持续冲洗治疗顽固性多药耐药脑脓肿2例。

Q3 Medicine
European journal of case reports in internal medicine Pub Date : 2025-07-03 eCollection Date: 2025-01-01 DOI:10.12890/2025_005566
Nguyen Quang Thanh, Nguyen Trung Cap, Vu Dinh Phu, Mac Duy Hung, Nguyen Quoc Phuong, Dong Phu Khiem, Pham Ngoc Thach
{"title":"持续冲洗治疗顽固性多药耐药脑脓肿2例。","authors":"Nguyen Quang Thanh, Nguyen Trung Cap, Vu Dinh Phu, Mac Duy Hung, Nguyen Quoc Phuong, Dong Phu Khiem, Pham Ngoc Thach","doi":"10.12890/2025_005566","DOIUrl":null,"url":null,"abstract":"<p><strong>Introduction: </strong>Brain abscesses remain a significant clinical challenge, particularly in cases involving multidrug-resistant (MDR) organisms or failure of standard surgical and medical therapy. Newer adjunctive techniques, such as continuous irrigation therapy, have been explored to enhance infection control and patient outcomes in these complex scenarios.</p><p><strong>Case description: </strong>We present two cases of brain abscess treated at a tertiary care centre using continuous abscess cavity irrigation after conventional interventions proved insufficient. The first patient, a 15-year-old male, experienced recurrent MDR brain abscesses despite multiple surgical procedures and broad-spectrum antibiotics. Initiation of continuous irrigation, combined with targeted antimicrobial therapy, resulted in rapid clinical stabilisation and marked radiological improvement, with minimal long-term sequelae. The second patient, a 65-year-old female, developed multiple brain abscesses after traumatic brain injury and decompressive surgery. Although continuous irrigation effectively controlled the intracranial infection and imaging confirmed resolution, her neurological recovery was limited due to profound pre-existing brain damage.</p><p><strong>Conclusion: </strong>Continuous irrigation therapy appears to be a valuable adjunct in the management of refractory or MDR brain abscesses, facilitating rapid infection control when conventional treatments are inadequate. However, ultimate neurological outcomes are largely dependent on the extent of underlying brain injury. These cases highlight the importance of considering continuous irrigation in selected patients and underscore the need for further research and multidisciplinary collaboration to optimise management protocols and improve patient outcomes.</p><p><strong>Learning points: </strong>Continuous irrigation with alternating saline and antibiotic solutions is an effective adjunct in the management of refractory or multidrug-resistant brain abscesses.Unfortunately, successful infection control does not always guarantee neurological recovery.</p>","PeriodicalId":11908,"journal":{"name":"European journal of case reports in internal medicine","volume":"12 8","pages":"005566"},"PeriodicalIF":0.0000,"publicationDate":"2025-07-03","publicationTypes":"Journal Article","fieldsOfStudy":null,"isOpenAccess":false,"openAccessPdf":"https://www.ncbi.nlm.nih.gov/pmc/articles/PMC12331261/pdf/","citationCount":"0","resultStr":"{\"title\":\"Continuous Irrigation for Refractory Multidrug-Resistant Brain Abscess in two Patients.\",\"authors\":\"Nguyen Quang Thanh, Nguyen Trung Cap, Vu Dinh Phu, Mac Duy Hung, Nguyen Quoc Phuong, Dong Phu Khiem, Pham Ngoc Thach\",\"doi\":\"10.12890/2025_005566\",\"DOIUrl\":null,\"url\":null,\"abstract\":\"<p><strong>Introduction: </strong>Brain abscesses remain a significant clinical challenge, particularly in cases involving multidrug-resistant (MDR) organisms or failure of standard surgical and medical therapy. Newer adjunctive techniques, such as continuous irrigation therapy, have been explored to enhance infection control and patient outcomes in these complex scenarios.</p><p><strong>Case description: </strong>We present two cases of brain abscess treated at a tertiary care centre using continuous abscess cavity irrigation after conventional interventions proved insufficient. The first patient, a 15-year-old male, experienced recurrent MDR brain abscesses despite multiple surgical procedures and broad-spectrum antibiotics. Initiation of continuous irrigation, combined with targeted antimicrobial therapy, resulted in rapid clinical stabilisation and marked radiological improvement, with minimal long-term sequelae. The second patient, a 65-year-old female, developed multiple brain abscesses after traumatic brain injury and decompressive surgery. Although continuous irrigation effectively controlled the intracranial infection and imaging confirmed resolution, her neurological recovery was limited due to profound pre-existing brain damage.</p><p><strong>Conclusion: </strong>Continuous irrigation therapy appears to be a valuable adjunct in the management of refractory or MDR brain abscesses, facilitating rapid infection control when conventional treatments are inadequate. However, ultimate neurological outcomes are largely dependent on the extent of underlying brain injury. These cases highlight the importance of considering continuous irrigation in selected patients and underscore the need for further research and multidisciplinary collaboration to optimise management protocols and improve patient outcomes.</p><p><strong>Learning points: </strong>Continuous irrigation with alternating saline and antibiotic solutions is an effective adjunct in the management of refractory or multidrug-resistant brain abscesses.Unfortunately, successful infection control does not always guarantee neurological recovery.</p>\",\"PeriodicalId\":11908,\"journal\":{\"name\":\"European journal of case reports in internal medicine\",\"volume\":\"12 8\",\"pages\":\"005566\"},\"PeriodicalIF\":0.0000,\"publicationDate\":\"2025-07-03\",\"publicationTypes\":\"Journal Article\",\"fieldsOfStudy\":null,\"isOpenAccess\":false,\"openAccessPdf\":\"https://www.ncbi.nlm.nih.gov/pmc/articles/PMC12331261/pdf/\",\"citationCount\":\"0\",\"resultStr\":null,\"platform\":\"Semanticscholar\",\"paperid\":null,\"PeriodicalName\":\"European journal of case reports in internal medicine\",\"FirstCategoryId\":\"1085\",\"ListUrlMain\":\"https://doi.org/10.12890/2025_005566\",\"RegionNum\":0,\"RegionCategory\":null,\"ArticlePicture\":[],\"TitleCN\":null,\"AbstractTextCN\":null,\"PMCID\":null,\"EPubDate\":\"2025/1/1 0:00:00\",\"PubModel\":\"eCollection\",\"JCR\":\"Q3\",\"JCRName\":\"Medicine\",\"Score\":null,\"Total\":0}","platform":"Semanticscholar","paperid":null,"PeriodicalName":"European journal of case reports in internal medicine","FirstCategoryId":"1085","ListUrlMain":"https://doi.org/10.12890/2025_005566","RegionNum":0,"RegionCategory":null,"ArticlePicture":[],"TitleCN":null,"AbstractTextCN":null,"PMCID":null,"EPubDate":"2025/1/1 0:00:00","PubModel":"eCollection","JCR":"Q3","JCRName":"Medicine","Score":null,"Total":0}
引用次数: 0

摘要

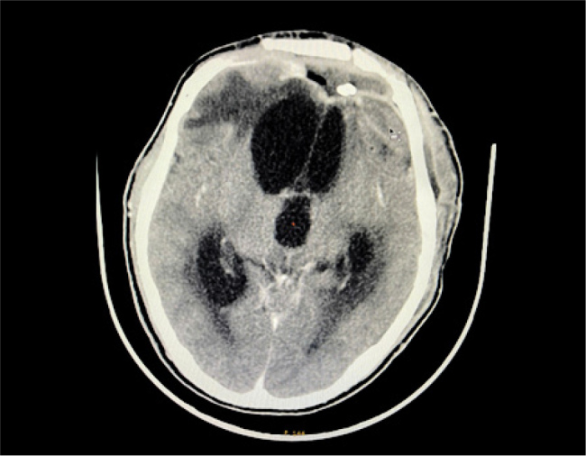
脑脓肿仍然是一个重大的临床挑战,特别是在涉及多药耐药(MDR)生物体或标准手术和药物治疗失败的情况下。在这些复杂的情况下,新的辅助技术,如持续冲洗疗法,已经被探索来加强感染控制和患者的预后。病例描述:我们提出两例脑脓肿治疗在三级护理中心使用连续脓肿腔灌洗后,传统的干预证明不足。第一位患者是一名15岁的男性,尽管进行了多次外科手术并使用了广谱抗生素,但仍出现了复发性耐多药脑脓肿。开始持续冲洗,结合靶向抗菌治疗,导致临床快速稳定和显著的放射学改善,长期后遗症最小。第二例患者为65岁女性,创伤性脑损伤和减压手术后出现多发脑脓肿。尽管持续灌洗有效地控制了颅内感染,影像学证实了其消退,但由于先前存在的严重脑损伤,她的神经系统恢复有限。结论:持续灌洗治疗是治疗难治性或耐多药性脑脓肿的一种有价值的辅助手段,可在常规治疗不足的情况下快速控制感染。然而,最终的神经预后在很大程度上取决于潜在脑损伤的程度。这些病例强调了在选定患者中考虑持续灌洗的重要性,并强调了进一步研究和多学科合作的必要性,以优化管理方案并改善患者预后。学习要点:用生理盐水和抗生素溶液交替冲洗是治疗难治性或多重耐药脑脓肿的有效辅助手段。不幸的是,成功的感染控制并不总是保证神经系统的恢复。
本文章由计算机程序翻译,如有差异,请以英文原文为准。

Continuous Irrigation for Refractory Multidrug-Resistant Brain Abscess in two Patients.

Continuous Irrigation for Refractory Multidrug-Resistant Brain Abscess in two Patients.

Continuous Irrigation for Refractory Multidrug-Resistant Brain Abscess in two Patients.

Continuous Irrigation for Refractory Multidrug-Resistant Brain Abscess in two Patients.

Introduction: Brain abscesses remain a significant clinical challenge, particularly in cases involving multidrug-resistant (MDR) organisms or failure of standard surgical and medical therapy. Newer adjunctive techniques, such as continuous irrigation therapy, have been explored to enhance infection control and patient outcomes in these complex scenarios.

Case description: We present two cases of brain abscess treated at a tertiary care centre using continuous abscess cavity irrigation after conventional interventions proved insufficient. The first patient, a 15-year-old male, experienced recurrent MDR brain abscesses despite multiple surgical procedures and broad-spectrum antibiotics. Initiation of continuous irrigation, combined with targeted antimicrobial therapy, resulted in rapid clinical stabilisation and marked radiological improvement, with minimal long-term sequelae. The second patient, a 65-year-old female, developed multiple brain abscesses after traumatic brain injury and decompressive surgery. Although continuous irrigation effectively controlled the intracranial infection and imaging confirmed resolution, her neurological recovery was limited due to profound pre-existing brain damage.

Conclusion: Continuous irrigation therapy appears to be a valuable adjunct in the management of refractory or MDR brain abscesses, facilitating rapid infection control when conventional treatments are inadequate. However, ultimate neurological outcomes are largely dependent on the extent of underlying brain injury. These cases highlight the importance of considering continuous irrigation in selected patients and underscore the need for further research and multidisciplinary collaboration to optimise management protocols and improve patient outcomes.

Learning points: Continuous irrigation with alternating saline and antibiotic solutions is an effective adjunct in the management of refractory or multidrug-resistant brain abscesses.Unfortunately, successful infection control does not always guarantee neurological recovery.

求助全文
通过发布文献求助,成功后即可免费获取论文全文。 去求助
来源期刊
CiteScore
2.10
自引率
0.00%
发文量
166
审稿时长
8 weeks
期刊介绍: The European Journal of Case Reports in Internal Medicine is an official journal of the European Federation of Internal Medicine (EFIM), representing 35 national societies from 33 European countries. The Journal''s mission is to promote the best medical practice and innovation in the field of acute and general medicine. It also provides a forum for internal medicine doctors where they can share new approaches with the aim of improving diagnostic and clinical skills in this field. EJCRIM welcomes high-quality case reports describing unusual or complex cases that an internist may encounter in everyday practice. The cases should either demonstrate the appropriateness of a diagnostic/therapeutic approach, describe a new procedure or maneuver, or show unusual manifestations of a disease or unexpected reactions. The Journal only accepts and publishes those case reports whose learning points provide new insight and/or contribute to advancing medical knowledge both in terms of diagnostics and therapeutic approaches. Case reports of medical errors, therefore, are also welcome as long as they provide innovative measures on how to prevent them in the current practice (Instructive Errors). The Journal may also consider brief and reasoned reports on issues relevant to the practice of Internal Medicine, as well as Abstracts submitted to the scientific meetings of acknowledged medical societies.
×
引用
GB/T 7714-2015
复制
MLA
复制
APA
复制
导出至
BibTeX EndNote RefMan NoteFirst NoteExpress
×
提示
您的信息不完整,为了账户安全,请先补充。
现在去补充
×
提示
您因"违规操作"
具体请查看互助需知
我知道了
×
提示
确定
请完成安全验证×
copy
已复制链接
快去分享给好友吧!
我知道了
右上角分享
点击右上角分享
0
联系我们:info@booksci.cn Book学术提供免费学术资源搜索服务,方便国内外学者检索中英文文献。致力于提供最便捷和优质的服务体验。 Copyright © 2023 布克学术 All rights reserved.
京ICP备2023020795号-1
ghs 京公网安备 11010802042870号
Book学术文献互助
Book学术文献互助群
群 号:604180095
Book学术官方微信