巴尔通体心内膜炎:在非洲流行地区血培养阴性心内膜炎的复杂诊断。

IF 2.8 Q2 CARDIAC & CARDIOVASCULAR SYSTEMS
Luke D Hunter, Simon Poerstamper, Philip G Herbst, Anton F Doubell, Colette Pienaar, Jantjie J Taljaard, Hans Prozesky, Jacques J Janson, Alfonso Jk Pecoraro
{"title":"巴尔通体心内膜炎:在非洲流行地区血培养阴性心内膜炎的复杂诊断。","authors":"Luke D Hunter, Simon Poerstamper, Philip G Herbst, Anton F Doubell, Colette Pienaar, Jantjie J Taljaard, Hans Prozesky, Jacques J Janson, Alfonso Jk Pecoraro","doi":"10.1136/openhrt-2025-003463","DOIUrl":null,"url":null,"abstract":"<p><strong>Introduction: </strong><i>Bartonella</i> species are an important emerging cause of blood culture-negative endocarditis (BCNE). The diagnosis requires serology by indirect immunofluorescence assay (IFA) and PCR testing on blood and/or tissue. Access to the guideline-referenced in-house IFA is limited in Africa and a commercially available IFA is used to identify patients with <i>Bartonella</i> spp. infection in our region. Prior study in South Africa has highlighted a high seroprevalence of <i>Bartonella</i> spp. in the general population. It is unclear how to incorporate these factors into the diagnostic thinking when interpreting a positive IFA result in a patient with BCNE. We explore these important knowledge gaps in a cohort of 31 patients with <i>Bartonella</i> endocarditis.</p><p><strong>Methods and results: </strong>Data from the Tygerberg Endocarditis Cohort Study were evaluated between October 2019 and May 2023. Continuous variables were reported as mean with SD if normally distributed, alternatively as median with IQR. Categorical variables were reported as counts and percentages. A Kaplan-Meier curve will be used to depict the mortality rate of operated versus unoperated patients. The mean age (±SD) was 38±9 years, 70.9% were male, 25.8% were either homeless or lived in informal housing, 70.9% were unemployed, 54.8% had an underlying alcohol-use disorder and 25.8% were HIV positive. Blood serology was positive (IgG titre ≥1:256) in 96.7% of patients with available sera. Valvular tissue was available for PCR testing in 18 cases. Of these, <i>Bartonella quintana</i> was identified in 16 cases and <i>Bartonella henselae</i> in one case. None of the cases with both serology and valve PCR data had negative serology. No cases of blood culture-positive endocarditis (BCPE) had a positive PCR for <i>Bartonella</i> spp. The most common isolated valve lesion on echocardiography was severe aortic regurgitation (43.3%). The 1-month and 6-month mortality in the operated cohort was 0% and 4.5%, respectively.</p><p><strong>Discussion: </strong><i>Bartonella quintana</i> is the most common cause of BCNE accounting for 49.2% of cases at our centre. None of the PCR-proven cases of <i>Bartonella</i> endocarditis had negative serology, which suggests that the test has a high negative predictive value. The current guideline diagnostic titre of ≥1:800 is assay dependent and is not generalisable to alternative, commercially available, assays. Crucially, none of the BCPE cases with available PCR on valve tissue had a positive PCR for <i>Bartonella</i> spp, suggesting a positive valve PCR is definitive evidence of true infection in an endemic region. The specific clinical, echocardiographic and mortality data were consistent with the reported literature and characterised a subacute, but ultimately destructive endocarditis with a high embolic risk and underscores the need for early surgical intervention.</p>","PeriodicalId":19505,"journal":{"name":"Open Heart","volume":"12 2","pages":""},"PeriodicalIF":2.8000,"publicationDate":"2025-08-07","publicationTypes":"Journal Article","fieldsOfStudy":null,"isOpenAccess":false,"openAccessPdf":"https://www.ncbi.nlm.nih.gov/pmc/articles/PMC12336616/pdf/","citationCount":"0","resultStr":"{\"title\":\"<i>Bartonella</i> endocarditis: a complex diagnosis of blood culture-negative endocarditis in an endemic region of Africa.\",\"authors\":\"Luke D Hunter, Simon Poerstamper, Philip G Herbst, Anton F Doubell, Colette Pienaar, Jantjie J Taljaard, Hans Prozesky, Jacques J Janson, Alfonso Jk Pecoraro\",\"doi\":\"10.1136/openhrt-2025-003463\",\"DOIUrl\":null,\"url\":null,\"abstract\":\"<p><strong>Introduction: </strong><i>Bartonella</i> species are an important emerging cause of blood culture-negative endocarditis (BCNE). The diagnosis requires serology by indirect immunofluorescence assay (IFA) and PCR testing on blood and/or tissue. Access to the guideline-referenced in-house IFA is limited in Africa and a commercially available IFA is used to identify patients with <i>Bartonella</i> spp. infection in our region. Prior study in South Africa has highlighted a high seroprevalence of <i>Bartonella</i> spp. in the general population. It is unclear how to incorporate these factors into the diagnostic thinking when interpreting a positive IFA result in a patient with BCNE. We explore these important knowledge gaps in a cohort of 31 patients with <i>Bartonella</i> endocarditis.</p><p><strong>Methods and results: </strong>Data from the Tygerberg Endocarditis Cohort Study were evaluated between October 2019 and May 2023. Continuous variables were reported as mean with SD if normally distributed, alternatively as median with IQR. Categorical variables were reported as counts and percentages. A Kaplan-Meier curve will be used to depict the mortality rate of operated versus unoperated patients. The mean age (±SD) was 38±9 years, 70.9% were male, 25.8% were either homeless or lived in informal housing, 70.9% were unemployed, 54.8% had an underlying alcohol-use disorder and 25.8% were HIV positive. Blood serology was positive (IgG titre ≥1:256) in 96.7% of patients with available sera. Valvular tissue was available for PCR testing in 18 cases. Of these, <i>Bartonella quintana</i> was identified in 16 cases and <i>Bartonella henselae</i> in one case. None of the cases with both serology and valve PCR data had negative serology. No cases of blood culture-positive endocarditis (BCPE) had a positive PCR for <i>Bartonella</i> spp. The most common isolated valve lesion on echocardiography was severe aortic regurgitation (43.3%). The 1-month and 6-month mortality in the operated cohort was 0% and 4.5%, respectively.</p><p><strong>Discussion: </strong><i>Bartonella quintana</i> is the most common cause of BCNE accounting for 49.2% of cases at our centre. None of the PCR-proven cases of <i>Bartonella</i> endocarditis had negative serology, which suggests that the test has a high negative predictive value. The current guideline diagnostic titre of ≥1:800 is assay dependent and is not generalisable to alternative, commercially available, assays. Crucially, none of the BCPE cases with available PCR on valve tissue had a positive PCR for <i>Bartonella</i> spp, suggesting a positive valve PCR is definitive evidence of true infection in an endemic region. The specific clinical, echocardiographic and mortality data were consistent with the reported literature and characterised a subacute, but ultimately destructive endocarditis with a high embolic risk and underscores the need for early surgical intervention.</p>\",\"PeriodicalId\":19505,\"journal\":{\"name\":\"Open Heart\",\"volume\":\"12 2\",\"pages\":\"\"},\"PeriodicalIF\":2.8000,\"publicationDate\":\"2025-08-07\",\"publicationTypes\":\"Journal Article\",\"fieldsOfStudy\":null,\"isOpenAccess\":false,\"openAccessPdf\":\"https://www.ncbi.nlm.nih.gov/pmc/articles/PMC12336616/pdf/\",\"citationCount\":\"0\",\"resultStr\":null,\"platform\":\"Semanticscholar\",\"paperid\":null,\"PeriodicalName\":\"Open Heart\",\"FirstCategoryId\":\"1085\",\"ListUrlMain\":\"https://doi.org/10.1136/openhrt-2025-003463\",\"RegionNum\":0,\"RegionCategory\":null,\"ArticlePicture\":[],\"TitleCN\":null,\"AbstractTextCN\":null,\"PMCID\":null,\"EPubDate\":\"\",\"PubModel\":\"\",\"JCR\":\"Q2\",\"JCRName\":\"CARDIAC & CARDIOVASCULAR SYSTEMS\",\"Score\":null,\"Total\":0}","platform":"Semanticscholar","paperid":null,"PeriodicalName":"Open Heart","FirstCategoryId":"1085","ListUrlMain":"https://doi.org/10.1136/openhrt-2025-003463","RegionNum":0,"RegionCategory":null,"ArticlePicture":[],"TitleCN":null,"AbstractTextCN":null,"PMCID":null,"EPubDate":"","PubModel":"","JCR":"Q2","JCRName":"CARDIAC & CARDIOVASCULAR SYSTEMS","Score":null,"Total":0}
引用次数: 0

摘要

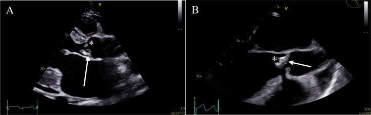
巴尔通体是血培养阴性心内膜炎(BCNE)的重要病因。诊断需要通过间接免疫荧光法(IFA)和PCR对血液和/或组织进行血清学检测。在非洲,获得指南参考的内部IFA的机会有限,在我们地区,市售IFA用于识别巴尔通体感染患者。南非先前的研究强调了巴尔通体在一般人群中的高血清患病率。在解释BCNE患者的IFA阳性结果时,如何将这些因素纳入诊断思路尚不清楚。我们在31例巴尔通体心内膜炎患者队列中探索这些重要的知识空白。方法和结果:对2019年10月至2023年5月期间来自Tygerberg心内膜炎队列研究的数据进行评估。如果正态分布,连续变量报告为SD的平均值,或者报告为IQR的中位数。分类变量以计数和百分比报告。Kaplan-Meier曲线将用于描述手术与未手术患者的死亡率。平均年龄(±SD)为38±9岁,70.9%为男性,25.8%为无家可归者或居住在非正规住房中,70.9%为无业人员,54.8%有潜在的酒精使用障碍,25.8%为HIV阳性。96.7%的患者血清中IgG滴度≥1:256 6呈阳性。18例瓣膜组织可用于PCR检测。其中,16例检出金塔巴尔通体,1例检出亨塞拉巴尔通体。血清学和瓣膜PCR均为阴性的病例无一例。血培养阳性心内膜炎(BCPE)无巴尔通体PCR阳性,超声心动图上最常见的分离性瓣膜病变是严重主动脉反流(43.3%)。手术组1个月和6个月死亡率分别为0%和4.5%。讨论:金塔纳巴尔通体是BCNE最常见的病因,占本中心病例的49.2%。pcr证实的巴尔通体心内膜炎病例中没有一例血清学阴性,这表明该检测具有很高的阴性预测值。目前的指南诊断滴度≥1:800依赖于检测,不能推广到其他市售的检测方法。至关重要的是,在瓣膜组织上进行可用PCR的BCPE病例中,没有一例巴尔通体PCR阳性,这表明瓣膜PCR阳性是流行地区真正感染的明确证据。具体的临床、超声心动图和死亡率数据与文献报道一致,表现为亚急性,但最终具有破坏性的心内膜炎,具有较高的栓塞风险,强调了早期手术干预的必要性。
本文章由计算机程序翻译,如有差异,请以英文原文为准。

<i>Bartonella</i> endocarditis: a complex diagnosis of blood culture-negative endocarditis in an endemic region of Africa.

<i>Bartonella</i> endocarditis: a complex diagnosis of blood culture-negative endocarditis in an endemic region of Africa.

<i>Bartonella</i> endocarditis: a complex diagnosis of blood culture-negative endocarditis in an endemic region of Africa.

Bartonella endocarditis: a complex diagnosis of blood culture-negative endocarditis in an endemic region of Africa.

Introduction: Bartonella species are an important emerging cause of blood culture-negative endocarditis (BCNE). The diagnosis requires serology by indirect immunofluorescence assay (IFA) and PCR testing on blood and/or tissue. Access to the guideline-referenced in-house IFA is limited in Africa and a commercially available IFA is used to identify patients with Bartonella spp. infection in our region. Prior study in South Africa has highlighted a high seroprevalence of Bartonella spp. in the general population. It is unclear how to incorporate these factors into the diagnostic thinking when interpreting a positive IFA result in a patient with BCNE. We explore these important knowledge gaps in a cohort of 31 patients with Bartonella endocarditis.

Methods and results: Data from the Tygerberg Endocarditis Cohort Study were evaluated between October 2019 and May 2023. Continuous variables were reported as mean with SD if normally distributed, alternatively as median with IQR. Categorical variables were reported as counts and percentages. A Kaplan-Meier curve will be used to depict the mortality rate of operated versus unoperated patients. The mean age (±SD) was 38±9 years, 70.9% were male, 25.8% were either homeless or lived in informal housing, 70.9% were unemployed, 54.8% had an underlying alcohol-use disorder and 25.8% were HIV positive. Blood serology was positive (IgG titre ≥1:256) in 96.7% of patients with available sera. Valvular tissue was available for PCR testing in 18 cases. Of these, Bartonella quintana was identified in 16 cases and Bartonella henselae in one case. None of the cases with both serology and valve PCR data had negative serology. No cases of blood culture-positive endocarditis (BCPE) had a positive PCR for Bartonella spp. The most common isolated valve lesion on echocardiography was severe aortic regurgitation (43.3%). The 1-month and 6-month mortality in the operated cohort was 0% and 4.5%, respectively.

Discussion: Bartonella quintana is the most common cause of BCNE accounting for 49.2% of cases at our centre. None of the PCR-proven cases of Bartonella endocarditis had negative serology, which suggests that the test has a high negative predictive value. The current guideline diagnostic titre of ≥1:800 is assay dependent and is not generalisable to alternative, commercially available, assays. Crucially, none of the BCPE cases with available PCR on valve tissue had a positive PCR for Bartonella spp, suggesting a positive valve PCR is definitive evidence of true infection in an endemic region. The specific clinical, echocardiographic and mortality data were consistent with the reported literature and characterised a subacute, but ultimately destructive endocarditis with a high embolic risk and underscores the need for early surgical intervention.

求助全文
通过发布文献求助,成功后即可免费获取论文全文。 去求助
来源期刊
Open Heart
Open Heart CARDIAC & CARDIOVASCULAR SYSTEMS-
CiteScore
4.60
自引率
3.70%
发文量
145
审稿时长
20 weeks
期刊介绍: Open Heart is an online-only, open access cardiology journal that aims to be “open” in many ways: open access (free access for all readers), open peer review (unblinded peer review) and open data (data sharing is encouraged). The goal is to ensure maximum transparency and maximum impact on research progress and patient care. The journal is dedicated to publishing high quality, peer reviewed medical research in all disciplines and therapeutic areas of cardiovascular medicine. Research is published across all study phases and designs, from study protocols to phase I trials to meta-analyses, including small or specialist studies. Opinionated discussions on controversial topics are welcomed. Open Heart aims to operate a fast submission and review process with continuous publication online, to ensure timely, up-to-date research is available worldwide. The journal adheres to a rigorous and transparent peer review process, and all articles go through a statistical assessment to ensure robustness of the analyses. Open Heart is an official journal of the British Cardiovascular Society.
×
引用
GB/T 7714-2015
复制
MLA
复制
APA
复制
导出至
BibTeX EndNote RefMan NoteFirst NoteExpress
×
提示
您的信息不完整,为了账户安全,请先补充。
现在去补充
×
提示
您因"违规操作"
具体请查看互助需知
我知道了
×
提示
确定
请完成安全验证×
copy
已复制链接
快去分享给好友吧!
我知道了
右上角分享
点击右上角分享
0
联系我们:info@booksci.cn Book学术提供免费学术资源搜索服务,方便国内外学者检索中英文文献。致力于提供最便捷和优质的服务体验。 Copyright © 2023 布克学术 All rights reserved.
京ICP备2023020795号-1
ghs 京公网安备 11010802042870号
Book学术文献互助
Book学术文献互助群
群 号:604180095
Book学术官方微信