二尖瓣置换术患者肝动脉瘤合并感染性心内膜炎1例。

Q3 Medicine
European journal of case reports in internal medicine Pub Date : 2025-07-11 eCollection Date: 2025-01-01 DOI:10.12890/2025_005606
Fnu Arty, Shreya Devarashetty, Anoohya Vangala, Sai R Gaddameedi, Doantrang Du
{"title":"二尖瓣置换术患者肝动脉瘤合并感染性心内膜炎1例。","authors":"Fnu Arty, Shreya Devarashetty, Anoohya Vangala, Sai R Gaddameedi, Doantrang Du","doi":"10.12890/2025_005606","DOIUrl":null,"url":null,"abstract":"<p><strong>Introduction: </strong>Hepatic artery aneurysm (HAA) is a rare condition, comprising only 0.1% of all arterial aneurysms, yet it is the most common visceral pseudoaneurysm with a 20% prevalence among such cases. Mycotic HAA in the context of infective endocarditis is uncommon and results from microbial invasion and arterial wall damage.</p><p><strong>Case description: </strong>A 73-year-old woman with coronary artery disease, atrial fibrillation, repaired mitral valve prolapse and on warfarin presented with sudden left lower quadrant abdominal pain. She was hypotensive (BP 60/45 mmHg) and exhibited periumbilical tenderness. Laboratory findings included white blood cell count 18,000 cells/μl, haemoglobin 7.7 g/dl, platelets 1,023,000/μl, aspartate transferase 509 U/l, alanine transaminase 313 U/l and positive SARS-CoV-2. Non-contrast CT of the abdomen/pelvis revealed haemoperitoneum, rectus sheath haematoma and a hypodense hepatic lesion. Contrast-enhanced CT confirmed a left hepatic lobe pseudoaneurysm, supported by Doppler ultrasound. Coil embolisation of the pseudoaneurysm stabilised the patient's haemodynamics. Blood cultures grew <i>Staphylococcus epidermidis</i>, prompting treatment with meropenem and vancomycin due to her prosthetic mitral valve. Transthoracic echocardiogram showed valve vegetation, though a transoesophageal echocardiogram later revealed no vegetations. Follow-up imaging showed a stable thrombosed pseudoaneurysm. The patient remained stable and was transferred for mitral valve replacement. Blood cultures remained negative, but antibiotics were continued for six weeks. Warfarin was resumed without further bleeding.</p><p><strong>Conclusion: </strong>Mycotic HAAs - though rare - can be life-threatening, especially in anticoagulated patients with prosthetic valves. They often present only upon rupture. Prompt diagnosis, vascular intervention and empirical antibiotic therapy are essential for successful outcomes.</p><p><strong>Learning points: </strong>Hepatic artery aneurysm is a rare vascular entity that typically presents with non-specific symptoms, making early diagnosis challenging.One notable aetiology is septic embolisation resulting from infective endocarditis.</p>","PeriodicalId":11908,"journal":{"name":"European journal of case reports in internal medicine","volume":"12 8","pages":"005606"},"PeriodicalIF":0.0000,"publicationDate":"2025-07-11","publicationTypes":"Journal Article","fieldsOfStudy":null,"isOpenAccess":false,"openAccessPdf":"https://www.ncbi.nlm.nih.gov/pmc/articles/PMC12331263/pdf/","citationCount":"0","resultStr":"{\"title\":\"A Rare Confluence: Hepatic Artery Aneurysm and Infective Endocarditis in a Patient with a Mitral Valve Prosthesis.\",\"authors\":\"Fnu Arty, Shreya Devarashetty, Anoohya Vangala, Sai R Gaddameedi, Doantrang Du\",\"doi\":\"10.12890/2025_005606\",\"DOIUrl\":null,\"url\":null,\"abstract\":\"<p><strong>Introduction: </strong>Hepatic artery aneurysm (HAA) is a rare condition, comprising only 0.1% of all arterial aneurysms, yet it is the most common visceral pseudoaneurysm with a 20% prevalence among such cases. Mycotic HAA in the context of infective endocarditis is uncommon and results from microbial invasion and arterial wall damage.</p><p><strong>Case description: </strong>A 73-year-old woman with coronary artery disease, atrial fibrillation, repaired mitral valve prolapse and on warfarin presented with sudden left lower quadrant abdominal pain. She was hypotensive (BP 60/45 mmHg) and exhibited periumbilical tenderness. Laboratory findings included white blood cell count 18,000 cells/μl, haemoglobin 7.7 g/dl, platelets 1,023,000/μl, aspartate transferase 509 U/l, alanine transaminase 313 U/l and positive SARS-CoV-2. Non-contrast CT of the abdomen/pelvis revealed haemoperitoneum, rectus sheath haematoma and a hypodense hepatic lesion. Contrast-enhanced CT confirmed a left hepatic lobe pseudoaneurysm, supported by Doppler ultrasound. Coil embolisation of the pseudoaneurysm stabilised the patient's haemodynamics. Blood cultures grew <i>Staphylococcus epidermidis</i>, prompting treatment with meropenem and vancomycin due to her prosthetic mitral valve. Transthoracic echocardiogram showed valve vegetation, though a transoesophageal echocardiogram later revealed no vegetations. Follow-up imaging showed a stable thrombosed pseudoaneurysm. The patient remained stable and was transferred for mitral valve replacement. Blood cultures remained negative, but antibiotics were continued for six weeks. Warfarin was resumed without further bleeding.</p><p><strong>Conclusion: </strong>Mycotic HAAs - though rare - can be life-threatening, especially in anticoagulated patients with prosthetic valves. They often present only upon rupture. Prompt diagnosis, vascular intervention and empirical antibiotic therapy are essential for successful outcomes.</p><p><strong>Learning points: </strong>Hepatic artery aneurysm is a rare vascular entity that typically presents with non-specific symptoms, making early diagnosis challenging.One notable aetiology is septic embolisation resulting from infective endocarditis.</p>\",\"PeriodicalId\":11908,\"journal\":{\"name\":\"European journal of case reports in internal medicine\",\"volume\":\"12 8\",\"pages\":\"005606\"},\"PeriodicalIF\":0.0000,\"publicationDate\":\"2025-07-11\",\"publicationTypes\":\"Journal Article\",\"fieldsOfStudy\":null,\"isOpenAccess\":false,\"openAccessPdf\":\"https://www.ncbi.nlm.nih.gov/pmc/articles/PMC12331263/pdf/\",\"citationCount\":\"0\",\"resultStr\":null,\"platform\":\"Semanticscholar\",\"paperid\":null,\"PeriodicalName\":\"European journal of case reports in internal medicine\",\"FirstCategoryId\":\"1085\",\"ListUrlMain\":\"https://doi.org/10.12890/2025_005606\",\"RegionNum\":0,\"RegionCategory\":null,\"ArticlePicture\":[],\"TitleCN\":null,\"AbstractTextCN\":null,\"PMCID\":null,\"EPubDate\":\"2025/1/1 0:00:00\",\"PubModel\":\"eCollection\",\"JCR\":\"Q3\",\"JCRName\":\"Medicine\",\"Score\":null,\"Total\":0}","platform":"Semanticscholar","paperid":null,"PeriodicalName":"European journal of case reports in internal medicine","FirstCategoryId":"1085","ListUrlMain":"https://doi.org/10.12890/2025_005606","RegionNum":0,"RegionCategory":null,"ArticlePicture":[],"TitleCN":null,"AbstractTextCN":null,"PMCID":null,"EPubDate":"2025/1/1 0:00:00","PubModel":"eCollection","JCR":"Q3","JCRName":"Medicine","Score":null,"Total":0}
引用次数: 0

摘要

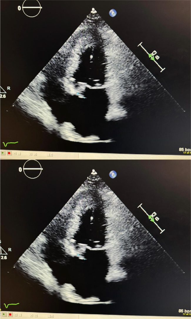
肝动脉瘤(HAA)是一种罕见的疾病,仅占所有动脉瘤的0.1%,但它是最常见的内脏假性动脉瘤,在此类病例中患病率为20%。感染性心内膜炎中的真菌性HAA并不常见,它是由微生物侵袭和动脉壁损伤引起的。病例描述:一名73岁女性,患有冠状动脉疾病,心房颤动,修复二尖瓣脱垂,服用华法林,突然出现左下腹腹痛。她血压过低(血压60/45 mmHg),并表现出脐周压痛。实验室检查:白细胞18000个/μl,血红蛋白7.7 g/dl,血小板1023000个/μl,天冬氨酸转移酶509 U/l,丙氨酸转氨酶313 U/l, SARS-CoV-2阳性。腹部/骨盆非对比CT显示腹膜出血、直肌鞘血肿和低密度肝脏病变。增强CT证实左肝叶假性动脉瘤,多普勒超声支持。假性动脉瘤的线圈栓塞稳定了患者的血流动力学。血培养生长表皮葡萄球菌,由于她的假二尖瓣,促使她使用美罗培南和万古霉素治疗。经胸超声心动图显示瓣膜赘生物,但随后经食管超声心动图未见赘生物。随访影像显示一个稳定的血栓性假性动脉瘤。患者病情保持稳定,并转行二尖瓣置换术。血液培养仍然呈阴性,但抗生素持续使用了六周。再次使用华法林,无进一步出血。结论:霉菌性HAAs虽然罕见,但可危及生命,特别是在抗凝瓣膜患者中。它们通常只在破裂时出现。及时诊断、血管干预和经验性抗生素治疗是取得成功的关键。学习要点:肝动脉瘤是一种罕见的血管实体,通常表现为非特异性症状,使早期诊断具有挑战性。一个值得注意的病因是感染性心内膜炎引起的脓毒性栓塞。
本文章由计算机程序翻译,如有差异,请以英文原文为准。

A Rare Confluence: Hepatic Artery Aneurysm and Infective Endocarditis in a Patient with a Mitral Valve Prosthesis.

A Rare Confluence: Hepatic Artery Aneurysm and Infective Endocarditis in a Patient with a Mitral Valve Prosthesis.

Introduction: Hepatic artery aneurysm (HAA) is a rare condition, comprising only 0.1% of all arterial aneurysms, yet it is the most common visceral pseudoaneurysm with a 20% prevalence among such cases. Mycotic HAA in the context of infective endocarditis is uncommon and results from microbial invasion and arterial wall damage.

Case description: A 73-year-old woman with coronary artery disease, atrial fibrillation, repaired mitral valve prolapse and on warfarin presented with sudden left lower quadrant abdominal pain. She was hypotensive (BP 60/45 mmHg) and exhibited periumbilical tenderness. Laboratory findings included white blood cell count 18,000 cells/μl, haemoglobin 7.7 g/dl, platelets 1,023,000/μl, aspartate transferase 509 U/l, alanine transaminase 313 U/l and positive SARS-CoV-2. Non-contrast CT of the abdomen/pelvis revealed haemoperitoneum, rectus sheath haematoma and a hypodense hepatic lesion. Contrast-enhanced CT confirmed a left hepatic lobe pseudoaneurysm, supported by Doppler ultrasound. Coil embolisation of the pseudoaneurysm stabilised the patient's haemodynamics. Blood cultures grew Staphylococcus epidermidis, prompting treatment with meropenem and vancomycin due to her prosthetic mitral valve. Transthoracic echocardiogram showed valve vegetation, though a transoesophageal echocardiogram later revealed no vegetations. Follow-up imaging showed a stable thrombosed pseudoaneurysm. The patient remained stable and was transferred for mitral valve replacement. Blood cultures remained negative, but antibiotics were continued for six weeks. Warfarin was resumed without further bleeding.

Conclusion: Mycotic HAAs - though rare - can be life-threatening, especially in anticoagulated patients with prosthetic valves. They often present only upon rupture. Prompt diagnosis, vascular intervention and empirical antibiotic therapy are essential for successful outcomes.

Learning points: Hepatic artery aneurysm is a rare vascular entity that typically presents with non-specific symptoms, making early diagnosis challenging.One notable aetiology is septic embolisation resulting from infective endocarditis.

求助全文
通过发布文献求助,成功后即可免费获取论文全文。 去求助
来源期刊
CiteScore
2.10
自引率
0.00%
发文量
166
审稿时长
8 weeks
期刊介绍: The European Journal of Case Reports in Internal Medicine is an official journal of the European Federation of Internal Medicine (EFIM), representing 35 national societies from 33 European countries. The Journal''s mission is to promote the best medical practice and innovation in the field of acute and general medicine. It also provides a forum for internal medicine doctors where they can share new approaches with the aim of improving diagnostic and clinical skills in this field. EJCRIM welcomes high-quality case reports describing unusual or complex cases that an internist may encounter in everyday practice. The cases should either demonstrate the appropriateness of a diagnostic/therapeutic approach, describe a new procedure or maneuver, or show unusual manifestations of a disease or unexpected reactions. The Journal only accepts and publishes those case reports whose learning points provide new insight and/or contribute to advancing medical knowledge both in terms of diagnostics and therapeutic approaches. Case reports of medical errors, therefore, are also welcome as long as they provide innovative measures on how to prevent them in the current practice (Instructive Errors). The Journal may also consider brief and reasoned reports on issues relevant to the practice of Internal Medicine, as well as Abstracts submitted to the scientific meetings of acknowledged medical societies.
×
引用
GB/T 7714-2015
复制
MLA
复制
APA
复制
导出至
BibTeX EndNote RefMan NoteFirst NoteExpress
×
提示
您的信息不完整,为了账户安全,请先补充。
现在去补充
×
提示
您因"违规操作"
具体请查看互助需知
我知道了
×
提示
确定
请完成安全验证×
copy
已复制链接
快去分享给好友吧!
我知道了
右上角分享
点击右上角分享
0
联系我们:info@booksci.cn Book学术提供免费学术资源搜索服务,方便国内外学者检索中英文文献。致力于提供最便捷和优质的服务体验。 Copyright © 2023 布克学术 All rights reserved.
京ICP备2023020795号-1
ghs 京公网安备 11010802042870号
Book学术文献互助
Book学术文献互助群
群 号:604180095
Book学术官方微信