孤立二尖瓣包虫囊肿模拟黏液瘤:一例罕见的二尖瓣包虫病。

Q3 Medicine
European journal of case reports in internal medicine Pub Date : 2025-07-16 eCollection Date: 2025-01-01 DOI:10.12890/2025_005667
Nana Gonjilashvili, Ekaterine Gagnidze, Arwa Fareah Ansar, Ana Gonjilashvili
{"title":"孤立二尖瓣包虫囊肿模拟黏液瘤:一例罕见的二尖瓣包虫病。","authors":"Nana Gonjilashvili, Ekaterine Gagnidze, Arwa Fareah Ansar, Ana Gonjilashvili","doi":"10.12890/2025_005667","DOIUrl":null,"url":null,"abstract":"<p><strong>Background: </strong>Cardiac involvement by <i>Echinococcus granulosus</i> is extremely rare, accounting for less than 2% of all hydatid disease cases. When it occurs, it commonly affects the left ventricle, while valvular involvement is exceedingly unusual.</p><p><strong>Case presentation: </strong>We present the case of a 74-year-old woman from rural Georgia who developed progressive exertional dyspnoea and fatigue. Physical examination revealed multiple murmurs, and transthoracic echocardiography identified a mobile, hyperechoic mass attached to the posterior mitral valve leaflet. Transoesophageal echocardiography raised suspicion for a myxoma or vegetation, and surgical excision was pursued due to embolic risk. Intraoperatively, a teardrop-shaped cystic mass containing multiple daughter cysts was found on the P2 segment of the mitral valve. Histopathology confirmed a hydatid cyst, consistent with cardiac echinococcosis. The patient underwent successful segmental excision of the cyst with mitral valve repair and tricuspid annuloplasty. Her postoperative course was complicated by atrial fibrillation and new-onset type 2 diabetes mellitus. She was treated with albendazole and discharged in stable condition.</p><p><strong>Conclusion: </strong>This report highlights a rare instance of isolated mitral valve echinococcosis, initially misdiagnosed as a myxoma. It underscores the importance of considering parasitic aetiologies in the differential diagnosis of intracardiac masses, particularly in patients with rural backgrounds.</p><p><strong>Learning points: </strong>Mitral valve involvement in cardiac echinococcosis is exceedingly rare and may clinically and radiographically mimic myxomas or vegetations.Hydatid disease should be considered in the differential diagnosis of intracardiac masses, especially in patients with epidemiologic exposure to livestock or dogs.Early recognition and surgical intervention, coupled with antiparasitic therapy, are essential for optimal outcomes in rare valvular hydatid disease.</p>","PeriodicalId":11908,"journal":{"name":"European journal of case reports in internal medicine","volume":"12 8","pages":"005667"},"PeriodicalIF":0.0000,"publicationDate":"2025-07-16","publicationTypes":"Journal Article","fieldsOfStudy":null,"isOpenAccess":false,"openAccessPdf":"https://www.ncbi.nlm.nih.gov/pmc/articles/PMC12331268/pdf/","citationCount":"0","resultStr":"{\"title\":\"Isolated Mitral Valve Hydatid CYST Mimicking Myxoma: A Rare Case of Mitral Valve Echinococcosis.\",\"authors\":\"Nana Gonjilashvili, Ekaterine Gagnidze, Arwa Fareah Ansar, Ana Gonjilashvili\",\"doi\":\"10.12890/2025_005667\",\"DOIUrl\":null,\"url\":null,\"abstract\":\"<p><strong>Background: </strong>Cardiac involvement by <i>Echinococcus granulosus</i> is extremely rare, accounting for less than 2% of all hydatid disease cases. When it occurs, it commonly affects the left ventricle, while valvular involvement is exceedingly unusual.</p><p><strong>Case presentation: </strong>We present the case of a 74-year-old woman from rural Georgia who developed progressive exertional dyspnoea and fatigue. Physical examination revealed multiple murmurs, and transthoracic echocardiography identified a mobile, hyperechoic mass attached to the posterior mitral valve leaflet. Transoesophageal echocardiography raised suspicion for a myxoma or vegetation, and surgical excision was pursued due to embolic risk. Intraoperatively, a teardrop-shaped cystic mass containing multiple daughter cysts was found on the P2 segment of the mitral valve. Histopathology confirmed a hydatid cyst, consistent with cardiac echinococcosis. The patient underwent successful segmental excision of the cyst with mitral valve repair and tricuspid annuloplasty. Her postoperative course was complicated by atrial fibrillation and new-onset type 2 diabetes mellitus. She was treated with albendazole and discharged in stable condition.</p><p><strong>Conclusion: </strong>This report highlights a rare instance of isolated mitral valve echinococcosis, initially misdiagnosed as a myxoma. It underscores the importance of considering parasitic aetiologies in the differential diagnosis of intracardiac masses, particularly in patients with rural backgrounds.</p><p><strong>Learning points: </strong>Mitral valve involvement in cardiac echinococcosis is exceedingly rare and may clinically and radiographically mimic myxomas or vegetations.Hydatid disease should be considered in the differential diagnosis of intracardiac masses, especially in patients with epidemiologic exposure to livestock or dogs.Early recognition and surgical intervention, coupled with antiparasitic therapy, are essential for optimal outcomes in rare valvular hydatid disease.</p>\",\"PeriodicalId\":11908,\"journal\":{\"name\":\"European journal of case reports in internal medicine\",\"volume\":\"12 8\",\"pages\":\"005667\"},\"PeriodicalIF\":0.0000,\"publicationDate\":\"2025-07-16\",\"publicationTypes\":\"Journal Article\",\"fieldsOfStudy\":null,\"isOpenAccess\":false,\"openAccessPdf\":\"https://www.ncbi.nlm.nih.gov/pmc/articles/PMC12331268/pdf/\",\"citationCount\":\"0\",\"resultStr\":null,\"platform\":\"Semanticscholar\",\"paperid\":null,\"PeriodicalName\":\"European journal of case reports in internal medicine\",\"FirstCategoryId\":\"1085\",\"ListUrlMain\":\"https://doi.org/10.12890/2025_005667\",\"RegionNum\":0,\"RegionCategory\":null,\"ArticlePicture\":[],\"TitleCN\":null,\"AbstractTextCN\":null,\"PMCID\":null,\"EPubDate\":\"2025/1/1 0:00:00\",\"PubModel\":\"eCollection\",\"JCR\":\"Q3\",\"JCRName\":\"Medicine\",\"Score\":null,\"Total\":0}","platform":"Semanticscholar","paperid":null,"PeriodicalName":"European journal of case reports in internal medicine","FirstCategoryId":"1085","ListUrlMain":"https://doi.org/10.12890/2025_005667","RegionNum":0,"RegionCategory":null,"ArticlePicture":[],"TitleCN":null,"AbstractTextCN":null,"PMCID":null,"EPubDate":"2025/1/1 0:00:00","PubModel":"eCollection","JCR":"Q3","JCRName":"Medicine","Score":null,"Total":0}
引用次数: 0

摘要

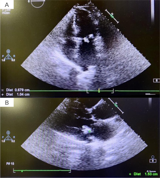
背景:细粒棘球绦虫累及心脏极为罕见,占所有包虫病病例的不到2%。当它发生时,通常影响左心室,而累及瓣膜是非常罕见的。病例介绍:我们提出的情况下,74岁的妇女从农村格鲁吉亚谁发展进行性用力呼吸困难和疲劳。体格检查发现多发杂音,经胸超声心动图发现一个可移动的高回声肿块附着在二尖瓣后小叶上。经食管超声心动图提示怀疑为黏液瘤或植物瘤,由于有栓塞风险,手术切除。术中在二尖瓣P2段发现泪滴状囊性肿块,内含多个子囊肿。组织病理学证实为包虫病,符合心包虫病。患者接受了成功的节段性囊肿切除,二尖瓣修复和三尖瓣环成形术。术后并发心房颤动和新发2型糖尿病。患者给予阿苯达唑治疗,出院时病情稳定。结论:本报告报告一例罕见的孤立二尖瓣包虫病,最初误诊为黏液瘤。它强调了在心内肿块的鉴别诊断中考虑寄生病因的重要性,特别是在农村背景的患者中。学习要点:心脏包虫病累及二尖瓣极为罕见,在临床和影像学上可能与黏液瘤或赘生物相似。在鉴别诊断心内肿块时应考虑包虫病,特别是在与家畜或狗有流行病学接触的患者中。早期识别和手术干预,加上抗寄生虫治疗,对罕见的瓣膜包虫病的最佳结果至关重要。
本文章由计算机程序翻译,如有差异,请以英文原文为准。

Isolated Mitral Valve Hydatid CYST Mimicking Myxoma: A Rare Case of Mitral Valve Echinococcosis.

Isolated Mitral Valve Hydatid CYST Mimicking Myxoma: A Rare Case of Mitral Valve Echinococcosis.

Isolated Mitral Valve Hydatid CYST Mimicking Myxoma: A Rare Case of Mitral Valve Echinococcosis.

Background: Cardiac involvement by Echinococcus granulosus is extremely rare, accounting for less than 2% of all hydatid disease cases. When it occurs, it commonly affects the left ventricle, while valvular involvement is exceedingly unusual.

Case presentation: We present the case of a 74-year-old woman from rural Georgia who developed progressive exertional dyspnoea and fatigue. Physical examination revealed multiple murmurs, and transthoracic echocardiography identified a mobile, hyperechoic mass attached to the posterior mitral valve leaflet. Transoesophageal echocardiography raised suspicion for a myxoma or vegetation, and surgical excision was pursued due to embolic risk. Intraoperatively, a teardrop-shaped cystic mass containing multiple daughter cysts was found on the P2 segment of the mitral valve. Histopathology confirmed a hydatid cyst, consistent with cardiac echinococcosis. The patient underwent successful segmental excision of the cyst with mitral valve repair and tricuspid annuloplasty. Her postoperative course was complicated by atrial fibrillation and new-onset type 2 diabetes mellitus. She was treated with albendazole and discharged in stable condition.

Conclusion: This report highlights a rare instance of isolated mitral valve echinococcosis, initially misdiagnosed as a myxoma. It underscores the importance of considering parasitic aetiologies in the differential diagnosis of intracardiac masses, particularly in patients with rural backgrounds.

Learning points: Mitral valve involvement in cardiac echinococcosis is exceedingly rare and may clinically and radiographically mimic myxomas or vegetations.Hydatid disease should be considered in the differential diagnosis of intracardiac masses, especially in patients with epidemiologic exposure to livestock or dogs.Early recognition and surgical intervention, coupled with antiparasitic therapy, are essential for optimal outcomes in rare valvular hydatid disease.

求助全文
通过发布文献求助,成功后即可免费获取论文全文。 去求助
来源期刊
CiteScore
2.10
自引率
0.00%
发文量
166
审稿时长
8 weeks
期刊介绍: The European Journal of Case Reports in Internal Medicine is an official journal of the European Federation of Internal Medicine (EFIM), representing 35 national societies from 33 European countries. The Journal''s mission is to promote the best medical practice and innovation in the field of acute and general medicine. It also provides a forum for internal medicine doctors where they can share new approaches with the aim of improving diagnostic and clinical skills in this field. EJCRIM welcomes high-quality case reports describing unusual or complex cases that an internist may encounter in everyday practice. The cases should either demonstrate the appropriateness of a diagnostic/therapeutic approach, describe a new procedure or maneuver, or show unusual manifestations of a disease or unexpected reactions. The Journal only accepts and publishes those case reports whose learning points provide new insight and/or contribute to advancing medical knowledge both in terms of diagnostics and therapeutic approaches. Case reports of medical errors, therefore, are also welcome as long as they provide innovative measures on how to prevent them in the current practice (Instructive Errors). The Journal may also consider brief and reasoned reports on issues relevant to the practice of Internal Medicine, as well as Abstracts submitted to the scientific meetings of acknowledged medical societies.
×
引用
GB/T 7714-2015
复制
MLA
复制
APA
复制
导出至
BibTeX EndNote RefMan NoteFirst NoteExpress
×
提示
您的信息不完整,为了账户安全,请先补充。
现在去补充
×
提示
您因"违规操作"
具体请查看互助需知
我知道了
×
提示
确定
请完成安全验证×
copy
已复制链接
快去分享给好友吧!
我知道了
右上角分享
点击右上角分享
0
联系我们:info@booksci.cn Book学术提供免费学术资源搜索服务,方便国内外学者检索中英文文献。致力于提供最便捷和优质的服务体验。 Copyright © 2023 布克学术 All rights reserved.
京ICP备2023020795号-1
ghs 京公网安备 11010802042870号
Book学术文献互助
Book学术文献互助群
群 号:604180095
Book学术官方微信