jak2阳性原发性血小板增多症患者的白细胞分裂性血管炎:1例细胞因子驱动的荨麻疹对鲁索利替尼有反应。

Q3 Medicine
European journal of case reports in internal medicine Pub Date : 2025-07-02 eCollection Date: 2025-01-01 DOI:10.12890/2025_005615
Murad Aldarayseh, Leonardo Marmolejos, Dalia Al Zoubi, Michelle Cholankeril
{"title":"jak2阳性原发性血小板增多症患者的白细胞分裂性血管炎:1例细胞因子驱动的荨麻疹对鲁索利替尼有反应。","authors":"Murad Aldarayseh, Leonardo Marmolejos, Dalia Al Zoubi, Michelle Cholankeril","doi":"10.12890/2025_005615","DOIUrl":null,"url":null,"abstract":"<p><p>Essential thrombocythemia (ET) is a chronic myeloproliferative neoplasm characterised by sustained thrombocytosis and frequently associated with JAK2 V617F mutations. It is primarily known for its thrombotic and haemorrhagic complications, which dominate its clinical presentation. However, inflammatory and dermatologic manifestations are uncommon and less well recognised. Among these, cutaneous vasculitis - particularly leukocytoclastic vasculitis (LCV) - is a rare and underreported feature. We present the case of a 54-year-old woman with JAK2-positive ET who developed a persistent urticarial rash that coincided with worsening thrombocytosis. Bone marrow biopsy revealed megakaryocytic hyperplasia, confirming the diagnosis of ET. Initially, the patient responded to hydroxyurea, but her disease eventually became refractory, and anagrelide failed to control either her platelet count or symptoms. Her skin rash progressed in parallel with uncontrolled thrombocytosis, and biopsy confirmed LCV. Initiation of ruxolitinib, a JAK1/2 inhibitor, led to haematologic improvement and complete resolution of the vasculitis. This case highlights a rare but clinically significant association between ET and cutaneous vasculitis and suggests a potential role for JAK inhibition in managing such refractory inflammatory manifestations.</p><p><strong>Learning points: </strong>Cutaneous vasculitis is a rare but significant manifestation of essential thrombocythemia.Leukocytoclastic vasculitis may present with urticarial lesions resistant to standard therapy.Janus kinase (JAK) inhibition with ruxolitinib can achieve both haematologic and dermatologic remission in refractory cases.</p>","PeriodicalId":11908,"journal":{"name":"European journal of case reports in internal medicine","volume":"12 8","pages":"005615"},"PeriodicalIF":0.0000,"publicationDate":"2025-07-02","publicationTypes":"Journal Article","fieldsOfStudy":null,"isOpenAccess":false,"openAccessPdf":"https://www.ncbi.nlm.nih.gov/pmc/articles/PMC12331274/pdf/","citationCount":"0","resultStr":"{\"title\":\"Leukocytoclastic Vasculitis in JAK2-Positive Essential Thrombocythemia: A Case of Cytokine-Driven Urticarial Rash Responsive to Ruxolitinib.\",\"authors\":\"Murad Aldarayseh, Leonardo Marmolejos, Dalia Al Zoubi, Michelle Cholankeril\",\"doi\":\"10.12890/2025_005615\",\"DOIUrl\":null,\"url\":null,\"abstract\":\"<p><p>Essential thrombocythemia (ET) is a chronic myeloproliferative neoplasm characterised by sustained thrombocytosis and frequently associated with JAK2 V617F mutations. It is primarily known for its thrombotic and haemorrhagic complications, which dominate its clinical presentation. However, inflammatory and dermatologic manifestations are uncommon and less well recognised. Among these, cutaneous vasculitis - particularly leukocytoclastic vasculitis (LCV) - is a rare and underreported feature. We present the case of a 54-year-old woman with JAK2-positive ET who developed a persistent urticarial rash that coincided with worsening thrombocytosis. Bone marrow biopsy revealed megakaryocytic hyperplasia, confirming the diagnosis of ET. Initially, the patient responded to hydroxyurea, but her disease eventually became refractory, and anagrelide failed to control either her platelet count or symptoms. Her skin rash progressed in parallel with uncontrolled thrombocytosis, and biopsy confirmed LCV. Initiation of ruxolitinib, a JAK1/2 inhibitor, led to haematologic improvement and complete resolution of the vasculitis. This case highlights a rare but clinically significant association between ET and cutaneous vasculitis and suggests a potential role for JAK inhibition in managing such refractory inflammatory manifestations.</p><p><strong>Learning points: </strong>Cutaneous vasculitis is a rare but significant manifestation of essential thrombocythemia.Leukocytoclastic vasculitis may present with urticarial lesions resistant to standard therapy.Janus kinase (JAK) inhibition with ruxolitinib can achieve both haematologic and dermatologic remission in refractory cases.</p>\",\"PeriodicalId\":11908,\"journal\":{\"name\":\"European journal of case reports in internal medicine\",\"volume\":\"12 8\",\"pages\":\"005615\"},\"PeriodicalIF\":0.0000,\"publicationDate\":\"2025-07-02\",\"publicationTypes\":\"Journal Article\",\"fieldsOfStudy\":null,\"isOpenAccess\":false,\"openAccessPdf\":\"https://www.ncbi.nlm.nih.gov/pmc/articles/PMC12331274/pdf/\",\"citationCount\":\"0\",\"resultStr\":null,\"platform\":\"Semanticscholar\",\"paperid\":null,\"PeriodicalName\":\"European journal of case reports in internal medicine\",\"FirstCategoryId\":\"1085\",\"ListUrlMain\":\"https://doi.org/10.12890/2025_005615\",\"RegionNum\":0,\"RegionCategory\":null,\"ArticlePicture\":[],\"TitleCN\":null,\"AbstractTextCN\":null,\"PMCID\":null,\"EPubDate\":\"2025/1/1 0:00:00\",\"PubModel\":\"eCollection\",\"JCR\":\"Q3\",\"JCRName\":\"Medicine\",\"Score\":null,\"Total\":0}","platform":"Semanticscholar","paperid":null,"PeriodicalName":"European journal of case reports in internal medicine","FirstCategoryId":"1085","ListUrlMain":"https://doi.org/10.12890/2025_005615","RegionNum":0,"RegionCategory":null,"ArticlePicture":[],"TitleCN":null,"AbstractTextCN":null,"PMCID":null,"EPubDate":"2025/1/1 0:00:00","PubModel":"eCollection","JCR":"Q3","JCRName":"Medicine","Score":null,"Total":0}
引用次数: 0

摘要

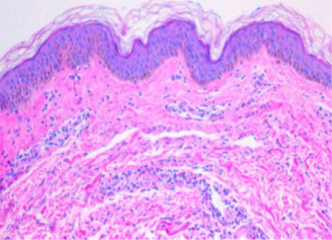
原发性血小板增多症(ET)是一种慢性骨髓增生性肿瘤,其特征是持续的血小板增多,通常与JAK2 V617F突变有关。它主要以其血栓和出血性并发症而闻名,这是其主要的临床表现。然而,炎症和皮肤病的表现是不常见的,不太为人所知。其中,皮肤血管炎,尤其是白细胞破坏性血管炎(LCV)是一种罕见且未被报道的特征。我们提出的病例54岁的妇女与jak2阳性ET谁发展持续性荨麻疹,同时恶化的血小板增多。骨髓活检显示巨核细胞增生,证实ET的诊断。最初,患者对羟基脲有反应,但她的疾病最终变得难治性,阿纳格列德未能控制她的血小板计数或症状。她的皮疹进展与不受控制的血小板增多同时发生,活检证实LCV。开始使用ruxolitinib(一种JAK1/2抑制剂)导致血液学改善和血管炎的完全解决。该病例强调了ET与皮肤血管炎之间罕见但具有临床意义的关联,并提示JAK抑制在治疗此类难治性炎症表现中的潜在作用。学习要点:皮肤血管炎是原发性血小板增多症的一种罕见但重要的表现。白细胞分裂性血管炎可能伴有对标准治疗有抗性的荨麻疹病变。ruxolitinib抑制Janus激酶(JAK)可以在难治性病例中实现血液和皮肤缓解。
本文章由计算机程序翻译,如有差异,请以英文原文为准。

Leukocytoclastic Vasculitis in JAK2-Positive Essential Thrombocythemia: A Case of Cytokine-Driven Urticarial Rash Responsive to Ruxolitinib.

Leukocytoclastic Vasculitis in JAK2-Positive Essential Thrombocythemia: A Case of Cytokine-Driven Urticarial Rash Responsive to Ruxolitinib.

Leukocytoclastic Vasculitis in JAK2-Positive Essential Thrombocythemia: A Case of Cytokine-Driven Urticarial Rash Responsive to Ruxolitinib.

Essential thrombocythemia (ET) is a chronic myeloproliferative neoplasm characterised by sustained thrombocytosis and frequently associated with JAK2 V617F mutations. It is primarily known for its thrombotic and haemorrhagic complications, which dominate its clinical presentation. However, inflammatory and dermatologic manifestations are uncommon and less well recognised. Among these, cutaneous vasculitis - particularly leukocytoclastic vasculitis (LCV) - is a rare and underreported feature. We present the case of a 54-year-old woman with JAK2-positive ET who developed a persistent urticarial rash that coincided with worsening thrombocytosis. Bone marrow biopsy revealed megakaryocytic hyperplasia, confirming the diagnosis of ET. Initially, the patient responded to hydroxyurea, but her disease eventually became refractory, and anagrelide failed to control either her platelet count or symptoms. Her skin rash progressed in parallel with uncontrolled thrombocytosis, and biopsy confirmed LCV. Initiation of ruxolitinib, a JAK1/2 inhibitor, led to haematologic improvement and complete resolution of the vasculitis. This case highlights a rare but clinically significant association between ET and cutaneous vasculitis and suggests a potential role for JAK inhibition in managing such refractory inflammatory manifestations.

Learning points: Cutaneous vasculitis is a rare but significant manifestation of essential thrombocythemia.Leukocytoclastic vasculitis may present with urticarial lesions resistant to standard therapy.Janus kinase (JAK) inhibition with ruxolitinib can achieve both haematologic and dermatologic remission in refractory cases.

求助全文
通过发布文献求助,成功后即可免费获取论文全文。 去求助
来源期刊
CiteScore
2.10
自引率
0.00%
发文量
166
审稿时长
8 weeks
期刊介绍: The European Journal of Case Reports in Internal Medicine is an official journal of the European Federation of Internal Medicine (EFIM), representing 35 national societies from 33 European countries. The Journal''s mission is to promote the best medical practice and innovation in the field of acute and general medicine. It also provides a forum for internal medicine doctors where they can share new approaches with the aim of improving diagnostic and clinical skills in this field. EJCRIM welcomes high-quality case reports describing unusual or complex cases that an internist may encounter in everyday practice. The cases should either demonstrate the appropriateness of a diagnostic/therapeutic approach, describe a new procedure or maneuver, or show unusual manifestations of a disease or unexpected reactions. The Journal only accepts and publishes those case reports whose learning points provide new insight and/or contribute to advancing medical knowledge both in terms of diagnostics and therapeutic approaches. Case reports of medical errors, therefore, are also welcome as long as they provide innovative measures on how to prevent them in the current practice (Instructive Errors). The Journal may also consider brief and reasoned reports on issues relevant to the practice of Internal Medicine, as well as Abstracts submitted to the scientific meetings of acknowledged medical societies.
×
引用
GB/T 7714-2015
复制
MLA
复制
APA
复制
导出至
BibTeX EndNote RefMan NoteFirst NoteExpress
×
提示
您的信息不完整,为了账户安全,请先补充。
现在去补充
×
提示
您因"违规操作"
具体请查看互助需知
我知道了
×
提示
确定
请完成安全验证×
copy
已复制链接
快去分享给好友吧!
我知道了
右上角分享
点击右上角分享
0
联系我们:info@booksci.cn Book学术提供免费学术资源搜索服务,方便国内外学者检索中英文文献。致力于提供最便捷和优质的服务体验。 Copyright © 2023 布克学术 All rights reserved.
京ICP备2023020795号-1
ghs 京公网安备 11010802042870号
Book学术文献互助
Book学术文献互助群
群 号:604180095
Book学术官方微信