",\"citationCount\":\"0\",\"resultStr\":null,\"platform\":\"Semanticscholar\",\"paperid\":null,\"PeriodicalName\":\"Journal of Orthopaedic Case Reports\",\"FirstCategoryId\":\"1085\",\"ListUrlMain\":\"https://doi.org/10.13107/jocr.2025.v15.i08.5930\",\"RegionNum\":0,\"RegionCategory\":null,\"ArticlePicture\":[],\"TitleCN\":null,\"AbstractTextCN\":null,\"PMCID\":null,\"EPubDate\":\"\",\"PubModel\":\"\",\"JCR\":\"\",\"JCRName\":\"\",\"Score\":null,\"Total\":0}","platform":"Semanticscholar","paperid":null,"PeriodicalName":"Journal of Orthopaedic Case Reports","FirstCategoryId":"1085","ListUrlMain":"https://doi.org/10.13107/jocr.2025.v15.i08.5930","RegionNum":0,"RegionCategory":null,"ArticlePicture":[],"TitleCN":null,"AbstractTextCN":null,"PMCID":null,"EPubDate":"","PubModel":"","JCR":"","JCRName":"","Score":null,"Total":0}
引用次数: 0

摘要

导读:尽管在儿科人群中经常发生脚趾损伤,但第一指间关节脱位仍然是一种罕见的损伤。拇指间关节本身是一个稳定的关节,由侧支、关节囊、掌侧支撑。据我们所知,目前还没有针对小儿群体这种损伤模式的公开报道。病例报告:我们报告一例7岁男孩的开放性髋关节脱位,手术处理与冲洗和清创和k针固定。拔除k针后4周发现髋关节稳定,24周时患者髋关节活动范围完整无痛。结论:尽管这是一种罕见的损伤,但根据我们的经验,儿科人群的开放性髋关节脱位可以通过手术冲洗、清创、复位、囊修复和临时k针固定成功治疗。
本文章由计算机程序翻译,如有差异,请以英文原文为准。

Open Dislocation of Hallux Interphalangeal Joint in a Child: A Rare Case Report.

Open Dislocation of Hallux Interphalangeal Joint in a Child: A Rare Case Report.

Open Dislocation of Hallux Interphalangeal Joint in a Child: A Rare Case Report.

Open Dislocation of Hallux Interphalangeal Joint in a Child: A Rare Case Report.

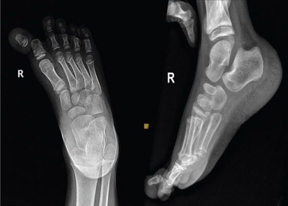
Introduction: Despite frequent toe injuries in the pediatric population, first interphalangeal joint dislocations remain an infrequently observed injury. The hallux interphalangeal joint is inherently a stable joint, supported by collaterals, joint capsule, volar To the best of our knowledge, there have been no published reports specific to this injury pattern in the pediatric population.

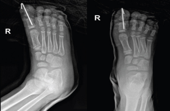
Case report: We report a case of open HIP joint dislocation in a 7-year-old boy surgically managed with irrigation and debridement and K-wire fixation. The HIP joint was found to be stable at 4 weeks after K-wire removal and the patient had full, painless HIP joint range of motion at 24 weeks.

Conclusion: Despite being a rare injury, from our experience, open HIP joint dislocation in the pediatric population can be successfully managed with surgical irrigation and debridement, reduction, capsule repair, and temporary K-wire fixation.

求助全文
通过发布文献求助,成功后即可免费获取论文全文。 去求助
来源期刊
自引率
0.00%
发文量
128
审稿时长
30 weeks
×
引用
GB/T 7714-2015
复制
MLA
复制
APA
复制
导出至
BibTeX EndNote RefMan NoteFirst NoteExpress
×
提示
您的信息不完整,为了账户安全,请先补充。
现在去补充
×
提示
您因"违规操作"
具体请查看互助需知
我知道了
×
提示
确定
请完成安全验证×
copy
已复制链接
快去分享给好友吧!
我知道了
右上角分享
点击右上角分享
0
联系我们:info@booksci.cn Book学术提供免费学术资源搜索服务,方便国内外学者检索中英文文献。致力于提供最便捷和优质的服务体验。 Copyright © 2023 布克学术 All rights reserved.
京ICP备2023020795号-1
ghs 京公网安备 11010802042870号
Book学术文献互助
Book学术文献互助群
群 号:604180095
Book学术官方微信