从标准化到个体化的直肠癌在线适应性肿瘤剂量递增边缘。

IF 3.3 2区 医学 Q2 ONCOLOGY
C M Kensen, Lisa Wiersema, Anja Betgen, Doenja M J Lambregts, Corrie A M Marijnen, Uulke A van der Heide, Tomas M Janssen
{"title":"从标准化到个体化的直肠癌在线适应性肿瘤剂量递增边缘。","authors":"C M Kensen, Lisa Wiersema, Anja Betgen, Doenja M J Lambregts, Corrie A M Marijnen, Uulke A van der Heide, Tomas M Janssen","doi":"10.1186/s13014-025-02706-8","DOIUrl":null,"url":null,"abstract":"<p><strong>Purpose: </strong>To determine the impact of tumor characteristics such as tumor volume, circumference and location in the rectum on intrafraction motion during dose-escalated MRI-guided radiotherapy of rectal cancer and to explore the potential of PTV margin individualization.</p><p><strong>Methods: </strong>Seventy-seven rectal cancer patients, treated with short course radiotherapy (SCRT) on a 1.5T MR-Linac, were included in the study. For all five treatment fractions per patient, the GTV of the primary tumor was manually delineated on T2-weighted images acquired for online plan adaptation (MRI<sub>adapt</sub>). GTV delineations on the MRI acquired for verification after irradiation (MRI<sub>post</sub>) were obtained by patient-specific fine-tuning of a population-based GTV autosegmentation model using the delineation on MRI<sub>adapt</sub>. The intrafraction motion was calculated as ¾ of the center of gravity (COG) displacement of the GTV between MRI<sub>adapt</sub> and MRI<sub>post</sub>. PTV margins were calculated using the Van Herk recipe. The effect of tumor volume, circumference and location in the rectum on intrafraction motion was studied using linear mixed effect modeling and individualized margins were calculated for each group.</p><p><strong>Results: </strong>Intrafraction motion was correlated with tumor location with larger displacement in Anterior-Posterior (p = 0.001) and Cranial-Caudal (CC; p = 0.043) direction for caudal tumors compared to proximal tumors (lower border starting > 5 cm from anorectal junction). For tumor volume, a significant (p = 0.049), but small association with Left-Right motion was found, with larger tumors exhibiting larger motion. PTV margins required for the full cohort were 2.8 mm LR, 6.3 mm AP, 2.2 mm cranial and 5.6 mm caudal. Individualizing on tumor location resulted in AP margin of 3.5 mm for proximal rectal tumors and 6.7 mm for distal rectal tumors. Margins in CC direction were 3.2 mm for proximal rectal tumors and asymmetrically 2.0 mm cranial and 6.0 mm caudal for distal rectal tumors.</p><p><strong>Conclusion: </strong>Our study demonstrated that distance to anorectal junction significantly influenced the magnitude and direction of the intrafraction motion of rectal cancer patients receiving SCRT, with distal tumors showing larger motion in the AP and CC directions. For proximal rectal tumors, the margin could be decreased in AP and CC direction.</p>","PeriodicalId":49639,"journal":{"name":"Radiation Oncology","volume":"20 1","pages":"125"},"PeriodicalIF":3.3000,"publicationDate":"2025-08-08","publicationTypes":"Journal Article","fieldsOfStudy":null,"isOpenAccess":false,"openAccessPdf":"https://www.ncbi.nlm.nih.gov/pmc/articles/PMC12335123/pdf/","citationCount":"0","resultStr":"{\"title\":\"From standardized to individualized margins for online adaptive tumor dose escalation in rectal cancer.\",\"authors\":\"C M Kensen, Lisa Wiersema, Anja Betgen, Doenja M J Lambregts, Corrie A M Marijnen, Uulke A van der Heide, Tomas M Janssen\",\"doi\":\"10.1186/s13014-025-02706-8\",\"DOIUrl\":null,\"url\":null,\"abstract\":\"<p><strong>Purpose: </strong>To determine the impact of tumor characteristics such as tumor volume, circumference and location in the rectum on intrafraction motion during dose-escalated MRI-guided radiotherapy of rectal cancer and to explore the potential of PTV margin individualization.</p><p><strong>Methods: </strong>Seventy-seven rectal cancer patients, treated with short course radiotherapy (SCRT) on a 1.5T MR-Linac, were included in the study. For all five treatment fractions per patient, the GTV of the primary tumor was manually delineated on T2-weighted images acquired for online plan adaptation (MRI<sub>adapt</sub>). GTV delineations on the MRI acquired for verification after irradiation (MRI<sub>post</sub>) were obtained by patient-specific fine-tuning of a population-based GTV autosegmentation model using the delineation on MRI<sub>adapt</sub>. The intrafraction motion was calculated as ¾ of the center of gravity (COG) displacement of the GTV between MRI<sub>adapt</sub> and MRI<sub>post</sub>. PTV margins were calculated using the Van Herk recipe. The effect of tumor volume, circumference and location in the rectum on intrafraction motion was studied using linear mixed effect modeling and individualized margins were calculated for each group.</p><p><strong>Results: </strong>Intrafraction motion was correlated with tumor location with larger displacement in Anterior-Posterior (p = 0.001) and Cranial-Caudal (CC; p = 0.043) direction for caudal tumors compared to proximal tumors (lower border starting > 5 cm from anorectal junction). For tumor volume, a significant (p = 0.049), but small association with Left-Right motion was found, with larger tumors exhibiting larger motion. PTV margins required for the full cohort were 2.8 mm LR, 6.3 mm AP, 2.2 mm cranial and 5.6 mm caudal. Individualizing on tumor location resulted in AP margin of 3.5 mm for proximal rectal tumors and 6.7 mm for distal rectal tumors. Margins in CC direction were 3.2 mm for proximal rectal tumors and asymmetrically 2.0 mm cranial and 6.0 mm caudal for distal rectal tumors.</p><p><strong>Conclusion: </strong>Our study demonstrated that distance to anorectal junction significantly influenced the magnitude and direction of the intrafraction motion of rectal cancer patients receiving SCRT, with distal tumors showing larger motion in the AP and CC directions. For proximal rectal tumors, the margin could be decreased in AP and CC direction.</p>\",\"PeriodicalId\":49639,\"journal\":{\"name\":\"Radiation Oncology\",\"volume\":\"20 1\",\"pages\":\"125\"},\"PeriodicalIF\":3.3000,\"publicationDate\":\"2025-08-08\",\"publicationTypes\":\"Journal Article\",\"fieldsOfStudy\":null,\"isOpenAccess\":false,\"openAccessPdf\":\"https://www.ncbi.nlm.nih.gov/pmc/articles/PMC12335123/pdf/\",\"citationCount\":\"0\",\"resultStr\":null,\"platform\":\"Semanticscholar\",\"paperid\":null,\"PeriodicalName\":\"Radiation Oncology\",\"FirstCategoryId\":\"3\",\"ListUrlMain\":\"https://doi.org/10.1186/s13014-025-02706-8\",\"RegionNum\":2,\"RegionCategory\":\"医学\",\"ArticlePicture\":[],\"TitleCN\":null,\"AbstractTextCN\":null,\"PMCID\":null,\"EPubDate\":\"\",\"PubModel\":\"\",\"JCR\":\"Q2\",\"JCRName\":\"ONCOLOGY\",\"Score\":null,\"Total\":0}","platform":"Semanticscholar","paperid":null,"PeriodicalName":"Radiation Oncology","FirstCategoryId":"3","ListUrlMain":"https://doi.org/10.1186/s13014-025-02706-8","RegionNum":2,"RegionCategory":"医学","ArticlePicture":[],"TitleCN":null,"AbstractTextCN":null,"PMCID":null,"EPubDate":"","PubModel":"","JCR":"Q2","JCRName":"ONCOLOGY","Score":null,"Total":0}
引用次数: 0

摘要

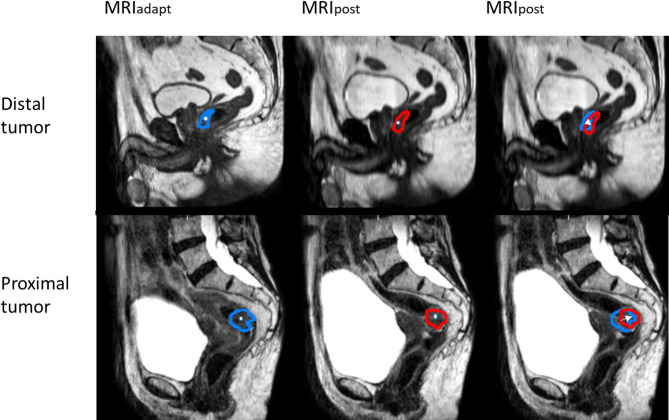
目的:探讨肿瘤体积、围度、直肠位置等肿瘤特征对剂量级上升的mri引导直肠癌放射治疗中病灶内运动的影响,探讨PTV切缘个体化的潜力。方法:选取77例在1.5T MR-Linac上行短期放疗的直肠癌患者作为研究对象。对于每个患者的所有五个治疗组,原发肿瘤的GTV是在在线计划适应(mri适应)获得的t2加权图像上手动划定的。通过对基于人群的GTV自分割模型进行患者特异性微调,利用MRI适应上的描绘,获得辐照后验证的MRI (MRIpost)上的GTV圈定。在MRIadapt和MRIpost之间计算GTV的重心位移(COG)的3 / 4。PTV边际使用Van Herk配方计算。采用线性混合效应模型研究肿瘤体积、围度和直肠位置对抽束内运动的影响,并计算各组的个体化边缘。结果:屈光运动与肿瘤位置相关,前后侧移位较大(p = 0.001),颅尾侧移位较大(CC;P = 0.043)方向的尾端肿瘤与近端肿瘤(下边界开始于距肛肠结5cm处)相比。对于肿瘤体积而言,差异有统计学意义(p = 0.049),但与左右运动的相关性较小,肿瘤越大运动越大。整个队列所需的PTV切缘为LR 2.8 mm, AP 6.3 mm,颅骨2.2 mm和尾侧5.6 mm。个体化肿瘤定位导致直肠近端肿瘤AP切缘为3.5 mm,直肠远端肿瘤AP切缘为6.7 mm。直肠近端肿瘤癌缘为3.2 mm,直肠远端肿瘤癌缘为2.0 mm,直肠远端肿瘤癌缘为6.0 mm。结论:我们的研究表明,到肛肠交界处的距离显著影响SCRT直肠癌患者的抽束内运动的大小和方向,远端肿瘤在AP和CC方向上的运动更大。直肠近端肿瘤沿AP和CC方向可缩小切缘。
本文章由计算机程序翻译,如有差异,请以英文原文为准。

From standardized to individualized margins for online adaptive tumor dose escalation in rectal cancer.

From standardized to individualized margins for online adaptive tumor dose escalation in rectal cancer.

From standardized to individualized margins for online adaptive tumor dose escalation in rectal cancer.

From standardized to individualized margins for online adaptive tumor dose escalation in rectal cancer.

Purpose: To determine the impact of tumor characteristics such as tumor volume, circumference and location in the rectum on intrafraction motion during dose-escalated MRI-guided radiotherapy of rectal cancer and to explore the potential of PTV margin individualization.

Methods: Seventy-seven rectal cancer patients, treated with short course radiotherapy (SCRT) on a 1.5T MR-Linac, were included in the study. For all five treatment fractions per patient, the GTV of the primary tumor was manually delineated on T2-weighted images acquired for online plan adaptation (MRIadapt). GTV delineations on the MRI acquired for verification after irradiation (MRIpost) were obtained by patient-specific fine-tuning of a population-based GTV autosegmentation model using the delineation on MRIadapt. The intrafraction motion was calculated as ¾ of the center of gravity (COG) displacement of the GTV between MRIadapt and MRIpost. PTV margins were calculated using the Van Herk recipe. The effect of tumor volume, circumference and location in the rectum on intrafraction motion was studied using linear mixed effect modeling and individualized margins were calculated for each group.

Results: Intrafraction motion was correlated with tumor location with larger displacement in Anterior-Posterior (p = 0.001) and Cranial-Caudal (CC; p = 0.043) direction for caudal tumors compared to proximal tumors (lower border starting > 5 cm from anorectal junction). For tumor volume, a significant (p = 0.049), but small association with Left-Right motion was found, with larger tumors exhibiting larger motion. PTV margins required for the full cohort were 2.8 mm LR, 6.3 mm AP, 2.2 mm cranial and 5.6 mm caudal. Individualizing on tumor location resulted in AP margin of 3.5 mm for proximal rectal tumors and 6.7 mm for distal rectal tumors. Margins in CC direction were 3.2 mm for proximal rectal tumors and asymmetrically 2.0 mm cranial and 6.0 mm caudal for distal rectal tumors.

Conclusion: Our study demonstrated that distance to anorectal junction significantly influenced the magnitude and direction of the intrafraction motion of rectal cancer patients receiving SCRT, with distal tumors showing larger motion in the AP and CC directions. For proximal rectal tumors, the margin could be decreased in AP and CC direction.

求助全文
通过发布文献求助,成功后即可免费获取论文全文。 去求助
来源期刊
Radiation Oncology
Radiation Oncology ONCOLOGY-RADIOLOGY, NUCLEAR MEDICINE & MEDICAL IMAGING
CiteScore
6.50
自引率
2.80%
发文量
181
审稿时长
3-6 weeks
期刊介绍: Radiation Oncology encompasses all aspects of research that impacts on the treatment of cancer using radiation. It publishes findings in molecular and cellular radiation biology, radiation physics, radiation technology, and clinical oncology.
×
引用
GB/T 7714-2015
复制
MLA
复制
APA
复制
导出至
BibTeX EndNote RefMan NoteFirst NoteExpress
×
提示
您的信息不完整,为了账户安全,请先补充。
现在去补充
×
提示
您因"违规操作"
具体请查看互助需知
我知道了
×
提示
确定
请完成安全验证×
copy
已复制链接
快去分享给好友吧!
我知道了
右上角分享
点击右上角分享
0
联系我们:info@booksci.cn Book学术提供免费学术资源搜索服务,方便国内外学者检索中英文文献。致力于提供最便捷和优质的服务体验。 Copyright © 2023 布克学术 All rights reserved.
京ICP备2023020795号-1
ghs 京公网安备 11010802042870号
Book学术文献互助
Book学术文献互助群
群 号:604180095
Book学术官方微信